Introducción
Streptococcus pneumoniae es un patógeno infrecuente en sepsis neonatal (1%-11%), pero se asocia a una elevada mortalidad (hasta un 50%), así como a importante morbilidad (discapacidad o secuelas neurológicas en un 13%)1-7.
En el período neonatal la sepsis a S. pneumoniae puede tener una presentación precoz o tardía1-3.
En la sepsis precoz la transmisión se produce por vía hematógena secundaria a bacteriemia materna, o por vía ascendente a través del canal de parto en madres colonizadas1,2,4-9.
S. pneumoniae no forma parte de la flora vaginal habitual (colonización menor a 1%). La colonización transitoria se ve favorecida por el uso de dispositivos intrauterinos, cirugías ginecológicas o cambios en las prácticas sexuales1,5.
La transmisión horizontal a partir de portadores de la comunidad puede explicar la sepsis neonatal tardía6,7.
En los últimos años la incorporación de la vacuna antineumocócica ha disminuido la incidencia de enfermedad neumocócica invasiva en niños1,10-14. Sin embargo, cerca del 40% de los casos de sepsis a S. pneumoniae registrados en menores de 3 meses ocurren en la primera semana de vida1,2,5. La vacunación materna durante el tercer trimestre de gestación se ha propuesto como otra estrategia para disminuir la incidencia en los neonatos. Esta podría prevenir la colonización genital con cepas vacunales de S. pneumoniae, así como generar anticuerpos maternos que se pueden transferir en forma pasiva al feto intraútero y al neonato a través de la leche materna8-13).
Caso clínico
Recién nacido producto de primera gestación, con madre de 20 años, sana. Buen control obstétrico, complicado con estado hipertensivo del embarazo. Serología para VIH, sífilis y hepatitis B negativa. Exudado vaginal para búsqueda de Streptococcus del grupo B negativo. Niega síntomas respiratorios. Presentó flujo blanquecino no pruriginoso ni fétido. No recibió tratamiento.
Se realizó inducción farmacológica del trabajo de parto por cifras elevadas de presión arterial.
Rotura espontánea de membranas de siete horas de evolución. Líquido amniótico claro. Recibió una dosis de ampicilina menos de una hora previa al nacimiento.
Progresó a parto vaginal en cefálica. Se recibió un recién nacido de término (40 semanas), sexo femenino, con un peso de 3.120 g, talla de 50 cm y perímetro craneano de 34 cm (adecuado para la edad gestacional), vigoroso. El examen físico en recepción fue normal. Fue derivado a alojamiento conjunto.
A las 24 horas de vida, presentó deterioro clínico, síndrome de dificultad respiratoria progresivo, con quejido, aleteo nasal, tiraje y retracción intercostal (Silverman 7), desaturación hasta 70%, bradipnea, acompañado de palidez cutáneo-mucosa y un tiempo de recoloración prolongado. Requirió ventilación a presión positiva intermitente con reanimador neumático con tubo en T con PIM 20, PEEP de 7 y FiO2 en ascenso hasta de 1, por dificultad respiratoria progresiva, se realizó intubación orotraqueal, se conecta a Neopuff con iguales parámetros hasta su ingreso.
Ingresó a la unidad de cuidados intensivos con planteo de sepsis connatal inespecífica con shock séptico, presentaba palidez cutánea, tiempo de recoloración de 4 segundos, taquicardia, temperatura de 37 °C, polipneico, no se cuenta con registro de presión arterial.
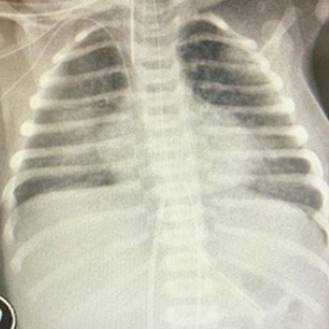
Se conectó a asistencia ventilatoria mecánica en modo asistido y controlado con PIM 16 PEEP 6, PMVA 9, FIO2 25% y volumen corriente 5 mL/kg. Se solicitó paraclínica (Tabla 1) y radiografía de tórax (Figura 1), se iniciaron en forma intravenosa: antibióticos empíricos (ampicilina a 400 mg/kg/día, gentamicina a 4 mg/kg/dosis cada 24 horas); antivirales (aciclovir a 20 mg/kg/dosis cada 8 horas) e inotrópicos (dobutamina a 10 mcg/kg/min), este último por 24 horas. A las 8 horas, con estabilidad clínica, se realiza punción lumbar (Tabla 1).

Figura 1: Radiografía de tórax con infiltrado intersticial bilateral difuso, sin foco claro de consolidación.
Se realizó un exudado vaginal materno que informó abundantes leucocitos y cocos grampositivos dispuestos en diplo. El cultivo desarrolló S. pneumoniae sensible a penicilina y cefotaxime.
El hemocultivo del paciente desarrolló S. pneumoniae serotipo 3 con igual sensibilidad antibiótica que el germen encontrado en el exudado materno.
Con el resultado del hemocultivo y su antibiograma se rotó a penicilina G cristalina intravenosa a 100.000 UI/kg/dosis cada 12 horas.
La paciente presentó buena evolución, con mejoría clínica progresiva, se extubó a cánula nasal a las 48 horas del ingreso. Completó los 10 días de tratamiento antibiótico. Fue dada de alta del hospital a los 12 días de vida.
Discusión
S. pneumoniae es uno de los principales agentes causantes de morbimortalidad en el mundo, principalmente en los niños menores de 2 años de edad1-3).
La infección por S. pneumoniae en neonatos es un evento relativamente infrecuente, representando solo entre 1% y 11% de las sepsis neonatales, pero se asocia con una importante morbilidad y elevada mortalidad por encima de 60%1-7).
Posiblemente su tasa de infección es mayor, así como de fatalidad, al comparar con S. agalactiae15,16).
La vía de transmisión en sepsis precoz puede ser: transplacentaria o ascendente en madres colonizadas; en sepsis tardía: por vía respiratoria a partir de un portador faríngeo1,3. Este microorganismo no forma parte del micro-biota vaginal, la incidencia de gestantes colonizadas es excepcional, puede ocurrir a través de contacto oro-genital con un portador nasofaríngeo o en el contexto de infección respiratoria neumocócica de tracto superior. Se ha estimado una incidencia de colonización en menos de 1%1,5. La colonización por este agente es un factor de riesgo en la transmisión de la infección al recién nacido. Su hallazgo en el exudado vaginal materno debe considerarse patológico y debería plantearse la realización de tratamiento antimicrobiano durante el parto, control estricto del niño y su eventual tratamiento1.
En este caso clínico el exudado vaginal materno, realizado ante la sintomatología del neonato, confirma la colonización materna por el germen, pero no se tuvo la oportunidad de realizar tratamiento antimicrobiano durante el parto. No existen a la fecha guías para el manejo de la colonización vaginal materna por S. pneumoniae, pero sí existe consenso en que el tratamiento antibiótico utilizado en la colonización por SGB también es adecuado para estos casos15).
La mayoría de las infecciones ocurren en los primeros siete días de vida, en muchas publicaciones se ha evidenciado que los síntomas aparecen antes de las primeras 72 horas de vida, lo que sugiere la adquisición de este microorganismo a partir del tracto genital materno1-3. Aldana-Valenzuela17-19 reporta el caso clínico de un pretérmino tardío de 36 semanas con una sepsis neonatal a neumococo que presenta a las 18 horas de vida una apnea y elementos de shock, la evolución fue grave, falleciendo cinco horas después, a pesar del tratamiento realizado. En la historia presentada, los síntomas también aparecen en las primeras horas de vida (a las 24 horas) en un paciente grave, pero con una buena respuesta al tratamiento.
La presentación clínica de la sepsis por S. pneumoniae es indistinguible de otras infecciones que se presentan en el período neonatal1,2,5,6. Nuestro paciente presentaba dificultad respiratoria y elementos de falla hemodinámica, signos y síntomas inespecíficos, por lo que la sospecha clínica cobra relevancia. La búsqueda del germen en el líquido cefalorraquídeo es fundamental, ya que es más frecuente la meningitis en sepsis neonatal precoz por S. pneumoniae10, que fue descartada en este paciente.
El diagnóstico y tratamiento temprano son claves para evitar las secuelas; particularmente se ha reconocido que la sepsis neonatal precoz tiene peor pronóstico que la sepsis neonatal tardía cuando el germen causante es S. neumoniae18.
El tratamiento inicial suele ser empírico, intentando cubrir los gérmenes habituales en la sepsis neonatal. En este paciente se inició ampicilina y gentamicina, rotándose a penicilina con el resultado de cultivos y antibiograma.
En cuanto a prevención, la administración de vacunas antineumocócicas 7, 10, 13 y 23 valentes en los últimos años ha reducido la transmisión de enfermedades por neumococo en la población general. La inmunidad de rebaño y la disminución de portadores en la comunidad podría reducir en forma indirecta la incidencia de la enfermedad neumocócica invasiva neonatal1,3,4,14.
Sin embargo, la enfermedad neumocócica invasiva neonatal representa aún cerca de 40% de las sepsis en menores de 3 meses, como en el caso del paciente presentado. El serotipo 3 está contenido en las vacunas antineumocócicas 13 y 23 valentes administradas a niños en Uruguay3,14.
Por este motivo, se han propuesto otras estrategias, como la vacunación materna en el tercer trimestre de gestación. La vacunación materna disminuiría la colonización genital, también podría existir un traspaso de anticuerpos trasplacentario, confiriendo inmunidad al neonato en los primeros meses de vida3.
En diferentes revisiones la evidencia no es concluyente y es insuficiente para promover la vacunación antineumocócica materna como medida para disminuir la enfermedad neumocócica invasiva neonatal8-13.
Conclusiones
Se presentó el caso clínico de un recién nacido término maduro que a las 24 horas de vida ingresa a la unidad de cuidados intensivos en el contexto de una sepsis connatal precoz de transmisión vertical a S. pneumoniae serotipo 3, sensible a penicilina.
A pesar de ser una causa infrecuente de sepsis en el período neonatal, S. pneumoniae es responsable de importante morbimortalidad y secuelas neurológicas, por lo que la sospecha clínica y el tratamiento oportuno son fundamentales para una buena evolución.
Las estrategias para disminuir la infección neumocócica invasiva, como la vacunación en niños, tienen poco efecto en la morbimortalidad de menores de 3 meses, especialmente neonatos.
La evidencia científica actual es insuficiente para recomendar la vacunación materna en el tercer trimestre como estrategia para la reducción de la infección en neonatos, teniendo en cuenta el costo-beneficio y la sostenibilidad en el tiempo de la medida.















