Servicios Personalizados
Revista
Articulo
Links relacionados
Compartir
Archivos de Medicina Interna
versión impresa ISSN 0250-3816versión On-line ISSN 1688-423X
Arch. Med Int vol.35 no.1 Montevideo mar. 2013
Caso clínico de interés
Aneurisma de la arteria pulmonar asociado a estenosis valvular pulmonar: reporte de un caso de cardiopatía infrecuente en el adulto
Pulmonary Artery Aneurysms Associated to Pulmonary Valve Stenosis: report of a rare case of heart disease in the adult
Dr. Gonzalo Méndez
Residente de Medicina Interna. Facultad de Medicina UdelaR. Montevideo.
Dr. Rodrigo Andrade
Residente de Medicina Interna. Facultad de Medicina UdelaR. Montevideo.
Dr. Mauricio Amaral
Especialista en medicina interna Asistente de Clínica Médica. Facultad de Medicina UdelaR. Montevideo.
Dra. Laura Llambí
Especialista en medicina interna Profesora Adjunta de Clínica Médica. Facultad de Medicina UdelaR. Montevideo.
Recibido: 05/11/12 - Aceptado 13/03/13
Trabajo de la Clínica Médica “A” Facultad de Medicina UdelaR Hospital de Clínicas. Montevideo
Correspondencia: Dr. Gonzalo Méndez. Clínica Médica “A” Hospital de Clínicas p. 11. Avd. Italia S/N 11600 Montevideo. E-mail: jgonzalomendez82@gmail.com
Resumen: Arch Med Interna 2013 - 35(1):19-22
La estenosis de la válvula pulmonar es una patología infrecuente constituyendo entre 8 y 10% de las cardiopatías congénitas. Se clasifica según sus características anatómicas en: típica, con displasia leve/moderada y con displasia severa. Su severidad se mide según el gradiente de presión siendo: leve < 30 mmHg, moderada entre 30 y 80 mmHg y severa > 80 mmHg. La valvuloplastia pulmonar percutánea es el procedimiento de elección en todas las edades y en todos las variantes anatómicas. Está indicada en casos de estenosis moderada a severa o en presencia de sintomatología, siendo menos efectiva en casos con válvulas displásicas. Es una técnica segura y efectiva con baja incidencia de mortalidad y complicaciones. En caso de ser ineficaz está indicada la cirugía. Los aneurismas de la arteria pulmonar presentan una baja prevalencia, estando descritos únicamente casos clínicos aislados y pequeñas series de casos lo que no permite estimar su prevalencia. Generalmente se presentan en pacientes asintomáticos o con síntomas inespecíficos y el diagnóstico se realiza como hallazgo en estudios de imagen. Pueden ser congénitos o adquiridos, asociando los congénitos otras malformaciones cardiovasculares. Los adquiridos son secundarios a: hipertensión pulmonar ya sea primaria o secundaria; estenosis valvular pulmonar; vasculitis; infecciones; neoplasias o iatrogénicas. La complicación más temida es la rotura del aneurisma con una elevada mortalidad. El tratamiento médico es limitado, atendiendo al control de la hipertensión pulmonar y a la etiología causal en el caso de los secundarios. El tratamiento quirúrgico queda reservado para los aneurismas inestables, con hemoptisis, o aneurismas mayores a 60 mm.
Palabras clave: Estenosis Valvular Pulmonar. Valvuloplastia. Aneurisma Arteria Pulmonar. Cardiopatía Congénita.
Abstract: Arch Med Interna 2013 - 35(1):19-22
The Pulmonary Artery Aneurysm is a rare condition that accounts for 8 to 10% of all congenital heart diseases. It is classified according to its anatomy as typical, with mild/moderate dysplasia and with severe dysplasia. Severity is defined based on the pressure gradient, being: mild < 30 mmHg, moderate between 30 and 80 mmHg and severe > 80 mmHg. The percutaneous pulmonary valve repair is a safe and effective technique that entails a low incidence of complications and a low mortality rate. It is the procedure of choice at all ages, regardless of the anatomical type. It is indicated in cases of moderate to severe stenosis or in the presence of symptoms, being less effective in cases that occur with dysplastic valves. Surgery is indicated when the percutaneous route has failed. Pulmonary artery aneurysms have a low prevalence; being there only isolated reports and small case series, their prevalence is difficult to estimate. They usually occur in patients that are either asymptomatic or presenting with non specific symptoms; diagnosis typically results from incidental imaging findings. These aneurysms may be congenital or acquired, being the former associated to additional cardiovascular malformations. Acquired PA aneurysms may be secondary to pulmonary hypertension, which may in turn be primary or secondary to episodes of pulmonary thromboembolism, pulmonary valve stenosis, vasculitis, infections, malignancies or resulting from iatrogenia. The most feared complication of the aneurysm is its rupture, a highly lethal event. Medical therapy is limited, and requires keeping pulmonary hypertension under control and acting upon the root cause in the secondary cases. Surgical therapy is reserved only to unstable aneurysms, patients with haemoptysis, or aneurysms over 60 mm.
Keywords: Pulmonary stenosis. Valvuloplasty. Pulmonary Artery Aneurysm. Congenital Heart Disease.
Introducción
La estenosis de la válvula pulmonar es una patología infrecuente constituyendo entre 8 y 10% de las cardiopatías congénitas(1).
Se clasifica según sus características anatómicas en: típica, con displasia leve/moderada y con displasia severa.2
Su severidad se mide según gradiente de presión siendo: leve < 30 mmHg, moderada entre 30 y 80 mmHg y severa > 80 mmHg(2).
Los aneurismas de la arteria pulmonar presentan una baja prevalencia, estando descritos únicamente casos clínicos aislados y pequeñas series de casos lo que no permite estimar su prevalencia(3).
Generalmente se presentan en pacientes asintomáticos o con síntomas inespecíficos y el diagnóstico se realiza como hallazgo en estudios de imagen(4).
El objetivo de este artículo es describir un caso clínico donde coexisten 2 patologías infrecuentes en un mismo paciente, lo que le aporta a este caso especial singularidad
Finalmente también se realizará el análisis de la literatura científica existente.
Caso Clínico
Paciente de sexo masculino de 63 años, con antecedentes personales de asma parcialmente controlada e hipertensión arterial sin tratamiento. Hace un año internación en unidad cardiológica donde se le realizó cateterismo cardíaco desconociendo el paciente indicación y resultados del mismo.
Consulta por sintomatología de un mes de evolución dada por dolor intenso en cara anterior de hemitórax izquierdo, tos con reiterados episodios de expectoración hemoptoica y en dos ocasiones hemoptisis leve, detenida al momento de la consulta.
Del examen físico se destaca paciente normocoloreado, a nivel cardiovascular ritmo regular de 80 cpm y soplo sistólico en foco pulmonar de intensidad 3/6. Sin elementos de falla cardíaca derecha. A nivel pleuropulmonar eupneico con estertores secos difusos bilaterales. Resto del examen sin particularidades.
De la paraclínica se destaca: analítica básica sin elementos de valor patológico.
ECG: eje eléctrico normal, sin elementos de isquemia ni sobrecarga de cavidades derechas.
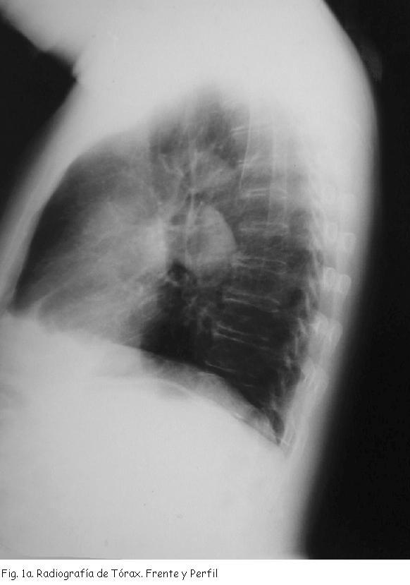
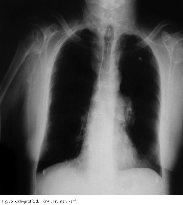
Radiografía de tórax muestra opacidad redondeada de contornos bien delimitados a nivel hiliar izquierdo.(Figura 1a, 1b)
Ecocardiograma: hipertrofia ventricular derecha leve. Válvula pulmonar displásica con apertura en domo. Estenosis valvular pulmonar moderada. Gradiente: 60 mmHg.
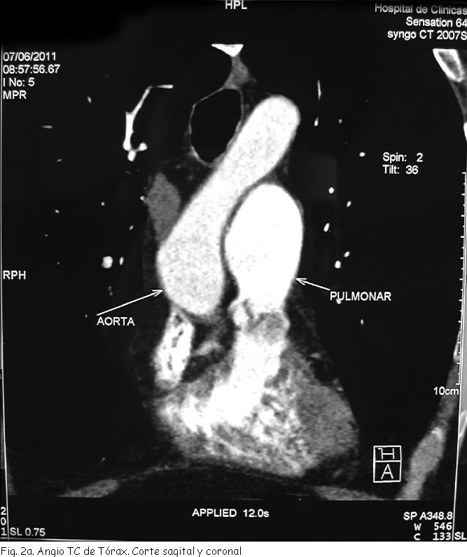
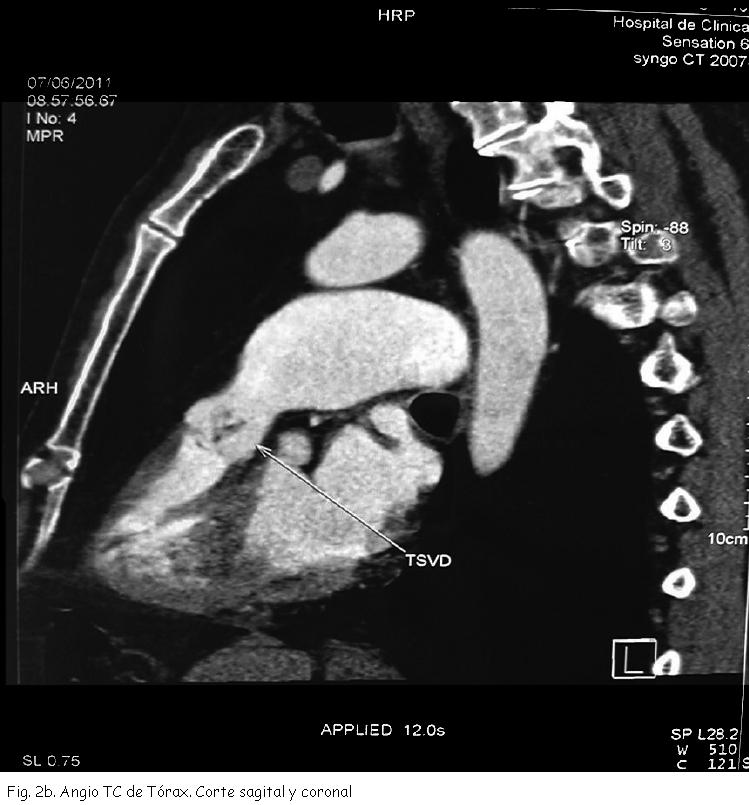
AngioTC y angioRNM de Tórax: dilatación aneurismática fusiforme de rama izquierda de arteria pulmonar de 42 mm de diámetro máximo que compromete toda su extensión (Figura 2 a, 2b).
Fibrobroncoscopía: sin lesiones ni sangrado activo.
VIH y VDRL no reactivos. PPD: anérgico.
Espirometría: patrón obstructivo muy severo.
Se obtiene cateterismo cardíaco realizado en internación previa del año 2010 que informa estenosis valvular pulmonar moderada con realización de valvuloplastia informada como exitosa.
Discusión y comentarios
El aneurisma de la arteria pulmonar es la dilatación patológica de dicha arteria, ya sea de su tronco o de alguna de sus ramas. Si bien esta entidad se describió por primera vez en 1866, existen muy pocos casos documentados en la literatura mundial y estos son en forma de casos aislados o pequeñas series de casos. Esto se debe a su baja prevalencia y a su presentación clínica muchas veces asintomática que hace que pasen desapercibidos. Otras veces son diagnosticados con una complicación(3,4) como fue el caso de nuestro paciente. A su baja prevalencia se suma su diversidad de presentación, realidades que hacen que aún no esté claro su manejo5
Los síntomas, cuando existen, son inespecíficos y pueden ser tos, disnea, palpitaciones, dolor torácico y hemoptisis, estando presentes estos últimos en nuestro paciente.6
La hemoptisis cuando se presenta es un síntoma de inestabilidad del aneurisma y se asocia a un elevado riesgo de rotura con una elevada mortalidad(3,6).
En cuanto a la etiología del aneurisma, pueden ser tanto congénitos como adquiridos o secundarios. Una vez descartadas las causas adquiridas o secundarias, se interpreta que se trata de un aneurisma congénito. Las causas secundarias a pesquisar son: infecciosas como son las micóticas y la lúes; neoplasias primarias de la pared arterial o neoplasias pulmonares con afectación secundaria de la pared arterial; vasculitis como ser el síndrome de Behçet o el síndrome de Hughes Stovin o causas iatrogénicas como el mal posicionamiento de catéter de Swan-Ganz y causas traumáticas(5,6).
Los aneurismas congénitos se caracterizan por asociar frecuentemente otras malformaciones cardiovasculares como ser: alteraciones de la pared vascular, ductos arterioso persistente o comunicaciones interauriculares e interventriculares con flujo izquierda derecha(5).
En cuanto a la relación entre ambas patologías, está descrito en la literatura el aneurisma pulmonar secundario a la afectación parietal por el jet posestenótico(5). En nuestro paciente dada la disposición anatómica del aneurisma y las características del jet postestenótico se las consideró como entidades independientes entre sí.
La estenosis de la válvula pulmonar constituye según las distintas series entre 8 y 10% de las cardiopatías congénitas(1,7). Es una patología infrecuente en la edad adulta, ya que en su gran mayoría es diagnosticada y tratada en la infancia(8).
La presencia de síntomas varía en función de su severidad, pudiendo ser asintomática, en casos de estenosis leve, y pudiendo presentar, en casos de estenosis moderada a severa, disnea, dolor precordial o síncope(1). Al examen físico se puede encontrar la presencia de un soplo sistólico de intensidad proporcional a la estenosis en foco pulmonar, así como frémito y click de eyección en dicha topografía(1).
El electrocardiograma puede ser normal en casos de estenosis leve, pero presentando alteraciones casi invariablemente en casos severos, como ser desviación del eje a derecha y elementos de hipertrofia ventricular derecha(1), no presentes en el caso del paciente presentado.
La estenosis valvular pulmonar se clasifica según sus características anatómicas en: patrón típico, patrón con displasia leve/moderada y patrón con displasia severa(2).
En la estenosis valvular típica, la cual constituye el mayor porcentaje, existe fusión de las comisuras con leve o ningún engrosamiento de las valvas, una morfología en cúpula simétrica con chorro central durante la sístole, dilatación postestenótica y un anillo valvular de tamaño normal(2,7).
En el caso de la displasia severa, la válvula aparece con un gran engrosamiento, rígida, con irregularidades y nódulos, ausencia de cúpula y de dilatación postestenótica e hipoplasia del anillo valvular. La estenosis con displasia leve/moderada presentan un patrón anatómico intermedio entre ambas entidades(2).
En el caso presentado, la lesión valvular que fue catalogada ecocardiográficamente como una displasia leve/moderada.
Para medir la severidad de la estenosis existen diferentes definiciones según el gradiente de presión transvalvular. Una de las definiciones más utilizada, las clasifica en leve cuando es menor a 30 mmHg, en moderada entre 30 y 80 mmHg y en severa si es mayor a 80 mmHg(1). En nuestro paciente el gradiente era de 60 mmHg, lo que lo situaba como una estenosis moderada.
En cuanto al tratamiento de ambas patologías resultó controversial la indicación y la oportunidad del mismo.
Si bien la primera valvuloplastia pulmonar con balón fue realizada en la década del 50, fue en el año 1982 que la técnica extendió su aplicación(2,7). Desde entonces múltiples publicaciones han descrito el procedimiento como seguro y efectivo, estando indicado para estenosis pulmonares de grado moderado a severo(2). El procedimiento está ampliamente estudiado en niños, se tiene menos experiencia en adultos(2).
Hoy en día es el procedimiento de elección en todos los grupos etarios y todas las morfologías valvulares(9). siendo menos efectivo en casos de válvulas displásicas(1). En caso de fallar está indicada la cirugía(1).
Simón-Lamuela y cols. publicaron una serie de 185 casos de valvuloplastia a pacientes con estenosis valvular pulmonar. El rango de edades fue de 2 días a 51 años y se formaron tres grupos según las características anatómicas. Se dividieron en: sin displasia 124 (67%), con displasia leve a moderada 41 (22,1%) y con displasia severa 20 (10,8%). Los resultados mostraron que la valvuloplastia fue efectiva en pacientes sin displasia y con displasia leve a moderada, con reducciones significativas y mantenidas de los gradientes. A su vez concluyó que el procedimiento no tiene éxito en pacientes con displasia severa, requiriendo la mayoría de los pacientes tratamiento quirúrgico(2).
En el caso presentado, por ser una estenosis moderada el tratamiento de elección es la realización de una valvuloplastia. Este procedimiento se había realizado el año previo a la consulta y si bien fue informado como exitoso, la estenosis recidivó a valores de gradiente de presión similares a los previos a la intervención. Teniendo este antecedente presente y por tratarse de estenosis valvular displásica, se decidió no realizar dicho procedimiento nuevamente. En estos casos la alternativa es la cirugía, pero dado el estado general del paciente y su patología respiratoria se optó por no realizarla.
En cuanto al tratamiento del aneurisma, en el caso de los aneurismas de evolución benigna, queda limitado al control de la hipertensión pulmonar y de los factores predisponentes(6). El tratamiento quirúrgico queda reservado para los aneurismas inestables, con hemoptisis, o aneurismas mayores a 60 mm, pudiendo realizarse según cada caso una aneurismectomía, una aneurismorrafia o en el caso de los periféricos lobectomía o embolización(5,6).
En nuestro paciente, si bien debido al sangrado presentado estaría indicada la cirugía, el hecho de que se encontraba detenido y no se hubiese reiterado, las comorbilidades descritas y la escasa experiencia existente en nuestro medio, hizo que se optase por una conducta expectante.
El caso fue discutido por un equipo interdisciplinario que incluyó Internistas, Cardiólogos, Cirujanos Cardíacos, Cirujanos de Tórax e Imagenólogos.
El paciente fue dado de alta con tratamiento médico y controles periódicos. Actualmente continúa en seguimiento en policlínica sin presentar complicaciones a 1 año de ser dado de alta.
Bibliografía
1. Salazar Mena J. Estenosis Valvular Pulmonar. Protocolos Diagnósticos y terapéuticos. Cardiol Pediátr. [en línea] 2005 [acceso: 18 octubre 2012] Disponible en: http://www.aeped.es/sites/default/files/documentos/8_estenosis_pulmonar.pdf
2. Simón-Lamuela J, Sanmartí J, Casaldáliga J, Sanchez C, Rodés J, Murtra M. Tipos de Displasia Valvular, Incidencias y Edades en 185 Procedimientos de Valvuloplastia Pulmonar. [en línea] 2001. [acceso: 18 octubre 2012] Disponible en: http://www.fac.org.ar/scvc/llave/tlibres/tl112/tl112e.htm
3. Palma Nieto JC, Sciaccaluga Morelli C, Antón Martínez J, Ramos del Amo VM. Aneurisma de la Arteria Pulmonar. Presentación de un Caso. Rev Esp Cardiol. 1999; 52: 148-150.
4. Castañer E, Gallardo X, Rimola F, Pallardó Y, Mata J, Perendreu J. et al. Congenital and Acquired Pulmonary Artery Anomalies in the Adult: Radiologic Overview. Radiographics 2006; 26:349-71.
5. Pérez Baztarrica G, Bevacqua F, Porcile R. Aneurisma de la arteria pulmonar. Rev Esp Cardiol. 2010;63(2):240-252.
6. De Tomás Labat ME, Beltrán Beltrán S, Molina Naveros S, Navarro Botella F, Álvares Soto D, Pérez Moro E, et al. Aneurisma Idiopático de la Arteria Pulmonar. Presentación de un Caso y Revisión de la Literatura. An Med Interna (Madrid) 2005; 22: 329-331.
7. Lin SCh, Hwang JJ, Hsu KL, Lee ChM, Wang JK., Tseng ChD, et al. Balloon Pulmonary Valvuloplasty in Adults with Congenital Valvular Pulmonary Stenosis. Acta Cardiol Sin 2004; 20:147-153.
8. Chen ChR, Cheng TO, Huang T, Zhou YL, Chen JY, Huang YG, et Al. Percutaneous Balloon Valvuloplasty for Pulmonic Stenosis in Adolescents and Adults. N Engl J Med 1996;335:21-25.
9. Hatem DM, Castro I, Haertel JC, Rossi RI, Zielinsky P, Leboute FC, et al. Short-and Long-Term Results of Percutaneous Balloon Valvuloplasty in Pulmonary Valve Stenosis. Arq Bras Cardiol 2004; 82: 228-234.













