Introducción
El síndrome de Hamman es una entidad de evolución benigna, autolimitada y poco frecuente, dada por la asociación de neumomediastino espontáneo y enfisema subcutáneo1.Fue descrito por primera vez 1939 por Louis Hamman2. El neumomediastino espontáneo se define como la presencia de aire en el espacio intersticial del mediastino en ausencia de trauma o mecanismo iatrogénico y puede asociarse, aunque rara vez, con neumorraquis, que es la presencia de aire en el espacio epidural3,4. El neumomediastino se produce como consecuencia de una maniobra de Valsalva, que en el caso de pediatría es más frecuente en niños cursando infecciones respiratorias que se acompañan de broncoconstricción, laringitis y cuadros digestivos con vómitos5. El mecanismo por el cual se genera se explica por el aumento de la presión intraalveolar secundaria al esfuerzo de tos que determina la ruptura de los alvéolos más distales, ocasionando la fuga de aire al espacio peribronquial que sigue por la vaina de los vasos del hilio pulmonar, pudiendo llegar a los espacios mediastinal, pleural y fascias de los músculos del cuello. La ausencia de una barrera que impida el pasaje de aire entre el mediastino posterior y el espacio epidural explica la asociación de neumorraquis2,6.
Existen distintos reportes de prevalencia a nivel mundial, existiendo subregistro y subdiagnóstico1. La Asociación Española de Pediatría en 2016, refiere que este síndrome se presenta entre 1/800 y 1/42.000, con un rango etario entre 5-35 años, predominando en el sexo masculino7. En Uruguay no hay datos publicados sobre la prevalencia de esta entidad.
Es de suma importancia una adecuada sospecha en pacientes con factores predisponentes, dado que su diagnóstico es clínico con confirmación imagenológica8.
En este artículo se describe una experiencia clínica en la que se sospechó este síndrome analizando el proceso diagnóstico, estudios complementarios y el tratamiento realizado en este caso.
Caso clínico
Varón de 4 años, procedente de San Carlos, Maldonado. Antecedentes personales de laringitis a repetición. No presenta otros antecedentes. Ingresa a unidad de cuidados intensivos pediátricos (UCIP) por laringitis aguda severa, requiriendo ventilación no invasiva por 12 horas. Dado la buena evolución, a las 24 horas de ingreso se traslada a sala de cuidados moderados. Ese mismo día instala de forma brusca estridor inspiratorio, dificultad respiratoria, edema de cuello y cara con crepitación a nivel de cuello y cara anterior del tórax que se fue extendiendo a ambos brazos. A la auscultación cardiovascular ruidos cardíacos alejados, frecuencia cardíaca 120 ciclos por minutos, frecuencia respiratoria 25 por minuto, SaO2 96% ventilando al aire.
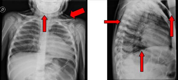
Con planteo inicial de neumotórax y lesión de la vía aérea, se realiza radiografía de tórax (RxTx), que evidencia enfisema subcutáneo extenso (Figura 1).

Figura 1: Radiografía de tórax de frente y perfil donde se evidencia el extenso enfisema subcutáneo, señalado por las flechas.
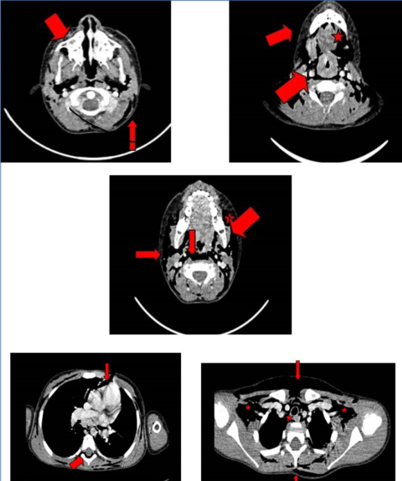
Reingresa a UCIP, se mantiene observación clínica. En las siguientes 24 horas aumento del enfisema, agrega disfagia e intenso dolor torácico. Se comienza oxigenoterapia por cánula nasal. Con planteo de lesión en vía aérea se consulta con otorrinolaringología. Se solicita tomografía de cuello y tórax con contraste que evidencia neumomediastino que asocia neumorraquis. Extenso enfisema subcutáneo con disección de planos músculo-viscerales de este último. Resto del estudio sin alteraciones (Figura 2).

Figura 2: TAC donde se evidencia el aire disecando los diferentes espacios. Se puede visualizar neumomediastino y neumorraquis asociado.
Con planteo de síndrome de Hamman se decide no realizar endoscopía de la vía aérea, mantener conducta expectante, observación clínica en cuidados intensivos por 3 días con oxigenoterapia por cánula nasal.
Evoluciona favorablemente con reabsorción paulatina del enfisema, siendo dado de alta a domicilio a las 48 horas del egreso de UCIP.
Discusión
El diagnóstico de síndrome de Hamman no es sencillo por diversos motivos, principalmente por sus múltiples formas de presentación, muchas veces con síntomas inespecíficos y difíciles de interpretar, su poca frecuencia, la baja sospecha por parte de los clínicos y la presencia de síntomas o signos que obligan a pensar en diagnósticos diferenciales de grave entidad. En este caso, a pesar de presentar síntomas claros, el diagnóstico se realizó con cierta dificultad luego de descartar la ruptura de la vía aérea. La presencia de un factor predisponente como lo es la enfermedad respiratoria que presentaba, contribuyó a la aproximación diagnóstica.
El síntoma cardinal es el dolor torácico de instalación brusca, presente en 75% a 88% de los casos, generalmente precedido por un episodio de tos intensa, vómitos profusos u otro tipo de maniobra de Valsalva. Otros síntomas frecuentes son disnea (49%), disfagia (18%), dolor cervical (39%), menos frecuentes son tortícolis, disfonía y dolor abdominal9,10. En el examen físico se puede reconocer enfisema subcutáneo en cara, cuello y tórax en más de la mitad de los casos (58%)3,4,9,11.
Este paciente presentó los síntomas y signos más frecuentes mencionados en la bibliografía e incluso el signo de Hamman, que se considera patognomónico de esta entidad. Se define por la auscultación de crepitación, burbujeo o sonidos similares, sincrónicos con la sístole cardíaca y asociados a ruidos cardíacos alejados. Es un elemento clínico orientador hacia la presencia de fuga de aire mediastinal. Está presente en 10% a 20% de los casos4.
En la evolución este paciente agregó disfagia, que puede ser explicada por la compresión de las estructuras del mediastino por el aire a tensión. La misma mejoró paulatinamente con la resolución del enfisema. Es importante tenerlo en consideración como elemento clínico de progresión y gravedad, así como para que no interfiera en la alimentación del niño evitando posibles alteraciones nutricionales.
Una de las complicaciones que se deben tener en cuenta es la presencia de neumomediastino masivo que puede llegar a comprimir estructuras mediastinales o disecar el pericardio lo que puede ocasionar un taponamiento cardíaco y derivar en la muerte del paciente10. Este paciente presentó una evolución favorable sin llegar a este máximo compromiso.
Además de la variabilidad de las manifestaciones clínicas, esta entidad comparte síntomas y signos con diagnósticos diferenciales de gran entidad y gravedad, lo que exige una evaluación clínica e imagenológica exhaustiva. En el caso que se presenta se pensó en primer lugar en una rotura de la vía aérea que, a pesar de ser poco frecuente, presenta una elevada mortalidad. Puede tener un inicio abrupto con sintomatología inespecífica similar a la presentación clínica del síndrome de Hamman. Los síntomas y signos más frecuentes de la rotura de vía aérea son disnea, enfisema subcutáneo y neumotórax12.
La imagenología puede aclarar el diagnóstico y descartar diferenciales. El estudio que se recomienda de primera línea es la RxTx. Es un estudio rápido, de bajo costo, accesible y de fácil interpretación13. La RxTx con enfoque anteroposterior y lateral permite confirmar el diagnóstico con una sensibilidad del 89,1%7,9. En ocasiones, cuando la RxTx no es concluyente o la gravedad del paciente requiere descartar otros diagnósticos diferenciales que asocian enfisema subcutáneo, como rotura de vía aérea o la perforación esofágica, es necesaria la solicitud de una tomografía axial computada (TAC)5,11,14. La tomografía se debe reservar cuando existan dificultades diagnósticas, sospecha de patología secundaria o evolución a la gravedad9,11. Este estudio permite no solo realizar el diagnóstico sino estudiar en detalle el aparato respiratorio, visualizando patología pulmonar subyacente o lesiones pequeñas si las hubiera9. Otros estudios de imagen pueden estar indicados cuando existe sospecha de una causa secundaria, según la clínica presente en cada paciente.
En este caso se consideró necesario solicitar una tomografía para descartar una causa subyacente y posibles complicaciones, dado el antecedente del uso de ventilación no invasiva inicial y la presencia de peoría clínica progresiva en las primeras 24 horas del inicio de los síntomas. Como era claro el factor predisponente para el desarrollo del neumomediastino en el paciente presentado, no se consideró necesaria la solicitud de otros estudios para búsqueda etiológica.
El tratamiento es sintomático. Se basa en encontrar el factor desencadenante, si este existe, y actuar sobre él. El tratamiento sintomático incluye reposo, oxigenoterapia y analgesia. El aporte de oxígeno a altas concentraciones produce alivio sintomático y acelera el proceso de reabsorción del enfisema, al reducir la presión parcial de nitrógeno acumulado11,15,16. Durante la internación, en este paciente, se realizó oxigenoterapia por CN, por lo que se administró una fracción inspirada de oxígeno (FiO2) no mayor a 26%. Sin embargo, en la bibliografía se recomienda la administración de una FiO2 del 100%11,15,16. La utilización de cánula nasal de alto flujo (CNAF) hubiese sido de mayor utilidad en el tratamiento en este paciente, dado que se trata de un método que permite un aporte de altas FiO2 de forma independiente al flujo utilizado con mayor tolerancia17.
Existe controversias si luego de la resolución clínica se requiere nueva imagen, porque el síndrome de Hamman es generalmente autolimitado, de curso benigno y presenta escasa tasa de recidiva18. Algunos autores plantean realizar una RxTx a los 15 días de su resolución para asegurar la completa reabsorción del aire, especialmente cuando no se encontró una causa desencadenante. La mayoría de los autores plantean seguimiento clínico19,20. En este paciente se optó por control clínico con seguimiento ambulatorio sin presentar complicaciones.
Conclusiones
El diagnóstico en la urgencia del neumomediastino espontáneo puede representar un desafío, con una variedad de diagnósticos diferenciales potencialmente mortales. La alta sospecha permitirá realizar una evaluación clínica e imagenológica adecuada que permita confirmar su diagnóstico y evitar procedimientos invasivos innecesarios.














