Introducción
La apendicitis aguda (AA) es el cuadro quirúrgico agudo más frecuente.(1)(2. Su evolución natural es la perforación parietal, luego de la cual existen dos posibilidades evolutivas: la peritonitis difusa, o el bloqueo epiploico-visceral y localización del proceso infeccioso3. Estas formas evolucionadas se definen como masas inflamatorias de origen apendicular (MIA).3)(4)(5 La definición, anglosajona, inflammatory appendiceal masses abarca las entidades que en nuestro medio se conocen como plastrón apendicular y/o plastrón apendicular abscedado. Representan el 3 % de las AA.1)(3 Su manejo terapéutico cuenta con varias opciones. Puede ser sistematizado en cirugía de inicio o tratamiento conservador. Este último consiste en antibioticoterapia exclusiva o asociada al drenaje percutáneo, y eventual apendicetomía electiva (AE). Fue descrito por Ochsner en 1902 y popularizado por Bailey.4)(6 Tiene su origen de necesidad, en pacientes en los que por contexto (guerra, transporte marítimo, ausencia de cirujano) la cirugía debía ser diferida. Actualmente es una estrategia terapéutica de utilidad, evitando emprender una cirugía mórbida en un ambiente loco-regional inflamatorio hostil.3)(4) Sin embargo, la ausencia de apendicectomía y confirmación anatomo patológica conlleva a la necesidad de seguimiento de estos pacientes y eventual indicación de AE.
Objetivo
Presentar un caso clínico en el que se realizó un manejo antibiótico exclusivo de una MIA y realizar una revisión bibliográfica respecto a las recomendaciones de seguimiento e indicación de AE. Se utilizaron las bases de datos: PubMed, Cochrane Library, SciELO y LILACS.
Reporte de caso
Paciente de 30 años, masculino, obeso, que ingresa a emergencia por dolor en fosa ilíaca derecha (FID) y fiebre de 10 días de evolución. Presentaba una consulta previa en policlínica a las 72 horas del inicio del cuadro donde con planteo de infección urinaria se habían indicado ciprofloxacina vía oral. Al examen físico presentaba un abdomen globuloso y una tumoración palpable dolorosa en FID. De la paraclínica se destacó leucocitosis (17.000×109/L). La tomografía computada (TC) evidenció una masa inflamatoria en FID de epicentro el complejo ceco apendicular, de paredes mal delimitadas con aumento de la densidad de la grasa adyacente de aspecto inflamatorio. No se evidenció liquido libre o neumoperitoneo (Figura 1). No se identificó el apéndice cecal.
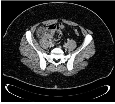
Con planteo de MIA el paciente ingresó para tratamiento antibiótico presentando una buena evolución. Se otorgó el alta a los 5 días, asintomático, indicando completar 5 días de antibióticos. Se controló en policlínica a la semana y al mes. A los 9 meses el paciente re consulta en emergencia por dolor en FID. Una nueva TC evidencia la presencia de un proceso inflamatorio ceco apendicular (Figura 2), reingresando para tratamiento antibiótico. La recurrencia sintomática motivó completar la valoración con videocolonoscopía (VCC) con ileoscopía y solicitud de marcadores tumorales a fin de descartar diagnósticos diferenciales, no presentando alteraciones. Dada buena evolución clínica - humoral, se otorgó el alta hospitalaria a los 7 días. A los 4 meses se solicitó control con TC, evidenciando la persistencia de una imagen patológica. El episodio de recurrencia y la persistencia de una imagen patológica tomográfica motivaron la AE. Fue realizada a los 10 meses, de coordinación por abordaje laparoscópico. El apéndice cecal se encontraba en situación latero cecal interno, involucrado en un proceso adherencial laxo (Figura 2). Se realizó la apendicetomía sin incidentes, otorgándose el alta a las 24 horas (Figura 2). Se otorgó el alta definitiva con el resultado de la anatomía patológica que evidenció infiltrado inflamatorio leucopiocitario difuso y transmural, en ausencia de elementos de malignidad.

Figura 2: Fuente: A: TC corte axial que evidencia al re ingreso proceso inflamatorio a nivel del FID, no se identifica apéndice cecal. B: TC de control a los 4 meses. Se evidencia la persistencia de imagen patológica (flecha roja). C: Intraoperatorio, apéndice cecal (en verde) D: Pieza abierta por borde anti mesentérico. Mucosa macroscópicamente sana elaboración propia.
Discusión
Las MIA se presentan en el 4 % de los pacientes con AA..(3 Son generalmente paucisintomáticos, consultando tardíamente.3)(7 Es frecuente que presenten consultas previas, y hayan recibido antibióticos que favorecen el bloqueo del proceso. La signo-sintomatología cardinal es la presencia de dolor, fiebre y tumoración palpable en fosa ilíaca derecha. La semiología puede ser dificultosa en pacientes obesos como en este caso.3)(7. La TC constituye un pilar diagnóstico8)(9. Permite valorar la presencia de la MIA, así como la presencia de abscedación. El apéndice cecal puede ser identificado o no, elemento de peso en las decisiones terapéuticas. Dentro de la clasificación de la AAST (American Association for the Surgery on Trauma) estos hallazgos tomográficos corresponden a un Grado 4. 10) La presencia de neumoperitoneo o peritonitis que excluyen el manejo conservador. Luego de un manejo conservador, la ausencia de apendicectomía y de confirmación anatomo patológica etiológica obliga a un seguimiento prudente que tiene como objetivo pesquisar episodios de sintomatología recurrente y evitar el retraso diagnóstico de una enfermedad maligna o inflamatoria intestinal subyacente.3. La probabilidad de diagnósticos diferenciales oscila entre el 0 y 10 %. 11. Andersson reporta en 2.771 pacientes, un 1.4 % de pacientes con cáncer de colon y un 0.7 % de pacientes con enfermedad de Crohn3 lo que motiva al control imagenológico y/o endoscópico. 3. La TC tiene la ventaja que permite el control evolutivo objetivo. Parecería tener mayor valor comparativamente a la VCC dado permite mejor caracterización de tumoraciones apendiculares. 12. La VCC es especialmente necesaria en pacientes mayores de 40 años donde la incidencia de enfermedad neoplásica aumenta. 2)(3 En mayores de 65 años su solicitud debe ser sistemática. 13. En pacientes jóvenes debe ser solicitada con ileoscopía frente a sospecha enfermedad de Crohn. Otras indicaciones se resumen en la (Tabla 1). La limitante del seguimiento es la adherencia del paciente. Frías-González en un estudio latinoamericano, reporta un 47% de adherencia al control ambulatorio. La mayor pérdida es al mes del episodio inicial.14 Otros autores reportan pérdidas similares4)(6.

Tabla 1: Fuente: Indicaciones para solicitud de estudios adicionales en pacientes con exitoso MNO elaboración propia.
El esquema terapéutico clásico de Ochsner - Sherren culmina con la AE. Sus objetivos son: prevenir la recurrencia y evitar el retraso diagnóstico de una patología subyacente de mayor importancia pronostica. 3)(11 La indicación es controversial.
El índice recurrencia oscila entre el 6 - 20 % (Tabla 2). 2)(11 La serie de Deldeer es la única en la bibliografía que reporta recurrencias en más del 50 %. El manejo de estos pacientes requirió en más de la mitad, tratamiento invasivo (drenaje percutáneo o cirugía). El índice de recurrencia y necesidad de maniobras invasivas fue menor para pacientes en los que se asoció tratamiento percutáneo de inicio. 4 Tekin en un estudio retrospectivo sobre el rol de la AE, 89 pacientes fueron seguidos por 3 años. Es una de las publicaciones con mayor tiempo de seguimiento. El total de recurrencias fue del 14.6 %, más de la mitad los primeros 3 meses.5 No parecerían identificarse factores predictivos de apendicitis recurrente que inclinen la decisión a favor de la AE. Dixon en un estudio retrospectivo de 237 pacientes con tratamiento conservador, el 14 % presentaron apendicitis recurrente. No se encontraron diferencias estadísticamente significativas en cuanto a características demográficas y clínicas entre el grupo recurrente y no recurrente. 15 El curso evolutivo fue más leve en comparación con el primer episodio, y requirió menos días de internación.15 La baja proporción de pacientes recurrentes, el curso evolutivo leve y la buena respuesta al tratamiento en el segundo episodio hace que algunos autores sostengan que la AE no debe ser realizada de forma sistemática.15)
Otra indicación de AE es la sospecha de neoplasia apendicular. 16 De Jonge, encontró mayor prevalencia de neoplasias apendiculares en pacientes en los que se realizó AE luego de un manejo conservador en comparación con los pacientes operados de inicio (11 % vs. 1.5 %). Destacamos que la mitad de los pacientes en los que se realizó AE presentaba una imagen tomográfica sospechosa de malignidad por lo que existiría un sesgo de selección en este grupo.16 En el caso reportado el episodio de recurrencia y la persistencia tomográfica de una imagen patológica sospechosa fueron indicación de AE. La anatomía patológica de la pieza fue negativa para malignidad.
Las últimas guías de manejo de la apendicitis aguda (2020) no recomiendan la AE sistemática en pacientes menores a 40 años, a excepción de aquellos con síntomas recurrentes (evidencia 1B). En pacientes mayores de 40 años se recomienda el seguimiento con TC en vistas a descartar neoplasias apendiculares que pueden tener una incidencia del 3 al 17 % en esta franja etaria (evidencia 2C). 1) La oportunidad de la AE se recomienda luego de las 6 semanas, cuanto más precoz algunos autores proponen que disminuiría la probabilidad de recurrencia, así como la pérdida de seguimiento. 11)(16)(17 En nuestra experiencia, fue realizada a los 10 meses. Aún con el tiempo de espera adecuado, la AE puede presentar hasta un 11 % de morbilidad adicional.3 Young, no encontró diferencia estadísticamente significativa entre pacientes con apendicectomía temprana vs AE en lo que respecta a vía de abordaje, necesidad de resección visceral y complicaciones post operatorias a los 90 días. Los pacientes del grupo AE si tuvieron un tiempo de internación post operatorio significativamente menor (4.3 vs 1.0), lo que puede estar vinculado a la necesidad de control del foco infeccioso y antibioticoterapia intravenosa en el primer grupo de pacientes. 17 En la experiencia presentada, resultó un procedimiento sin incidentes y el paciente se fue de alta a las 24 horas.
Conclusiones
Las MIA representan un desafío terapéutico, requiriendo un manejo específico. El tratamiento conservador es alternativa frente a emprender una apendicectomía demandante, con riesgo de no identificar el apéndice cecal, lesión visceral y necesidad de conversión o resecciones extendidas. Sin embargo, en estos pacientes, la ausencia de la confirmación diagnóstica anatomo-patológica obliga a un seguimiento prudente a fin de descartar diagnósticos diferenciales de mayor relevancia pronostica y pesquisar recurrencias sintomáticas. La AE tiene indicación frente a la persistencia de dudas diagnósticas, o en pacientes con apendicitis recurrentes
















