Introducción
El adenoma hepático es un tumor benigno. Los métodos de imagen aumentaron la incidencia diagnóstica. Se dividen en diferentes subtipos que condicionan el pronóstico y terapéutica.
El objetivo de este trabajo es revisar la literatura de esta patología poco frecuente en base a un caso clínico.
El Adenoma Hepatocelular (AH) es un tumor hepático benigno, su diagnóstico ha aumentado gracias a la disponibilidad de métodos diagnósticos de imagen. Desde el punto de vista imagenológico se dividen en diferentes subtipos, los cuales guían las indicaciones terapéuticas y condicionan el pronóstico.
Historia clínica: Se presenta una paciente de 40 años, obesa, hipertensa.
Consulta por un hallazgo ecográfico de una tumoración hepática, heterogénea a nivel del lóbulo hepático derecho.
Clínicamente la paciente se presentó con síntomas inespecíficos, dolor abdominal gravativo, no relacionados con las ingestas, sin síndrome pigmentario ni fiebre. Sin alteración en los tránsitos digestivos. Al examen se presenta con un buen estado general, con un IMC de35. Destacándose un abdomen globuloso, no doloroso, ni otras particularidades sobre todo a la palpación.
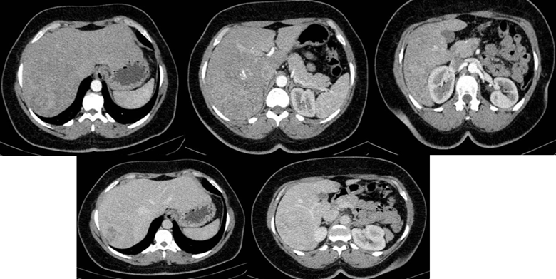
Paraclínica: La Tomografía de Abdomen y Pelvis con contraste intravenoso, trifásico destaca un hígado aumentado de tamaño de forma conservada. Se evidencia a nivel del lóbulo derecho, una voluminosa tumoración sólida, heterogénea, con áreas de realce con el contraste y áreas hipodensas centrales; midiendo 111 por 82mm. Concomitantemente presenta 2 imágenes quísticas periféricas. Sin dilatación de la vía biliar. (Figura 1).
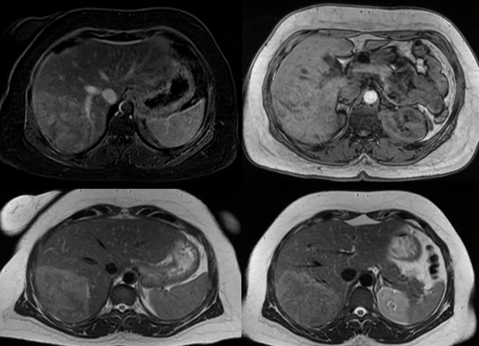
Resonancia Magnética: se destaca una imagen focal bien delimitada en el segmento 6 y 7 levemente Hiperintensa en T2, isointensa en T1, realza en fase arterial e isointensa en fase venosa y tardía salvo en sector interior hipointenso. Mide 111 x 70 x 125 mm sin dilatación de la vía biliar. Se informa como probable Adenoma esteatósico. (Figura 2).
Se decide tratamiento quirúrgico, discutida en Ateneo interdisciplinario, dado el tamaño, riesgo de complicaciones hemorrágicas y de transformación maligna.
Cirugía: incisión subcostal, movilización hepática, cargado de pedículo hepático. Sección parenquimatosa. Ligadura de pedículo del segmento 6 y 7. Clampeo selectivo mediante Maniobra de Pringle. Tiempo operatorio de 3 hs, pérdida hemática estimada 200 ml. (Figura 3).
Alta Hospitalaria al cuarto día de la cirugía. Buena evolución posoperatoria.
Controles posteriores en policlínica, resonancia al año sin elementos a destacar.
Anatomía Patológica: lesión hepatocelular bien diferenciada de límites imprecisos integrada por hepatocitos con leve anisonucleosis, sin clara atipia citonuclear. Se observa a trabéculas. Arteriolas sin ducto biliar acompañante. Y también seudo espacios Portas integrados por uno o varios vasos arteriales, alguno de pared engrosada. Con estroma Fibroso. Exudado inflamatorio, linfoplasmocitario y leve proliferación de células biliares. Destaca la dilatación vascular y sinusoidal. La trama ridiculita con técnicas de impregnación argéntica, globalmente conservada.
Inmunohistoquímica. Resultados CK 7 positivo. Para algunos hepatocitos. Beta-catenina: los hepatocitos presentan positividad de membrana. No se observa núcleo positivo. Glipican 3: negativo. Glutamin-sintetasa: positivo. Los hallazgos morfológicos e inmunofenotípicos en el contexto clínico de la paciente favorece el diagnóstico de adenoma hepático. Margen libre de lesión. Compatible con el subtipo inflamatorio con esbozo de patrón maplike focal. Amiloide A sérico: positivo, moderado a intenso. HPS 70: negativo. Ki 67: muy escasos núcleos marcados, menor a 1%.
Discusión
Los AH son tumores poco frecuentes, solitarios de estirpe epitelial, benignos. Se presentan en mujeres de edad fértil y asociado al consumo de anticonceptivos orales y estrógenos.1
Se estima incidencia de 3 a 4 casos por 100.000 mujeres. También pueden aparecer en varones relacionado al consumo de estrógenos anabolizantes que contengan andrógenos.
La Diabetes Mellitus, las enfermedades por almacenamiento del glucogéno (I, II, y IV) predisponen a este tumor.
Las mujeres embarazadas deben tener un control diferente por el riesgo de crecimiento, influenciado por los Estrógenos en la gestación, existe evidencia que sugiere que, en mujeres embarazadas con adenomas menores a 5 cm, tienen un crecimiento del Adenoma en una cuarta parte de la población.2
Estos tumores predominan en el hígado derecho, con proliferación de células parecidas a los hepatocitos normales, pero desorganizados y sin arquitectura lobular normal, sin ductos biliares ni tejido conectivo de sostén.
Los AH así como el resto de los tumores hepático, han aumentado su incidencia de la mano con el avance de la imagenología abdominal.
La importancia de la diferenciación con el resto de los tumores hepáticos benignos surge del potencial maligno de éstos.
Podemos clasificar a los pacientes según el perfil molecular asociado a marcadores inmunohistoquímicos.
Esta clasificación incluye a los:
-mutación HNF1 alfa inactivo, (30-35 %) frecuente en pacientes con esteatosis hepática, escaso potencial maligno.
-mutación beta-catenina(10 a 15 %) tienen mayores anomalías citológicas y formaciones seudoglandulares, así como alto riesgo de malignidad. Podría estar relacionado con el carcinoma hepatocelular. Hiperrepresentado en el sexo masculino.3
-el adenoma hepatocelular inflamatorio (AHCI), (40 a 50 %) Puede tener mutación de la beta catenina. Muestran elementos de respuesta inflamatoria activa, como ser aumento de expresión de marcador sérico de Amiloide A y proteína C reactiva.4 Es el patrón que muestra la paciente del caso clínico.
Estos pacientes asocian aumento de peso corporal y consumo alto de alcohol. Presentan dilatación sinusoidal, engrosamiento arterial y reacción ductal. Tienen mayor riesgo de hemorragia.
- un subgrupo no clasificado menos del 10%.
El uso de marcadores moleculares ha permitido separar a los AH la variedad telangiectasica previamente incluido en la variedad inflamatoria, volviendo al concepto de diferenciar subtipos clínicos, biológicos, patológicos, radiológicos, es importante para identificar el riesgo de transformación maligna.5
Se ha convertido la inmunohistoquímica de gran utilidad para identificar cambios moleculares subyacentes en los subtipos de HCA.6
La presentación clínica es indolente. Pocas veces debutan con síntomas vinculados a complicaciones como la hemorragia intratumoral o peritoneal, necrosis o rotura de éstos.
Dentro del arsenal imageneológico, la ecografía simple es difícil caracterizar a los AH, a diferencia de la ecografía contrastada que los caracteriza en un 79%.
La tomografía computada (TC)sin contraste muestra lesiones iso o hipodensas, en fase arterial son hipervasculares en el 80% de los casos. En la fase portal tienen un lavado rápido y en la portal tardía demuestran componente fibrosos, con retraso en la eliminación del contraste y realce de la capsula.
La Resonancia magnética (RM) es un buena para la caracterización tisular; pudiendo alcanzar mayor sensibilidad y especificidad de las lesiones con las imágenes ponderadas por difusión y contrastes hepato especificos. La RM es gran valor en el diagnóstico, permitiendo definir conductas entre tumores benignos y malignos así como pseudotumores.7Son lesiones marcadamente hipervasculares con captación de contrastes extracelulares persistente en la fase tardía.
El tratamiento será individualizado, determinado por la clínica, la variedad de subtipos, y la evolución. Debido a la complejidad de la enfermedad, el tratamiento de la HA es uno de los mejores ejemplos de abordaje individualizado en unidades hepatobiliares.8
En pacientes asintomáticos se suspenderá los anticonceptivos orales y anabólicos.
La resección quirúrgica está indicada en los AH mayores a 5 cm.9
Tradicionalmente las AH se resecaban por el riesgo de complicaciones.
Actualmente se acepta 5 cm como punto de corte, así como el crecimiento de la lesión de 1 a 2 cm en dos controles.
En menores a 5 cm es rara la malignización o hemorragia. Algunos autores proponen la biopsia para descartar la mutación beta-catenina, esto puede aumentar complicaciones y no ser del todo fiable.10
En hombres estará indicada la resección por el riesgo de mutación de la beta-catenina, y transformación maligna.
En mujeres embarazadas puede estar indicada la resección sobretodo con riesgo de sangrado.11Las pacientes con Adenomas y deseo gestacional se plantea la cirugía previamente.
La cirugía laparoscópica del hígado, se recomienda la realice un cirujano con experiencia en cirugía hepática y capacitación laparoscópica avanzada. Inicialmente se prefieren las lesiones de segmentos laterales y anteriores izquierdos. Resecciones mayores se realizan hoy por equipos de expertos. Las ventajas del abordaje mínimamente invasivo, como meno dolor y las complicaciones parietales, menor tasa de sangrado, menor estancia hospitalaria.12
La Ablación por radiofrecuencia (ARF) podría ser una alternativa para AH en pacientes no operables,
o en los que la misma requerirá una hepatectomia mayor.
Habitualmente requiere varias secciones. Indicada para lesiones centrales u múltiples, mujeres que desean quedar embarazadas.10
La ARF está indicada para AH menores de 3 cm, dependiendo de la localización.
La embolización transarterial podrá ser beneficiosa en estas lesiones arteriales hipervasculares, en pacientes con inestabilidad hemodinámica, pero desafiante. En el caso de adenomas rotos podría considerarse tratamiento de primera línea siendo exitoso y mínimamente invasivo.13

















