Servicios Personalizados
Revista
Articulo
Links relacionados
Compartir
Archivos de Medicina Interna
versión impresa ISSN 0250-3816versión On-line ISSN 1688-423X
Arch. Med Int vol.34 no.2 Montevideo 2012
Trombosis venosa cerebral
Cerebral Venous Thrombosis
Dra. Mariana Stevenazzi
Profesora Adjunta de Cátedra de Hematología. Facultad de Medicina. Hospital de Clínicas. UdelaR. Montevideo.
Dra. Lilián Díaz
Profesora Directora de Cátedra de Hematología. Hospital de Clínicas. Facultad de Medicina. UdelaR. Montevideo.
Resumen: Arch Med Interna 2012 - 34(2): 43-46
La trombosis venosa cerebral (TVC) es una rara enfermedad que se incluye dentro del grupo de trombosis en sitios infrecuentes. El correcto estudio y manejo terapéutico de la misma es de capital importancia por la alta morbi-mortalidad que conlleva de no diagnosticarse y tratarse correctamente. El desarrollo en el conocimiento de los factores de riesgo como las trombofilias entre otros, ha sido de gran importancia diagnóstica. Aún faltan estudios randomizados y controlados de gran número de pacientes para definir la duración óptima del tratamiento según cada caso particular. Por el momento las recomendaciones terapéuticas en este tipo de trombosis se basan en estudios observacionales y opinión de expertos, los cuales recomiendan anticoagulación a largo plazo para pacientes con trombosis inexplicadas, trombosis recurrentes, o asociadas a trombofilias de alto riesgo o combinadas. El objetivo de esta publicación es presentar una serie de casos clínicos, revisar el tema de TVC dado la importancia por las posibles complicaciones evolutivas; conocer los factores de riesgo y discutir las posibilidades terapéuticas.
Summary: Arch Med Interna 2012 - 34(2): 43-46
Cerebral venous thrombosis (CVT) is a rare disease, included in unusual thrombosis site group. The accurate study and management, is very important due to the high morbidity and mortality if not diagnosed and treated promptly. The development in knowledge of risk factors as thrombophilia among others, has been of great diagnostic importance. Controlled randomized studies with a big number of patients are still lacking, to define the optimal last of treatment according to each case. The treatment recommendations in this kind of patients until the present are based in observational studies and the experts opinion, who recommend long-term anticoagulation for patients with unexplained thrombosis, recurrent thrombosis, or those which are associated with high risk or combined thrombophilia. The objective of this publication is to present clinical cases and review of the literature, given the importance of complications, know the risk factors, and discuss the therapeutic options.
Palabras clave: Trombosis venosa cerebral; trombofilia.
Keywords: Cerebral venous thrombosis; thrombophilia.
Recibido: 30-03-12 - Aceptado: 11-07-12
Correspondencia: Dra. Mariana Stevenazzi. Cátedra de Hematología, Hospital de Clínicas. Av. Italia s/n. Montevideo, Uruguay. Correo electrónico: marianastevena@yahoo.com.ar
Introducción
La trombosis venosa cerebral (TVC) constituye una enfermedad infrecuente que se enmarca dentro del grupo de trombosis en sitios infrecuentes. El correcto estudio y manejo terapéutico de la misma es de capital importancia por la alta morbi-mortalidad que conlleva de no diagnosticarse y tratarse correctamente. El desarrollo en el conocimiento de los factores de riesgo como las trombofilias hereditarias y adquiridas ha sido de gran importancia diagnóstica.
En este artículo comentamos sobre nuestra experiencia clínica en el estudio y tratamiento de 9 pacientes con TVC; realizar una puesta al día del tema, destacando aspectos diagnósticos, factores de riesgo y modalidades terapéuticas.
Pacientes y Métodos
En este estudio analizamos los hallazgos clínicos y terapéuticos de 9 pacientes con TVC diagnosticados en dos Servicios de Hematología: Mutualista Médica Uruguaya y Sanatorio IMPASA entre 2000 y 2011. Para ello se revisaron historias clínicas en forma retrospectiva y se evaluaron aspectos clínicos, diagnósticos y terapéuticos.
El diagnóstico de trombosis venosa se realizó mediante estudios de imagen y valoración hematológica, incluyendo exámenes de trombofilia. Los mismos fueron tratados con anticoagulantes, con diferente tiempo de evolución según cada caso particular; como se detalla a continuación.
Resultados
A continuación se describen 9 casos clínicos de TVC
Caso 1. Mujer de 32 años, tomadora de anticonceptivos orales (ACO). Motivo de consulta (MC): cefalea intensa de 10 días de evolución y hemiplejia izquierda proporcionada.
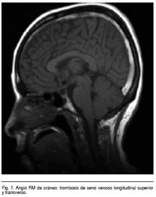
Tomografía Computarizada (TC) de cráneo: normal. Angio Resonancia Magnética (RM) de cráneo (Figura 1): trombosis de seno venoso longitudinal superior y transverso. Tratamiento: Heparina de Bajo Peso Molecular (HBPM) a dosis de anticoagulación (dosis ajustada) y superposición con Warfarina. Buena evolución. Estudios de trombofilia (TF): heterocigota para Factor (F) II G20210A.
Caso 2. Mujer de 31 años; tabaquista, tomadora de ACO. MC: cefalea y convulsión tónico-clónica generalizada. Examen físico: afasia de expresión y hemiparesia derecha facio-braquial. TC de cráneo: hemorragia subaracnoidea. Arteriografía: trombosis de venas corticales y del seno longitudinal superior. Tratamiento: Heparina No Fraccionada (HNF) intravenosa a dosis de anticoagulación; a las 24 hs de evolución se constata infarto hemorrágico parieto-occipital izquierdo con efecto de masa que requirió tratamiento quirúrgico. En evolución se inicia HBPM a dosis ajustada y superposición con Warfarina. Buena evolución. Estudios de TF: doble heterocigota para FV Leiden y FII G20210A.
Caso 3. Mujer de 19 años, tomadora de ACO en los 7 meses previos. MC: cefalea intensa. TC cráneo: lámina subdural fronto-occipital derecha. Angio RM de cráneo: trombosis de seno lateral derecho en su porción transversa. Tratamiento: HBPM a dosis ajustada más Warfarina. Buena evolución. Estudios de TF: FII G20210A heterocigoto.
Caso 4. Mujer de 46 años, tomadora de ACO habitual, fumadora, hipertensa. MC: Cefalea de 20 días de evolución y convulsión tónico clónica generalizada. TC sin contraste: pequeña área hipodensa subcortical frontal izquierda sin efecto de masa en relación al seno venoso transverso derecho. RM de cráneo: TVC a nivel del seno venoso lateral. Tratamiento: HBPM a dosis ajustada más Warfarina. Buena evolución. Estudios de TF: negativos.
Caso 5. Mujer de 49 años. Hipotiroidismo, tomadora de ACO. MC: dolor en cara lateral de cuello a derecha. Ecodoppler venoso de vasos de cuello: trombosis venosa yugular derecha. TC de cráneo: defecto de relleno a nivel del seno venoso sigmoideo derecho. Tratamiento: HBPM a dosis ajustada más Warfarina. Buena evolución. Estudios de TF: doble heterocigota para FV Leiden (FVL) y FIIG20210A.
Caso 6. Hombre de 15 años. MC: cefalea holocraneana de 10 días de evolución. TC sin contraste: hiperdensidad a nivel del surco en convexidad frontal izquierda pudiendo corresponder a escasa Hemorragia SubAracnoidea (HSA). Angio RM: HSA en surcos parietales a izquierda. Angiografía de venas cerebrales: Trombosis venosa (TV) de seno longitudinal superior parcialmente recanalizada. Tratamiento: HBPM dosis ajustada más Warfarina por 1 año. Buena evolución. Estudios de TF: negativos.
Caso 7. Mujer de 34 años, tomadora de ACO. MC: cefalea y pérdida de conocimiento. Angio RM: trombosis de seno venoso izquierdo. Tratamiento: HBPM a dosis ajustada más Warfarina por un año. Estudios de TF: negativos.
Caso 8. Mujer de 24 años. MC: crisis convulsiva y plejia de miembro superior derecho. TC de cráneo: hematomas múltiples de etiología no clara. RM de cráneo: procesos nodulares frontales sospechosos de glioma multicéntrico o secundarismo. Se realiza neurocirugía: probables infartos hemorrágicos. Angiografía de vasos cerebrales: trombosis de seno longitudinal superior y de venas corticales. Tratamiento: HNF a dosis de anticoagulación intravenosa seguida de HBPM y Warfarina. Buena evolución. Estudios de TF: Anticoagulante Lúpico/AL positivo.
Caso 9. Mujer de 24 años, tomadora de ACO. MC: cefalea, crisis parciales y hemiparesia derecha. Angio RM: trombosis de seno longitudinal superior. Tratamiento: HNF seguida de HBPM a dosis ajustada y Warfarina por un año. Buena evolución. Estudios de TF: negativos.
Discusión
Hemos presentado 9 casos de pacientes con diagnóstico de TVC con un claro predominio en el sexo femenino (media de edad de 30 años). Con una amplia e inespecífica gama de manifestaciones clínicas. En los cuales se llegó al diagnóstico por técnicas de imagen fundamentalmente con AngioRM o Angiografía cerebral. Se constató en la mayoría de los casos el antecedente del uso de ACO; en asociación variable con diferentes tipos de TF, fundamentalmente hereditaria (FVLeiden y FIIG20210A), lo cual se plantea que actuaría como gatillo para la producción de trombosis por efecto sinérgico; como se describe en la literatura. Con respecto al tratamiento se realizó como está pautado (según recomendaciones de expertos y por estudios observacionales) el uso de Heparinas a dosis de anticoagulación; (incluso frente a infartos hemorrágicos según caso), y luego superposición con antiVitamina K (Warfarina) por un período variable (3 a 12 meses o indefinido), con buena evolución clínica.
Trombosis en sitios infrecuentes
Las trombosis venosas pueden ocurrir en cualquier sector del organismo; típicamente involucran el sector venoso profundo de miembros inferiores (MMII), con o sin embolia pulmonar (EP). Raramente ocurren en miembros superiores (MMSS), senos y venas cerebrales y venas del sector esplácnico.(1) La importancia en reconocer precozmente estas raras trombosis e iniciar el tratamiento adecuado está en que estas pueden ser muy severas, con una importante morbi-mortalidad.(2) Dentro del grupo de trombosis en sitios infrecuentes actualmente no se incluyen las trombosis vinculadas a catéter y las trombosis de la vena central de la retina por su alta frecuencia.
Factores de riesgo, locales o sistémicos como infecciones o cáncer están presentes frecuentemente en trombosis de venas cerebrales o portales. Las trombosis venosas profundas (TVP) de MMSS se asocian mayoritariamente a la presencia de catéter o a esfuerzo. Por otra parte existen factores de riesgo comunes como es la presencia de trombofilia hereditaria (TFH), el uso de ACO y neoplasias mieloproliferativas crónicas (NMPC). Las NMPC y la hemoglobinuria paroxística nocturna (HPN) se relacionan fundamentalmente con trombosis de venas esplácnicas.(3)
El tratamiento de este tipo de trombosis en la etapa aguda no debe diferir del tratamiento convencional con HBPM o HNF. El uso de fibrinolíticos debe ser considerado en caso de deterioro clínico a pesar de una correcta anticoagulación. La anticoagulación oral con anti-vitamina K (AVK) debe mantenerse por un período de al menos 3 a 12 meses, y en caso de Síndrome de Budd-Chiari, trombosis recurrentes, trombosis idiopáticas o la persistencia de factores de riesgo se recomienda anticoagulación indefinida(3).
Se ha avanzado mucho en el diagnóstico precoz de este tipo de trombosis y en el conocimiento de los mecanismos patogénicos subyacentes; pero hasta el momento las recomendaciones terapéuticas se basan en estudios observacionales y opinión de expertos.
Trombosis venosa cerebral
La trombosis de senos y venas cerebrales es una rara enfermedad. La incidencia es incierta dado la falta de estudios epidemiológicos, se estima sea de 3 a 4 casos/millón en adultos4. Afecta sobre todo a pacientes jóvenes y niños. En las últimas décadas se ha visto un incremento en mujeres en edad reproductiva vinculado al uso de ACO. En adultos la edad promedio es de 40 años, y es más frecuente en mujeres (relación mujer-hombre: 3/1). La localización de estas trombosis son mayoritariamente en el seno sagital superior (62%) y en seno transverso (40 a 45%), siendo frecuente que comprometa más de una localización(2,3). Este tipo de trombosis se manifiesta con una inespecífica y amplia gama de síntomas y signos neurológicos dado por cefalea (90%), edema de papila (30%), letargia, signos focales, convulsiones (40%), y coma(4,5). Dicha sintomatología se vincula al edema y/o infartos; en algunos casos hemorrágicos (14 a 39%)(4). El inicio de los síntomas generalmente es subagudo (50 a 80%). Raramente simulan un accidente cerebovascular (ACV) arterial, pero la lenta progresión, fluctuaciones en la sintomatología y presencia de convulsiones ayudan al diagnóstico diferencial. Esta patología según reportes, presenta una mortalidad de un 5,6% aproximadamente durante la hospitalización y un 9,4% en el seguimiento(6). Comparado con reportes previos la mortalidad ha descendido notoriamente. La mayoría de los pacientes (88%) quedan con mínimas secuelas o sin ellas y la recurrencia es infrecuente (2,8%)(6). Este avance se relaciona a las nuevas técnicas de imagen las cuales permiten un diagnóstico y tratamiento precoz.7 Las técnicas diagnósticas de imagen utilizadas con buenos resultados son la TC o RM (mayor sensibilidad). El eco doppler es útil y de bajo costo, sin embargo se recomienda como técnica complementaria a otras técnicas de imagen.
Con respecto a la patogénesis, varios estudios enfatizan la relación de factores de riesgo tales como el uso de ACO y la presencia de TFH(8). Estudios importantes informan un aumento del riesgo de presentar trombosis cerebral de más de 5 veces en presencia del FVL, más de 10 con la mutación FIIG20210A y de más de 4 con hiperhomocisteinemia leve a moderada(8,9). Este riesgo se ve incrementado si se asocia a uso de ACO, por efecto sinérgico. En un meta-análisis se confirma esta asociación de trombosis cerebral y TFH; FIIG20120A con un odd ratio (OR) de 9,27 (IC 95%: 5,85-13,6), FVL OR de 3,38 (IC: 2,27-5,05), hiperhomocisteinemia OR de 4,07 (IC: 2,54-6,52) y el uso de ACO con un OR de 5,59 (IC: 3,95- 7,91)(10). Otros factores de riesgo son el embarazo y puerperio. La relación con otras TF adquiridas o hereditarias no está bien establecida dado la baja prevalencia de estas y la falta de estudios con poblaciones numéricamente mayores y de valor estadístico.
El tratamiento recomendado para este tipo de trombosis en la fase aguda es el habitual, con heparina no fraccionada o HBPM seguido de AVK, en vistas a la recanalización (40 a 90%), prevenir la progresión de la trombosis y la recurrencia u otro evento tromboembólico venoso (ETEV) que se puede ver en hasta un 5% (TVP y/o EP). Según reportes no se ha observado un incremento en las complicaciones hemorrágicas(11,12). Los estudios randomizados y controlados que avalan esta práctica vieron una evolución favorable en el grupo anticoagulado vs control, si bien no fue estadísticamente significativo(7,13,14).
La controversia en cuanto al tratamiento en la etapa aguda está en aquellos pacientes con grandes hemorragias.15 Algunos expertos opinan en retrasar la anticoagulación hasta la estabilización o documentación de la disminución de la hemorragia. Las guías terapéuticas actuales recomiendan dosis ajustadas de heparina intravenosa o HBPM seguido de AVK oral por 3 meses si se asoció a factor de riesgo transitorio o por 6 a 12 meses si es inexplicada o asociada a TFH de leve o moderado riesgo: déficit de proteína C (PC), déficit de proteína S (PS), heterocigotos para FVL o FIIG20210A; e indefinida si hay recurrencia o presencia de TFH de alto riesgo: síndrome antifosfolipídico, déficit de antitrombina (AT), homocigotos para FVL o FIIG20210A o TF combinadas(16). No hay evidencia sobre el uso de trombolíticos sistémicos o locales, estos podrían indicarse en caso de deterioro clínico a pesar de una correcta anticoagulación. El temor al uso de esta modalidad terapéutica está en la complicación hemorrágica, por lo tanto debe evaluarse cada caso particular para definir la conducta terapéutica. El consenso del ACCP (American College of Chest Physicians) de 2012 recomienda anticoagulación sobre no anticoagulación en pacientes con TVC sintomática (grado 2C)(17).
conclusiones
Las trombosis de los senos y venas cerebrales si bien son infrecuentes cobran importancia clínica por las complicaciones a las que están expuestas. El diagnóstico en los últimos años ha progresado gracias a las nuevas técnicas de imagen y a la alta sospecha clínica. El diagnóstico precoz y la rápida instauración del tratamiento anticoagulante en este tipo de trombosis es muy importante para disminuir la morbimortalidad. El desarrollo en el conocimiento de factores de riesgo como las trombofilias entre otros ha sido de gran importancia. Aún faltan estudios randomizados y controlados con número importante de pacientes para definir la duración óptima del tratamiento según cada caso particular. Por el momento las recomendaciones terapéuticas en este tipo de trombosis se basan en estudios observacionales y opinión de expertos, los cuales recomiendan anticoagulación a largo plazo para pacientes con trombosis inexplicadas, trombosis recurrentes, o asociadas a trombofilias de alto riesgo o combinadas.
Bibliografía
1. Martinelli I, Unusual forms of venous thrombosis and thrombophilia. Pathophysiol Haemost Trhomb. 2002; 32:343-345.
2. Lussana F, Dentalli F, Ageno W, Kamphulsen PW. Venous thrombosis at unusual sites and the role of trhombophilia. Semin Thromb Haemost. 2007; 33:582-587.
3. Martinelli I, De Stefano V. Rare thromboses of cerebral, splanchnic and upper extremity veins. A narrative review. Thromb Haemost 2010,103(6):1136-44.
4. Stam J. Thrombosis of the cerebral veins and sinuses. N Engl J Med. 2005;352:1791-1798.
5. Ferro JM, Canhao P, Stam J, Bousser MG, Barinagarrementeria F. Prognosis of cerebral vein and dural sinus thrombosis: results of the International Study on Cerebral Vein and Dural Sinus Thrombosis (ISCVT). Stroke 2004;35:664-670.
6. Dentalli F, Gianni M, Crowther MA, Ageno W. Natural history of cerebral vein thrombosis: a systematic review. Blood 2006; 108:1129-1134.
7. Stam J, de Bruijn SF, DeVeber G. Anticoagulation for cerebral sinus thrombosis. Cochrane 2002;4:CD002005.
8. Martinelli I, Sacchi E, Landi G, Taioli E, Duca F, Mannucci PM. High risk of cerebral vein thrombosis in carriers of a prothrombin gene mutation and in users of oral contraceptives. N Engl J Med. 1998;338:1793-1797.
9. Martinelli I, Battaglioli T, Pedotti P, Cattaneo M, Mannucci PM. Hyperhomocysteinemia in cerebral vein thrombosis. Blood 2003;102:1363-1366.
10. Dentalli F, Crowther M, Ageno W. Thrombophilia abnormalities, oral contraceptives, and risk of cerebral vein thrombosis: a meta-analysis. Blood 2006;107:2766-2773.
11. Masuhr F, Einhaupl K.. Treatment of cerebral venous and sinus thrombosis. Front Neurol Sci. 2008;23:132-143.
12. Ferro JM, Canaho P. Acute treatment of cerebral venous and dural sinus thrombosis. Curr Treat Options Neurol. 2008;10:126-137.
13. Einhaupl KM, Villringer A, Meister W, Meharein S, Garner C, Pelkofer M et al. Heparin treatment in sinus venous thrombosis. Lancet 1991;338:597-600.
14. de Bruijn SF, Stam J. Randomized, placebo-controlled trial of anticoagulant treatment with low-molecular-weight heparin for cerebral sinus thrombosis. Stroke 1999;30:484-488.
15. Albers GW, Amarenco P, Easton JD, Sacco RL, Teal P. Antihrombotic and thrombolytic therapy for ischemic stroke, American College of Chest Physicians Evidence-Based Clinical Practice Guidelines (8th Edition). Chest 2008;133:630S-338S.
16. Einhaupl K, Bousser MG, de Bruijn SF. EFNS guideline on the tretment of cerebral venous and sinus thrombosis. Eur J Neurol. 2006;13:553-559.
17. Guyatt GH, Akl EA, Crowther M, Gutterman DD, Schuunemann HJ . Antithrombotic Therapy and Prevention of Thrombosis, 9Th ed: American College of Chest Physicians. Evidence-Based Clinical Practice Guidelines. CHEST 2012; 141(2)(Suppl):7S-47S.













