SciELO - Scientific Electronic Library Online

 
vol.10 número1Infrecuente variante anatómica biliar intraoperatoriaHernioplastia inguinal TAPP robótica índice de autoresíndice de materiabúsqueda de artículos
Home Pagelista alfabética de revistas  

Servicios Personalizados

Revista

Articulo

Links relacionados

Compartir


Revista Cirugía del Uruguay

versión On-line ISSN 1688-1281

Cir. Urug. vol.10 no.1 Montevideo  2026  Epub 01-Dic-2026

https://doi.org/10.31837/cir.urug/10.1.4 

IMAGEN DEL MES

No es un simple hematoma

It is not a simple hematoma

Não é um simples hematoma

Mariana Invernizzi1  , conception, design, literature review, writing-review e editing
http://orcid.org/0009-0006-9109-7929

Silvana Lapi1  , conception, design, writing-review e editing
http://orcid.org/0000-0003-2026-4671

Mario Almada1  , conception, design, writing-review e editing
http://orcid.org/0000-0002-4655-2789

Virginia Rodríguez2  , conception, design, writing-review e editing
http://orcid.org/0000-0001-8367-0808

Eduardo Olivera1  , conception, design, writing-review e editing
http://orcid.org/0000-0002-1396-5771

1 Clínica Quirúrgica 2, Hospital Maciel. Facultad de Medicina. Universidad de la República. Montevideo, Uruguay. invernizzimariana7@gmail.com, silvanalapicruz@gmail.com, myalmada111@gmail.com, eolivera30@gmail.com.

2 Clínica Médica 1, Hospital Maciel. Facultad de Medicina. Universidad de la República. Montevideo, Uruguay. vrodriguezuy@gmail.com.


Fig.1. A: Paciente de pie, vista posterior, donde se puede objetivar una asimetría a expensas de un aumento del tamaño del glúteo izquierdo, extensa equimosis en dorso y glúteos, con erosiones y necrosis superficial de piel. B: Paciente de pie, de perfil.  

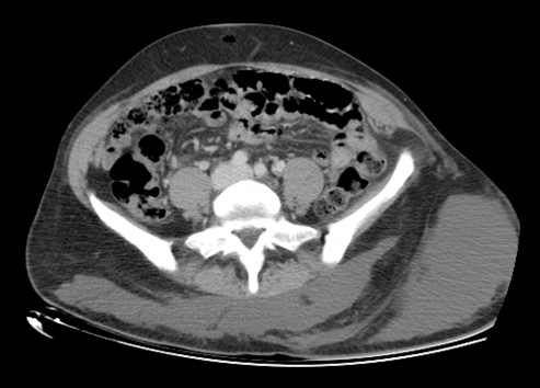
Fig. 2 Corresponde a un corte transversal de una tomografía computada, donde se puede observar en el espesor del tejido celular subcutáneo una extensa colección a nivel dorsal lumbar y en continuidad en región glútea izquierda.  

Introducción

Se presenta el caso de una mujer de 46 años, sin antecedentes relevantes, que sufrió un siniestro de tránsito en bicicleta, con un mecanismo lesional por cizallamiento al ser arrastrada por un ómnibus. Presentó fractura de escápula y de arcos costales izquierdos. Tumefacción en glúteo izquierdo, que en la evolución aumento de tamaño, evidenciando al examen físico extensa equimosis en dorso y glúteos, fluctuante a la palpación. Descenso progresivo de la hemoglobina que requirió reposición hematimétrica.

El síndrome de Morel-Lavallée es una lesión infrecuente de los tejidos blandos, causada por un mecanismo de cizallamiento que separa la piel y el tejido celular subcutáneo de la fascia muscular, generando un espacio en el que se acumula hemolinfa, secundaria a la ruptura de arterias perforantes y vasos linfáticos.1

La sintomatología inicial es inespecífica, lo que dificulta el diagnóstico. En agudo se manifiesta con dolor, equimosis cutánea y una lesión fluctuante. Las complicaciones más frecuentes son la necrosis cutánea y la infección secundaria. Sin tratamiento, puede evolucionar a una respuesta inflamatoria crónica con formación de una lesión quística encapsulada.2

El diagnóstico es clínico, aunque estudios de imagen permiten confirmar la lesión y evaluar su extensión.

No existe consenso terapéutico; el abordaje debe individualizarse, considerando opciones como tratamiento conservador, aspiración percutánea, cirugía abierta o mínimamente invasiva y agentes esclerosantes. 1,2,3

Bibliografía

1. Yang Y, Tang TT. The Morel-Lavallée lesion: review and update on diagnosis and management. Orthop Surg. 2023;15(10):2485-2491. doi:10.1111/os.13826. [ Links ]

2. Singh R, Rymer B, Youssef B, Lim J. The Morel-Lavallée lesion and its management: a review of the literature. J Orthop. 2018;15(4):917-21. doi:10.1016/j.jor.2018.08.032. [ Links ]

3. Campos TM, Arévalo Pardal A, Pérez Rubio L, Sobradillo Castrodeza N, Urbano Vivanco C. Síndrome de Morel-Lavallée: una visión desde atención primaria. Med Gen Fam. 2018;7(5):208-10. doi:10.24038/mgyf.2018.048. [ Links ]

Nota Los autores declaran que no existe conflicto de interés.

Nota Los datos de investigación no se encuentran disponibles

Editado por Este artículo fue aprobado por el editor Gustavo Rodríguez Temesio

Recibido: 15 de Septiembre de 2025; Aprobado: 22 de Diciembre de 2025

Creative Commons License Este es un artículo publicado en acceso abierto bajo una licencia Creative Commons