SciELO - Scientific Electronic Library Online

 
vol.8 issue1Penetrating neck trauma with section of the thyrohyoid membrane. Case reportCongenital stenosis of the anal canal. Clinical case author indexsubject indexarticles search
Home Pagealphabetic serial listing  

Services on Demand

Journal

Article

Related links

Share


Revista Cirugía del Uruguay

On-line version ISSN 1688-1281

Cir. Urug. vol.8 no.1 Montevideo  2024  Epub Dec 01, 2024

https://doi.org/10.31837/cir.urug/8.1.13 

CASO CLINICO

Leiomiosarcoma retroperitoneal: Informe de un caso

Retroperitoneal Leiomyosarcoma: Case report

Leiomiossarcoma retroperitoneal: relato de caso

Luis Miguel López Camarena1 
http://orcid.org/0009-0009-4889-6006

Paula Lizeth Gutiérrez Sánchez2 
http://orcid.org/0009-0005-4569-3730

Francisco Alejandro Pérez Mena3 
http://orcid.org/0009-0007-7839-4889

Marco Antonio Olvera Olvera3 
http://orcid.org/0009-0000-5739-060X

Alejandro Esparza Cueva1 
http://orcid.org/0009-0000-7643-7725

Francisco Aguilar Espinosa4 
http://orcid.org/0000-0001-8633-3954

1Residente de primer año de cirugía general, Hospital general de zona con medicina familiar No.21, IMSS, león, Guanajuato, México. miguel_luismed@hotmail.com, esparzacuevaalejandro@gmail.com

2Médico cirujano y partero, Universidad de Guadalajara, Jalisco, México. paula.gutierrez.sanchez.med@gmail.com

3Médico de base adscrito a cirugía general, Hospital general de zona con medicina familiar No.21, IMSS, león, Guanajuato, México. alejandropm1984@hotmail.com, macox7@gmail.com

4Médico de base adscrito a cirugía general, Hospital General de zona No.21, IMSS, Tepatitlán de Morelos, Jalisco , México. franciscoaguilarresearch@gmail.com


Resumen

Presentamos el caso de un paciente masculino de 57 años con un leiomiosarcoma retroperitoneal encontrado de manera incidental. Es una patología poco común, la incidencia anual es 2.7 casos por millón de personas. De igual manera, es una enfermedad de evolución silenciosa, por lo que pasa inadvertida hasta que la masa tumoral alcanza un gran tamaño.Los leiomiosarcomas se evidencian como extensas áreas de heterogeneidad y realce heterogéneo, ocasionado por la presencia de necrosis y focos hemorrágicos.

Normalmente no hay presencia de calcificaciones y hay ausencia de tejido adiposo, de esta manera que una gran masa retroperitoneal mayor a 10 cm sin contenido graso y necrosis interna variable debe sugerir la posibilidad de un leiomiosarcoma.

La eliminación quirúrgica completa es el tratamiento de elección, ésta se debe realizar con márgenes negativos amplios, factor que repercute en el pronóstico, ya que estos tumores tienden a alcanzar un tamaño muy grande y, a menudo, la extirpación amplia es imposible, lo que afecta la supervivencia del paciente. Este tipo de neoplasias tienen un mal pronóstico, pues se sabe que la supervivencia a los 5 años es de aproximadamente 15%, debido a su alta tendencia a la invasión local, metástasis o diagnóstico tardío.

Palabras claves: Leiomiosarcoma; Neoplasias retroperitoneales; Sarcoma; Cirugía abdominal; Resección.

Abstract

We present the case of a 57-year-old male patient with a retroperitoneal leiomyosarcoma found incidentally. It is a rare disease, with an annual incidence of 2.7 cases per million people. Likewise, it is a disease with a silent evolution, so it goes unnoticed until the tumor mass reaches a large size. Leiomyosarcomas appear as extensive areas of heterogeneity and heterogeneous enhancement, caused by the presence of necrosis and hemorrhagic foci.

Normally, there is no presence of calcifications and there is an absence of adipose tissue, so a large retroperitoneal mass greater than 10 cm with no fat content and variable internal necrosis should suggest the possibility of a leiomyosarcoma.

Complete surgical removal is the treatment of choice, and should be performed with wide negative margins, a factor that affects the prognosis, since these tumors tend to reach a very large size and wide excision is often impossible, which affects the patient's survival. This type of neoplasm has a poor prognosis, since it is known that the 5-year survival rate is approximately 15%, due to its high tendency to local invasion, metastasis or late diagnosis.

Key words: Leiomyosarcoma; Retroperitoneal neoplasms; Sarcoma; Abdominal surgery; Resection

Resumo

Apresentamos o caso de um paciente do sexo masculino, 57 anos, comleiomiossarcoma retroperitoneal encontrado incidentalmente. É umapatologia rara, a incidência anual é de 2,7 casos por milhão de pessoas. Da mesma forma, é umadoença de evolução silenciosa, por issopassadespercebida até que a massa tumoral atinja umtamanho grande. Os leiomiossarcomasaparecem como extensas áreas de heterogeneidade e realce heterogêneo, causadas pela presença de necrose e focos hemorrágicos.

Normalmente nãohápresença de calcificações e háausência de tecido adiposo, portantouma grande massa retroperitoneal maior que 10 cm semconteúdo de gordura e necrose interna variáveldeve indicar a possibilidade de leiomiossarcoma.

A remoçãocirúrgica completa é o tratamento de escolha, este deve ser realizado com amplas margens negativas, fator que afeta o prognóstico, poisesses tumores tendem a atingir tamanhomuito grande e, muitasvezes, a remoção ampla é impossível, o que prejudica a sobrevida do paciente. Esse tipo de neoplasia apresentamauprognóstico, pois sabe-se que a sobrevida em 5 anos é de aproximadamente 15%, devido à sua alta tendência à invasão local, metástaseou diagnóstico tardio.

Palavras-chave: Leiomiossarcoma; Neoplasias retroperitoneais; Sarcoma; Cirurgia abdominal; Ressecção

Introducción

Los sarcomas de tejidos blandos representan el 1% de todas las neoplasias malignas del adulto. Su aparición suele ser más habitual en extremidades 43%, seguido de localización visceral 19% y retroperitoneal 15%. Comprende un grupo de 50 estirpes histológicas; entre las más comunes se encuentran: liposarcoma 20%, liposarcoma pleomorfo indiferenciado 15% y leiomiosarcoma 13%. 1

Es una patología poco común con una incidencia anual de 2.7 casos por millón de personas, con pico máximo de aparición en 40 a 60 años, siendo más frecuente en mujeres.2

Este tipo de neoplasia es una enfermedad de evolución silenciosa, con sintomatología inespecífica, por lo que muchas veces pasa inadvertida hasta alcanzar un gran tamaño, causando síntomas asociados a compresión de órganos o estructuras adyacentes, así como el consecuente aumento de perímetro abdominal. Se ha evidenciado presencia de metástasis al momento del diagnóstico en el 23% de los pacientes con tumores intravasculares y en el 9% de los pacientes con tumores extravasculares, siendo los pulmones, el hígado y el peritoneo los órganos blancos mayormente afectados.3

Su tratamiento definitivo es la resección quirúrgica con márgenes negativos amplios, factor que repercute en el pronóstico, ya que estos tumores tienden a alcanzar un tamaño muy grande y, a menudo, la extirpación amplia es imposible, lo que afecta la supervivencia del paciente. Aunque presentan tasas bajas de recurrencia local (10%), se considera un tumor agresivo por sus tasas altas de enfermedad metastásica a distancia, que superan el 50% a los cinco años.4 Actualmente no existe evidencia definitiva que respalde el uso rutinario de radioterapia o quimioterapia adyuvantes.

La supervivencia a largo plazo tras la resección de sarcomas de tejidos blandos retroperitoneales, más allá del grado del tumor, está profundamente influenciada por la calidad de la resección quirúrgica. Factores adicionales cruciales incluyen la edad del paciente, el subtipo del tumor, su tamaño, la presencia de múltiples focos y el tratamiento integral proporcionado en un centro especializado en sarcomas.2

Presentación del caso

Se trata de paciente masculino de 57 años, quien menciona inicio de su padecimiento actual 5 meses previos a su ingreso con hiporexia, anorexia, fiebre de manera intermitente, pérdida de peso no intencionada de aproximadamente 10 kg, dolor leve abdominal de manera generalizada, tipo cólico y aumento del perímetro abdominal casi imperceptible.

Acude a urgencias por presentar caída desde su punto de sustentación, sobre su abdomen y costado izquierdo, presentando dolor y asociando un aumento de tamaño de masa abdominal en hemiabdomen izquierdo.

A la exploración física, se encuentra consciente, orientado, hipoactivo, con palidez de piel y tegumentos, con presencia de una masa palpable en todo hemiabdomen izquierdo, adherida a planos profundos, no móvil, no dolorosa, de aproximadamente 15 cm, sin datos de irritación peritoneal.

Se realiza ultrasonograma (USG) en escala de grises y Doppler color, que reporta imagen heterogénea localizada en retroperitoneo, sugerente de hematoma maduro. Sin embargo, debido a los antecedentes del paciente y la baja sensibilidad y especificidad del USG, se decide la toma de una tomografía computarizada contrastada para esclarecer dudas sobre el diagnóstico.

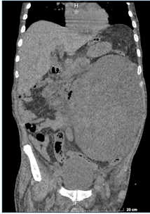
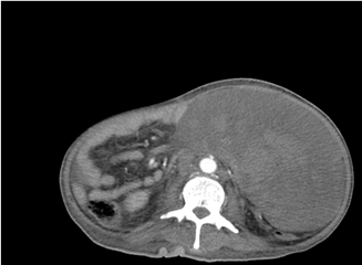
Por consiguiente, se procede a realizar tomografía abdominopélvica axial computarizada con contraste endovenoso, la cual reporta tumoración ovalada retroperitoneal de 19.55 x 10.90, con volumen aproximado de 3300cc con densidades mixtas, que ocupa hemiabdomen izquierdo, sugerida como hematoma retroperitoneal en el reporte oficial del estudio (Fig.1) y (Fig. 2).

Fig.1 Tomografía axial computarizada con contraste abdominopélvica en corte transversal. Muestra masa de densidades mixtas 

Fig.2.  Tomografía axial computarizada con contraste abdominopélvica en corte coronal. Muestra masa de densidades mixtas 

Se completa protocolo preoperatorio y se planifica tiempo quirúrgico con el diagnóstico de hematoma retroperitoneal. Se realiza laparotomía exploradora con incisión suprainfraumbilical, al incidir cavidad se reporta hallazgo de 2000 ml de líquido cetrino libre, del cual se toman muestras y se envían para estudio citológico y citoquímico. Así pues, se encuentra tumoración de 20x20 cm (Fig.3) con peso aproximado de 6 kg, con adherencias firmes en aorta, vena cava inferior, tumor, uréter izquierdo, epiplón, se diseca tumor a 5 cm de su base, sin datos de carcinomatosis (Fig.4).

Fig. 3 Pieza tumoral extraída 

Fig. 4 Lecho quirúrgico tras extracción de pieza 

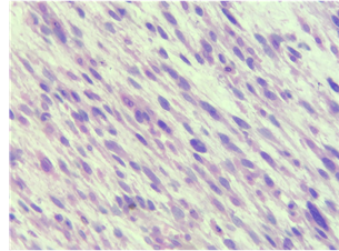
El estudio anatomopatológico informa leiomiosarcoma de alto grado, de 25.5 x 22 x 9 cm, grado histológico 2 (moderadamente diferenciado) T4 Nx Mx, con fibras alargadas, haces extensos y entrecruzados de células fusiformes con núcleos alargados, necrosis 40%, tasa mitótica < 5 en 10 hpf, (Fig. 5). Por su parte, el estudio citoquímico arroja leucocitos de 552mm3, polimorfonucleares de 28%, mononucleares de 72%, glucosa 138mg/dL, deshidrogenasa láctica de 1,823 U/L. No se cuenta con resultados del estudio citológico.

Fig. 5 Leiomiosarcoma moderadamente diferenciado con fibras alargadas, hacer extensos y núcleos alargados (HE x 400). 

El paciente presentó evolución postquirúrgica inmediata favorable, sin embargo, al sexto día postoperatorio comienza con datos de dificultad respiratoria y con datos de síndrome de respuesta inflamatoria sistémica, falleciendo al séptimo día con diagnóstico de neumonía por SARS-CoV- 2 confirmado por PCR.

Discusión

Este caso resalta la importancia de una buena historia clínica, así como el criterio médico propio, ya que el contar con estudios de imagen sugerentes de cierto diagnóstico, no es indicador definitivo para darlo por hecho, es necesario “correlacionar con la clínica y antecedentes del paciente”.

El leiomiosarcoma representa el segundo sarcoma maligno de retroperitoneo más común, siendo identificado en el 28% de los casos. Suele aparecer con mayor frecuencia en mujeres que en hombres, con un pico de incidencia de edad entre los 40 a 60 años. 5

Se cree que este tipo de sarcoma tiene su origen en el músculo liso de los grandes vasos sanguíneos retroperitoneales, como vena cava inferior y sus ramas alimentadoras, sin embargo, estos tumores suelen manifestarse comúnmente como extravasculares, en 62% de los casos, como lo fue en el caso anteriormente descrito. Se tiene reporte que 33 % de los leiomiosarcomas tienen un componte mixto, intra y extravascular, y que solo el 5% se consideran estrictamente intravasculares.5

La presentación clínica clásica es una masa abdominal incidental, asintomática o con síntomas inespecíficos, como malestar abdominal generalizado, fiebre, sudores nocturnos o pérdida de peso no intencionada.6 En el caso presentado, el paciente debuta 5 meses antes de su hospitalización, con datos de síndrome constitutivo. Sin embargo, paciente no acude hasta presentar una caída de su propia altura, siendo su motivo de consulta el dolor posterior a esta. No obstante, se tuvieron en cuenta los antecedentes referidos del paciente para buscar signos de una neoplasia, encontrados más claramente en la tomografía abdominal contrastada.

Normalmente el curso de estos tumores es asintomático hasta alcanzar tamaños > 15 cm7, causando síntomas relacionados al efecto de masa respecto a estructuras circundantes como, edema de las extremidades inferiores por compresión de la vena cava inferior, dolor referido a la ingle por la compresión o invasión local de los nervios retroperitoneales, saciedad temprana y obstrucción intestinal por compresión intestinal y ascitis serosa debido a la compresión de la vena porta.8 Este curso silencioso es debido a la propiedad del retroperitoneo de contener volúmenes grandes de masa tumoral y crecer sin limitación de espacio, retrasando su detección y conduce al diagnóstico incidental por aparición de masas tumorales de considerable tamaño, a pesar de ello, en este caso queda la duda si el antecedente de trauma abdominal tiene relación con la exacerbación de síntomas, dado que comenzó a referir un mayor aumento de volumen de la masa abdominal, lo que ponía en duda la posible consideración del hematoma sugerido en los estudios de imagen.

También pueden proporcionar síntomas por metástasis o síndromes para neoplásicos en etapas avanzadas, afectando a 9 % de los pacientes con un tumor extravascular y a el 23% con un tumor intravascular, siendo la diseminación por vía hematógena, afectando principalmente al hígado y el pulmón.3,9

Para la integración diagnóstica es necesario someter a los pacientes a una evaluación por imagen para caracterizar y definir la extensión de la masa abdominal detectada. Se acepta a la tomografía computarizada contrastada como el estándar de oro para la valoración de los sarcomas retroperitoneales, ya que facilita determinar la extensión local, así como sitios distales de enfermedad metastásica.10

Los leiomiosarcomas se evidencian como extensas áreas de heterogeneidad y realce heterogéneo, ocasionado por la presencia de necrosis y focos hemorrágicos.

Generalmente no hay presencia de calcificaciones y hay ausencia de tejido adiposo, de esta manera, se puede inferir que una gran masa retroperitoneal mayor a 10 cm sin contenido graso y necrosis interna variable debe sugerir la posibilidad de un leiomiosarcoma. 3,4,10Respecto al caso presentado la evaluación inicial se realizó mediante la realización de un USG Doppler, el cual fue sugestivo de una imagen compatible con hematoma retroperitoneal, lo que llevo a la toma de una tomografía abdominopélvica contrastada, con densidades mixtas, lo cual apoyaba más la impresión diagnóstica de un hematoma retroperitoneal según lo indicado en el reporte oficial.

Macroscópicamente los leiomiosarcomas se perciben como masas de color blanco- carnosas, con focos de hemorragia y necrosis, indistinguibles de otros sarcomas. Mientras que microscópicamente se componen de fascículos largos, con citoplasma abundante, el núcleo suele estar centralmente localizado con extremos romos similar a la forma de un cigarro.3,11.

Por la evolución silenciosa de este tipo de tumor y dado que la mayoría se diagnostica con tamaños > 15 cm, suele generar compromiso de estructuras adyacentes, dificultando la escisión quirúrgica, tal como sucedió en el caso presentando, teniendo firmes adherencias al uréter izquierdo, empero, la resección quirúrgica R0 fue posible en el caso de este paciente. Se sabe que el único tratamiento curativo para los leiomiosarcomas es la extracción quirúrgica completa12 y en la actualidad no hay una evidencia definitiva que recomiende el uso rutinario de radioterapia o quimioterapia adyuvantes en los leiomiosarcomas.13

De manera empírica el leiomiosarcoma retroperitoneal se considera un tumor de mal pronóstico, sin embargo, el grado y el tamaño son los factores pronósticos más importantes para la supervivencia específica de la enfermedad, encontrando los tumores de alto grado y > 10 cm como los de peor pronóstico.14

Conclusión

El leiomiosarcoma retroperitoneal es un tipo de tumor poco frecuente, con un mal pronóstico, con una supervivencia general a 5 años de 15%, debido a su alta tendencia a la invasión local, metástasis, diagnóstico tardío, lo que conlleva un reto de resección quirúrgica y esta se ve relacionada con la recurrencia tumoral e invasión a distancia.

Es de relevancia que existan centros de referencia para sarcomas retroperitoneales. Pues se enfatiza la necesidad de evaluación histopatológica de cualquier tumor retroperitoneal para confirmar estripe histológica, ya que macroscópicamente no es diferenciable de otros sarcomas gigantes, y así se pueda individualizar cada caso y se valoren los riesgos y beneficios de las terapias sugeridas, pudiendo tener una mejor visión sobre las decisiones acerca la mejor secuencia terapéutica con la mínima morbilidad.

Recordemos entonces la gran importancia que se tiene la historia clínica completa de un paciente en particular, ya que esta nos otorga datos clave que nos guían hacia un diagnóstico más certero, pudiendo así ofrecer una mejor atención de manera integral a nuestros usuarios de servicios de la salud.

Bibliografía

1. von Mehren M, Kane JM, Agulnik M, Bui MM, Carr-Ascher J, Choy E, et al. Soft Tissue Sarcoma, version 2.2022, NCCN Clinical Practice Guidelines in Oncology. J Natl Compr Canc Netw. 2022;20(7):815-33. doi: 10.6004/jnccn.2022.0035 [ Links ]

2. Messiou C, Moskovic E, Vanel D, Morosi C, Benchimol R, Strauss D, et al. Primary retroperitoneal soft tissue sarcoma: Imaging appearances, pitfalls and diagnostic algorithm. Eur J Surg Oncol. 2017;43(7):1191-8. doi: 10.1016/j.ejso.2016.10.032 [ Links ]

3. Al-Dasuqi K, Irshaid L, Mathur M. Radiologic-pathologic correlation of primary retroperitoneal neoplasms. Radiographics. 2020;40(6):1631-57. doi: 10.1148/rg.2020200015 [ Links ]

4. Turgeon MK, Cardona K. Retroperitoneal sarcomas. Surg Clin North Am. 2022;102(4):601-14. doi: 10.1016/j.suc.2022.04.004 [ Links ]

5. Rajiah P, Sinha R, Cuevas C, Dubinsky TJ, Bush WH Jr, Kolokythas O. Imaging of uncommon retroperitoneal masses. Radiographics. 2011;31(4):949-76. doi: 10.1148/rg.314095132 [ Links ]

6. Kilkenny JW 3rd, Bland KI, Copeland EM 3rd. Retroperitoneal sarcoma: the University of Florida experience. J Am Coll Surg. 1996;182(4):329-39 [ Links ]

7. Stoeckle E, Coindre J-M, Bonvalot S, Kantor G, Terrier P, Bonichon F, et al. Prognostic factors in retroperitoneal sarcoma: A multivariate analysis of a series of 165 patients of the French Cancer Center Federation Sarcoma Group. Cancer. 2001;92(2):359-68. doi: 10.1002/1097-0142(20010715)92:2<359::AID-CNCR1331>3.0.CO;2-Y [ Links ]

8. Storm FK, Mahvi DM. Diagnosis and management of retroperitoneal soft-tissue sarcoma. Ann Surg. 1991;214(1):2-10. doi: 10.1097/00000658-199107000-00002 [ Links ]

9. Carlo M. Contrera,Maty J. Heslin. Sarcoma de tejidos blandos. En Sabiston: Tratado de Cirugía: Fundamentos Biológicos de la Práctica Quirúrgica Moderna Elsevier, 21ª edición, Barcelona, España, 2022, Capítulo 32 , p. 734-753. [ Links ]

10. Swallow CJ, Strauss DC, Bonvalot S, Rutkowski P, Desai A, Gladdy RA, et al. Management of primary retroperitoneal sarcoma (RPS) in the adult: An updated consensus approach from the transatlantic Australasian RPS working group. Ann Surg Oncol. 2021;28(12):7873-88. doi:10.1245/s10434-021-09654-z [ Links ]

11. Devaud N, Vornicova O, Abdul Razak AR, Khalili K, Demicco EG, Mitric C, et al. Leiomyosarcoma: Current Clinical Management and Future Horizons. Surg Oncol Clin N Am. 2022;31(3):527-46.doi: 10.1016/j.soc.2022.03.011. [ Links ]

12. Gilbeau L, Kantor G, Stoeckle E, Lagarde P, Thomas L, Kind M, et al. Surgical resection and radiotherapy for primary retroperitoneal soft tissue sarcoma. Radiother Oncol. 2002;65(3):137-43. doi:10.1016/S0167-8140(02)00283-9 [ Links ]

13. Bonvalot S, Gronchi A, Le Péchoux C, Swallow CJ, Strauss D, Meeus P, et al. Preoperative radiotherapy plus surgery versus surgery alone for patients with primary retroperitoneal sarcoma (EORTC-62092: STRASS): a multicentre, open-label, randomised, phase 3 trial. Lancet Oncol. 2020;21(10):1366-77. doi: 10.1016/S1470-2045(20)30446-0 [ Links ]

14. Gladdy RA, Qin L-X, Moraco N, Agaram NP, Brennan MF, Singer S. Predictors of survival and recurrence in primary leiomyosarcoma. Ann Surg Oncol. 2013;20(6):1851-7. doi: 10.1245/s10434-013-2876-y [ Links ]

Contribución de los autores Curación de datos: Marco Antonio Olvera Olvera Análisis formal: Alejandro Esparza Cueva Investigación: Luis Miguel López Camarena Metodología: Paula Lizeth Gutiérrez Sánchez Administración del proyecto: Francisco Aguilar Espinosa Supervisión: Francisco Alejandro Pérez Mena Validación: Marco Antonio Olvera Olvera Visualización: Alejandro Esparza Cueva Redacción - borrador original: Luis Miguel López Camarena, Paula Lizeth Gutiérrez Sánchez Redacción - revisión y edición: Luis Miguel López Camarena

Nota Los autores declaran que no existe conflicto de interés.

Nota Los datos de investigación no se encuentran disponibles.

Nota Este artículo fue aprobado por el editor Gustavo Rodríguez Temesio

Recibido: 13 de Junio de 2024; Aprobado: 16 de Agosto de 2024

Creative Commons License Este es un artículo publicado en acceso abierto bajo una licencia Creative Commons