El síndrome de Bouveret fue descripto por primera vez en 1986 por Léon Bouveret. Se produce por la migración de un cálculo en la vesícula biliar hacia el duodeno a través de una fístula colecistoduodenal. Al tratarse de cálculos de gran tamaño, producen obstrucción del tracto digestivo, desencadenando vómitos y dolor abdominal. La litiasis vesicular sintomática, sin tratamiento, puede producir inflamación crónica, generando adherencias entre el sistema biliar y gastrointestinal. Estas adherencias, cuando se perpetúan, pueden producir fibrosis y erosión generando fístulas con el tubo digestivo.
El 60-80% de los pacientes tienen antecedentes de patología biliar. La relación mujer-hombre es de 7 a 1, es más frecuente entre la sexta y la séptima década de la vida1)(2)(3.
El objetivo de este trabajo es presentar el caso de una paciente en un estadio previo de la enfermedad, donde la fístula colecistoduodenal se encuentra constituida, pero sin migración del cálculo hacia el duodeno.
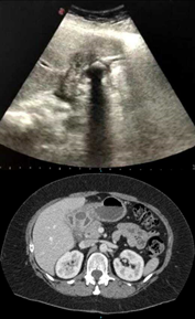
Una paciente femenina de 52 años, con antecedentes de obesidad y diabetes, ingresó a la guardia por dolor de tipo cólico en hipocondrio derecho asociado a vómitos de dos semanas de evolución (Figura 1). Se realizó una ecografía abdominal observando la vesícula biliar colapsada y una imagen hiperecogénica de 2x2 cm con sombra acústica posterior compatible con macro cálculo en bacinete, próximo a la pared duodenal (Fig.1. superior). La vía biliar, intrahepática y extrahepática, no se encontraba dilatada. La tomografía computada con contraste endovenoso mostró hallazgos similares. (Fig.1. inferior).
Se realizó una video endoscopía digestiva alta, informando una lesión sobreelevada en volcán con fibrina blanquecina y pliegues edematosos a su alrededor, ubicada en la cara anterior del bulbo duodenal (ulcera A1). Se decide realizar un abordaje laparoscópico. Colocamos 4 puertos, introduciendo el puerto epigástrico hacia la izquierda del ligamento redondo para obtener mejor ángulo en caso de realizar sutura intracorpórea4.(Figura 2). En la laparoscopía se observa colecistitis crónica con adherencias firmes entre la vesícula biliar y el borde duodenal, correspondiendo a un grado 4 de la clasificación de Parkland (Fig.2A)5. Luego de la liberación de adherencias, se identificó el bacinete adherido al borde duodenal. Se realizó la apertura del bacinete vesicular sobre el cálculo y extracción de mismo (Fig.2B). Insertamos una sonda de tipo Foley a través del puerto de 5 mm del hipocondrio derecho colocándola en el orifico del bacinete (Fig.2C), luego inyectamos contraste, observando pasaje de contraste a duodeno compatible con una fístula colecistoduodenal (Fig.2D).

Figura.2: Imágenes intraoperatorias. A: Proceso inflamatorio con adherencias firmes entre vesícula y duodeno. B: Apertura de bacinete vesicular sobre macro-cálculo. C: Introducción de sonda Foley en bacinete para realizar fistulografía intraoperatoria. D: Fistulografía que evidencia fistula colecistoduodenal.
Se realizó cierre del bacinete con sutura reabsorbible y colecistectomía parcial. La paciente evolucionó satisfactoriamente, externándose a las 48 horas.
El diagnóstico clásico del Bouveret se realiza con imágenes, observando aerobilia, imagen de cálculo ectópico, y distensión gástrica1)(2)(3. Estos hallazgos característicos no fueron observados en nuestra paciente, probablemente debido a que al tratarse de un estadio previo al Bouveret, la fístula colecistoduodenal se encontraba constituida pero bloqueada por el cálculo.
El tratamiento es controvertido. El abordaje endoscópico, podría ser beneficioso debido a su presentación en pacientes añosos con comorbilidades asociadas, permitiendo realizar diagnóstico y tratamiento, sin embargo, su utilidad es limitada ya que hasta en un 33 % de los casos no se evidencia el cálculo o no puede extraerse debido a su gran tamaño6)(7. Otra opción terapéutica es la litotricia extracorpórea para fragmentar el cálculo y poder extraerlo posteriormente por endoscopía, sin embargo, requiere de tecnología costosa y no se encuentra disponible en todos los centros médicos6. Cuando la endoscopía no tiene éxito, el tratamiento es quirúrgico.
El tratamiento de la patología obstructiva únicamente o de la etiología biliar en el mismo acto, es materia de discusión. Actualmente la mayoría de los autores recomiendan realizar solo la enterotomía y extracción del cálculo8, difiriendo la cirugía biliar. La mejor solución dependerá del estado del paciente y la experiencia del cirujano, en nuestro caso, al encontrarse el cálculo en la vesícula biliar no hubo necesidad de gastrostomía, por otro lado, se pudo resolver la etiología biliar en un procedimiento similar a una colecistectomía laparoscópica con baja morbimortalidad postoperatoria.
En la bibliografía encontramos solo un artículo publicado similar al nuestro9 que describe una paciente femenina de 35 años con síndrome de Mirizzi por cálculo de 4 cm, que en la colangiopancreatografía retrograda endoscópica (CPRE) protruía hacia el duodeno sin fistula entérica asociada. Luego de la CPRE realizaron colecistectomía con tratamiento de la fistula biliar. A pesar de tratarse de un caso aislado en una patología infrecuente creemos que su diagnóstico y tratamiento en esta etapa tuvo un impacto favorable en el manejo del paciente, permitiendo realizar una cirugía de menor morbilidad, y tratar en el mismo acto la etiología biliar. Esto evitaría el riesgo de migración del cálculo hacia el duodeno y la posterior oclusión intestinal (síndrome de Bouveret, íleo biliar) con una mayor morbimortalidad















