SciELO - Scientific Electronic Library Online

 
vol.6 número1Tratamiento endoscópico de una fístula aguda tras gastrectomía vertical laparoscópicaTratamiento multidisciplinario de condrosarcoma gigante de fémur proximal mediante hemipelvectomía externa y reconstrucción con colgajo pediculado tipo Fillet flap: presentación de un caso clínico índice de autoresíndice de materiabúsqueda de artículos
Home Pagelista alfabética de revistas  

Servicios Personalizados

Revista

Articulo

Links relacionados

Compartir


Revista Cirugía del Uruguay

versión On-line ISSN 1688-1281

Cir. Urug. vol.6 no.1 Montevideo jul. 2022  Epub 01-Dic-2022

https://doi.org/10.31837/cir.urug.6.1.17 

CASO CLÍNICO

Metástasis cutánea metacrónica de carcinoma escamoso de canal anal

Methachronical cutaneous metastasis of squamous carcinoma of the anal canal

Metástase cutânea metacronica de carcinoma escamoso do canal anal

1Adjunta de Departamento de Cirugía Colorrectal. Hospital de la Marina Baixa, Alicante España.rebecasaeta@hotmail.com, anabelen.apio@gmail.com,

2 Médico Residente de Cirugía General y Digestiva. Hospital de la Marina Baixa, Alicante, España. paula_velayos93@hotmail.com


Resumen:

El tratamiento correcto de carcinoma escamoso avanzado requiere de un manejo multidisciplinar entre cirujanos, anatomopatólogos, radioterapeutas y radiólogos. Los protocolos están claros cuando nos hallamos ante una enfermedad localizada, sin embargo, cuando la enfermedad es metastática no existe evidencia científica de los pasos a seguir. Presentamos una paciente con un carcinoma escamoso del ano con una única metástasis cutánea metacrónica que fue tratada con cirugía y radioterapia posterior con buena respuesta.

Palabras clave: Carcinoma de células escamosas de canal anal; metástasis cutánea solitaria; tratamiento multidisciplinario

Abstract:

The right therapy of anal cancer needs a multidisciplinary management of surgeons, pathologists, radiotherapists and radiologist. The treatment of squamous cell carcinoma of the anal canal is well-known when the patient presents a locally disease, nevertheless, there is a lack of information with the advanced anal cancer. We report a case of a 74-year-old woman with a solitary methachronical cutaneous metastasis of anal cancer which responded perfectly to surgery and radiotherapy.

Keywords: squamous cell carcinoma of the anal canal; solitary cutaneous metastasis; multidisciplinary therapy

Resumo:

A correta terapêutica do câncer anal necessita de uma gestão multidisciplinar de cirurgiões, patologistas, radio terapeutas e radiologistas.O tratamento do carcinoma espinocelular do canal anal é bem conhecido quando o paciente apresenta uma doença local, porém, há uma falta de informação sobre o câncer anal avançado. Relatamos o caso de uma mulher de 74 anos com metástase cutânea metacrônica solitária de câncer anal que respondeu perfeitamente à cirurgia e à radioterapia.

Palavras-chave: carcinoma de células escamosas do canal anal; metástase cutânea solitária; tratamento Multidisciplinar

Caso clínico

Mujer de 74 años, fumadora, que en abril del 2019 se trató con quimioterapia y radioterapia por un carcinoma escamoso de ano pobremente diferenciado T1N1c hasta completar 54 Gy y mitomicina-xeloda con respuesta completa por el servicio de oncología. En diciembre del 2020 se le realizó una colostomía de descarga por incontinencia fecal. A los 2 años del tratamiento acude a consulta con una lesión indurada en el muslo compatible con recaída tumoral.

Tras un estudio completo sin hallar signos de recidiva loco regional ni a distancia, se tomó una biopsia la lesión confirmando carcinoma escamoso.

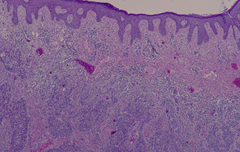
Se intervino en mayo del 2021 realizando exéresis del implante de 4x2,5 cm con márgenes libres. La anatomía patológica confirmó el hecho de ser una metástasis (fig.1) y no un primario ya que no había afectación de epidermis (fig.2, fig.3), el tumor crecía desde las capas inferiores a las superiores.

Posteriormente recibió radioterapia en el lecho quirúrgico. Actualmente, 11 meses más tarde, se encuentra libre de enfermedad.

Fig. 1 Metástasis cutánea de carcinoma anal  

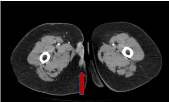
Fig. 2 TAC abdomino-pélvico con cortes bajos donde se evidencia el implante (flecha roja) 

Fig.3.  Imagen histológica. 

Discusión

El cáncer del canal anal es una neoplasia rara, aunque su incidencia está aumentando en las últimas décadas, representando el 3% de los tumores del tracto digestivo. El tipo histológico más frecuente es el carcinoma escamoso de ano que se asocia en un 80-85% a la infección por el virus papiloma humano (HPV), y en particular a los genotipos 16 y 18. 1

Entre un 80 y un 90% de los pacientes se presentan con enfermedad localizada y son subsidiarios de tratamiento con quimio-radioterapia, generalmente 5 FU, mitomicina y cisplatino. En cuanto a la RT, aunque la radiación óptima es controvertida, 40-50 GY repartidos en fracciones de 1.8-2 Gy en 20-28 sesiones en 4-5 semanas es lo usualmente recomendado. (2

Numerosos estudios se han centrado en el tratamiento óptimo del cáncer anal no metastático 3,4,5,6), sin embargo, hay escasez de publicaciones en torno al cáncer diseminado.

El cáncer de canal anal provoca crecimiento local a estructuras vecinas con afectación linfática de los ganglios meso rectales, inguinales e incluso en algunos casos diseminación hematógena.

Tan sólo 10 % de los pacientes presenta metástasis, lo que empobrece el pronóstico a una supervivencia a 5 años del 30%.

Las metástasis más frecuentes son las pulmonares, hígado y hueso. 7

El tratamiento en el caso de los pacientes con enfermedad oligometastática en la literatura es escaso y se limita a casos clínicos aislados. 8

Las metástasis cutáneas de tumores de víscera hueca son poco frecuentes, en torno al 1-5 %, siendo más frecuentes en mama (70%), ovario (3,3%), cavidad oral (2,3%) e intestino delgado (1,3%) en la mujer y en el hombre en pulmón (11%), intestino delgado (11%), cavidad oral (8,7%), riñón (4,7%), pulmón (2,4%) y esófago (2,4%).

Se presentan como un nódulo o masa que, en ocasiones, como en nuestra paciente, si no se tiene en cuenta la sospecha de metástasis, puede impresionar de un absceso.

Al revisar la literatura vemos que la publicación de casos de metástasis cutáneas de cáncer anal es escasa, habiendo hallado 1 caso en una revisión de 402 pacientes con metástasis cutáneas 10).

En dicho caso se trata de una mujer de 63 años que, al igual que nuestra paciente, ya ha presentado enfermedad ganglionar del mismo lado de la lesión, sólo que en este caso la metástasis era en el labio por lo que el tratamiento fue QTRT, ya que la cirugía habría sido demasiado agresiva. En ambos casos las pacientes se curaron con revisiones posteriores sin enfermedad. 11

Por lo tanto, hay que considerar que las pacientes con cáncer avanzado de ano pueden desarrollar metástasis cutáneas debido al drenaje linfático desde el ano hasta la zona de los ganglios inguinales.

Por lo excepcional de la enfermedad no hay un consenso claro sobre el manejo del carcinoma escamoso anal con metástasis. Algunos estudios han recogido series de pacientes para intentar llegar a determinar la actitud a seguir. Por eso nos parece de crucial importancia documentar los diferentes casos que se van sucediendo, así como su tratamiento y evolución con el fin de disponer de más información para el manejo de futuros casos clínicos.

Bibliografía

1 Dalmases M, Lucena CM, Cano-Jiménez E, Xaubet A, Agustí C. Endobronchial metastases of anal canal carcinoma. Arch Bronconeumol. 2012;48(7):258-60. doi: 10.1016/j.arbres.2011.07.007. [ Links ]

2. Martini G, Arrichiello G, Borrelli C, Poliero L, Martinelli E. How I treat anal squamous cell carcinoma. ESMO Open. 2020;4(SUppl.2)e000711. doi: 10.1136/esmoopen-2020-000711. [ Links ]

3. Franco P, Mistrangelo M, Arcadipane F, Munoz F, Sciacero P, Spadi R, et al. Intensity modulated radiation therapy with simultaneous integrated boost combined with concurrent chemotherapy for the treatment of anal cancer patients: 4-year results of a consecutive case series. Cancer Invest. 2015 ;33(6):259-66.doi: 10.3109/07357907.2015.1028586. [ Links ]

4. Foster CC, Lee AY, Furtado LV, Hart J, Alpert L, Xiao SY, et al. Treatment outcomes and HPV characteristics for an institutional cohort of patients with anal cancer receiving concurrent chemotherapy and intensity-modulated radiation therapy. PLoS One. 2018;13(3):e0194234. doi: 10.1371/journal.pone.0194234 [ Links ]

5. Belgioia L, Vagge S, Agnese D, Garelli S, Murialdo R, Fornarini G, et al. Intensified intensity-modulated radiotherapy in anal cancer with prevalent HPV p16 positivity. World J Gastroenterol. 2015;21(37):10688-96. doi: 10.3748/wjg.v21.i37.10688 [ Links ]

6. Yang N, Xu L, Wang Q, Chen F, Zhou Y. Construction and validation of a prognostic nomogram for anal squamous cell carcinoma. Cancer Med. 2022;11(2):392-405. doi: 10.1002/cam4.4458 [ Links ]

7. Kin C. So Now My Patient Has Squamous Cell Cancer: Diagnosis, Staging and Treatment of Squamous Cell Carcinoma of the Anal Canal and Anal Margin. Clin Colon Rectal Surg. 2018;31(6):353-60. doi: 10.1055/s-0038-1668105. [ Links ]

8. Wind KL, Serup-Hansen E, Havelund BM, Riber L, Kronborg CJS, Jakobsen A, et al. Definitive therapy for squamous cell carcinoma of the anus with synchronous metastases - a report from the Danish Anal Cancer Group. Acta Oncol. 2022;61(3):321-7. doi: 10.1080/0284186X.2021.1999497. [ Links ]

9. Pawlik TM, Gleisner AL, Bauer TW, Adams RB, Reddy SK, Clary BM, et al. Liver-directed surgery for metastatic squamous cell carcinoma to the liver: results of a multi-center analysis. Ann Surg Oncol. 2007;14(10):2807-16. doi: 10.1245/s10434-007-9467-8. [ Links ]

10. Wong CY, Helm MA, Helm TN, Zeitouni N. Patterns of skin metastases: a review of 25 years' experience at a single cancer center. Int J Dermatol. 2014;53(1):56-60. doi: 10.1111/j.1365-4632.2012.05635.x. [ Links ]

11. Sakanaka K, Ishida Y, Mizowaki T. A Case Report of Locally Advanced Anal Cancer with Solitary Cutaneous Nodular Metastasis in the Ipsilateral Labia Majora Treated with Definitive Chemoradiotherapy. Case Rep Oncol. 2019 ;12(3):721-7. doi: 10.1159/000503171. [ Links ]

1Contribución de los autores: Diseño y concepción: Rebeca Saeta, Ana Apio Cepeda Imágenes: Ana Apio Cepeda Redacción: Rebeca Saeta Interpretación de resultados: Rebeca Saeta Revisión crítica y bibliográfica: Paula Velayos García

Nota:Los autores declaran que no existe conflicto de interés

Nota: Este artículo fue aprobado por el editor Gustavo Rodríguez Temesio

Recibido: 04 de Abril de 2022; Aprobado: 27 de Septiembre de 2022

Creative Commons License Este es un artículo publicado en acceso abierto bajo una licencia Creative Commons