SciELO - Scientific Electronic Library Online

 
vol.32 número2-3Convergencias, divergencias, variabilidad, puntos de corte e indicación de la glucemia de ayuno, la hemoglobina glucosilada e insulinemiaAspergiloma pulmonar bilateral índice de autoresíndice de materiabúsqueda de artículos
Home Pagelista alfabética de revistas  

Servicios Personalizados

Revista

Articulo

Links relacionados

Compartir


Archivos de Medicina Interna

versión impresa ISSN 0250-3816versión On-line ISSN 1688-423X

Arch. Med Int vol.32 no.2-3 Montevideo jun. 2010

 

Casuística de interés


Demencia rápidamente progresiva secundaria a angiopatía amiloide cerebral

 

Rapidly Progressive Dementia Secondary to Cerebral Amyloid Angiopathy

 


Dra. Valeria Blanco

Asistente deClínica Médica 3 Hospital Maciel, UdelaR. Montevideo.

Dr. Federico García
Asistente deClínica Médica 3 Hospital Maciel, UdelaR. Montevideo.

Dra. Verónica Torres
Profesor Adjunto de Clínica Médica. Hospital Maciel, UdelaR. Montevideo. E-mail: torres.esteche@gmail.com

Dra. Florencia Ambrosoni
Residente de Clínica Médica. Hospital Maciel, UdelaR. Montevideo.

Dra. Verónica Bartesaghi
Residente de Clínica Médica. Hospital Maciel, UdelaR. Montevideo.

Dr. Nicolás Asteggiante
Residente de Clínica Médica. Hospital Maciel, UdelaR. Montevideo.

Dr. Andrés Boero
Profesor Adjunto de Clínica Médica. Hospital Maciel, UdelaR. Montevideo.


Recibido: 24.03.10 - Aceptado: 23.05.10
Trabajo de la Clínica Médica “3”. Hospital Maciel. Facultad de Medicina. UdelaR. Montevideo
Correspondencia: Dra. Verónica Torres, Clínica Médica “3”. Hospital Maciel, 25 de mayo 264. 11100 Montevideo. Uruguay. E-mail: torres.esteche@gmail.com


Resumen

Se discute el caso de una paciente que desarrolló en el período de un mes, alteraciones conductuales, disminución de la iniciativa verbal y motriz, alteraciones de la emisión de la palabra y marcha, incontinencia esfinteriana y actitudes catatónicas. Se planteó síndrome demencial rápidamente progresivo (DRP) y solicitó RNM que muestra múltiples pequeñas hemorragias corticales y subcorticales. La angiopatía amiloide cerebral (AAC) se vincula con el desarrollo de demencia. La AAC debe ser sospechada clínicamente en pacientes mayores de 60 años con hemorragias cerebrales múltiples en ausencia de una causa evidente. En base a este caso se realiza una revisión de las DRP y de la angiopatía amiloide cerebral.

Palabras clave: Demencia, Confusión, Hemorragia cerebral, Angiopatía cerebral amiloide.


Summary

This is the case of a patient that within one month developed behavioral changes, reduced verbal and motor initiative, speech and gait impairment, sphincter incontinence and catatonic attitudes. The diagnosis was a Rapidly Progressive Dementia (DRP) Syndrome; the MRI showed multiple small cortical and sub-cortical hemorrhages. The Cerebral Amyloid Angiopathy (CAA) is associated with the occurrence of dementia. CAA should be clinically suspected in patients over 60 years of age with multiple cerebral hemorrhages, in the absence of any evident causes. This case triggered un update review of DRPs and CAAs.

Keywords: dementia, delirium, brain hemorrhage, cerebral hemorrhage, Cerebral Amyloid Angiopathy.


Introducción


La mayoría de las demencias se desarrolla lentamente y son en su mayoría secundarias a enfermedad de Alzheimer, a pesar de que está aumentando el reconocimiento de demencias no Alzheimer que incluyen demencia frontotemporal, enfermedad vascular isquémica subcortical, demencia con cuerpos de Lewy, demencia parkinsoniana como la degeneración cortical basal, entre otras. En los pacientes que desarrollan una DRP el clínico debe considerar diferentes patologías.

Como causa de DRP tienen especial relevancia aquellas patologías tratables, que si bien son infrecuentes como causas de demencia, su identificación y tratamiento cambia el pronóstico del cuadro demencial. Dentro de las patologías neurodegenerativas que pueden presentarse como DRP se encuentran la enfermedad de Creutzfeldt Jacob, la demencia frontotemporal y en forma menos frecuente la enfermedad de Alzheimer.

Deben considerarse infecciones del sistema nervioso como encefalitis herpética, demencia asociada a VIH y sífilis entre otras. En la valoración de causas tóxico-metabólicas debe determinarse el nivel de Vit B12, Vit B1, asi cómo descartar la uremia y las intoxicaciones por litio, arsénico o mercurio. También deben valorarse patologías de base autoinmunes como la encefalopatía de Hashimoto, encefalopatía lúpica y demencias asociadas a neoplasias: metástasis en el sistema nervioso central, linfoma cerebral primario y encefalopatías paraneoplásicas.

La angiopatía amiloide cerebral (AAC) constituye una causa importante de hemorragia cerebral en los añosos. Es una causa de DRP. Puede aparecer en forma esporádica, así como en asociación con enfermedad de Alzheimer o en forma familiar. Su prevalencia se estima en un 2,3% de los pacientes entre 65 y 74 años, mientras que en mayores de 85 su prevalencia ascendería a 12% (1).En un estudio realizado en el Hospital de Clínicas (2) en el año 1998 se atribuyó a ésta patología el 5% de los accidentes cerebrovasculares hemorrágicos analizados.


Caso clínico


Sexo femenino, 61 años. HTA, ex tabaquista. Hematoma lobar occipital izquierdo un año previo al ingreso, sin secuelas. Enviada desde internación psiquiátrica. Comenzó un mes previo al ingreso con alteraciones conductuales, abulia, hipomimia, anhedonia, alteraciones del autocuidado y cambios del humor, con disminución de la iniciativa verbal y motriz. Se planteó síndrome depresivo. Agregó alteraciones de la emisión de la palabra, de la marcha, e incontinencia esfinteriana. Al examen: vigil, sin déficit atencional, desorientada en tiempo y espacio. Pérdida de memoria retrograda y anterógrada. Disminución de la iniciativa y flujo verbal, anomias. Nistagmos horizontal izquierdo. Sector meníngeo: rigidez axial. Sector espinal: rigidez con rueda dentada, reflejo de prehensión, actitudes catatónicas. Mioclonias en manos. Fuerzas conservadas. Hiperreflexia simétrica en miembros. Abasia.

Paraclínica básica normal. TSH, dosificación de ácido fólico y vitamina B12 normales. VDRL y VIH negativos. TAC de cráneo: involución encefálica.

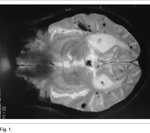
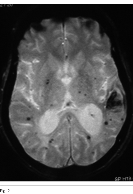
Se planteó síndrome demencial rápidamente progresivo (DRP) y solicitó RNM que muestra múltiples imágenes anormales de diferentes tamaños a nivel subcortical y cortical, hipo intensas en T1 híperintensas en T2, que corresponden a pequeñas hemorragias corticales y subcorticales evolucionadas (Figuras 1 y 2).


Discusión y Comentario


Frente a este cuadro se planteó DRP, dado el tiempo de instalación de la alteración de las funciones cognitivas: memoria, lenguaje y praxias. En cuanto a la etiología de la DRP, dado el antecedente de un hematoma lobar previo, se plantean inicialmente causas vasculares. En forma más alejada se considera la eventualidad de que se trate de una enfermedad priónica o Creutzfeldt Jakob.

En este caso la guía diagnóstica fue DRP y sangrados múltiples intracerebrales en la RNM, por lo cual se planteó un diagnóstico probable de hemorragia intracerebral asociada a AAC según criterios de Boston.


Existe evidencia que vincula a la AAC con el desarrollo de demencia (3,4), la cual puede presentarse en forma lenta o rápidamente progresiva (DRP) como en este caso.

La AAC debe ser sospechada clínicamente en pacientes mayores de 60 años con hemorragias cerebrales múltiples en ausencia de una causa evidente (5). En la Resonancias Magnética Nuclear (RNM) es característica la presencia de imágenes compatibles con microsangrados difusos como en este paciente, así como depósitos de hemosiderina.

 


En este caso analizado por otra parte, se descartaron por paraclínica otras etiologías probables de DRP infecciosas, tóxico-metabólicas, autoinmunes, neoplásicas, y neurodegenerativas.

La forma de presentación más frecuente de la AAC es la hemorragia lobar espontánea en los pacientes añosos. Estos sangrados pueden extenderse hacia el espacio subaracnoideo y más raramente hacia los ventrículos. Otra forma de presentación es la instalación de sintomatología neurológica transitoria, parestesias, paresias, u otros síntomas corticales. También pueden presentarse convulsiones (6). El diagnóstico definitivo es anatomopatológico postmortem con el hallazgo característico de depósito beta amiloide en la capa media y adventicia vascular junto con eosinófilos, necrosis fibrinoide y microhemorragias (Tabla I) (7). La biopsia cerebral se reserva para casos en que la clínica, estudios serológicos e imagenológicos no permiten realizar un diagnóstico definitivo. No pensamos sea el caso de esta paciente.

La AAC se produce por el depósito de péptidos amiloides en los vasos de pequeño y mediano calibre a nivel cerebral y de las leptomeninges. La AAC no se asocia con ningún otro tipo de amiloidosis sistémica. Existiría un aumento de la producción de beta amiloide debido a mutaciones en los genes de la Apolipoproteína E, Apo B y factores de crecimiento así como una disminución en la depuración de beta amiloide. Como consecuencia del depósito amiloide, la pared arterial se debilita determinando formación de microaneurismas cuya ruptura puede determinar hemorragia cerebral. Por otra parte el bloqueo del drenaje perivascular por el depósito amiloide extracelular, podría determinar una alteración del drenaje de metabolitos, resultando en una pérdida de la homeostasis en el ambiente extracelular neuronal que contribuiría en el desarrollo de deterioro cognitivo. Otro mecanismo lesional probable en ésta patología es el daño isquémico a nivel de la sustancia blanca, atribuido a la oclusión difusa de los vasos por el depósito amiloide (1).

El tratamiento depende de la forma de presentación de la AAC. En el caso de hemorragia cerebral éste no difiere de otras formas de hemorragia, con estricto control de cifras tensionales y uso de anticomiciales profilácticos. En este paciente se realizó tratamiento anticomicial ya que suelen mejorar con su utilización lo que se supone podría obedecer a la presencia de actividad neuronal anómala vinculada con las microhemorragias. En otros casos la topografía lobar lo hace pasible de tratamiento quirúrgico. Con respecto a las formas demenciales el manejo no difiere de otros tipos de demencia (5). Existen nuevas terapias en etapas experimentales para el tratamiento específico de la AAC cuyo objetivo es el bloqueo de la formación de amiloide. Algunas formas pueden beneficiarse del tratamiento inmunosupresor con corticoides y ciclofosfamida.

Está contraindicado el uso de antiagregantes y anticoagulantes (3,4).

En cuanto al pronóstico el riesgo de recidiva de las hemorragias es alto, siendo los factores de riesgo mayores el número de hemorragias y la presencia de los genotipos APO E2 y E4. La evolución natural es hacia la demencia con pocas posibilidades terapéuticas (6).

Esta paciente se mantuvo estable durante 8 meses de seguimiento. La edad, el deterioro cognitivo previo, la polifarmacia, la depresión y la hipotensión durante el episodio de stroke, son factores de riesgo para progresión y declinamiento funcional. Tal vez la evolución estable descrita en esta paciente esté vinculada a la ausencia de estos factores de riesgo.

 


BIBLIOGRAFÍA


1. Greenberg SM, Vonsattel JP, Diagnosis of cerebral amyloid angiopaghy. Sensitivity and specificity of cortical biopsy. Stroke 1997; 28:1418.

2. Braga P, Ibarra A, Rega I, y cols. Ataque cerebrovascular: un estudio epidemiológico prospectivo en el Hospital de Clínicas de Montevideo. Rev Med Uruguay 2001;17:45-54.

3. Greenberg SM, Gurol ME, Rosand J, Smith EE: Amyloid angiopathy-related vascular cognitive impairment. Stroke 2004, 35(11):2616-2619.

4. Pfeifer LA, White LR, Ross GW, Petrovitch H, Launer LJ: Cerebral amyloid angiopathy and cognitive function: the HAAS autopsy study. Neurology 2002, 58(11):1629-1634.

5. Geschwind M, Haman A, Miller B. Rapidly Progressive Dementia. Neurol Clin 25 (2007) 783-807.

6. Moorhouse P, Rockwood K. Vascular cognitive impairment: current concepts and clinical developments. Lancet Neurology, 2008 vol.7:246- 55.

7. Smith E, Greenberg M. Clinical Diagnosis of Cerebral Amyloid Angiopathy: Validation of the Boston Criteria. Current Atherosclerosis Reports 2003, 5:260–266.

Creative Commons License Todo el contenido de esta revista, excepto dónde está identificado, está bajo una Licencia Creative Commons