INTRODUCCIÓN
Con respecto a la forma de presentación de los tumores mediastinales, ésta es muy variada, entre un 30 y 60 % constituyen hallazgos radiológicos.2)(3)(4.
La clínica depende más de la ubicación del tumor que del tamaño debido a las características anatómicas del tórax, por lo cual los tumores mediastinales anteriores son los más sintomáticos.5
Los síntomas mayoritariamente son determinados por la compresión tumoral de las estructuras vecinas, como en el caso que analizaremos.
La tos y disnea, que como veremos están presentes en nuestra paciente, son los síntomas de presentación más frecuentes (hasta en el 60%), revisión realizada por JCM y col3. La tos, generalmente indica compromiso por compresión o invasión del nervio laríngeo recurrente. La presencia de disnea puede explicarse por dos componentes, por un lado puede deberse a la obstrucción del árbol traqueobronquial y/o compresión del parénquima pulmonar; o ser secundario, a la compresión de cavidades cardíacas derechas o a la presencia de derrame pericárdico y/o pleural también, presentes en el caso que analizaremos.
Recordemos que el gasto cardíaco, depende del volumen sistólico y de frecuencia cardíaca. Aproximadamente en el 20 % de los pacientes con masas mediastinales anteriores, se presentan con un síndrome de vena cava superior (SVCS), lo que constituye una urgencia oncológica para algunos autores.2 La compresión venosa extrínseca ocasionada por el tumor, determina un aumento de la presión hidrostática en el territorio de la VCS, esto lleva a un aumento de la permeabilidad vascular con trasudado al intersticio y explica la formación de edemas en la porción superior del tórax. Conocido como edema en esclavina (edema de cara, cuello y miembros superiores), típicamente son edemas fríos, de coloración rojo vinosa y suelen acompañarse de circulación colateral. Otra forma clínica de presentación, es la presencia de disnea obstructiva, la misma se produce por compresión significativa de la vía aérea, pueden presentar estridor, retracción de partes blandas del tórax, hiperinsuflación o atelectasias. Estos casos, son de extrema gravedad por lo tanto constituyen una urgencia médica.6 Los tumores que se originan en el mediastino posterior pueden ocasionar disfagia por compresión extrínseca del esófago, estos tumores tienen una presentación clínica más tardía que los de mediastino anterior dado las diferentes relaciones anatómicas.4 Finalmente, estos tumores pueden dar síntomas generales inespecíficos como: astenia adinamia, fiebre, pérdida de peso, y compromiso del estado general.
Respecto a la valoración preoperatoria, los exámenes con mayor rendimiento en este tipo de patología son los imagenológicos, la radiografía de tórax, la tomografía computada y en ocasiones el ecocardiograma tras torácico, permiten una adecuada valoración.6
Dentro de ellos la tomografía computada (TC), es la que tiene mayor poder de predicción de complicaciones, aporta datos sobre el tamaño, ubicación, extensión, relaciones anatómicas, área de sección traqueal comprometida (6), presencia de compresión vascular y/o cardiopericárdico.6)(7)(8
En particular es la más sensible para predecir las complicaciones con la vía aérea, en una revisión se destaca el gran rendimiento diagnóstico de este estudio, refiriéndose que su realización solo lleva unos segundos por lo cual es tolerado por casi todos los pacientes y que es más sensible que la espirometría para el diagnóstico de obstrucción.7
La presencia de compresión traqueal significativa, entendida como aquella mayor al 50 % en la TC, se relaciona con alto riesgo de complicaciones respiratorias.7
En los niños, el poder predictivo de la historia clínica es más limitado seguramente por la dificultad en la anamnesis. Es interesante destacar que la mayoría de los reportes de complicaciones durante el período intraoperatorio es en la población pediátrica, esto seguramente esté vinculado a las diferencias anatómicas y fisiológicas de ambas poblaciones.8
Lo inespecífico de los síntomas determinan en ocasiones dificultades en el diagnóstico, la paciente que vamos a presentar consultó por tos y disnea, elementos clínicos compatibles con insuficiencia cardíaca, sumado a una radiografía con un índice cardiopericárdico aumentado.
El ecocardiograma, es de gran utilidad cuando se sospecha compromiso cardíaco y fue la herramienta diagnóstica en nuestra paciente como veremos; informa sobre la presencia de trombos intracavitarios, compresión cava o derrame pericárdico. La presencia de derrame pericárdico, en el preoperatorio se asoció con complicaciones hemodinámicas luego de la inducción de la anestesia general, lo que se ve agravado por la presión positiva intratorácica. Algunos autores7 plantean realizar un estudio ecocardiográfico en posición supina y decúbito, esto puede aportar datos útiles en el manejo intraoperatorio si se produce el colapso cardiovascular. El autor refiere que en esa situación pueden intentarse cambios posicionales, aunque también plantea que en ocasiones solo se revierte con la rápida descompresión manual.
La espirometría, tiene una utilidad limitada en la población pediátrica9, la fibrobroncoscopía, si bien nos da información (en niños mayores), de la compresión dinámica4 no siempre es posible su realización.
HISTORIA CLÍNICA
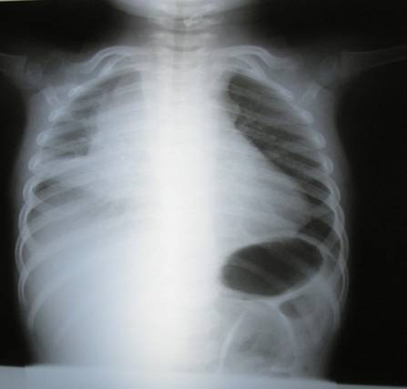
Paciente de sexo femenino, pre-escolar de 2 años y 10 meses, coordinada para exéresis de masa mediastinal anterior. AEA: Sin antecedentes patológicos previos, consulta en emergencia por cuadro de 7 días de evolución con tos seca, escasa, sin rinitis ni fiebre, agrega en la evolución edema de cara y miembros superiores. Vista en policlínica, se le indica antihistamínicos con leve mejoría de los síntomas, a las 48 horas agrega dolor abdominal difuso, de moderada intensidad acompañado de náuseas, adinamia y anorexia por lo que re consulta. Tránsitos digestivos bajo y urinario conservados. Examen físico: se presenta apirética con edema de cara y miembros superiores, frialdad periférica con coloración rojo vinoso de dicho territorio que dejan godet. A nivel respiratorio: polipneica, sin tirajes, buena entrada de aire, sin estertores. A nivel cardiovascular: PA100/75, RR 156 cpm, no soplos. IY sin RHY. Abdomen: Hepatomegalia dolorosa. La paraclínica básica de valoración inicial fue normal. Se realizaron pruebas serológicas para virus respiratorio las que fueron negativas. Ecografía de abdomen que informó: hepatomegalia leve a moderada. ECG: Taquicardia sinusal de 159cpm. Radiografía de tórax: evidenció un aumento del índice pericardio-torácico y signos de edema pulmonar con redistribución del flujo hacia los vértices. (Figura 1)
Ecocardiograma transtorácico: que informa compresión y desplazamiento de cavidades derechas por una tumoración mediastínica 39 x 48 mm acompañado de derrame pericárdico de 12mm sin compromiso hemodinámico significativo. Dados estos hallazgos se solicita Tomografía tóraco-abdominal de urgencia (Figura 2) que informa: voluminosa tumoración mediastínica sólida, heterogénea con áreas de necrosis, que ocupa mediastino anterior y medio, extendiéndose desde el nivel de T2-3 hasta el diafragma.


Figura 2: TC (superior e inferior), que muestra gran masa mediastinal anterior y sus relaciones con grandes vasos y vía aérea.
La misma, ocupa el espacio pre-vascular y para-traqueal derecho, comprimiendo levemente la tráquea y el bronquio fuente derecho. En su sector anterior no se delimita claramente del timo, observándose la arteria pulmonar derecha sin compresión, pero no identificándose la vena cava superior. En su sector inferior, se extiende rodeando las cavidades cardíacas derechas que aparecen distorsionadas por la tumoración y sin plano de separación con ésta. Se observa derrame pericárdico, acompañado de derrame pleural moderado a derecha. Abdomen sin particularidades. Valorada por equipo de oncología se decide su traslado a centro de hemato-oncología pediátrica, para completar valoración e iniciar tratamiento neoadyuvante. De la paraclínica, se destaca una AFP de 17444 mcg/ml., por lo que se hace diagnóstico de tumor de células germinales de saco vitelino (yolksac) mediastinal, con derrame pleural y pericárdico, estadio 4. Se coloca port-a-cath y se comienza con series de poliquimioterapia con buena evolución clínica y humoral, con disminución de la AFP a valores de 37,9 mcg/ml. Se realiza ecocardiograma y tomografía de control que evidencian reducción de la masa tumoral, sin compresión de cavidades cardíacas. Dada la buena evolución, se decide en ateneo multidisciplinario su resección quirúrgica. Preoperatorio inmediato: se colocó una vía venosa periférica 20 G en el territorio de la vena cava inferior, monitorización estándar de la ASA.
Se comenzó infusión de remifentanilo a dosis sub apneícas, para luego realizar una inducción inhalatoria con sevofluorano a concentraciones crecientes, manteniendo la ventilación espontánea. Se colocó una vía arterial radial en miembro superior izquierdo para monitorización continua de la presión arterial, se procedió luego a la intubación orotraqueal con sonda anillada número 4,5 con manguito. Se evitó el uso de relajantes musculares en la inducción de la anestesia por el riesgo de colapso de la vía aérea y/o compresión cardiovascular, luego de la intubación oro-traqueal y comprobada la ventilación, se realizaron relajantes musculares no depolarizantes a dosis habituales. Se optó por seleccionar un patrón de ventilación controlada por volumen a 8 ml/kg, frecuencia respiratoria de 20 cpm, PEEP de 5 cm de H20, FIO2 0,5. Se colocaron luego dos vías venosas calibre 18 G, para asegurar la reposición frente a la aparición de posibles complicaciones hemorrágicas. La incisión fue por esternotomía media, la cirugía tuvo una duración de tres horas, no presentó eventos hemorrágicos durante el intraoperatorio, destacamos que tampoco presentó dificultades en el manejo de la vía aérea. Como técnica analgésica se aplicó una analgesia epidural caudal con morfina al 1/1000, técnica que se realizó guiado por radioscopía, se asociaron antiinflamatorios no esteroideos como complemento analgésico. Se trasladó intubada a centro de terapia intensiva, donde se realizó una entubación precoz, pocas horas después del post operatorio, la paciente tuvo una evolución satisfactoria, permanece actualmente en seguimiento en policlínica de oncología, sin elementos de recidiva tumoral.
DISCUSIÓN
Afortunadamente, esta patología tiene una baja incidencia sin embargo, ello determina una menor experiencia en el manejo anestesiológico. Estos pacientes están expuestos a severas complicaciones cardiorespiratorias durante el período perioperatorio.
Las complicaciones más frecuentes están vinculadas con la incapacidad de controlar la vía aérea(3) o con dificultades del manejo hemodinámico, por compresión tumoral de cavidades cardíacas. Un estudio encontró mayor incidencia de muerte en pacientes que tenían estridor, (3) ortopnea y compresión traqueal, mayor al 50%, esto coincide con lo publicado por otros autores. (7)(9)(10)( 11)
Un artículo de revisión, sugiere que la presencia de compresión cardíaca y derrame pericárdico, se asocia con mayor frecuencia a colapso circulatorio en el intraoperatorio sin embargo, el compromiso de las vías respiratorias se asoció con mayor incidencia de complicaciones post operatorias, colapso, atelectasias e infecciones.11 Nuestra paciente presentaba elementos clínicos de severidad al ingreso al hospital (disnea asociada a derrame pericárdico), referidos en la literatura como elementos de alto riesgo de complicaciones, estos síntomas retrocedieron con el tratamiento preoperatorio. Si bien la presencia de síntomas se asocia a mayor riesgo anestésico, existen reportes de complicaciones fatales en niños asintomáticos o pausintomáticos, por lo que no se deben minimizar o subestimar los riesgos. La mayoría de los autores plantean que el uso de relajantes musculares debe evitarse siempre que esto sea posible, debe disponerse de fibrobroncoscopio rígido y técnico, entrenado en sala de operaciones para el abordaje de emergencia de las vías respiratorias, refieren que éste quizás sea el único método capas de permitir la ventilación si se produce el colapso de la vía aérea. Neuman MD10 publicó un caso con desenlace fatal luego de la inducción endovenosa y el uso de relajantes musculares en un paciente coordinado para una biopsia de masa mediastinal anterior; la ventilación fue imposible a pesar de contar con fibrobroncoscopio rígido. Otros autores plantean que debe disponerse de circulación extracorpórea, perfusionista y cirujano cardíaco en sala de operaciones.11 En el caso clínico analizado nos inclinamos por una inducción anestésica inhalatoria con ventilación espontánea dado que ésta es la estrategia recomendada por la mayoría de los autores, sin embargo existen casos publicados de compresión traqueal a pesar de mantener la ventilación espontánea. El manejo de la vía aérea en la población pediátrica es limitado si lo comparamos a las posibilidades en el adulto. En la mayoría de los casos no se puede realizar fibrobroncoscopía en el preoperatorio para valorar el grado de obstrucción dinámica, no es planteable la intubación despierto con fibrobroncoscopio y no se dispone de sondas de doble luz para niños menores de 8 años, lo que no permite la ventilación unipulmonar en esta población. Sumado a las dificultades del manejo de las vías aéreas las diferencias anatómicas y fisiológicas que existen entre la población adulta y pediátrica, determinan una mayor mortalidad para esta última.9) Respecto al uso de fibrobrocoscopio rígido, tenemos la limitación en nuestro medio de que no es de manejo habitual del anestesiólogo, por ello es fundamental la evaluación preoperatoria, de considerarse necesario se debe coordinar con el otorrinolaringólogo, para tenerlo disponible en sala de operaciones. Dado que nuestra paciente presentó una franca mejoría de los síntomas y el compromiso de la vía aérea era leve como se observa en la imagen, no pensábamos que era indispensable contar con él. La reducción del tamaño de la masa así como la resolución del edema en esclavina y del derrame pericárdico, alejaban la necesidad de requerir circulación extra corpórea.
CONCLUSIÓN
Estos pacientes son de alto riesgo anestésico quirúrgico y deben abordarse por un equipo multidisciplinario. Los avances en las técnicas diagnósticas sobre todo por imágenes han permitido una mejor evaluación y estratificación de estos pacientes en lo que refiere al compromiso del sistema cardiorespiratorio, esto permite al anestesiólogo hacer una mejor evaluación de riesgos y de esta manera ajustar su técnica anestésica a cada caso y anticiparse a las eventuales complicaciones y a su tratamiento. A pesar de los avances mencionados aún existe un alto índice de complicaciones severas en el pre, intra y post operatorio, llegando en algunas series hasta el 15 % de colapso cardiorespiratorio, luego de la inducción de la anestesia. Por último, es frecuente que estos pacientes reciban terapia neo adyuvante, con el objetivo de reducir la masa tumoral sin embargo, deben tenerse presentes sus efectos secundarios cardiovasculares y renales.














