Introducción
La distonía es un trastorno neurológico en el cual ocurren contracciones musculares involuntarias, sostenidas y repetitivas, que resultan en movimientos o posturas anormales. Según el último consenso, las distonías se clasifican según dos ejes: 1. Características clínicas: edad de inicio, distribución corporal (focal, segmentaria, generalizada), patrón temporal y elementos asociados (distonía aislada o combinada con otros signos neurológicos). 2. Etiología: a) hereditaria, adquirida o idiopática; b) con evidencia de neurodegeneración, lesión cerebral estructural (estática) o sin evidencia de neurodegeneración o lesión1.
Clásicamente se le han llamado “distonías primarias” a aquellas de causa genética o idiopática, en donde la distonía es el único signo clínico (aislada) y no hay evidencia de patología estructural del sistema nervioso (por ejemplo, DYT1, DYT 6)2. Las distonías combinadas (antiguamente “distonía-plus”) asocian otros movimientos anormales (por ejemplo, mioclonus- DYT11, o parkinsonismo- DYT5). Enfermedades neurodegenerativas que provocan distonía son, por ejemplo, la enfermedad de Wilson o la neurodegeneración asociada al déficit de pantotenato-kinasa (PKAN). Finalmente, las distonías adquiridas (antiguamente “secundarias”) son aquellas donde existe una causa evidente como una lesión cerebral isquémica, tumoral, infecciosa, traumática o exposición a fármacos neurolépticos (distonía tardía). En los niños, este es el tipo más común de distonía, fundamentalmente asociado a la parálisis cerebral por encefalopatía hipóxico-isquémica o kernicterus3.
Si bien la distonía aislada de causa genética es una enfermedad considerada como relativamente rara, su prevalencia puede variar desde 11 hasta 300 casos cada 100.000 habitantes, dependiendo de la localización geográfica y el origen étnico de la población2.
La distonía en la edad pediátrica afecta negativamente el crecimiento, el desarrollo, la educación y actividad del niño, provocando discapacidad progresiva, deformaciones músculo-esqueléticas y raramente la muerte. Exceptuando el uso de toxina botulínica y levodopa en casos seleccionados, el tratamiento farmacológico es poco eficaz y muchas veces mal tolerado3. Por este motivo, se hace imprescindible el desarrollo de nuevas herramientas terapéuticas para poder controlar los síntomas en este grupo de pacientes.
La estimulación cerebral profunda es una opción de tratamiento bien establecida para la distonía primaria4,5. La misma consiste en implantar por vía estereotáctica electrodos en determinadas localizaciones en el cerebro, conectados por cables extensores, a un generador de impulsos. En Uruguay se han realizado ya 25 cirugías de implantes de neuroestimuladores cerebrales, la mayoría en adultos portadores de enfermedad de Parkinson6. Hay dos pacientes adultos operados por distonía primaria.
El objetivo de este trabajo es contribuir a difundir el conocimiento sobre una enfermedad infrecuente, de diagnóstico laborioso en sus primeras etapas, pero con un tratamiento eficaz que puede realizarse en nuestro país.
En este artículo se presenta el caso del primer niño en recibir la terapia de estimulación cerebral profunda en Uruguay. Además, es el primer caso nacional que cuenta con confirmación genética del diagnóstico.
Caso clínico
Escolar de 11 años, caucásico, de sexo masculino. Sin patología perinatal. Buen crecimiento y desarrollo. Sin antecedentes familiares de la enfermedad.
Comienza hace dos años con movimientos de torsión involuntarios en el pie izquierdo. Los movimientos anormales se extienden a ambos miembros inferiores y posteriormente al tronco. Aparece distonía en los miembros superiores en acciones específicas como la escritura. El resto del examen neurológico es normal.
El puntaje motor en la escala BFMDRS es 54/120. El puntaje de discapacidad (BFMDRS-D) es 10/30, muy limitado para las actividades básicas de la vida diaria (necesita asistencia para vestirse, alimentarse, caminar). La calidad de vida del niño se veía gravemente afectada en los dominios de salud física y de salud mental (cuestionario SF36 42/100).
Al inicio del cuadro se planteó descartar un origen psicógeno del mismo y la valoración psiquiátrica fue normal. Se estudió con resonancia magnética cerebral que también fue normal. Se realizó prueba terapéutica con levodopa que fue negativa, descartando distonía dopa-sensible. Por último, se realizó secuenciación de nueva generación de ADN genómico detectando la variante c.907_909del p. en heterocigosis en el gen TOR1A (DYT1), lo cual confirma una causa genética del cuadro. El diagnóstico fue entonces distonía primaria generalizada.
El tratamiento instituido al momento de la consulta comprendía baclofeno 50 mg/día y clonazepam 4 mg/día, con escaso efecto. Dada la severidad, refractariedad al tratamiento médico y repercusión funcional de la enfermedad, se decidió proceder a una cirugía de estimulación cerebral profunda.
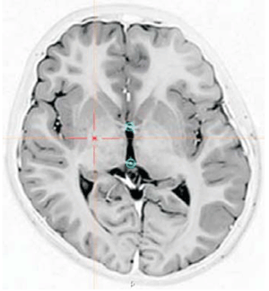
Se realizó implante de electrodos tetrapolares (Medtronic 3387) en globo pálido interno (GPi) posteroventral bilateral por vía estereotáctica bajo anestesia general. La planificación de los blancos cerebrales se llevó a cabo con el software de navegación estereotáctica Win Neus® 4.0 (Nuclemed, Argentina) mediante la fusión de imágenes de tomografía computada intraoperatoria con resonancia magnética preoperatoria (Figura 1).

Figura 1: Corte axial de resonancia magnética 1.5 T en el plano intercomisural; secuencia short-tau inversion recovery (STIR). Se observa la planificación del blanco en el GPi posteroventral derecho (cruz) y las comisuras blancas anterior y posterior (círculos).
Se utilizó confirmación neurofisiológica con microrregistros cerebrales unitarios que detectaron el patrón de descarga neuronal típico del globo pálido interno en las trayectorias seleccionadas (Figura 2).

Figura 2: Se observa actividad electrofisiológica característica de las neuronas del GPi con patrón de descarga amplio e irregular entre las posiciones -3.5 y 0.0 del registro.
Se realizó, además, microestimulación intraoperatoria para estimar la posición de la cápsula interna. Una vez en posición, los electrodos se fijaron al cráneo y se conectaron por medio de extensiones a un generador de impulsos recargable (Medtronic, ACTIVA RC) que se implantó en un bolsillo subcutáneo infraclavicular.
En el posoperatorio, el paciente evolucionó sin complicaciones y fue dado de alta a domicilio al tercer día. Luego de una revisión monopolar de contactos e impedancias se inició la estimulación con corriente continua (amplitud 2 mA, frecuencia 130 Hz, ancho de pulso µs. Se efectuó una tomografía computada de control que fue fusionada a las imágenes de resonancia con el software SureTuneTM (Medtronic MN, USA) para corroborar la posición correcta de los electrodos dentro de ambos GPi (Figura 3).

Figura 3: Se observan reconstrucciones 3D del núcleo lenticular derecho e izquierdo (GPi en azul, globo pálido externo -GPe- en anaranjado, putamen en amarillo). Los electrodos se identifican bien posicionados dentro de la parte posterior del GPi. La esfera marrón representa el volumen de tejido activado (VTA) por la estimulación eléctrica con los parámetros seleccionados.
Se constataron mejorías inmediatas al encender el estimulador. A menos de tres meses de la intervención, el paciente tenía una marcha casi normal e independiente, puede andar en bicicleta, remar o correr, participar de actividades sociales, entre otras cosas. El puntaje motor actual en la escala BFMDRS es 13/120 (mejoría 76%) y 3/30 en discapacidad (BFMDRS-D) (mejoría 70%). La calidad de vida evaluada por el niño en el cuestionario SF36 es ahora 83/100 (mejoría global 72%), con mejoría de hasta 92% en su función física (Figura 4). Se mantiene una dosis mínima de baclofeno (5-10 mg/día) y clonazepam (1 mg/día).
Discusión
La distonía primaria que se presenta en este trabajo, conocida como DYT1 y antiguamente llamada “distonía idiopática de torsión” o “distonía de Oppenheim”, es causada por una deleción de un triplete GAG en el gen TOR1A (DYT1) localizado en el cromosoma 9q347. Este gen codifica para la proteína torsina-A, localizada en el retículo endoplasmático. La mutación del gen DYT1 provoca distonía inicialmente focal que luego suele generalizarse, como en nuestro paciente. El patrón de herencia es autosómico dominante con penetrancia variable3.
El tratamiento farmacológico incluye el uso de anticolinérgicos, benzodiazepinas, baclofeno oral o neurolépticos (antidopaminérgicos). Estos tratamientos son poco eficaces y poco avalados por la evidencia2. Por otro lado, el uso de toxina botulínica se ve limitado por el gran número de grupos musculares afectados.
La estimulación cerebral profunda (ECP) es un tratamiento seguro y eficaz para el tratamiento de la distonía primaria, avalado por un alto nivel de evidencia en adultos (clase I)4,5, y con efectos mantenidos en el tiempo8. Un metaanálisis reciente ha demostrado su eficacia en niños9. La tasa de complicaciones es también aceptable en este grupo etario, si bien pueden ocurrir infecciones del sitio quirúrgico en hasta 10% de los casos (la mayoría necesita la ablación completa del material implantado) y el porcentaje de revisiones quirúrgicas del sistema es elevado (la mayoría por recambios de batería)10.
El éxito de la intervención depende en gran medida de la causa y tipo de distonía.
Las distonías primarias responden mucho mejor a la ECP que las secundarias o adquiridas. Una revisión sistemática de 19 estudios, incluyendo 76 niños operados por distonía de distintas causas, mostró una mejoría global de la función motora en la escala BFM de 56% en distonías primarias contra 21% en distonías secundarias11. Otro metaanálisis reciente mostró importantes mejorías clínicas en niños con distonía primaria (78% y 70% en función motora y discapacidad respectivamente), mantenidas en el tiempo más allá de 13 meses de seguimiento9. Estas mejorías clínicas significativas se ven en pacientes no solo portadores de distonía DYT1, sino también en distonía mioclónica (DYT11) y otras formas hereditarias menos frecuentes (no-DYT1). Por este motivo, si bien el testeo genético tiene un valor pronóstico, el mismo no debe retrasar o limitar la indicación quirúrgica12.
En casos severos de parálisis cerebral distónica (PCD), el tratamiento con bombas de baclofeno intratecal ha sido avalado con un alto nivel de evidencia13. Sin embargo, la respuesta a la ECP es limitada y no muestra aún los excelentes resultados logrados con la distonía genética o idiopática. Los niveles de mejoría en la función motora son muy variables, entre 1% y 50%. La mejoría reportada en los niveles de discapacidad es aún menor (0,5%-32%)14. De todas maneras, la ECP podría ser considerada en casos muy discapacitantes refractarios a la medicación o a la terapia con baclofeno intratecal15,16. Se han comunicado resultados favorables en casos muy seleccionados, mayores de 6 años con cuadriparesia distónica sin espasticidad ni lesión palidal destructiva17. Probablemente, los niños con PCD sin espasticidad ni ataxia son los mejores candidatos14. De todas maneras, la evidencia es insuficiente y la indicación es definida por la opinión de expertos.
En cuanto a otros factores predictores de la respuesta, se ha visto que cuanto mayor es el tiempo de vida con la enfermedad, peores son los resultados2. El pediatra debe derivar rápidamente al niño a un centro de referencia para ser evaluado por un neuropediatra experto en movimientos anormales. La edad al momento del diagnóstico también se correlaciona en forma negativa con el resultado. Los niños de mayor edad tienden a responder mejor a largo plazo2. Es interesante observar que la severidad de base de la enfermedad no se correlaciona con el resultado quirúrgico en los diferentes estudios2,8. Tampoco la distribución corporal de la distonía, aunque sí se ha visto que los pacientes con compromiso del tronco tienen mejor pronóstico2. Por último, la presencia de deformidades esqueléticas fijas va en contra de una buena respuesta a la ECP2,10.
Nuestro paciente es portador de múltiples factores predictores de buena respuesta, como el tipo de distonía (DYT1+) con compromiso de tronco, el acceso relativamente rápido a la cirugía con pocos meses de evolución de la enfermedad generalizada y sin deformidades esqueléticas fijas. Los resultados son muy satisfactorios y acordes a la literatura internacional.















