SciELO - Scientific Electronic Library Online

 
vol.93 número1Dietas vegetarianas en niños: conocimientos de pediatras de la Sociedad Uruguaya de Pediatría. Encuesta 2020Sepsis precoz, osteoartritis y meningitis. A propósito de un caso clínico índice de autoresíndice de materiabúsqueda de artículos
Home Pagelista alfabética de revistas  

Servicios Personalizados

Revista

Articulo

Links relacionados

Compartir


Archivos de Pediatría del Uruguay

versión impresa ISSN 0004-0584versión On-line ISSN 1688-1249

Arch. Pediatr. Urug. vol.93 no.1 Montevideo jun. 2022  Epub 01-Jun-2022

https://doi.org/10.31134/ap.93.1.3 

Caso clínico

Tuberculosis pulmonar y laríngea: una forma poco frecuente de presentación en la edad pediátrica

Pulmonary and laryngeal tuberculosis: a rare presentation in pediatrics

Tuberculose pulmonar e laríngica: uma apresentação pouco frequente na idade pediátrica

1Pediatra. Facultad de Medicina. UDELAR. Correo electrónico: dra.saucedo@gmail.com

2Pediatra. Facultad de Medicina. UDELAR.

3Pediatra. Facultad de Medicina. UDELAR.

4Prof. Adj. Clínica Pediatría. Depto. Pediatría. Facultad de Medicina. UDELAR.

5Prof. Clínica Pediátrica. Facultad de Medicina. UDELAR.


Resumen:

Introducción:

la tuberculosis (TB) es una enfermedad infectocontagiosa granulomatosa crónica, producida por Mycobacterium tuberculosis. En Uruguay se ha notificado un aumento en el número de casos, con una incidencia reportada en 2017 de 28,6/100.000 habitantes, siendo de 6,67/100.000 en menores de 15 años. La tuberculosis laríngea es una forma poco frecuente y evolucionada de tuberculosis, que suele manifestarse con disfonía crónica. Su diagnóstico requiere un alto índice de sospecha.

Objetivo:

describir un caso clínico de presentación poco frecuente en la edad pediátrica.

Caso clínico:

adolescente de 13 años, sana, vacunas vigentes, con antecedentes de conductas sexuales activas y papilomatosis laríngea diagnosticada por laringoscopía directa como causa de disfonía crónica. Consulta en emergencia por dolor abdominal, constatándose al examen clínico adelgazamiento asociado a síntomas respiratorios y síndrome tóxico bacilar asociado a disfonía crónica de cuatro meses de evolución, por lo cual se plantea tuberculosis laríngea e ingresa para estudio. Niega contacto de tuberculosis. En la radiografía de tórax se constata lesión cavernosa en vértice pulmonar izquierdo. Las baciloscopías de esputo fueron positivas (directo y cultivo) confirmando el planteo de TB pulmonar y laríngea. Se realizó tratamiento antituberculoso supervisado con excelente evolución posterior.

Conclusiones:

la tuberculosis es una enfermedad reemergente en nuestro país, que requiere un alto índice de sospecha. Su diagnóstico sigue siendo un desafío para los pediatras ya que la confirmación diagnóstica no siempre es posible. En este caso clínico la sospecha clínica frente a una disfonía crónica asociada a síntomas respiratorios fue fundamental para establecer el diagnóstico, a pesar de no contar con nexo epidemiológico.

Palabras clave: Tuberculosis pulmonar; Tuberculosis laríngea; Pediatría

Summary:

Introduction:

tuberculosis (TB) is an infectious, chronic granulomatous disease caused by Mycobacterium tuberculosis. An increase in the number of cases has been reported in Uruguay, with an incidence reported in 2017 of 28.6/100,000 inhabitants, being 6.67/100,000 in children under 15 years of age. Laryngeal tuberculosis is a rare and evolved form of tuberculosis, which usually shows chronic dysphonia, which requires high levels of suspicion.

Objective:

to describe a clinical case with a rare presentation in pediatric age.

Clinical case:

13-year-old female adolescent, healthy, fully vaccinated, with a history of active sexual behaviors and laryngeal papillomatosis diagnosed by direct laryngoscopy as a cause of chronic dysphonia. The emergency consultation was caused by abdominal pain, confirming the clinical examination weight loss associated with respiratory symptoms and bacillary toxic syndrome associated with chronic dysphonia of four months of evolution, for which laryngeal tuberculosis was considered and she was admitted for screening. She denies having been in contact with tuberculosis. The chest X-ray revealed a cavernous lesion in the left pulmonary apex and sputum smears were positive (direct and culture), confirming the suggestion of pulmonary and laryngeal TB. Supervised anti-tuberculosis treatment was performed with excellent subsequent evolution.

Conclusions:

tuberculosis is a re-emerging disease in our country, which requires a high level of suspicion. Its diagnosis remains a challenge for pediatricians since diagnostic confirmation is not always possible. In this clinical case, clinical suspicion of chronic dysphonia associated with respiratory symptoms were key factors to establish the diagnosis, despite not having a clear epidemiological link.

Key words: Pulmonary tuberculosis; Laryngeal tuberculosis; Pediatrics

Resumo:

Introdução:

a tuberculose (TB) é uma doença infecciosa granulomatosa crônica causada pelo Mycobacterium tuberculosis. No Uruguai, houve aumento do número de casos notificados, com uma incidência notificada em 2017 de 28,6/100.000 habitantes, sendo 6,67/100.000 casos de menores de 15 anos. A tuberculose laríngea é uma forma rara e evoluída de tuberculose, que geralmente se manifesta com disfonia crônica, exigindo alto índice de suspeita.

Objetivo:

descrever um caso clínico de apresentação pouco frequente em idade pediátrica.

Caso clínico:

menina adolescente de 13 anos, saudável, totalmente vacinada, com história de comportamentos sexuais ativos e papilomatose laríngea diagnosticada por laringoscopia direta como causa de disfonia crônica. Consulta de urgência por dor abdominal, comprovando emagrecimento associado a sintomas respiratórios e síndrome bacilar tóxica associada a disfonia crônica de quatro meses de evolução, para a qual foi considerada tuberculose laríngea e a paciente foi internada para estudo. Ele nega contato com tuberculose. A radiografia de tórax revelou lesão cavernosa em ápice pulmonar esquerdo e as baciloscopias de escarro foram positivas (direta e cultura) confirmando a sugestão de TB pulmonar e laríngea. O tratamento antituberculose supervisionado foi realizado com excelente evolução subsequente.

Conclusões:

a tuberculose é uma doença reemergente em Uruguai e requer alto índice de suspeita. Seu diagnóstico permanece um desafio para o pediatra, pois a confirmação diagnóstica nem sempre é possível. Neste caso clínico, a suspeita clínica de disfonia crônica associada a sintomas respiratórios foi fundamental para o estabelecimento do diagnóstico, apesar de não ter vínculo epidemiológico.

Palavras chave: Tuberculose pulmonar; Tuberculose laríngea; Pediatria

Introducción

La tuberculosis es un importante problema de salud pública a nivel mundial. La Organización Mundial de la Salud (OMS) declara que la tuberculosis (TB) es una de las diez causas principales de muerte en el mundo. En 2018 enfermaron de tuberculosis 1,1 millones de niños (de 0 a 14 años), de los cuales 230.000 (incluidos los niños con tuberculosis asociada al VIH) fallecieron a causa de la enfermedad1.

La TB en menores de 15 años sigue siendo difícil de diagnosticar. Los últimos reportes de nuestro país informan un 88% de confirmación diagnóstica, siendo más frecuente en las formas extrapulmonares (65%) en comparación con las pulmonares (30%)2.

La tuberculosis laríngea (TBL) es una forma clínica poco frecuente actualmente. Ha disminuido de 25% de todos los casos de tuberculosis a principios del siglo XX a 1%, principalmente debido al diagnóstico y tratamiento más precoz, las mejoras en los niveles de vida y los programas de prevención generalizados3.

La TB es un problema de salud pública en Uruguay, evidenciándose una incidencia en aumento, alcanzando para 2018 una tasa de 28,6/100.000 habitantes. Estas cifras sitúan a nuestro país en el grupo de países de incidencia mediana-alta (25 a 49 casos por 100.000 habitantes)4, con aumento de casos tanto en adultos como en niños, con formas de presentación clínica pulmonar y extrapulmonar5.

Los niños constituyen una población altamente vulnerable, presentan mayor riesgo de desarrollar la enfermedad tras la primoinfección y de evolucionar a formas graves5.

En niños son factores de riesgo para adquirir la infección por Mycobacterium tuberculosis (MT) el contacto con adultos de riesgo, pobreza extrema, residir en instituciones y contacto con personal sanitario que asiste a pacientes de riesgo. Los factores para desarrollar ET son: edad menor a 4 años, especialmente menores de 2 años, adolescentes, infección por VIH y estados de inmunosupresión6,7.

En función de la edad, se deben valorar como posibles fuentes de contagio la familia, el personal o compañeros de centros de educación o individuos de su entorno social7.

La infección tuberculosa ocurre luego de la inhalación de gotitas de Flügge que contienen MT. El individuo infectado presenta una prueba de tuberculina (PPD) positiva, pero no tiene manifestaciones clínicas ni radiológicas. La enfermedad se hace presente cuando aparecen signos, síntomas o signos radiológicos vinculados a la presencia de MT6,8.

La tuberculosis laríngea (TL) es en la actualidad una enfermedad muy poco frecuente en los países desarrollados. Su síntoma principal es la disfonía, siendo la enfermedad granulomatosa más habitual de la laringe. La laringitis tuberculosa es la forma clínica con mayor capacidad infectante, fundamentalmente por su localización en las vías aéreas superiores y porque suele aparecer en las tuberculosis pulmonares muy evolucionadas.

Se considera que el principal mecanismo de producción de la TL es por extensión desde un foco pulmonar a través del contacto con el esputo cargado de bacilos. La diseminación hematógena o linfática desde un foco pulmonar como causa de la enfermedad laríngea es muy poco frecuente, aunque en todas las series se puede comprobar la existencia de enfermos con LT que no presentan afectación pulmonar8.

El diagnóstico de TB en niños representa un desafío debido a la variabilidad en la presentación clínica y al bajo rendimiento de las pruebas diagnósticas. Frecuentemente la primoinfección es asintomática o se presenta con manifestaciones clínicas inespecíficas. Aunque la infección puede afectar cualquier órgano o sistema, la forma clínica más frecuente es la pulmonar. Los lactantes y adolescentes suelen tener mayor expresividad clínica9,10.

Amaya y colaboradores han reportado recientemente en nuestro medio el rendimiento del Genexpert para el diagnóstico confirmatorio de la enfermedad en menores de 15 años, evidenciando un buen perfil de sensibilidad y especificidad tanto para muestras respiratorias como no respiratorias11.

Objetivos

Describir el caso clínico de una adolescente de 13 años con una presentación pulmonar y extrapulmonar poco frecuente, con confirmación bacteriológica.

Caso clínico

Adolescente de 13 años, sexo femenino, procedente de Salto. Sin antecedentes familiares ni ambientales a destacar. Buen crecimiento y desarrollo, cursando 2° año de educación secundaria con buen rendimiento. Medio socio económico aceptable, con certificado esquema de vacunación vigente, tres dosis de vacuna para papiloma virus humano (HPV). Menarca a los 9 años, inicio de relaciones sexuales a los 12 años, niega consumo de alcohol y/o consumo problemático de sustancias. En un estudio por disfonía crónica de 4 meses de evolución, se planteó diagnóstico de papilomatosis laríngea mediante laringoscopía directa (Figura 1).

Figura 1: Paciente de 13 años, sexo femenino, disfonía crónica. Laringoscopía directa: se visualizan lesiones nodulares múltiples, no se toma biopsia. Fuente Dr. Altuna (ORL). 

Consulta en emergencia por dolor abdominal, que instala en la noche, tipo puntada, de moderada intensidad, localizado en hipogastrio y flanco derecho, sin irradiaciones ni fenómenos acompañantes. Tránsitos urinario y digestivo sin alteraciones, en apirexia.

Refiere síntomas respiratorios crónicos de meses de evolución, dados por tos y expectoración, planteándose infección respiratoria y recibiendo tratamiento con amoxicilina vía oral y luego azitromicina, sin resolución de los síntomas. Agrega disfonía progresiva, por lo que se realizó laringoscopía directa en forma ambulatoria, observándose lesiones nodulares múltiples, interpretándose como papilomatosis laríngea, sin toma de biopsia.

Al examen físico se constata triángulo de evaluación pediátrica estable, mal aspecto general, adelgazada. Voz disfónica. Pleuropulmonar: eupneica, buena entrada de aire bilateral, no se auscultan estertores. Cardiovascular: ritmo regular de 80 lpm, no soplos, tiempo de recoloración 1 s. Linfoganglionar: adenopatías submaxilares y carotídeas de 2x2 cm, conglomerado carotídeo a derecha, indoloro a la palpación, no adenopatías en otros territorios, resto del examen sin elementos a destacar.

De la valoración paraclínica inicial se destaca:

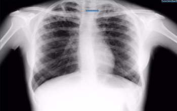
Radiografía de tórax: aumento de la trama intersticial bilateral con lesión tipo caverna en vértice izquierdo (Figura 2).

Figura 2: Radiografía de tórax. Aumento de la trama intersticial bilateral. Flecha azul: lesión tipo caverna en vértice izquierdo. 

Hemograma: leucocitos 6.700/mm3 (N 70%, L 18%, M 7,5); hemoglobina 12,0 g/dl; VCM 77,6; HCM 26; plaquetas 430.000/mm3

VES 59 mm/h. HIV negativo.

Enzimograma hepático: BT 0,22 mg/dl, colesterol 1,55 g/dl, proteínas totales 6,70 g/dl, TGO 14 UI/l, TGP 14 UI/l.

Ingresa a servicio de pediatría con diagnóstico de sospecha de TB pulmonar y laríngea, en aislamiento respiratorio para continuar estudios y confirmación diagnóstica e inicio de reparación nutricional.

Se solicita tomografía de tórax que evidencian imágenes de cavitación en parénquima pulmonar, consolidación con aspecto de árbol en brote (Figura 3).

Figura 3: Tomografía de tórax que muestra ventana pulmonar. Flechas azules: muestran distintos cortes los cuales se observan imágenes de cavitación del parénquima pulmonar, consolidación, aspecto de árbol en brote. 

Se realiza prueba de PPD, que es negativa, y se realizan baciloscopías seriadas de esputo, que fueron positivas (++) y desarrollaron MT.

Se inicia tratamiento antituberculoso con rifampicina, isoniazida, pirazinamida y etambutol, guiado por el Centro Honorario de Lucha Antituberculosa (CHLA)12.

A los 2 meses, con baciloscopías negativas, la paciente retoma su actividad académica. La segunda fase de tratamiento fue supervisada por personal del centro educativo, con buena adherencia. Mejora del estado nutricional y resolución de la disfonía. No presentó efectos adversos ni reacción adversa a medicamentos.

Del estudio de los contactos se destaca a nivel familiar ambos padres negativos, iniciándose quimioprofilaxis primaria (QPP) con isoniacida por 3 meses.

A nivel extrafamiliar se realizó charla informativa en el centro educativo con contactos cercanos y se citaron a todos sus compañeros de clase, asistiendo 17 de un total de 21 compañeros. 11 compañeros presentaron PPD negativo, radiografías normales y baciloscopías negativas, recibiendo QPP con isoniacida por 3 meses como contactos. En 6 casos se inició tratamiento de infección tuberculosa latente (TITBL) o quimioprofilaxis secundaria (QPS) con isoniacida durante 6 meses, ya que presentaron PPD positivo (> a 5 mm) con radiografías normales y baciloscopias negativas.

No se logró identificar contacto bacilífero.

Discusión

La TB laríngea se asocia a menudo con TB pulmonar13,14) evolucionada en pacientes bacilíferos, siendo los casos primarios realmente excepcionales15.

La disminución de la tasa de TBL se asoció con la introducción de medicamentos antituberculosos, la mejora del nivel de vida y los programas de prevención en todo el mundo16. La TBL es un tipo raro de tuberculosis extrapulmonar que constituye menos del 1% de todos los tipos de casos de tuberculosis17, lo que se evidencia en el importante retraso diagnóstico en nuestro paciente.

El principal mecanismo de producción de la TBL es la propagación broncógena desde un foco pulmonar18. Sin embargo, en la mayoría de las series recogidas se encuentran casos sin TB pulmonar asociada, lo que apoyaría la hipótesis de una reactivación de focos hematógenos o linfáticos en la laringe19.

Su manifestación clínica principal es la disfonía crónica, que los clásicos describen como “húmeda”, la cual es dolorosa y puede asociar odinofagia, disfagia y tos. Los síntomas laríngeos con frecuencia son indistinguibles de los observados en las laringitis no tuberculosas20.

Dado que es una de las etiologías más frecuentes en la disfonía crónica se propone plantear la misma en toda disfonía crónica, y fundamentalmente si asocia síntomas constitucionales y respiratorios.

Es discutida la realización de biopsia con estudio bacteriológico e histopatológico. Si bien algunas guías consideran realizarla cuando se establece el diagnóstico de sospecha21, otros autores recomiendan realizarla siempre que la misma persista luego del tratamiento antituberculoso, ya que presenta una excelente respuesta al mismo22.

En general las manifestaciones clínicas son lentas e insidiosas, siendo los enfermos diagnosticados con semanas o varios meses de evolución, tal como sucedió en este caso. En la laringoscopía directa se evidenciaron lesiones nodulares múltiples, como “cesta de huevos”, diagnosticándose una papilomatosis laríngea por el aspecto macroscópico (figura 1) sin estudio histopatológico. La no realización de biopsia es un punto a discutir en este caso clínico, ya que su realización con estudio bacteriológico e histopatológico podría haber realizado una detección más precoz de la enfermedad.

En adultos, el carcinoma de células escamosas y la TB pueden coexistir en un mismo paciente, por lo que la biopsia es fundamental21 dado que el aspecto macroscópico es similar en estas patologías.

Las lesiones granulomatosas en la TBL son más frecuentes en los pacientes de tuberculosis pulmonar que coexiste con tuberculosis laríngea20, opinan otros autores, por lo que inician tratamiento en espera de resolución de síntomas, y reservan la biopsia para aquellos pacientes que persisten sintomáticos a pesar del tratamiento.

El caso clínico presentado constituye un caso índice (CI) nuevo de TB pulmonar postprimaria o del adulto y laríngea con confirmación bacteriológica dada la clínica y paraclínica realizada22.

La TB pulmonar tiene tres pilares diagnósticos: clínico, radiológico y bacteriológico.

La clínica de la TB pulmonar postprimaria o del adulto (por lo general por reactivación o reinfección endógena) no es específica y los síntomas más frecuentes son generales, como fiebre, astenia, sudoración nocturna (síndrome toxibacilar) y respiratorios de varias semanas de evolución. Los hallazgos del examen físico pleuropulmonar son escasos y no tienen correlación con la extensión de las lesiones radiológicas.

La TB pulmonar primaria se observa solamente en 5% de las personas infectadas y se expresa por síntomas escasos e inespecíficos (fiebre, astenia), siendo una forma de presentación frecuente en los niños y en personas con VIH.

La radiología de tórax en la TB postprimaria característicamente muestra afectación de los lóbulos superiores: infiltrados, cavitaciones, consolidaciones, patrón micronodular bilateral (TB miliar) mientras que en la TB primaria las lesiones son menos evidentes, predominando en los lóbulos inferiores.

En el caso reportado, por presentar alteración en el lóbulo superior con cavitación y no presentar noción de contacto epidemiológico, se plantea una TB pulmonar postprimaria por reactivación.

Por otro lado, el retraso en el diagnóstico de nuestra paciente determinó la localización laríngea, debido a la exposición reiterada de los bacilos en la mucosa de vía aérea superior.

Es importante recordar que los pacientes con tuberculosis bacilífera no tratados son fuente de contagio, ya sea para niños u otros adultos, muchos de los cuales posteriormente enferman. Detectar tempranamente esos contactos constituye un renovado desafío. En el estudio de contacto es necesario ampliar el estudio a contactos cercanos, no convivientes que permitan el adecuado control de la enfermedad.

Luego de una primoinfección tuberculosa, en casi la totalidad de los casos en niños sin comorbilidades que comprometan el sistema inmune, la infección se cura (90%-95%), dejando únicamente una inmunidad detectada por el PPD.

El tratamiento de la TB tiene dos objetivos básicos, la curación del paciente individual y la disminución de la trasmisión de la infección. Estos objetivos se logran a expensas de un tratamiento prolongado, combinado, continuado y supervisado. Ha demostrado ser una estrategia eficaz para lograr la adherencia al tratamiento y la curación así como permitir advertir precozmente la aparición de efectos adversos. La observación directa (TAES/DOT) de la toma de los fármacos por personal de salud entrenado es un componente esencial de esta estrategia.

En los esquemas de tratamiento se debe combinar por lo menos una droga bactericida y una esterilizante, acompañadas de dos drogas más que tienen el objetivo principal de proteger a las primeras del desarrollo de resistencias22.

En el caso clínico se utilizó un esquema con cuatro fármacos de primera línea administrados por vía oral: isoniacida, rifampicina, pirazinamida y etambutol. El tratamiento fue indicado y guiado por médico de la CHLA, en conjunto con pediatra. Si bien el uso de etambutol es discutido en la edad pediátrica, ya que se reserva para situaciones particulares (TB meníngea y osteoarticular) se utilizó por estar frente a una adolescente con lesiones cavitarias en la radiografía y baciloscopías positivas (++) (indicadores de elevada carga bacilar).

Conclusiones

La TB sigue siendo un problema de salud pública a nivel mundial y que requiere un alto índice de sospecha para su diagnóstico. En la edad pediátrica constituye un desafío diagnóstico, ya que la clínica frecuentemente es insidiosa, con síntomas inespecíficos y no siempre logramos su confirmación bacteriológica.

En adolescentes debemos estar atentos a los síntomas crónicos, que sumados a la consulta tardía y negación de la enfermedad propia del grupo etarios nos expone a diagnósticos tardíos y formas evolucionadas de mayor gravedad para el paciente y de riesgo para la comunidad por ser bacilíferos.

Se debe considerar la posibilidad de tuberculosis laríngea en todo caso de disfonía persistente, incluso si no hay otros síntomas sistémicos sugestivos.

Una radiografía de tórax anormal que muestra características de tuberculosis junto con una lesión laríngea sugiere el diagnóstico, mientras que una radiografía de tórax normal no lo excluye. Cualquier niño infectado representa un evento centinela de transmisión reciente de MT, siendo el número de niños enfermos o infectados un fiel indicador de la situación epidemiológica en la comunidad.

Por último, consideramos importante insistir en la relevancia de incluir la tuberculosis laríngea en el diagnóstico diferencial de la disfonía crónica, más aún si ésta se acompaña de síntomas respiratorios y/o constitucionales.

Bibliografía:

1. Organización Mundial de la Salud. Informe mundial sobre la tuberculosis. Ginebra: OMS, 2019. Disponible en: https://www.who.int/tb/publications/global_report/gtbr2019_ExecutiveSummary_sp.pdf?ua=1. Consulta: 5 diciembre 2020. [ Links ]

2. Organización Mundial de la Salud. Tuberculosis. Ginebra: OMS, 2021. Disponible en: https://www.who.int/es/news-room/fact-sheets/detail/tuberculosis. Consulta: 5 diciembre 2020. [ Links ]

3. Chelsea O, Behrad A, Boris B. Presentación atípica de tuberculosis laríngea en un paciente pediátrico. Rev Intern Otorrinol Pediatr 2012; 76:752-3. [ Links ]

4. Uruguay. Comisión Honoraria para la Lucha Antituberculosa y Enfermedades Prevalentes. Departamento de Tuberculosis. Programa Nacional de Control de la Tuberculosis. Informe tuberculosis, 2018. Montevideo: CHLA-EP, 2018. Disponible en: http://chlaep.org.uy/wp-content/uploads/2019/05/Situaci%C3%B3n-Tuberculosis-Uruguay-2018.pdf. Consulta: 5 diciembre 2020. [ Links ]

5. Giachetto G. Tuberculosis en niños: una enfermedad reemergente. Arch Pediatr Urug 2013; 84(3):179-80. [ Links ]

6. Bermejo M, Clavera I, Michel de la Rosa F, Marín B. Epidemiología de la tuberculosis. An Sis San Navarra 2007; 30(Supl. 2):7-19. [ Links ]

7. Starke R. Tuberculosis (Mycobacterium tuberculosis). En: Kliegman R, Stanton B, Schor N, Behrman R, Geme J. Nelson. Tratado de Pediatría. 19 ed. Philadelphia: WB Saunders-Elsevier; 2011:1040-56. [ Links ]

8. Tardío E. Protocolo del tratamiento de la tuberculosis infantil. An Esp Pediatr 1998; 48(1):89-97. [ Links ]

9. Moreno D, Andrés A, Altet N, Baquero F, Escribano A, Gómez D, et al. Diagnóstico de la tuberculosis en la edad pediátrica. Documento de consenso de la Sociedad Española de Infectología Pediátrica (SEIP) y la Sociedad Española de Neumología Pediátrica (SENP). An Pediatr (Barc) 2010; 73(3):143.e1-14. [ Links ]

10. De Olivera N, Cedrés L, Kierszenbaum C, Juambeltz C, Giachetto G. Tuberculosis peritoneal. Una forma de presentación poco frecuente de una enfermedad emergente en pediatría. Arch Argent Pediatr 2020; 118(1):e77-e80. [ Links ]

11. Amaya G, Contreras M, Arrieta G, Montano A, Pírez C. Rendimiento del Genexpert en el diagnóstico de tuberculosis pulmonar y extrapulmonar pediátrica. Arch Pediatr Urug 2020; 91(S2):S12-23. [ Links ]

12. Uruguay. Comisión Honoraria para la Lucha Antituberculosa y Enfermedades Prevalentes. Universidad de la República. Facultad de Medicina. Cátedra de Enfermedades Infecciosas. Cátedra de Neumología. Guía nacional para el manejo de la tuberculosis. 3 ed. Montevideo: CHLA-EP, 2016. Disponible en: http://chlaep.org.uy/wp-content/uploads/2020/02/1-Guia-Nacional-de-Tuberculosis-2016.pdf. Consulta: 12 julio 2020. [ Links ]

13. Swain S, Behera I, Sahu M. Primary Laryngeal Tuberculosis: Our Experiences at a Tertiary Care Teaching Hospital in Eastern India. J Voice 2019; 33(5):812.e9-14. [ Links ]

14. El Kettani N, El Hassani M, Chakir N, Jiddane M. Primary laryngeal tuberculosis mimicking laryngeal carcinoma: CT scan features. Indian J Radiol Imaging 2010; 20(1):11-2. [ Links ]

15. Dala E, Villatoro G, Caraccioly A, Bejarano S. Tuberculosis laríngea en un preescolar. Rev Méd Hondur 1995; 63(2):75-8. [ Links ]

16. Paulauskiene I, Mickeviciene V. Dysphonia: the single symptom of rifampicin resistant laryngeal tuberculosis. Open Med (Wars) 2016; 11(1):63-7. [ Links ]

17. Uslu C, Oysu C, Uklumen B. Tuberculosis of the epiglottis: a case report. Eur Arch Otorhinolaryngol 2008; 265(5):599-601. [ Links ]

18. Levenson M, Ingerman M, Grimes C, Robbett W. Laryngeal tuberculosis: review of twenty cases. Laryngoscope 1984; 94(8):1094-7. [ Links ]

19. Fortún J, Sierra C, Raboso E, Pérez C, Plaza G, Navas E, et al. Tuberculosis del área otorrinolaringológica: formas laríngeas y extralaríngeas. Enferm Infecc Microbiol Clin 1996; 14(6):352-6. [ Links ]

20. González N, Charlone G, Sanguinetti A. Tuberculosis laríngea y pulmonar: presentación de un caso. Acta Gastroenterol Latinoam 2011; 41(1):52-4. [ Links ]

21. Unal M, Vayisoglu Y, Guner N, Karabacak T. Tuberculosis of the aryepiglottic fold and sinus pyriformis: a rare entity. Mt Sinai J Med 2006; 73(5):806-9. [ Links ]

22. Pérez M, Barrios P, Galiana A, Giachetto G. Parotiditis tuberculosa: una presentación poco frecuente de una enfermedad reemergente. Arch Pediatr Urug 2020; 91(5):303-8. [ Links ]

Nota: Sociedad Médico Quirúrgica de Salto

Nota: Todos los autores declaran haber colaborado en forma significativa

Nota: Cuenta con el consentimiento informado de la familia y de la adolescente

Nota: Nuestro trabajo no ha sido sometido antes o simultáneamente a consideración de otras publicaciones

Nota: Trabajo inédito

Nota: Declaramos no tener conflictos de intereses

Nota: Este trabajo ha sido aprobado unánimemente por el Comité Editorial

Nota: Catalina Pírez: Coordinadora Diplomatura Infectología Pediátrica. CHPR

Recibido: 12 de Marzo de 2021; Aprobado: 16 de Julio de 2021

Creative Commons License Este es un artículo publicado en acceso abierto bajo una licencia Creative Commons