Caso clínico
Niña de 13 años, remitida desde atención primaria por disnea y auscultación pulmonar patológica.
Previamente sana y correctamente vacunada, sin antecedentes de alergias ni procesos previos de dificultad respiratoria.
Consulta por dificultad respiratoria de 48 horas de evolución. Refieren tratamiento con salbutamol inhalado desde 3 semanas antes por cuadro de tos diagnosticado como laringotraqueobronquitis. En el momento de la consulta no refieren tos ni mucosidad. Está apirética. Durante este tiempo no se modifica la clínica con el salbutamol y ésta empeora con el ejercicio, no ha presentado fiebre durante el proceso y aprecian un cambio en la tonalidad de la voz (áfona).
Exploración física: Peso 41 kg (p15). Temperatura axilar: 36,7ºC. FR 18 rpm. FC 113 lpm. SatO2: 96%-97% en aire ambiente. Buen aspecto general. Buen estado de hidratación. Adecuada coloración cutáneo-mucosa. No adenopatías palpables. No tiraje ni otros signos de dificultad respiratoria. Auscultación pulmonar: disminución del murmullo vesicular en hemitórax derecho, sobre todo en campos pulmonares superiores, sin ruidos patológicos sobreañadidos. Auscultación cardíaca: tonos cardíacos rítmicos sin soplos, de intensidad normal y sin desplazamiento. Abdomen: blando y depresible, sin masas ni organomegalias. No doloroso a la palpación profunda. Otoscopia: ambos tímpanos con brillo conservado. Discreta afonía. Orofaringe hiperémica sin exudados con moco en cavum.
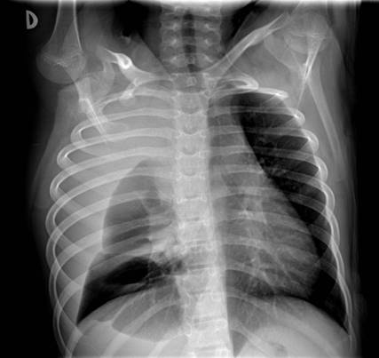
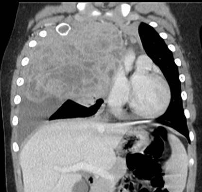
Dada la clínica se decide realizar radiografía de tórax (Figura 1) en la que se identifica derrame pleural derecho y una masa en segmento anterior del lóbulo superior derecho (LSD) con una lesión lítica expansiva en el segundo arco costal anterior derecho. Se amplia estudio con ecografía en la que se visualiza una masa pleural / pulmonar en segmento anterior de LSD con probable afectación mediastínica, derrame pleural derecho y alteración en la cortical del segundo arco costal anterior derecho. Se decide realizar TC torácico con contraste (Figura 2), (Figura 3) y (Figura 4) para valorar extensión y características de la lesión, identificándose una masa de aproximadamente 120x130x100 mm que ocupa casi todo el hemitórax derecho, heterogénea, con múltiples áreas quístico-necróticas en su interior. Condiciona desviación contralateral del mediastino y su infiltración, comprimiendo la vena cava inferior, sin claro plano de separación y contactando con el pericardio con signos de infiltración de la aurícula derecha. Comprime el bronquio principal derecho y sus ramas, condicionando atelectasia parcial secundaria y contacta con el segmento extrapericárdico de la arteria pulmonar derecha y ambas venas pulmonares derechas.

Figura 1: Derrame pleural derecho y una masa en segmento anterior de LSD con una lesión lítica expansiva en el segundo arco costal anterior derecho.

Figura 2: Masa de aproximadamente 120 x130 x 100 mm que ocupa casi todo el hemitórax derecho, heterogénea con múltiples áreas quístico-necróticas en su interior. Desviación contralateral del mediastino e infiltración del mismo, comprimiendo la vena cava inferior, sin claro plano de separación y contactando con el pericardio con signos de infiltración de aurícula derecha. Comprime el bronquio principal derecho y sus ramas, condicionando atelectasia parcial secundaria y contacta con el segmento extrapericárdico de la arteria pulmonar derecha y ambas venas pulmonares derechas.

Figura 3: Se visualiza aumento de tamaño de la aurícula izquierda y derrame pleural derecho asociado. Parénquima pulmonar con un nódulo milimétrico en LSD.

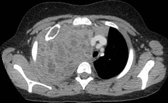
Figura 4: Se objetiva infiltración de la pared costal sin poder determinar claramente si el origen de la masa es pulmonar o extrapulmonar. Lesión lítica expansiva en segundo arco costal derecho.
Se objetiva infiltración de la pared costal y lesión lítica expansiva en segundo arco costal derecho. Parénquima pulmonar con un nódulo milimétrico en LSD.
Se completa el estudio con bioquímica sanguínea, hemograma y coagulación, en el que sólo es destacable LDH: 278 ui/l; PCR: 95,7 mg/l; fibrinógeno: 630 mg/dl; hematíes: 3,63 x1012/l; hemoglobina: 10,3 g/dl; hematocrito: 30,1%; VCM: 82.9 fl; HCM: 28.5 pg; CHCM: 34.3 g/dl; ADE: 15.3; leucocitos: 8,8 x109/l; neutrófilos absolutos: 6,1 x109/l; linfocitos absolutos: 1,8 x109/l; monocitos absolutos: 0,7 x109/l; eosinófilos absolutos: 0,1 x109/l; plaquetas: 360 x109/l con una VSG de 26 mm/hora.
Ante la presencia de una masa extrapulmonar/pulmonar con lesión lítica costal en este rango de edad, se sugiere el diagnóstico de tumor neuroectodérmico primitivo (tumor de Askin), trasladándose a la Unidad de Oncología Infantil de referencia donde se confirma el diagnóstico mediante inmunohistoquimia.
Discusión
Los tumores neuroectodérmicos primitivos periféricos derivan de la cresta neural, de células pluripotenciales, neuroectodérmicas y de nervios intercostales. Pueden localizarse tanto en el sistema nervioso central (SNC) como fuera de él, siendo en los niños más frecuentes en el SNC con localización en fosa posterior, incluyéndose en este grupo al meduloblastoma y neuroblastoma. Los sarcomas primarios del tórax son muy poco frecuentes. Pueden originarse en el pulmón, el mediastino, la pleura o la pared torácica. Las variantes intratorácicas más comunes son el angiosarcoma, el leiomiosarcoma, el rabdomiosarcoma y el mesotelioma sarcomatoide. Los sarcomas que usualmente se originan en la pared torácica son el sarcoma de Ewing, el tumor neuroectodérmico primitivo (PNET, sigla en inglés de Primitive neuroectodermal tumour), el condrosarcoma, el histiocitoma fibroso maligno, el osteosarcoma, el sarcoma sinovial y el fibrosarcoma. Los diferentes tipos histológicos de sarcomas frecuentemente son indistinguibles en la evaluación radiológica, sin embargo algunas características, como la presencia de calcificaciones dentro de la masa, la afectación de las costillas, el cuadro clínico y la localización del tumor, son útiles para estrechar el diagnóstico1.
El tumor de Askin, también conocido como PNET/sarcoma de Ewing extraesquelético, fue descrito por primera vez por Askin y colaboradores, en 1979, en un estudio de veinte niños y adolescentes2. Se presenta entre los 10-15 años con un promedio de edad de 13 años y ocasionalmente se ve en la edad adulta. Es una neoplasia de células pequeñas redondas, que se origina de los tejidos blandos de la pared torácica (ocasionalmente, en el hueso y, menos, en la periferia del pulmón) probablemente a partir de células embrionarias que migran de la cresta neural3,4.
El tumor de Askin se considera parte de los tumores neuroectodérmicos periféricos primitivos (PNET), caracterizados por presentar una traslocación cromosómica t(11;22) q24;q12), que origina la expresión de la proteína NSE-MIC2 (CD99 positivos)5. Histológicamente se caracteriza por tener células pequeñas redondas, uniformes, con núcleo redondo libre de nucléolo y citoplasma indistinto. Un rasgo característico es la formación de rosetas de Homer-Wrigth. Aunque no se dispone de un anticuerpo con especificidad absoluta frente a este grupo de tumores, sí existen unos anticuerpos con buena sensibilidad y especificidad que ayudan en el diagnóstico diferencial frente a otras neoplasias que histológicamente presentan similitud y, no obstante, pertenecen a otras categorías tumorales. El CD99 y el CD57, junto con los marcadores neurales enolasa específico neuronal (ENS), S-100 y NF, ofrecen suficiente respaldo para este diagnóstico6. Las localizaciones más frecuentes para los PNET son la pared del tórax (tumor de Askin), la cabeza y el cuello, la región paravertebral y las extremidades7-9. Los PNET son tumores muy agresivos que metastatizan rápidamente y de forma diseminada. En el momento del diagnóstico hay evidencia de enfermedad metastásica en el 10% de los casos siendo los sitios comunes de metástasis, los pulmones, los ganglios linfáticos mediastinales, el hueso, la médula ósea, el hígado y el cerebro1,9,10. Clínicamente, los pacientes presentan una masa de tejidos blandos en la pared del tórax que puede o no cursar con dolor. Otras manifestaciones incluyen disnea, tos, pérdida de peso, síndrome de Horner y adenopatías regionales. La radiografía de tórax muestra una masa heterogénea extrapulmonar, por lo general de gran tamaño, que puede opacificar completamente el hemitórax. Es común encontrar derrame o engrosamiento pleural asociado. La destrucción de arcos costales se observa en un 25%-63% de los casos4,5. La expansión del tumor puede colapsar el pulmón o invadirlo1,3. En la TAC el tumor de Askin se observa como una masa heterogénea con densidad de tejidos blandos que tiende a desplazar y comprimir estructuras adyacentes como vasos, tráquea y bronquios, más que envolverlos. Las costillas pueden estar íntegras, presentar erosión, reacción perióstica, patrón permeativo o encontrarse desplazadas11. El diagnóstico diferencial del sarcoma de Ewing extraesquelético es amplio e incluye tumores malignos, como el sarcoma de Ewing, neuroblastoma, rabdiomiosarcoma, linfoma, condrosarcoma, osteosarcoma, hemangiopericitoma, histiocitosis de células de Langerhans, y tumores benignos, como el lipoblastoma, el fibroma, el linfangioma y el hamartoma mesenquimal3,7,9. El pronóstico del tumor de Askin es pobre; sin embargo, el uso combinado de quimioterapia, cirugía y radiación ha mejorado el resultado de forma drástica. La supervivencia a cinco años para tumores localizados está entre el 65% y el 74%, y para tumores metastásicos, entre el 25% y el 45%(8,10).
Conclusión
El PNET/sarcoma de Ewing extraesquelético es un tumor maligno de comportamiento agresivo, que se origina principalmente en los tejidos blandos de la pared torácica. Los hallazgos encontrados en radiografía y TAC no aportan suficientes características para diferenciar claramente los diferentes tipos de sarcomas, por lo que los objetivos de estos estudios son principalmente evaluar su extensión, ayudar al planeamiento quirúrgico y determinar la respuesta al tratamiento. Para el diagnóstico definitivo es fundamental tener en cuenta varios factores: sospecha, aspecto histológico, inmunohistoquímica y genética.














