INTRODUCCIÓN
En cirugía cardiovascular los eventos de hipotensión son usuales, frecuentes y cada uno tiene una causa distinta al anterior. La presión arterial es una resultante de muchas variables, tales como volemia, contractilidad, arritmias, resistencias periféricas, venotonicidad, etc. Encontrar la causa con factibilidad e inmediatez es uno de los anhelos más codiciados para los anestesiólogos. Las hipotensiones repentinas y drásticas son casi un hecho cotidiano y aquí el médico queda en la gran dificultad de dilucidar cuál es su causa. Hasta hace poco esta incertidumbre se resolvía con el criterio clínico, sin embargo, en la actualidad, el avance tecnológico ha hecho que el profesional conste con una de las herramientas más importantes de la actualidad, la ecocardiografía transesofágica (ETE).
La era moderna de la ETE realmente Comenzó en 1982, con la introducción de sondas flexibles con Transductores phased-array y puntas manipulables1. La ETE ha demostrado utilidad en una serie de ámbitos clínicos2) (3, incluyendo el funcionamiento en sala, unidad de cuidados intensivos, laboratorio intervencionista, y ambulatorio. Por esto la ETE se ha convertido en un elemento esencial para cirujanos y anestesiólogos 4, existiendo varias indicaciones para su uso Tabla 1 5, traducido y pocas que la contraindiquen.
En las últimas dos décadas la ETE ha consolidado su papel en el diagnóstico y herramienta de manejo perioperatorio para pacientes con cardiopatía congénita5. Esto lo logra mediante la evaluación de la reparación quirúrgica, detección de patología residual, vigilancia de la función ventricular después del período de bypass 5, el manejo de líquidos y la terapia inotrópica 6-7-8.
La cirugía cardiovascular es un procedimiento habitual en todo el mundo. En Mendoza se realizan alrededor de 100 procedimientos anuales. Es por esto que toma gran relevancia el estudio del comportamiento del paciente en quirófano en cada una de sus patologías. Tener un diagnóstico certero para situaciones emergentes e inesperadas, como es la hipotensión, hace que se convierta en un tema de suma importancia para su estudio clínico.
Todo lo mencionado hace el tema en cuestión de nuestro trabajo; determinar el motivo que lleva a la hipotensión a través de un método accesible, reproducible y de aplicación clínica como es la ETE.
Objetivo: hallar los parámetros ecocardiográficos que más se relacionan con la hipotensión refractaria luego de la salida de CEC.
Los autores declaran su autoría y no tener conflicto de intereses.
MARCO TEÓRICO.
El paciente sometido a cirugía cardiovascular debe afrontar varias situaciones durante su operación. Uno de los más destacados es la salida de CEC. Podríamos sintetizar que para lograr la estabilidad hemodinámica hay tres bases fundamentales, contractilidad, volemia y medio interno. Este último se suministra a través de datos más concretos y fiables, algo que en la contractilidad y la volemia en la mayoría de las veces no sucede.
Como base importante en la identificación del estado hemodinámico, la ETE ha sido la nueva protagonista debido a su practicidad y reproducibilidad. Es imprescindible aprender cuales son los parámetros prácticos que pueden extraerse de la ecografía, ya que por su rapidez de obtención son más útiles que los usados tradicionalmente. Un ejemplo es la fracción de acortamiento, útil debido a su disponibilidad, rapidez de adquisición, relativa buena reproducibilidad y evidencia en la literatura. Su limitación es que evalúa solo dos regiones de la pared ventricular (anterior y posterior)11. Contrariamente, la fracción de eyección evaluada por método Simpson (más fidedigno) es laborioso para su realización, por lo que no es práctico para las situaciones apremiantes que ocurren en quirófano.
Una medida de gran apoyo es la integral velocidad tiempo (IVT) del tracto de salida del ventrículo izquierdo (TSVI), descripta en el protocolo RUSH IVT. Este establece como punto de corte del IVT aórtico 18 cm 12. Es una medida muy accesible, ya que los médicos de emergencia pueden obtener el IVT aórtico en el 80% de los casos que ingresan con hipotensión o shock 13-15.
Otro signo complementario es el signo del beso de los papilares (SBP) 14, que consiste en el contacto del músculo papilar anteromedial y posterolateral, indicando un “ventrículo vacío”, o sea un estado de hipovolemia.
METODOLOGÍA
Las variables ecográficas registradas fueron las de más practicidad y rapidez que se pueden obtener: FAC, SBP e IVT. Para disminuir sesgos las imágenes debían cumplir con:
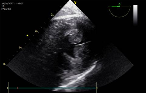
SBP: verse el VI en forma circunferencial con los dos músculos papilares en el plano transgástrico eje corto. Imagen 1 .
FAC: En plano transgástrico eje corto se implementa modo M lo más transversal posible al ventrículo izquierdo sin tomar músculos papilares. Imagen 2.
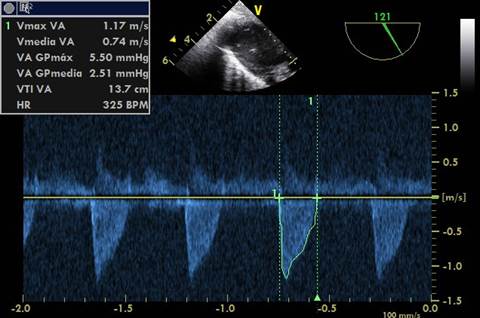
IVT: En plano transgástrico profundo alineando la señal doppler pulsado al TSVI. Imagen 3
https://www.dropbox.com/s/1dhfgl01lxz7d9w/video1.avi?dl=0
Definimos como primera hipotensión como toda aquella que, luego de una estabilidad hemodinamia a la salida de CEC, se instauró acentuadamente (La calificación de hipotensos o normotensos se realizó a través de los percentiles de la edad).
El estudio se realizó con las copias de los protocolos de anestesia revisando los registros de presión invasiva. El análisis ecográfico se hizo extrayendo las imágenes almacenadas en el ecógrafo del servicio y luego ordenadas en la CPU del servicio.
El presente es un estudio no experimental, observacional, de casos y controles, retrospectivo. Se realizó en base a cirugías de CIV y CIA comprendidas entre los periodos desde enero de 2016 hasta septiembre de 2018. Los criterios de inclusión fueron: protocolos de anestesia con información precisa de la presión arterial cada 5 minutos; pacientes que hayan tenido ETE intraoperatoria e imágenes ecográficas que cumplieran con los requisitos mencionados. Criterios de exclusión: protocolos que informen alguna complicación luego de la salida de CEC (rotura quirúrgica, coagulopatías, arritmias).
Se comenzaron con un total de 40 protocolos, de 60 disponibles, ocultando el nombre del paciente. Fueron elegidos al azar por un técnico de anestesia el cual no tenía conocimiento de la realización del trabajo. Luego de descartar los que no cumplían con los criterios de inclusión/exclusión, se le solicitó nuevamente que seleccionara otros, y así, sucesivamente hasta terminar los 60. La población resultante fue de 23 pacientes. Se diseñó esta estrategia para disminuir sesgos, ya que los participantes del trabajo podrían recordar el nombre de algún paciente y los sucesos de la cirugía.
Ya con los protocolos seleccionados e identificado hipotensión/normo tensión post CEC se procedió a la búsqueda de información en el ecógrafo mediante el número de historia clínica. Las tomas de las medidas ecográficas fueron realizadas de la siguiente manera.
SBP: En la imagen en modo B, el músculo papilar anteromedial y posterolateral debían juntarse para considerarse positivo.
FAC: Luego de aplicar el modo M se utilizó el software del ecógrafo para medir las dimensiones en diástole y sístole.
IVT: Se remarcaba el contorno del espectro doppler pulsado del TSVI.
Los datos obtenidos se volcaron en la planilla de datos del programa estadístico SPSS 15.0.
Primero se determinaron las variables en: nominales, la tensión arterial (hipotensos, normotensos) y el SBP (presente, ausente). Ordinales, IVT (mayor/menor de 18cm) y escalares, FAC. Todos los datos usados fueron de distribución paramétrica. Luego se les aplico el análisis estadístico.
CONSIDERACIONES ÉTICAS.
Toda la información usada consta de consentimiento informado firmado por los padres o tutores al momento de la conformidad de la cirugía.
RESULTADOS:
Del análisis realizado se observó que hay una diferencia estadísticamente significativa en el valor de IVT entre los grupos, siendo menor en el grupo hipotensos (p=<0.01, mediante análisis estadístico de fisher.Tabla 2, Gráfico 1 . El SBP estuvo ligado al grupo hipotensos, también con una diferencia estadísticamente significativa entre los grupos (p=<0.01, mediante análisis estadístico de fisher. Tabla 3, Gráfico 2. Con respecto a la FAC no se encontró diferencia significativa entre los grupos (p=0.083, mediante análisis de prueba T. Tabla 4.
Tabla 2: Resultado estadístico de IVT entre ambos grupos. Refleja asociación en un menor valor de IVT con el grupo de Hipotensión.
Tabla 3: Resultados estadísticos de SBP entre ambos grupos. Refleja una asociación en la presencia de SBP con el grupo de Hipotensión.
DISCUSIÓN.
Los resultados estadísticos proporcionaron un escenario que alienta a próximas investigaciones. El hecho de que no se encontraran diferencias significativas en la FAC indica que la hipotensión no ocurrió por mala contractilidad. Esta aseveración la apoya la presencia arraigada del SBP a la hipotensión, algo muy sugestivo de hipovolemia. Si bien el IVT demostró que era menor en los hipotensos, esto se interpreta a que no existía precarga necesaria que generara un flujo normal. Se podría decir que el momento de la hipotensión se caracterizó por parámetros ecográficos de buena contractilidad y poca volemia, comparado con los pacientes normotensos en que tuvieron similares parámetros en estimación contráctil, pero sin signos de hipovolemia. Una explicación a esto podría ser que las cirugías al ser con poco tiempo de clampeo y CEC es posible que el miocardio no sufra lo suficiente para manifestar un bajo gasto, sin embargo, en el inmediato del desclampeo todos lo sufren y es necesario algún soporte inotrópico mínimo.
Cabe aclarar que el resultado hallado de p=0.083, en la FAC, hace pensar que puede haber diferencia entre los grupos, haciendo la causa de la hipotensión multifactorial. Creemos que esto puede esclarecerse con futuros trabajos diagramados prospectivamente con mayor número de pacientes.
CONCLUSIONES
Encontrar la causa de hipotensión con factibilidad e inmediatez es uno de los anhelos más codiciados para los anestesiólogos.
Los resultados obtenidos demostraron que los parámetros ecográficos de hipovolemia fueron los que más se asociaron al momento de la hipotensión. Como en el estudio se excluyeron los pacientes que tuvieron sangrado activo, interpretamos que esta hipovolemia es debida a una vasodilatación 9-10. Las causas de estas podrían deberse a efectos de drogas anestésicas, modificaciones del tono vascular basal, etc. Quizás en futuros estudios se pueda trabajar en identificar las causas de la vasodilatación e identificar la precarga a través del estudio de la vena cava superior.
Este hallazgo nos revela que, contrariamente a lo que uno supone, la causa de hipotensiones post CEC no es el bajo gasto cardiaco ni el fracaso del destete a la misma, sino la falta de precarga. Esto ayuda a tener un uso más racional de las drogas vasoactivas y guiar la reposición de volumen.




















