Introducción
El síndrome de Hamman’s fue descrito por primera vez en 1939 por Louis Hamman, donde la presencia de aire libre en mediastino y tejidos subcutáneos, con una variedad significativa de factores asociados que podrían generar cambios en la presión intratorácica que conducen a rupturas alveolares, que podrían estar asociados a cambios radiológicos compatibles con neumotorax. La epidemiología no está descrita con exactitud, sin embargo, se ha descrito una incidencia de 1 por cada 30.000 pacientes de servicios de urgencias.1 Se presume que dicha afección involucra en gran mayoría en mujeres en edad reproductiva especialmente en períodos de postparto, hombres jóvenes, con poca predilección por pacientes pediátricos.2,3
Presentación del caso
Se trata de un adulto joven de 20 años, sin antecedentes clínicos de importancia. Ingresa al servicio de urgencias consultando por cuadro clínico de 3 días de evolución consistente en dolor de cuello que se irradia al tórax con sensación pleurítica, refiere que el cuadro clínico ignición posterior a la ingesta de una tableta de azitromicina con un líquido espeso. Además, refiere que con el uso del vapeador aumentó inicialmente la sintomatología y después le fue aliviando. Al examen físico ingresa con signos vitales dentro de parámetros normales se palpa enfisema subcutáneo en región supraclavicular derecha y en cuello anterior derecho, por lo que se realiza radiografía de tórax, la cual se reporta dentro de parámetros normales. Paraclínicos de extensión con hemograma el cual revela leve leucocitosis y neutrofilia, sin anemia, función renal conservada. Se indica la toma de tomografía de cuello y tórax contrastada con el fin de descartar lesión de la vía aérea. (Fig.1y2) La tomografía describe enfisema subcutáneo que compromete base del cráneo, cuello derecho, región supraclavicular, paravertebral y axilar derecha que diseca planos musculares sin evidenciarse claramente origen de la lesión. Por otra parte, la tomografía contrastada de tórax muestra un neumomediastino extenso, probablemente espontáneo, sin garantizar que no hay una perforación esofágica asociada. Se valora paciente en conjunto con servicio de Emergenciología, Neumología y Cirugía de tórax, por lo que se indica traslado a la Unidad de Cuidado Intensivo (UCI), con la finalidad de vigilar vía aérea del paciente y realizar exámenes afines que complementen el cuadro clínico del paciente; se indica entonces realización de esofagograma (Fig. 3), endoscopía de vías digestivas altas y fibrobroncoscopía.

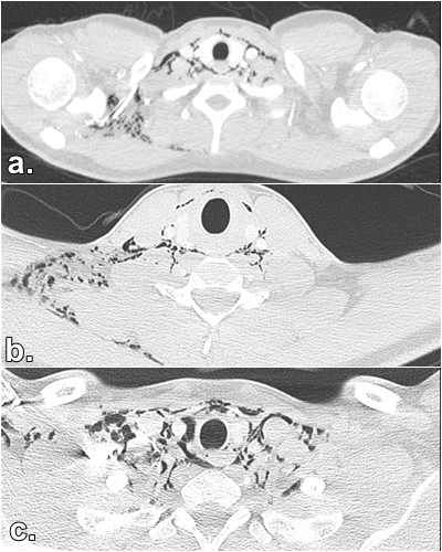
Fig.1 Tomografía de cuello contrastada del paciente. a: Tomografía de cuello contrastada ventana pulmonar corte axial: en la cual se evidencia enfisema subcutáneo abundante en cuello disecando planos musculares. b:se observa enfisema subcutáneo en fosas supraclaviculares y base del cuello. c:Se observa enfisema subcutáneo disecando tejidos musculares con región axilar derecha

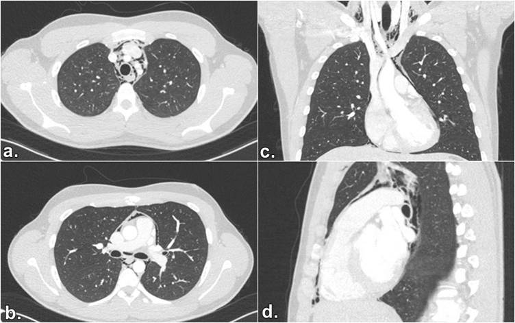
Fig. 2: Tomografía de tórax contrastada del paciente. a,b: Se observa neumomediastino que diseca estructuras de mediastino anterior medio y posterior. c:Se observa en corte coronal neumomediastino desde la región cervical que diseca parades cardíacas. d: neumomediastino extenso sin garantizar perforación esofágica.

Fig.3 Esofagograma del paciente. a. Vista anterior de paso del medio de contraste, sin paso de contraste hacia la nasofaringe.b: vista anterior con adecuado paso de contraste a través del esófago. c: vista lateral con adecuado paso de contraste sin evidenciar perforación esofágica
Durante su estancia en la UCI se le realizó esofagograma dentro de parámetros normales, sin evidencia de extravasación de contraste ni hallazgos sugestivos de ruptura esofágica. La endoscopía de vías digestivas altas no evidenció lesiones estructurales ni signos de perforación, y la fibrobroncoscopía mostró integridad de la mucosa traqueobronquial, sin hallazgos patológicos. Con estos resultados se confirmó el diagnóstico de síndrome de Hamman’s. El paciente permaneció en UCI durante 48 horas para monitorización estrecha de la vía aérea y control de parámetros hemodinámicos y respiratorios, los cuales se mantuvieron dentro de la normalidad en todo momento. Fue posteriormente trasladado a hospitalización general, donde continuó manejo conservador con oxigenoterapia suplementaria, analgesia y reposo relativo. La evolución clínica fue progresivamente favorable, con disminución de la cervicalgia y del enfisema subcutáneo en los primeros 3 días, y resolución completa al quinto día de internación. Una tomografía de tórax y cuello de control, realizada en el día 5, evidenció disminución marcada del neumomediastino y casi resolución del enfisema subcutáneo, hallazgos que se correlacionaron con la mejoría sintomática. Completó un total de 6 días de hospitalización, siendo dado de alta asintomático, con radiografía de tórax de control sin evidencia de neumomediastino residual y con indicaciones para seguimiento ambulatorio.
Discusión
El neumomediastino podría ser catalogado como una entidad clínica de aparición abrupta, rara y/o poco usual en los diferentes servicios. Se define como la presencia de aire en dicha cavidad. Cuando la presencia de este aire es inocua y no tiene una etiología clara (trauma, infección, neoplasia, entre otras) se entra a denominar dicho espectro clínico como Síndrome de Hamman´s.4La presencia de este aire en mediastino puede generar una aumento de la presión intratorácica, que podría ser explicada mediante maniobras de Valsalva, lo cual conduciría a una ruptura alveolar que condicionaría una disección hacia el espacio intersticial y demás estructuras subyacentes, este fenómeno es conocido como el efecto Macklin.5
La apariciónclínica de un neumomediastino siempre debería ser enfocado desde su etiología, la cual se clasifica de forma espontánea y secundaria, para fines prácticos, se define el neumomediastino espontáneo aquello que se presenta de forma súbita en pacientes sanos como en nuestro caso. Antecedentes clínicos para considerar en estos casos de neumomediastino son los relacionados a asma, EPOC, enfermedades del parénquima pulmonar, enfermedades del tejido conectivo, entre otras, los cuales predisponen la formación de uno. En el caso del neumomediastino secundario usualmente se encuentra asociado a traumatismo (contundente, penetrante), quirúrgico e iatrogénico.6
Los síntomas comúnmente asociados a la presencia de este síndrome pueden incluir dolor torácico, cervicalgia, disfagia, fiebre, vómito, disnea, entre otros. Es típico la caracterización del enfisema subcutáneo, el cual le confiere a la piel y al tejido subcutáneo una característica particular de un sonido “crocante” a la digitopresión de ésta. Otros síntomas más graves suelen acompañar este síndrome de la presencia de taquicardia, taquipnea y ansiedad.6
El abordaje diagnóstico que enfrenta el clínico que observa un neumomediastino espontáneo, debe estar orientado a imágenes básicas como la radiografía de tórax, el cual orientaría el diagnóstico ante los primeros esbozos de un neumotórax espontaneo y de esta forma definir la urgencialización de otros manejos sobre el paciente con neumotórax. Otra herramienta de gran valor se orienta al uso de la tomografía de tórax la cual puede informar y tipificar mejor el neumomediastino, el enfisema subcutáneo si es una tomografía extendida y permite caracterizar mejor y descartar un neumotórax asociado a esta condición. Las lesiones sobre vísceras huecas deben ser confirmadas o descartas por otras herramientas diagnósticas como esofagograma y endoscopías digestivas.7,8
Al culminar el descarte de otras causas subsecuentes potencialmente asociadas a morbimortalidad intrahospitalaria a través de las herramientas diagnósticas previamente descritas, el manejo del paciente con síndrome de Hamman´s deberá enforcarse a la optimización de la analgesia, oxígeno suplementario. En algunos casos el paciente puede sentir síntomas relacionados a ansiedad los cuales una buena explicación de la condición de la condición actual ayudaría plenamente a la resolución de este síntoma. El síndrome de Hamman´s se presenta como una entidad clínica benigna y de buen pronóstico.9
Conclusiones
El síndrome de Hamman´s es una entidad de una frecuencia inusual en los diferentes servicios de salud y está asociada a un buen pronóstico clínico si el paciente es optimizado desde el primer momento en su manejo sintomático. Causas aledañas al curso del neumomediastino deberán ser descartadas para conferirle este diagnóstico al paciente.














