Introducción
La prevalencia de la obstrucción duodenal intrínseca (atresia, membrana, o estenosis severa) es 1:6.000 nacidos vivos. Las membranas gastrointestinales son un tipo de atresia intestinal congénita, siendo una anomalía poco frecuente como causa de obstrucción gastrointestinal en niños1,2. Según Fonkalsrud, en su reporte de 503 pacientes con obstrucción duodenal, la incidencia de membranas duodenales es de 41% como factor de obstrucción duodenal parcial3.
Su causa es un fallo en la recanalización de la luz duodenal entre la octava y décima semana de gestación4. Las membranas duodenales pueden clasificarse en completas o incompletas (fenestradas). Si bien ambas anomalías pueden causar obstrucción gastroduodenal en el período neonatal, según el tamaño de la abertura pueden manifestarse más tardíamente5.
En 10% de los casos están asociadas a otras anomalías congénitas: trisomía 21, malrotación intestinal, situs inversus, cardiopatías congénitas y páncreas anular6.
Las manifestaciones clínicas son variables e incluyen vómitos recurrentes, fallo de crecimiento, rechazo del alimento, síndromes pulmonares aspirativos, distensión abdominal y estreñimiento. Se han descrito formas de presentación aguda con vómitos, hematemesis y pancreatitis6. En la variante fenestrada los primeros síntomas suelen producirse con la transición a los alimentos sólidos, o puede manifestarse mucho más tarde en la infancia, o más raramente, en la edad adulta, cuando existe disminución progresiva de la motilidad, impactación de alimento o cuerpo extraño, lo que determina una obstrucción completa1.
El estudio radiológico contrastado gastroduodenal permite la confirmación y la topografía de la obstrucción. La endoscopía digestiva alta contribuye al diagnóstico confirmando la presencia de membrana así como la variante (central o excéntrica)4.
Las alternativas de tratamiento pueden ser quirúrgicas o endoscópicas. Las quirúrgicas pueden realizarse por abordaje convencional o por vía laparoscópica7.
No existen comunicaciones de incidencia en nuestro medio.
El objetivo es alertar al pediatra sobre una causa poco frecuente de desnutrición luego del primer semestre de vida y analizar su abordaje diagnóstico y terapéutico.
Caso clínico
Niña, 12 meses, primer embarazo sin complicaciones, nacimiento por cesárea a las 40 semanas. Normopeso y peso adecuado a la edad gestacional, sin patología neonatal. Con antecedentes de dos episodios de gastroenteritis aguda y una bronquiolitis aguda, que no requirieron internación. Lactancia materna exclusiva hasta los 6 meses de vida cuando inicia alimentación complementaria con rechazo de alimentos sólidos, comiendo poca cantidad y variedad. Del crecimiento se destaca desde los 8 meses de vida, inicialmente deflexión de curva peso para la edad (P/E) pasando del percentil 85 al percentil 3. Posteriormente, afectación de la talla (Figura 1) y (Figura 2). Desarrollo acorde a la edad.
De manera ambulatoria su pediatra tratante solicitó estudios analíticos sanguíneos en búsqueda de la causa de desnutrición que resultaron normales. Se realizaron dos ecografías abdominales, ambas sin alteraciones, a los 6 y 9 meses de edad.
A los 12 meses de vida agrega vómitos de alimentos, sin elementos patológicos, un episodio diario, en la noche, tres horas luego de la ingesta. Presentando aumento progresivo en las siguientes semanas de la frecuencia de los vómitos, algunos biliosos y deposiciones diarreicas con deshidratación, siendo hospitalizada en cuidados moderados.
Del examen físico al ingreso se destaca: peso 7 kg < P3, talla 70 cm < P3. Elementos de desnutrición severa (signos del calzón y la tabaquera). Examen abdominal: ligera distensión supraumbilical. Resto del examen sin alteraciones.
Los estudios analíticos realizados evidenciaban una gasometría venosa con una alcalosis metabólica PH 7,51 PCO2 36 mm de Hg, BE 5,4 mEq/L, HCO3 28,9 mEq/Ll, amilasemia 35 U/L, ionograma: potasemia 3,8 mEq/L, natremia 133 mEq/L, cloremia 96 mEq/L.
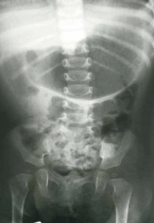
Se reiteran estudios imagenológicos con una nueva ecografía abdominal que muestra dilatación de cámara gástrica marcada y de las dos primeras porciones del duodeno e imagen sugestiva de obstrucción duodenal parcial a nivel de D2. La (Figura 3) muestra la radiografía de abdomen de pie gran dilatación gástrica, con signo de la doble burbuja. La (Figura 4) y la (Figura 5) muestran el estudio contrastado gastroduodenal que constató obstrucción duodenal a nivel de segunda porción con pasaje a sectores distales. Sin evidencias de malrotación u otras anomalías.

Figura 4: Estudio radiológico contrastado gastroduodenal. Se observa obstrucción en D2 con pasaje de contraste distal.

Figura 5: Estudio radiológico contrastado gastroduodenal. Se observa obstrucción en D2 con pasaje de contraste distal.
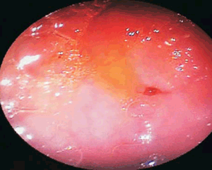
La endoscopía digestiva confirma a nivel distal presencia de un fondo de saco con una mínima perforación de aproximadamente 1 mm de diámetro (membrana duodenal perforada) (Figura 6). Se coloca balón logrando dilatación sin pasaje total de endoscopio.

Figura 6: Imagen de la endoscopía digestiva de la paciente; se observa membrana duodenal fenestrada.
El equipo quirúrgico resuelve realizar duodenotomía vía laparotómica con escisión parcial de la membrana duodenal.
Recibe alimentación parenteral 10 días, luego inicia alimentación enteral en forma gradual por sonda naso yeyunal, que se retira en el día 12 del posoperatorio, continuando con alimentación vía oral con buena tolerancia. Luego de la intervención quirúrgica, presentó en los controles ambulatorios ascenso ponderal acorde, con recuperación nutricional.
Discusión
A diferencia de la atresia duodenal que presenta manifestaciones precoces y puede ser incluso de diagnóstico prenatal, las membranas duodenales incompletas pueden llevar a un diagnóstico tardío debido a la ausencia de síntomas en el período neonatal y en los primeros meses de vida, como se observó en esta niña4,8.
A esta edad la obstrucción duodenal es generalmente congénita y puede ser de causa extrínseca o intrínseca. Entre las causas extrínsecas se encuentran la vena porta preduodenal, páncreas anular, vólvulo, malrotación intestinal con bandas de Ladd. Las causas intrínsecas incluyen las membranas perforadas e imperforadas de diferente grosor y la atresia4.
En cuanto a los elementos para sospechar una estenosis duodenal a forma de membranas duodenales presentes en la paciente se destacan: vómitos intermitentes en el primer año de vida, así como también la presencia de síntomas al pasar de la alimentación láctea a sólidos y fallo del crecimiento consiguiente1).
El rechazo de los alimentos y la selectividad fueron las manifestaciones más tempranas en la paciente. Se define como el rechazo del niño a la ingesta de parte o todos los alimentos ofrecidos, con el consiguiente inadecuado aporte calórico, para lograr cubrir necesidades nutricionales para la edad. Se evidenciaron en la paciente también comportamientos específicos, a menudo asociados con la negativa a los alimentos y otras respuestas, como girar la cabeza y cierre de la boca a la presentación de la comida, escupiéndola, y tiempo prolongado de alimentación, náuseas e incluso vómitos9.
La presencia de determinados síntomas y signos, como falla del crecimiento, retraso en el desarrollo, vómitos, disfagia, dolor durante la alimentación, diarrea y síntomas cardiorrespiratorios crónicos, constituyen elementos de alarma que obligan a destacar patologías orgánicas9,10.
En el caso presentado el principal signo de alarma fue la falla de crecimiento a partir del octavo mes. Si bien presentó enfermedades intercurrentes, la severidad de la afectación nutricional no podía ser explicada solo por estas enfermedades leves y autolimitadas, por lo que se solicitaron estudios paraclínicos y descartaron enfermedades malabsortivas, insuficiencia renal e inmunodeficiencias. Los hallazgos clínicos y paraclínicos tampoco orientaban a enfermedades metabólicas congénitas. Las ecografías abdominales realizadas inicialmente alejaban la posibilidad de malformaciones pancreáticas y digestivas.
A los 13 meses de edad ingresa por oclusión intestinal con deshidratación. La radiografía de abdomen de pie mostraba el signo de la “doble burbuja” (estómago y primera porción del duodeno distendidos, con pasaje parcial de aire de manera distal), que confirmaba el diagnóstico de oclusión intestinal alta.
En este caso el estudio contrastado confirmó la obstrucción duodenal parcial, se destaca la importancia del mismo como examen para el diagnóstico de obstrucción duodenal, su topografía, y descartar diagnósticos diferenciales como malrotación intestinal, especialmente en los casos que se presentan con síntomas crónicos de obstrucción parcial duodenal1. Si bien la radiografía simple de abdomen orientaba a la topografía duodenal, el estudio contrastado digestivo alto es fundamental, ya que confirma la topografía en el 70% de los casos11.
La endoscopía digestiva es el gold standard para el diagnóstico de las membranas duodenales y a la vez puede ser una opción terapéutica efectiva12.
El tratamiento de la membrana duodenal fenestrada es quirúrgico, previa de gravitación del estómago y estabilización hidroelectrolítica del paciente. Las alternativas quirúrgicas varían desde la cirugía abierta hasta la cirugía laparoscópica. Si bien la corrección endoscópica puede resolver rápida y eficazmente la obstrucción, con menos complicaciones y tiempo de hospitalización, los casos reportados en la evidencia son escasos13-16.
En la niña se intentó realizar por vía endoscópica, no pudiéndose continuar el procedimiento por riesgo de lesión de los ductos biliares, siendo necesario realizar la duodenotomía por vía laparotómica. En algunos centros se realiza la resección de membrana duodenal mediante laparoscopía. Se trata de una opción segura, con baja tasa de complicaciones16.

















