SciELO - Scientific Electronic Library Online

 
vol.9 número1Primeiro relato nacional da técnica de Bianchi na síndrome do intestino curto. Dois relatos de caso.Duplicidade ureteral com implantação do ureter em genitália externa como causa de incontinência urinária em menina índice de autoresíndice de assuntospesquisa de artigos
Home Pagelista alfabética de periódicos  

Serviços Personalizados

Journal

Artigo

Links relacionados

Compartilhar


Revista Cirugía del Uruguay

versão On-line ISSN 1688-1281

Cir. Urug. vol.9 no.1 Montevideo  2025  Epub 01-Dez-2025

https://doi.org/10.31837/cir.urug/9.1.8 

CASO CLÍNICO

Intususcepción de yeyuno por metástasis intestinal de melanoma maligno cutáneo: reporte de caso clínico.

Jejunal intussusception due to intestinal metastasis of cutaneous malignant melanoma: clinical case report.

Intussuscepção jejunal por metástase intestinal de melanoma maligno cutâneo: relato de caso clínico.

1Departamento de Emergencia, Cirugía General. CASMU IAMPP, Montevideo, Uruguay. invernizzimariana7@gmail.com, pvalsangiacomo@gmail.com

2Anatomía Patológica. CASMU IAMPP, Montevideo, Uruguay. ernesto.ormachea@gmail.com


Resumen

El melanoma es una neoplasia maligna que afecta predominantemente la piel, representa entre el 1-3% de todas las neoplasias. Se caracteriza por su alta capacidad metastásica, afectando con frecuencia el tracto gastrointestinal, siendo el yeyuno y el íleon los sitios más comúnmente comprometidos. La mayoría de los pacientes con metástasis gastrointestinal cursan en forma asintomática o presentan síntomas inespecíficos. Las complicaciones son poco frecuentes, destacándose entre ellas la oclusión intestinal, siendo la intususcepción una forma de presentación rara.

El objetivo del presente trabajo es reportar el caso clínico de un paciente de sexo masculino de 63 años con diagnóstico previo de melanoma cutáneo maligno, que dos años después se presentó con un cuadro clínico e imagenológico compatible con oclusión intestinal. Se realizó una laparotomía de urgencia, evidenciándose una intususcepción a nivel del yeyuno y un conglomerado nodular en el mesenterio. Se procedió a la resección segmentaria con anastomosis. El estudio anatomopatológico confirmó metástasis de melanoma cutáneo.

La detección temprana de metástasis gastrointestinal representa un verdadero desafío diagnóstico. Dada la alta frecuencia de la afectación metastásica del yeyuno e íleon, se debe tener un alto índice de sospecha ante la presencia de síntomas inespecíficos como dolor abdominal, repercusión general, y/o anemia. En estos casos deberá considerarse la realización de estudios que han demostrado mayor precisión diagnóstica como la Tomografía por Emisión de Positrones combinada con Tomografía Computarizada (PET-TC) y la cápsula endoscópica. El tratamiento quirúrgico de las metástasis gastrointestinales ha demostrado una mejora del pronóstico y aumento de la sobrevida, en comparación con aquellos pacientes con enfermedad metastásica no resecada.

Palabras clave: Melanoma; metástasis; intestino delgado; intususcepción

Abstract

Melanoma is a malignant neoplasm that predominantly affects the skin and accounts for 1-3% of all neoplasms. It is characterized by its high metastatic potential, frequently involving the gastrointestinal tract, with the jejunum and ileum being the most commonly affected sites. Most patients with gastrointestinal metastases are asymptomatic or present with nonspecific symptoms. Complications are uncommon; among them, intestinal obstruction is notable, with intussusception being a rare form of presentation.

The aim of this report is to present the clinical case of a 63-year-old male patient with a previous diagnosis of cutaneous malignant melanoma who, two years later, presented with clinical and imaging findings consistent with intestinal obstruction. An emergency laparotomy was performed, revealing an intussusception at the jejunal level and a nodular mass in the mesentery. Segmental resection with anastomosis was carried out. Histopathological analysis confirmed cutaneous melanoma metastasis.

The early detection of gastrointestinal metastases presents a true diagnostic challenge. Given the high frequency of metastatic involvement of the jejunum and ileum, a high index of suspicion is essential in the presence of nonspecific symptoms such as abdominal pain, systemic compromise, and/or anemia. In such cases, diagnostic studies with greater accuracy such as positron emission tomography combined with computed tomography (PET-CT) and capsule endoscopy should be considered. Surgical treatment of gastrointestinal metastases has been shown to improve prognosis and increase survival, compared to patients with unresected metastatic disease.

Keywords: metastasis; small bowel; intussusception

Resumo

O melanoma é uma neoplasia maligna que afeta predominantemente a pele, representando entre 1-3% de todas as neoplasias. Caracteriza-se pela sua alta capacidade metastática, afetando frequentemente o trato gastrointestinal, sendo o jejuno e o íleo os sítios mais comumente comprometidos. A maioria dos pacientes com metástases gastrointestinais permanece assintomática ou apresenta sintomas inespecíficos. As complicações são pouco frequentes, destacando-se entre elas a obstrução intestinal, sendo a intussuscepção uma forma rara de apresentação.

O objetivo do presente trabalho é relatar o caso clínico de um paciente do sexo masculino, de 63 anos, com diagnóstico prévio de melanoma cutâneo maligno, que dois anos depois apresentou quadro clínico e achados de imagem compatíveis com obstrução intestinal. Foi realizada laparotomia de urgência, evidenciando-se uma intussuscepção a nível do jejuno e um conglomerado nodular no mesentério. Procedeu-se à ressecção segmentar com anastomose. O estudo anatomopatológico confirmou metástase de melanoma cutâneo.

A detecção precoce de metástases gastrointestinais representa um verdadeiro desafio diagnóstico. Dada a alta frequência de acometimento metastático do jejuno e íleo, deve-se manter um alto índice de suspeição na presença de sintomas inespecíficos como dor abdominal, comprometimento do estado geral e/ou anemia. Nestes casos, deve-se considerar a realização de exames que demonstraram maior precisão diagnóstica, como a Tomografia por Emissão de Pósitrons combinada com Tomografia Computadorizada (PET-TC) e a cápsula endoscópica. O tratamento cirúrgico das metástases gastrointestinais demonstrou melhora no prognóstico e aumento da sobrevida, em comparação com aqueles pacientes com doença metastática não ressecada.

Palavras-chave: metástase; intestino delgado; intussuscepção

Introducción

El melanoma es una neoplasia maligna que se origina a partir de los melanocitos, células responsables de la secreción del pigmento melanina. Afecta principalmente la piel, representando más del 90% de los casos.1

Constituye entre el 1 y el 3% de todas las neoplasias,2 se estima un aumento en su incidencia de más del 60% para el 2040.1

Es más frecuente en hombres, con una relación 2 a 1. La mediana de edad al momento del diagnóstico se sitúa entre los 45 y 55 años. En Uruguay se ha reportado una mediana de 61,2 años.1

La relevancia del melanoma radica en su alta mortalidad, determinada principalmente por su gran capacidad metastásica, lo que ensombrece el pronóstico a pesar del desarrollo de los nuevos tratamientos sistémicos.

Es el carcinoma que con mayor frecuencia produce metástasis en el tracto gastrointestinal, mostrando una afinidad por el intestino delgado, siendo el yeyuno e íleon los sitios más comúnmente afectados.2,3,4

La mayoría de los pacientes con metástasis gastrointestinal, cursan en forma asintomática o presenta síntomas inespecíficos como dolor abdominal, pérdida de peso y anemia, lo que conlleva al diagnóstico tardío.2,5,6,7

Las complicaciones secundarias a metástasis gastrointestinal son poco frecuentes: entre ellas se incluyen la hemorragia digestiva, la oclusión y la perforación intestinal.2,3,5,6,7

El objetivo del presente trabajo es reportar el caso clínico de una oclusión intestinal causada por metástasis de melanoma maligno en yeyuno, siendo la intususcepción una una forma de presentación poco común.

Caso clínico

Paciente de sexo masculino de 63 años con diagnóstico de melanoma maligno cutáneo luego de la resección de una lesión localizada en la cara anterior del tórax. El estudio anatomopatológico confirmó un melanoma de diseminación superficial, nivel de Clark V, Breslow 6 mm. TNM pT4a. BRAF no mutado. Se realizó ampliación de márgenes y biopsia del ganglio centinela, el cual fue positivo; por lo que se procedió al vaciamiento axilar izquierdo. El paciente recibió tratamiento adyuvante con Pembrolizumab durante un año, sin evidencia de enfermedad a distancia.

Dos años después del diagnóstico, consultó en el servicio de emergencia por un cuadro de dolor abdominal difuso de 48 horas de evolución, tipo cólico, acompañado de náuseas, vómitos y deposiciones líquidas. Concomitantemente, presentó marcada astenia y adinamia.

Al examen físico, el paciente presenta un regular estado general, se encuentra lúcido, y muestra palidez cutáneo-mucosa con deshidratación leve. Se observa buena perfusión y eupnea, con murmullo alvéolo-vesicular presente en ambos campos pulmonares y una saturación de oxígeno del 98% al aire ambiente. Los parámetros vitales iniciales son: frecuencia cardíaca de 80 cpm y presión arterial de 100/60 mmHg. El abdomen está distendido, blando, depresible, doloroso a la palpación difusa y sin signos de irritación peritoneal, con ruidos hidroaéreos aumentados en timbre y frecuencia, y una sonda nasogástrica (SNG) con contenido porráceo. La analítica sanguínea inicial revela una hemoglobina (Hb) de 9,0 mg/dL, con características microcíticas e hipocrómicas.

En la radiografía de abdomen (de frente, de pie y en decúbito dorsal) se presentan hallazgos compatibles de oclusión intestinal.

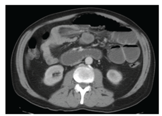
En la tomografía computada (TC) de abdomen y pelvis con contraste intravenoso se observan: asas yeyunales distendidas, con niveles hidroaéreos en su interior. Transición asa chata- asa distendida a nivel de epigastrio. Sin neumatosis parietal, ni neumoperitoneo. Se identifican dos engrosamientos nodulares peritoneales de 25 mm x 38 mm y 30 mm x 40 mm en epigastrio. Escasa cantidad de líquido libre interasas y en FSD. (Fig.1)

Fig 1 TC de abdomen y pelvis que evidencia intususcepción de intestino delgado. 

Se realizó laparotomía de urgencia, evidenciándose distensión de asas intestinales e intususcepción del intestino delgado a nivel yeyunal, así como un conglomerado adenopático en el mesenterio. Se procedió a la reducción de la invaginación y a la resección segmentaria de intestino delgado, con márgenes libres de 10 cm. Se realizó anastomosis latero lateral mediante sutura mecánica con técnica “a la Barcelona”. El paciente presentó una buena evolución postoperatoria, otorgándose el alta hospitalaria al séptimo día. (Fig.2)

Fig.2 Intususcepción de intestino delgado, a nivel de yeyuno. Conglomerado nodular en mesenterio 

El informe anatomopatológico reveló una neoplasia sólida en el intestino delgado caracterizada por la presencia de focos de necrosis, células epitelioides y fusiformes con intenso pleomorfismo nuclear y pigmento melánico citoplasmático, hallazgos compatibles con Melanoma. La lesión infiltraba todas las capas intestinales sin alcanzar la subserosa, con cabos quirúrgicos libres. Adicionalmente, se identificó un conglomerado metastásico en los ganglios mesentéricos. (Fig.3)

Fig.3 Macroscopía: A. Intususcepción intestinal y nódulo mesentérico. B.⁠ ⁠Tumor intestinal, cabeza de intususcepción. C.⁠ ⁠Nódulo mesentérico. Microscopia H-E a.⁠ ⁠Compromiso submucoso intestinal; b. 10 x 2.⁠ ⁠Compromiso mucoso intestinal; c. 10 x 3.⁠ ⁠Melanoma; 10 x 

Discusión

El melanoma metastásico afecta con frecuencia al tracto gastrointestinal, siendo el yeyuno e íleon el sitio más comúnmente afectado, seguidos por el estómago y el colon.2,3,6

El tipo histológico que con mayor frecuencia produce metástasis en intestino delgado es el melanoma de diseminación superficial como es el caso de nuestro paciente, aunque cualquier tipo de melanoma cutáneo podría hacerlo.

Según la estadificación TNM de la American Joint Committee on Cancer (AJCC), la afectación metastásica del tracto gastrointestinal se considera enfermedad en estadio IV, 5,6con una sobrevida global estimada de 12 meses.1

Se estima que solo entre el 1,5 % y el 4,4 % de las metástasis gastrointestinales por melanoma se diagnostican en vida. Estudios de autopsia sugieren que aproximadamente el 60 % de los pacientes con melanoma presentan metástasis gastrointestinales.3,5,9,10

La detección temprana de estas metástasis representan un verdadero desafío diagnóstico, ya que, en caso de presentar síntomas, estos suelen ser inespecíficos.

La TC tiene una sensibilidad del 50 al 70% para su detección. Se ha visto que el uso de enteroclisis por TC ofrece mejores resultados diagnósticos en comparación con la TC convencional.6,8

Estudios recientes han demostrado que el PET TC tiene mayor precisión diagnóstica para la detección de metástasis gastrointestinales en pacientes con melanoma, caracterizadas por una alta captación de 18F FDG.6,7,11

Por otra parte, la cápsula endoscópica es considerada un excelente método diagnóstico en este grupo de pacientes. Si bien es un estudio costoso y de disponibilidad limitada en nuestro medio, permite evaluar segmentos de intestino que no pueden estudiados mediante endoscopia convencional.7,8,12

El tiempo desde la resección del melanoma cutáneo hasta el diagnóstico de metástasis gastrointestinal varía en las distintas series, reportándose intervalos de tiempo desde 2 y más 180 meses.5,6,8,13

En el caso de nuestro paciente, el diagnóstico se realizó en el contexto de una oclusión intestinal. La intususcepción consiste en el desplazamiento de un segmento proximal del intestino hacia la luz de un segmento contiguo, lo que provoca una oclusión intestinal. Es una entidad poco frecuente en adultos,6 ocurriendo en el 95% de los casos en niños, y representa solo el 1-3% de los casos de oclusión intestinal en adultos.3 A diferencia de los niños en los que la causa suele ser idiopática, en adultos, hasta en 90% de los casos se objetiva una causa orgánica, correspondiendo el 50% a neoplasias malignas, en especial melanoma metastásico.2,13,14,15

De las diferentes formas de presentación del melanoma metastásico, la morfología polipoidea es la que más frecuentemente se asocia a intususcepción intestinal.8

La TC es el estudio de imagen más utilizado en el contexto de la urgencia para el diagnóstico de intususcepción intestinal, como ocurrió en nuestro caso; sin embargo, carece de valor en el diagnóstico etiológico de la misma.13,14,15

Cabe destacar que, durante la exploración quirúrgica, no se evidenciaron los engrosamientos nodulares peritoneales mencionados en la tomografía. Se presume que estos podrían corresponder al nódulo metastásico mesentérico.

La cirugía constituye el tratamiento de elección, y consiste en la resección del tumor con su respectivo mesenterio, asegurando márgenes libres.14,15,16Algunos autores sugieren realizar primero la reducción y luego la resección, con el objetivo de evitar resecciones intestinales extensas.15,17

Diversos estudios han demostrado que el tratamiento quirúrgico de la metástasis gastrointestinales mejora el pronóstico, y aumenta la sobrevida, en comparación con los pacientes con enfermedad metastásica no resecada, alcanzando una mediana de sobrevida de hasta 64 meses.2,6,12,14,16

Actualmente el desarrollo de nuevas terapias biológicas, como Vemurafenib, Nivolumab e Ipilimumab, han demostrado eficacia en el tratamiento del melanoma metastásico.6,9,14

Conclusión

Dada la elevada frecuencia de la afectación metastásica del yeyuno y el íleon en pacientes con melanoma, es fundamental mantener un alto índice de sospecha ante la presencia de síntomas inespecíficos como dolor abdominal, repercusión general, y/o anemia. En estos casos, se debe considerar la indicación de estudios como la tomografía por emisión de positrones combinada con tomografía computada (PET-TC) y la cápsula endoscópica.

Bibliografía

1. Amarillo D, De Boni D, Nantes F, Tambasco C, Brayer C, Palacios C, et al. Melanoma cutáneo en Uruguay: características clínico-epidemiológicas y sobrevida en cohorte de pacientes de dos centros de referencia en el período 2008-2017. Rev Med Urug. 2020;36(2):146-54. doi: 10.29193/RMU.36.2.4 [ Links ]

2. Cassina JC, Gallardo A, Valbuena JR, Martínez J. Intususcepción intestinal secundaria a metástasis de melanoma: caso clínico. Rev Chil Cir. 2011;63(2):194-9. [ Links ]

3. Yerrakalva D, Ackroyd R, Lee F. Metastatic malignant melanoma causing ileo-ileal intussusception. J Surg Case Rep. 2011;2011(12):1. doi:10.1093/jscr/2011.12.1 [ Links ]

4. Santiago P. Afecciones quirúrgicas del yeyuno-íleon. Montevideo: Academia Nacional de Medicina; 2009. p. 37. [ Links ]

5. Romero L, Arcienega P, Telles L, González D. Melanoma metastásico en intestino delgado: causa infrecuente de perforación: reporte de caso. Cir. Urug. 2023;7(1):1-6. doi: 10.31837/cir.urug/7.1.4 [ Links ]

6. Kohoutova D, Worku D, Aziz H, Teare J, Weir J, Larkin J. Malignant melanoma of the gastrointestinal tract: symptoms, diagnosis, and current treatment options. Cells. 2021;10(2):327. doi:10.3390/cells1002032 [ Links ]

7. Lens M, Bataille V, Krivokapic Z. Melanoma of the small intestine. Lancet Oncol. 2009;10(5):516-21. doi: 10.1016/S1470-2045(09)70036-1. [ Links ]

8. Cedron Cheng H, Aliaga Ramos J. Cápsula endoscópica para el diagnóstico de metástasis de melanoma en intestino delgado, reporte de dos casos y revisión de la literatura. Acta Gastroenterol Latinoam. 2020;50(1):50-6. doi: 10.52787/llbj9802 [ Links ]

9. Mantas D, Tsaparas P, Charalampoudis P, Gogas H, Kouraklis G. Emergency surgery for metastatic melanoma. Int J Surg Oncol. 2014;2014:987170. doi: 10.1155/2014/987170 [ Links ]

10. Piñeyro A, Carriquiry L. Tumores metastásicos del yeyuno-íleon. Cir. Urug. 2004;74(2):73-8. https://revista.scu.org.uy/index.php/cir_urug/article/view/4529 Links ]

11. Othman A, Eigentler T, Bier G, Pfannenberg C, Bösmüller H, Thiel C, et al. Imaging of gastrointestinal melanoma metastases: correlation with surgery and histopathology of resected specimen. Eur Radiol. 2017;27(6):2538-45. doi:10.1007/s00330-016-4625-7 [ Links ]

12. La Selva D, Kozarek RA, Dorer RK, Rocha FG, Gluck M. Primary and metastatic melanoma of the GI tract: clinical presentation, endoscopic findings, and patient outcomes. Surg Endosc. 2020;34(10):4456-62. doi: 10.1007/s00464-019-07225-8 [ Links ]

13. Đokić M, Badovinac D, Petrič M, Trotovšek B. An unusual presentation of metastatic malignant melanoma causing jejuno-jejunal intussusception: a case report. J Med Case Rep. 2018;12(1):337. doi: 10.1186/s13256-018-1887-5. [ Links ]

14. Kharroubi H, Osman B, Kakati RT, Korman R, Khalife MJ. Metastatic melanoma to the small bowel causing intussusception: A case report. Int J Surg Case Rep. 2022;93:106916. doi: 10.1016/j.ijscr.2022.106916. [ Links ]

15. Yagmur Y, Açıkgöz MA. Metastatic melanoma causing recurrent intussusception and perforation of small bowel: case reports and literature review. Melanoma Manag. 2021;8(1):MMT54. doi: 10.2217/mmt-2020-0015. [ Links ]

16. Hong KD, Kim J, Ji W, Wexner SD. Adult intussusception: a systematic review and meta-analysis. Tech Coloproctol. 2019;23(4):315-324. doi: 10.1007/s10151-019- 01980-5. [ Links ]

17. Bender GN, Maglinte DD, McLarney JH, Rex D, Kelvin FM. Malignant melanoma: patterns of metastasis to the small bowel, reliability of imaging studies, and clinical relevance. Am J Gastroenterol. 2001;96(8):2392-400. doi: 10.1111/j.1572- 0241.2001.04041.x. [ Links ]

Contribución de autores: Concepción y diseño: Mariana Invernizzi, Pablo Valsangiacomo, Ernesto Ormachea. Revisión de la bibliografía: Mariana Invernizzi Redacción - revisión y edición: Mariana Invernizzi, Pablo Valsangiacomo, Ernesto Ormachea

Nota: Los autores declaran que no existe conflicto de interés.

Nota: Los datos de investigación no se encuentran disponibles.

Editado por: Este artículo fue aprobado por el editor Gustavo Rodríguez Temesio

Recibido: 02 de Octubre de 2024; Aprobado: 17 de Junio de 2025

Creative Commons License Este es un artículo publicado en acceso abierto bajo una licencia Creative Commons