INTRODUCCION
La comunicación interauricular (C.I.A.) es la segunda cardiopatía congénita en frecuencia en jóvenes y adultos jóvenes después de la Aorta Bicúspide. Es más frecuente en el sexo femenino. Tipos de defectos dependiendo de su localización:
1. El más común es el defecto tipo Ostium Secundum (que representa 70% de los casos) localizado en el área de la fosa oval o parte media del septum
2. Ostium Primum: representa el 20% de los defectos y está localizado en la parte inferior del septum interatrial. Se asocia a hendidura de la Válvula Mitral.
3. Seno Venoso: representa 10% de los defectos inter-atriales; localizado en la porción superior y posterior del septum; próximo a la desembocadura de la Vena Cava Superior, se asocia a conexión venosa anómala parcial.
4. Tipo Seno Coronario: es un defecto raro, se caracteriza por ausencia total o parcial del techo del seno coronario, produciéndose un cortocircuito desde la Aurícula Izquierda al seno coronario y de ahí a la Aurícula derecha. Puede estar asociado a Vena Cava superior Izquierda Persistente.
Aurícula común: en ese caso existe una ausencia total o casi total del septum Inter-atrial.
El ecocardiograma en sus diferentes aplicaciones como son el Transtorácico (ETT) y el Transesofágico (ETE) han dejado de ser un procedimiento tan solo de uso diagnóstico para convertirse en una herramienta imprescindible para el cirujano cardiovascular y para el hemo-dinamista en los distintos procedimientos terapéuticos realizados en la sala de cirugía y en el laboratorio de hemodinamia, en los cuales la interrelación con el Anestesista es de mucha importancia. 1), (2), (3), (4), (5), (6
La reconstrucción en tres dimensiones es única entre todas las técnicas de diagnóstico cardiovascular ya que provee información tridimensional en vivo sin la necesidad de procesamiento posterior; dicha naturaleza dinámica compensa su baja resolución espacial y temporal, y es de gran auxilio ya sea para el cirujano o el hemo-dinamista para determinar más exactamente las características de un defecto congénito.
En la actualidad, la mayoría de los departamentos de Ecocardiografía utilizan las imágenes en 3D como suplemento del examen bidimensional convencional en aquellos casos donde este nuevo método posee una demostrada superioridad. Gracias a los avances de software, se espera que la resolución
Temporo-espacial de la reconstrucción tridimensional logre igualar a la del Eco bidimensional y permita además la fusión de imágenes tridimensionales a la Resonancia Magnética y el Angio-TAC. Así mismo, la miniaturización de los catéteres y transductores transesofágicos de 3D permitirá su uso rutinario y costo-efectivo durante el manejo intervencionista y quirúrgico de múltiples cardiopatías. 7
Las indicaciones más frecuentes de la ecocardiografía en el laboratorio de cateterismo o sala Hibrida incluyen:
- cierre percutáneo de comunicación interauricular (CIA) y el foramen oval permeable (FOP)
- la ablación septal en la miocardiopatía hipertrófica obstructiva.
- valvuloplastia mitral.
- implantación percutánea de válvula aórtica
- colocación de los electrodos de marcapaso biventricular.
- la detección de complicaciones durante la intervención coronaria.
- Cierre de Ductus arterioso permeable
CASO CLINICO
Paciente de sexo masculino, de 4 años, 15 Kg de peso, 105 cm de altura, 0,66 cm de superficie corporal, portador de comunicación interauricular (CIA) tipo ostium secundum sin tendencia al cierre, manteniendo dilatación de aurícula derecha y sobrecarga de cavidades derechas en ECG. Coordinado para posible cierre percutáneo con oclusor en sala de Hemodinamia.
Se realizó el estudio ecocardiográfico transtoráxico (E.T.T.) y transesofagico (E.T.E.) en el laboratorio de Hemodinamia del I.C.I.
Con la paciente en el laboratorio de hemodinámica se procede a la colocación de monitorización no invasiva, estándar de la ASA, se procede a la inducción de la anestesia general inhalatoria con O2 100% y Sevorane al 5%, con intubación oro traqueal, manteniéndose la misma con ventilación espontánea.
Se realizo el ETT con un equipo de ultrasonido Vivid E9 BT 11.1 GE con sonda para ETT M5S (de 1,5 a 4,5 MHz) y TEE pediátrica multifrecuencia de 6.0 - 7.0 MHz. Procediendo al análisis online intraoperatorio mediante AFI (Assistant Function Imaging). Se evidencian los siguientes hallazgos:
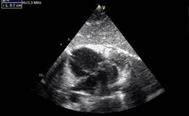
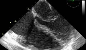
En subcostal 4 cámaras se observa CIA de 7 mm de diámetro con shunt de izquierda a derecha. (Figuras 2,3,4)
Video VIDEOS\CIA TT\CIA ETT.wmv, https://youtu.be/ihgC147F1-s
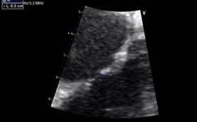
La distancia del defecto al plano valvular tricúspideo (borde anteroinferior) es de 11 mm. (Figura 5 )
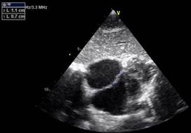
La reconstrucción 3D muestra un defecto alargado de 5 por 10 a 11 mm con presencia de membrana que lo tabica parcialmente, (Figura 6)
Video VIDEOS\CIA TT\RECONSTRUCCION 3D.wmv, https://youtu.be/oJ-bbBFpTa0
Luego de la inducción anestésica y la realización del ETT se procede a colocar la sonda de ETE que muestra los siguientes hallazgos:
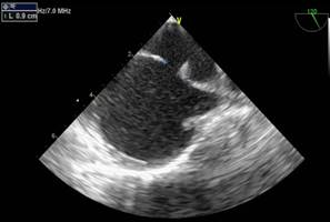
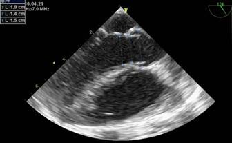
En esófago medio 4C dilatación de cavidades derecha cualitativamente de mayor tamaño que las izquierdas y cuantitativamente aurícula derecha (AD) de 37 mm (normal para su SC 15-21), ventrículo derecho (VD) de 35 mm diámetro longitudinal (13,5 a 22,5), con función sistólica de VD disminuida fracción de acortamiento de 18%. (Figura 7)
Video VIDEOS\ETE\avc_4 CAMARAS.mp4, https://youtu.be/zzPWHxnp7xM
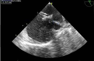
En esófago medio longitudinal a 120 grados orientando el traductor hacia la derecha en el enfoque bicava, CIA de 7 a 9 mm., apta para cierre alejada aproximadamente 7 mm de la cava superior (borde postero superior) (Figura 8y9)
Videos VIDEOS\ETE\avc_BICAVA.mp4, https://youtu.be/iWGIMn92RWs
La distancia a vena cava inferior es 15 mm (borde postero inferior)
La distancia a la Aorta en EA SAGITAL es de 5 mm. (borde anterosuperior)
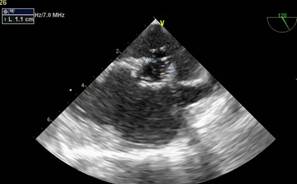
Se mide en ese mismo plano el diámetro del defecto luego de estiramiento con balón siendo el mismo de entre 9 y 11 mm. (Figura 10)
Video VIDEOS\ETE\avc_BALON.mp4, https://youtu.be/TnZbgPlhNV4
Se elige en consecuencia dispositivo para cierre Amplatzer ASD N° 11
En ese mismo enfoque se guía la colocación del catéter transportador y la colocación del dispositivo, y la posterior liberación del mismo, comprobándose la ausencia de shunt residuales o complicaciones. Video VIDEOS\ETE\avc_COLOCACION OCLUSOR.mp4, https://youtu.be/pAj_HVOE7Pk
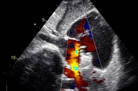
Se verifica con doppler color y espectral el adecuado flujo de la vena cava superior y de la vena pulmonar derecha en la zona próxima a la colocación del oclusor. (Figuras 11,12,13)
Las dimensiones de la aorta medidas en esófago medio a 120 grados son normales para la edad (TSVIZQ. 15 mm, ANILLO AORTICO 14 mm, RAIZ 19 mm, Y ARCO DE 12 mm. (Figura 14)
La fracción de eyección del ventrículo izquierdo calcula a partir de la fracción de acortamiento es de 57%.
El cierre percutáneo de la CIA se realizó con éxito, la condición anatómica fue favorable, no hubo complicaciones durante la colocación del dispositivo, el paciente permaneció internada 24 hs en cuidados intermedios para control de la zona de punción (femoral) luego de lo cual fue dada de alta. Se realizó seguimiento cardiológico posterior por 12 meses con ETT sin evidencia de comunicación inter auricular.
El video online de todo el estudio se encuentra en VIDEOS\ETE\avc_CIERRE DE CIA EN HEMODINAMIA.mp4, https://youtu.be/r_lBK-OYrv8
DISCUSION Y CONCLUSION
El análisis cuidadoso del defecto interauricular permite la adecuada selección de pacientes para el cierre percutáneo del mismo, comenzándose muchas veces el análisis con el ETT. La ETE es fundamental para la evaluación previa de su morfología, su diámetro, la existencia de aneurisma del septum interauricular y presencia de múltiples defectos. 8), (9), (10. (TABLA 1) (Figura 1).
TABLA 1
| ENFOQUE ETE | MEDIDA | |
| CIA TIPO OS o FORAMEN OVAL PERMEABLE | BI CAVA EM LONGITUDINAL 80-85 GRADOS | DIAMETRO SUPERO-INFERIOR <= 30 mm |
| EM SAGITAL 0 G A NIVEL VALVULA AORTICA | DIAMETRO ANTERO-POSTERIOR <= 30 mm | |
| PRESENCIA DE BORDES >= 5 mm | BI CAVA | BORDE POSTERO SUPERIOR HASTA VCS. POSTERO INFERIOR HASTA VCI |
| EM 4 CAMARAS | BORDE ANTERO INFERIOR HASTA INICIO DE VALVULA TRICUSPIDE | |
| EA ENFOQUE VALVULA AORTICA SAGITAL | BORDE ANTERO SUPERIOR HASTA AORTA | |
| SE CONSIDERA AUSENCIA DE BORDE SI EL MISMO ES < 3 mm | ANALIZAR CARACTERISTICAS DE LOS BORDES | |
| EVALUAR LESIONES ASOCIADAS | ETE CONVENCIONAL | MEMBRANA, OTRA CIA, RELACION CON SENO CORONARIO, RV A PULMONAR, etc. |
Durante el procedimiento, además de certificar el diagnóstico y asegurar la posibilidad de cierre percutáneo la ETE se utiliza puede utilizar para, la medición del diámetro del defecto durante su estiramiento con el balón, la selección del tamaño apropiado del oclusor, guiar con precisión el posicionamiento de este, liberación del oclusor septal. Esta información permite conocer la evaluación inmediata del resultado de la intervención y de la posible existencia de un cortocircuito residual.
El uso del ETE realizado por anestesiólogos es de rutinaria en algunos países de Latinoamérica, afortunadamente en nuestro país cada vez son más los anestesiólogos que manejan este instrumento diagnóstico, que además de ser de gran utilidad para el manejo hemodinámico, permite hacer diagnóstico de patologías inadvertidas, así como la detección temprana de complicaciones.
Lamentablemente en nuestro país su acceso no es universal, se limita a centros altamente especializados.
Cambiar esta realidad depende de nosotros y de nuestro compromiso para brindar una anestesia de calidad y segura para nuestros pacientes.



























