SciELO - Scientific Electronic Library Online

 
vol.8 issue1Congenital stenosis of the anal canal. Clinical caseForeign body aspiration in adults author indexsubject indexarticles search
Home Pagealphabetic serial listing  

Services on Demand

Journal

Article

Related links

Share


Revista Cirugía del Uruguay

On-line version ISSN 1688-1281

Cir. Urug. vol.8 no.1 Montevideo  2024  Epub Dec 01, 2024

https://doi.org/10.31837/cir.urug/8.1.3 

IMAGEN DEL MES

Litiasis renal derecha en riñón ectópico que simula apendicitis aguda

Right renal lithiasis in ectopic kidney that simulates acute appendicitis

Litíase renal direita em rim ectópico que simula apendicite aguda

María Camila Mendieta-Madiedo1 
http://orcid.org/0000-0001-6055-8004

Pablo Salomón Montes Arcón2 
http://orcid.org/0000-0003-3021-0319

María Camila Martínez Otero3 
http://orcid.org/0000-0002-9547-5003

1Residente, postgrado de Cirugía General, Universidad de Cartagena, Cartagena de Indias, Colombia, mmendietam@unicartagena.edu.co

2Residente, postgrado de Patología, Universidad de Cartagena, Cartagena de Indias, Colombia, pmontesarcon@gmail.com

3Uróloga, Universidad de Cartagena, Cartagena de Indias, Colombia, Mmartinezo@unicartagena.edu.co


Palabras clave: Enfermedades renales; Anomalías congénitas; Urolitiasis; Diagnóstico por imagen; Cirugía.

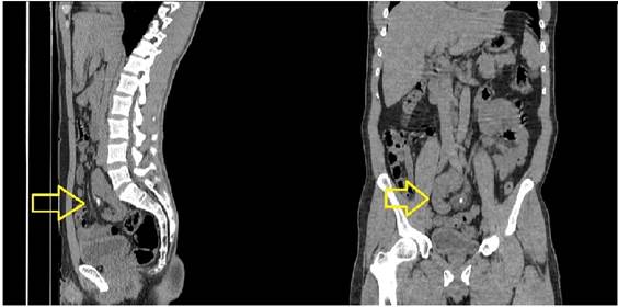
Fig. 1 El riñón derecho se encuentra hacia la pelvis con presencia de múltiples cálculos. 

Paciente masculino de 45 años que acude por cuadro clínico de 12 horas de evolución caracterizado por dolor abdominal, en flanco y fosa ilíaca derecha, asociado a vómitos de aspecto bilioso.

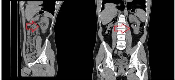
A la exploración con signos dudosos de irritación peritoneal. Por lo que se indica manejo sintomático y realización de Urotac. Éste revelo que el riñón derecho se encontraba hacia la pelvis con presencia de múltiples cálculos (Fig. 1), el riñón izquierdo era de localización normal, por lo que se interconsulta al servicio de Urología (Fig. 2).

Fig. 2 Riñón izquierdo de forma, tamaño y localización normal. 

El riñón ectópico es una anomalía congénita de la posición renal1 se pueden encontrar en las posiciones pélvica, ilíaca, abdominal, torácica o contralateral,2 tiene una incidencia estimada de 1/5.000 nacidos vivos. La mayoría son asintomáticos y de localización pélvica.3

Las alteraciones en el ascenso renal ocasionan complicaciones derivadas de esta misma, las más comunes ocurren por obstrucción, infección y urolitiasis.4 Clínicamente puede existir confusión de la urolitiasis con la apendicitis aguda dados los síntomas y el examen físico; es allí donde los estudios de imagen permiten dar un diagnóstico certero.5

Bibliografía

1. Joseph DDC, Chinnathambi J, Jamburaj A. Ectopic Kidney Mimicking Appendicular Abscess. Niger J Surg. 2021;27(1):63-5. doi: 10.4103/njs.NJS_49_19. [ Links ]

2. Xu YE, Hendahewa R. A rare presentation of an ectopic kidney with pyelonephritis mimicking appendicitis. J Surg Case Rep. 2019;(11):rjz342. doi: 10.1093/jscr/rjz342. [ Links ]

3. Tam T, Pauls RN. Embryology of the urogenital tract; a practical overview for urogynecologic surgeons. Int Urogynecol J. 2021;32(2):239-47. doi: 10.1007/s00192-020-04587-9. [ Links ]

4. Manglik A, Tomar L, Akash A. Pyelonephritis of an ectopic right kidney pretending as acute appendicitis: An unusual case. Int J Surg Case Rep. 2022;98:107490. doi: 10.1016/j.ijscr.2022.107490. [ Links ]

5. Stonebrook E, Hoff M, Spencer JD. Congenital Anomalies of the Kidney and Urinary Tract: A Clinical Review. Curr Treat Options Pediatr. 2019;5(3):223-35. doi: 10.1007/s40746-019-00166-3. [ Links ]

Contribución de los autores: Revisión de la bibliografía: Maria Camila Mendieta-Madiedo 33%, Pablo Salomón Montes Arcón 33%, María Camila Martínez Otero 33% Redacción: Maria Camila Mendieta-Madiedo 33%, Pablo Salomón Montes Arcón 33%, María Camila Martínez Otero 33% Revisión: Maria Camila Mendieta-Madiedo 33%, Pablo Salomón Montes Arcón 33%, María Camila Martínez Otero 33%

Nota: Los autores declaran que no existe conflicto de interés.

Nota: Este artículo fue aprobado por el editor Gustavo Rodríguez Temesio

Recibido: 19 de Julio de 2023; Aprobado: 08 de Febrero de 2024

Creative Commons License Este es un artículo publicado en acceso abierto bajo una licencia Creative Commons