Introducción
La hemofilia es una enfermedad hemorrágica hereditaria, ligada al cromosoma X, debida al déficit de factor VIII (hemofilia tipo A) o de factor IX (hemofilia tipo B). En hasta un tercio de los casos no hay historia familiar previa, pudiendo ser causado por una mutación de novo, lo que se denomina hemofilia esporádica1-5.
A nivel mundial, la frecuencia estimada es de 1 cada 10.000 nacimientos. En los últimos años se ha observado un incremento de 7% en el diagnóstico de hemofilia y de acuerdo a los datos de las encuestas anuales de la Federación Mundial de Hemofilia, se estima que existen aproximadamente 400.000 personas con hemofilia. A pesar de ello, existe subdiagnóstico de hasta 75% y solo reciben tratamiento adecuado el 30% de los pacientes3-5.
En Uruguay, en el año 2013, el número de niños y adultos con diagnóstico de hemofilia fue de 236, de los cuales 110 eran usuarios de la Administración de los Servicios de Salud del Estado (ASSE)6.
El fenotipo característico de la enfermedad a cualquier edad es la tendencia al sangrado en diferentes localizaciones, predominando en articulaciones, músculos y tejidos blandos. La severidad de las manifestaciones clínicas está determinada por el déficit porcentual del factor de la coagulación en sangre2,6-10.
El diagnóstico de hemofilia se sospecha en varones con antecedentes familiares por línea materna de hemofilia o los que presentan manifestaciones clínicas de coagulopatía, y se confirma mediante la realización de estudios complementarios1-6.
A continuación se presenta el caso clínico de un adolescente sin antecedentes a destacar en la valoración inicial, que presentó un hematoma del músculo psoas ilíaco, que generó dificultades diagnósticas al equipo asistencial. El objetivo de esta comunicación es describir una forma de presentación atípica y potencialmente grave de una coagulopatía leve.
Caso clínico
Trece años, sexo masculino, raza blanca, procedente de Montevideo, sin antecedentes patológicos a destacar. Deportista de alto impacto (fútbol).
Una semana previa al ingreso, luego de práctica deportiva, sin mediar traumatismos, instala dolor en cadera y muslo izquierdo, intensidad progresiva del dolor hasta impedir la deambulación.
Consulta a los cuatro días del inicio de los síntomas, se constata dolor a nivel de la inserción del recto anterior y coxalgia izquierda. En apirexia. Sin otros elementos a destacar del examen físico. Radiografía de pelvis: no evidencia lesiones óseas, es valorado por traumatólogo, se otorga alta con planteo de probable desgarro muscular y tratamiento sintomático.
Persiste con igual sintomatología, por lo que reconsulta a las 72 horas e ingresa. Examen físico: lúcido, dolorido, frecuencia cardíaca de 80 cpm, frecuencia respiratoria de 20 rpm, temperatura axilar 36,2 °C y PA 110/60 mmHg. Osteoarticular: posición antálgica en decúbito lateral derecho, cadera izquierda flexionada. Dolor intenso de la cadera frente al flexo-extensión, rotación interna y externa, aducción-abducción. Limitación de los movimientos activos por dolor. Cadera contralateral y columna vertebral sin alteraciones. Resto del examen: sin alteraciones a destacar.
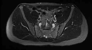
Se solicita hemograma sin alteraciones, velocidad de eritrosedimentación (VES) 28 mm/h y proteína C reactiva (PCR) 22,9 mg/l. Resonancia magnética (RM) de pelvis: proceso expansivo sólido en músculo psoas ilíaco izquierdo de 110 mm por 50 mm por 60 mm (Figura 1), RM columna lumbar: sin alteraciones. Frente al planteo de probable etiología tumoral, se solicita tomografía de tórax y abdomen normales, centellograma óseo: hipercaptación a nivel del proceso ya descrito.

Figura 1: Resonancia magnética, corte longitudinal (izquierda) y transversal (derecha) donde se visualiza hematoma de músculo psoas ilíaco izquierdo.
Se reitera anamnesis y surge antecedente de hemofilia en abuelo materno y requerimientos de tratamiento sustitutivo con factor VIII comercial en tía materna frente a procedimientos invasivos.
Se realiza interconsulta con especialista en medicina transfusional. Se reitera hemograma normal y crasis: tasa de protrombina de 66%, INR 1,35, fibrinógeno de 579 mg/dl y APTT prolongado de 55 seg (prueba de corrección con plasma normal que corrige a 35 segundos). Dosificación de factores de la coagulación: factor VIII 12%, factor VW antigénico 170%.
Dados los estudios complementarios compatibles con coagulopatía, hemofilia tipo A leve, se interpreta el hallazgo imagenológico como hematoma del músculo psoas ilíaco izquierdo.
Se inicia tratamiento sustitutivo intravenoso con factor VIII de la coagulación comercial, mejoría progresiva del dolor y de la limitación funcional que revierte al séptimo día de tratamiento.
Se inició fisioterapia durante la internación, se conectó al paciente y a su familia con equipo de salud mental.
Se otorgó alta domiciliaria a los 15 días del inicio del tratamiento sustitutivo.
Se continuaron los controles ambulatorios con especialista en medicina transfusional y pediatra, obteniendo el alta imagenológica a los seis meses (Figura 2).
Discusión
La hemofilia es de los trastornos hereditarios de la coagulación con mayor incidencia en pediatría. La hemofilia A es la más frecuente, representa aproximadamente el 85% de los casos3.
Las formas de presentación clínica suelen estar en relación directa con los niveles de factores circulantes. En función de la dosificación del factor en déficit, se clasifica en: severa menor a 1%, moderada entre 1% y 5% y leve mayor a 5%6.
El diagnóstico se sospecha por la presencia de antecedentes familiares o de sangrados frecuentes o inusuales. En los pacientes con antecedentes familiares conocidos, el diagnóstico suele realizarse en forma precoz, pudiendo acceder a éste en la etapa prenatal mediante estudio genético o luego del nacimiento mediante dosificación de los factores de la coagulación con muestra de sangre del cordón. En ausencia de antecedentes familiares, el diagnóstico requiere un alto índice de sospecha1,11,12).
La expresión clínica de la enfermedad es la hemorragia en diferentes localizaciones, siendo las más frecuentes las articulaciones y en segundo lugar músculos y tejidos blandos2-6.
El caso clínico que se analiza presenta algunas particularidades que interfirieron en el proceso diagnóstico. En primer lugar, de la anamnesis inicial no surgieron los antecedentes familiares de coagulopatía, lo que contribuyó al retraso diagnóstico. En este caso, el antecedente familiar no había sido consignado en los controles en salud previos, probablemente vinculado a información insuficiente que contribuyera a jerarquizar el mismo. Se destaca la importancia de realizar una anamnesis exhaustiva fundamentalmente frente a manifestaciones clínicas poco frecuentes o de presentación inhabitual. En segundo lugar, si bien la hemofilia leve puede pasar inadvertida durante mucho tiempo e incluso ser diagnosticada en una valoración rutinaria, la ausencia de antecedentes hemorrágicos teniendo en cuenta la edad y que se trata de un deportista de alto impacto, resulta inusual. Finalmente, la forma de presentación y la topografía del sangrado son atípicos en pacientes con enfermedad leve. Los pacientes con hemofilia leve suelen presentar hemorragias importantes ante traumatismos graves, procedimientos invasivos o cirugías mayores, siendo las hemorragias espontáneas, como la que presentó este paciente, poco frecuentes. A pesar de esto, es importante no subestimar el riesgo de sangrado en los pacientes con hemofilia leve ni en las portadoras asintomáticas, ya que puede conllevar una mayor morbimortalidad5,6).
Las hemorragias musculares representan entre 10% y 25% de los sangrados en los pacientes con hemofilia. Pueden topografiarse en cualquier músculo y ocurrir en forma espontánea o frente a traumatismos directos, con manifestaciones clínicas y severidad variables13,14.
Los hematomas del músculo psoas ilíaco son hemorragias graves, potencialmente fatales, dada la repercusión hemodinámica que pueden determinar y las complicaciones a largo plazo. Se presentan clínicamente con dificultad en la marcha, asociados a una incapacidad para extender la cadera por completo, tal como ocurrió en el caso que se analiza. Otras formas de presentación menos comunes incluyen vómitos y dolor abdominal, simulando procesos quirúrgicos, o incluso únicamente dolor inguinal. Pueden asociar compromiso del nervio femorocutáneo y músculo cutáneo externo, presentándose clínicamente con alteración en la sensibilidad de las caras anterior y externa del muslo, parestesias y debilidad muscular con pérdida del reflejo rotuliano4,6.
El diagnóstico de hematoma del psoas se debe sospechar clínicamente y confirmar mediante estudio imagenológico, sin que esto retrase el inicio del tratamiento sustitutivo con factor comercial y el resto de las medidas terapéuticas. Para el diagnóstico imagenológico se puede optar entre tomografía computada (TC), RM o ecografía, siendo esta última un método poco invasivo, accesible y confiable para este tipo de patología. El tipo de imagen que puede obtenerse mediante RM dependerá del tiempo evolutivo del sangrado. La RM tiene mayor sensibilidad que la TC. A pesar de ello, en ocasiones, puede resultar dificultoso el diagnóstico diferencial con procesos tumorales o infecciosos. A diferencia de estos, el hematoma afecta en forma difusa al músculo. En hematomas de evolución crónica puede observarse el signo del mosaico en las imágenes en T2, esto representa zonas de hemorragia y de reabsorción, lo que facilita el diagnóstico de hematoma4,14-17.
Las complicaciones crónicas de los hematomas musculares incluyen la formación de quistes, pseudotumor y miositis osificante1,9,15,18,19.
El abordaje terapéutico del paciente con hematoma del psoas ilíaco requiere la hospitalización, reposo absoluto evitando toda contracción del músculo e iniciar el tratamiento sustitutivo con el factor en déficit lo antes posible. La fisioterapia con ejercicios isométricos una vez que el paciente no presente más dolor, contribuirá a acelerar la recuperación. En este caso clínico se inició el tratamiento sustitutivo una vez confirmado el diagnóstico con importante mejoría del dolor y de la limitación funcional a partir del séptimo día de tratamiento. Se asoció, además, fisioterapia con buena respuesta6,20.
En la hemofilia A el objetivo terapéutico es alcanzar valores entre 80%-100% del factor VIII en los primeros tres días6,9.
Dado que se trata de un paciente con hemofilia leve, sin historia de otros sangrados mayores y sin evidencia de daño articular por hemartrosis, una vez alcanzados valores y período de seguridad del tratamiento con factor VIII comercial para el episodio de sangrado actual, solo requerirá tratamiento profiláctico con factor VIII frente a procedimientos quirúrgicos, invasivos, episodios traumáticos, o en forma intermitente frente a actividades de alto impacto6.
El alta definitiva del hematoma del psoas requiere la resolución imagenológica, que ocurre habitualmente a los seis meses, como en este caso6.
Finalmente, es importante destacar que la hemofilia es una enfermedad que requiere un abordaje integral, preferentemente en un centro de referencia, mediante un equipo interdisciplinario, lo que resulta fundamental para lograr una correcta adherencia al tratamiento y a los controles, disminuir la morbimortalidad y mejorar la calidad de vida6,21.
Conclusiones
El hematoma del psoas ilíaco es una hemorragia grave, con elevada morbimortalidad, que requiere diagnóstico y tratamiento oportunos. A diferencia de lo observado en este caso, su presentación suele ocurrir en pacientes con coagulopatías habitualmente severas. Es necesario jerarquizar el relevamiento de los antecedentes familiares y brindar información para el correcto asesoramiento genético. Finalmente, es importante no subestimar el riesgo de sangrado en estos pacientes, ya que presenta una mayor morbimortalidad en el mismo escenario clínico en comparación con formas más severas de la enfermedad.















