Introducción
La osteomielitis es la inflamación ósea de etiología infecciosa causada habitualmente por bacterias y con menor frecuencia por parásitos, hongos o micobacterias. Afecta frecuentemente a huesos largos, a nivel de las metáfisis. En menores de 18 meses, la infección habitualmente compromete la articulación dadas las características anatómicas y la irrigación de la región. En niños previamente sanos la mayoría de los casos son de origen hematógeno. Staphylococcus aureus es el agente etiológico más frecuente en todas las edades1,2.
La osteomielitis puede tener una evolución aguda, subaguda o crónica dependiendo de la virulencia del agente y de la respuesta inmunológica del huésped. Habitualmente es de evolución aguda, es decir la duración de los síntomas al momento del diagnóstico es inferior a dos semanas1. En ocasiones el diagnóstico puede retrasarse por presentación clínica y/o localización atípica. Esto deriva en tratamientos no oportunos determinando una evolución a formas subagudas o crónicas3.
En la actualidad, la disponibilidad y uso adecuado de los recursos diagnósticos y terapéuticos explican la reducción en la prevalencia de formas subagudas y crónicas. Según diferentes series las osteomielitis hematógenas crónicas, es decir aquellas con sintomatología mayor a tres semanas de duración al momento del diagnóstico, representan menos del 5% de los casos2,4,5. Por tanto, frente a infecciones osteoarticulares con esta evolución resulta necesario plantear e investigar otros patógenos.
En Uruguay, la situación epidemiológica actual obliga a descartar enfermedades re emergentes, en especial tuberculosis. Las formas óseas de tuberculosis, representan entre 10% a 15% de las formas extrapulmonares de la enfermedad y se originan generalmente por diseminación hematógena en el momento de la bacteriemia inicial. En la mayoría de los casos el foco primario es pulmonar. Sin embargo, en menos de la mitad de los casos existe evidencia radiológica del mismo3,6,7.
La presentación clínica de la tuberculosis ósea es generalmente insidiosa. Si bien el dolor y la impotencia funcional son las manifestaciones iniciales, no se acompaña de manifestaciones sistémicas y el compromiso inflamatorio es similar a un absceso frío. Esto explica las dificultades y el retraso en el diagnóstico3,7.
A continuación se describe el caso de una niña de 18 meses que se presentó con una osteomielitis crónica interpretada inicialmente como de causa bacteriana inespecífica, que en la evolución, tras la punción ósea se aisló Mycobacterium tuberculosis. El objetivo es alertar sobre una forma de presentación no habitual de una enfermedad reemergente en nuestro país y analizar su diagnóstico y tratamiento.
Caso clínico
18 meses, sexo femenino, procedente de Montevideo, sin antecedentes personales, ambientales ni familiares a destacar. Certificado esquema de vacunación vigente.
Ingresa a sector de cuidados moderados en setiembre de 2014 por edema de tobillo derecho.
Enfermedad Actual: Comienza tres meses previos al ingreso con edema, dolor e impotencia funcional de tobillo derecho. En la evolución cede el dolor, persistiendo con edema. Se mantuvo siempre en apirexia. Niega traumatismos y lesiones de piel.
Al mes de iniciada la enfermedad, luego de varias consultas en primer nivel de atención, concurre al Servicio de Emergencia donde se constata al examen físico leve edema de tobillo derecho, que no despierta dolor a la palpación, sin otras alteraciones. Se realiza interconsulta con traumatólogo y exámenes paraclínicos. Hemograma: hemoglobina 11 g/dL, plaquetas 447 elementos/mm3, leucocitos 11,9 elementos /mm3; y proteína C reactiva (PCR) 0,5 mg/l. No se solicita radiografía en dicha consulta y se otorga alta con ibuprofeno vía oral y control ambulatorio.
Ante la persistencia de la sintomatología vuelve a consultar, constatándose al examen físico a nivel de tercio inferior y externo de tobillo derecho tumoración de dos por cuatro centímetros de consistencia blanda, algo fluctuante, con leve rubor, sin calor, con zona céntrica descamante, redondeada y parduzca. Movilidad activa y pasiva de tobillo conservado e indoloro.
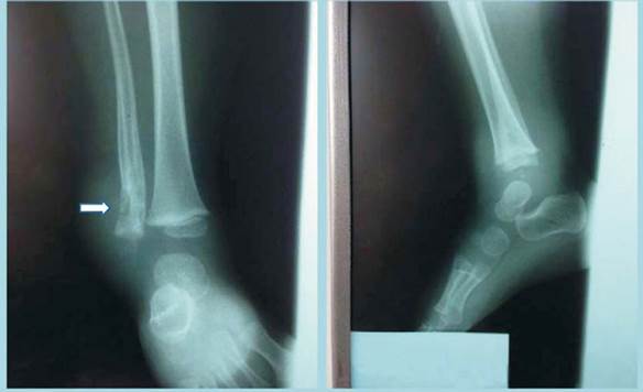
Se solicita radiografía de la articulación tibiotarsiana derecha observándose múltiples imágenes geódicas que afectan la cortical del sector distal de la diáfisis del peroné, con pequeño secuestro óseo en su interior. Engrosamiento del periostio de ambas corticales proximales a las lesiones (Figura 1). La radiografía del miembro inferior contralateral no muestra alteraciones.
Hemograma: hemoglobina 12,3 g/dl, plaquetas 453 elementos/mm3, leucocitos 13 elementos/mm3, PCR 0,1 mg/l, velocidad de eritrosedimentación (VES) 21 mm/h.
Valorada por traumatólogo se realiza punción ósea de la zona obteniéndose 10 ml de líquido serohemático turbio que se envía para estudio bacteriológico.
Se realiza toma de muestra para hemocultivo y se inicia tratamiento empírico con clindamicina más gentamicina intravenosa.
A las 72 horas del ingreso se realiza resonancia nuclear magnética (RNM) de tobillo derecho: en T1 en tercio inferior del peroné e interlínea articular tibiotarsiana imágenes hipointensas, lesión en astrágalo con imagen en sacabocado. En T2 imágenes hiperintensas (Figura 2, Figura 3 y Figura 4).
El cultivo del material obtenido de la punción ósea y el hemocultivo fueron negativos. Se realizan dos limpiezas quirúrgicas, una a los tres días del ingreso y la otra a los diez. En la descripción operatoria se observa salida de material blanquecino membranoso blando con destrucción de la cortical externa de 2 cm que comunica con la imagen lítica.
Se envía el material obtenido para estudio bacteriológico, que no muestra desarrollo, y para estudio anatomopatológico. También se enviaron muestras al laboratorio de la Comisión Honoraria de Lucha Antituberculosa y Enfermedades Prevalentes (CHLA) para búsqueda de micobacterias.
Durante la internación permaneció en apirexia con excelente estado general y mejoría progresiva. Recibió 21 días de clindamicina y 10 días de gentamicina por vía intravenosa. Se otorgó alta con cefuroxime-acetil vía oral. A los 13 días del alta se recibe informe de la CHLA: cultivo positivo para Mycobacterium tuberculosis, así como informe de anatomía patológica que describe un proceso inflamatorio crónico en actividad, con presencia de granulomas tuberculoides con áreas de necrosis. El aspecto citohistológico es compatible con tuberculosis ósea. Sin malignidad. Se indagan posibles contactos, no se identificó caso índice. La radiografía de tórax fue normal y la prueba cutánea de derivado proteico purificado (PPD) fue positiva (10 mm). Se suspendió cefuroxime y se inició tratamiento con isoniacida, rifampicina y piracinamida, bajo supervisión de la CHLA.
En el control con traumatólogo en diciembre de 2014, presentó evolución favorable, sin dolor. En la radiografía se observan elementos de reosificación ósea.
Discusión
A pesar de los avances en el diagnóstico y tratamiento, la información epidemiológica actual muestra que la tuberculosis no puede ser considerada una enfermedad del pasado. Tras un periodo de disminución significativa de su incidencia, la infección ha re emergido y actualmente determina más de 1.500.000 muertes anuales a nivel mundial8-10.
En Uruguay, actualmente la tuberculosis es un importante problema de salud. Tras la implementación del Programa Nacional de Control de la Tuberculosis a comienzos de la década de 1980, se observó un descenso progresivo en la incidencia global de la enfermedad hasta mediados de la década de 1990. Desde entonces, se observa primero un estancamiento del descenso de la incidencia y en los últimos años un ascenso. Es posible que este cambio epidemiológico esté vinculado con el aumento de población con factores de riesgo como consumo problemático de sustancias psicoactivas, infección por virus de inmunodeficiencia humana y privación de libertad4,8,11,12.
En este contexto, en los últimos años se ha notificado un aumento de casos de tuberculosis en niños con formas de presentación clínica pulmonar y extra pulmonar8.
Las formas extrapulmonares de tuberculosis, y la osteoarticular en particular, representan, por su carácter muchas veces insidioso y su clínica atípica, un complejo problema diagnóstico13. En este caso al momento del ingreso la niña cursaba 3 meses con signología osteoarticular leve, en apirexia y sin franca limitación funcional. Esta no es la forma de presentación y evolución de las infecciones osteoarticulares por gérmenes habituales. La presentación clínica atípica, con escasas manifestaciones, contribuyó al retraso en el diagnóstico al cual se arribó luego de varios meses de evolución, lo que tiene implicancias en el pronóstico funcional osteoarticular. Es necesario en casos de evolución no habitual y en el contexto epidemiológico actual tener un alto índice de sospecha para evitar el retraso diagnóstico y las consecuencias del mismo13.
Los hallazgos radiológicos con lesiones líticas obligaron a plantear como diagnóstico diferencial enfermedad neoplásica. Debido a que muchos tumores óseos pueden cursar con estas manifestaciones clínico-radiológicas, resulta imprescindible la evaluación con estudios de imagen y la confirmación anatomopatológica. En el caso de la paciente analizada, se decidió completar la valoración imagenológica mediante la resonancia magnética que es la técnica más sensible y específica para el diagnóstico de infección ósea y permite además distinguir entre lesiones agudas y crónicas. Otros estudios como el centellograma óseo y la tomografía computada (TC) no fueron considerados. El centellograma óseo es una técnica sensible pero poco específica que tiene especial utilidad en los procesos multifocales o de localización poco clara. La TC es útil en los casos de osteo mielitis crónica con la desventaja de la radiación a la que se somete al paciente1,2.
Existen múltiples causas tumorales benignas o malignas que pueden manifestarse como lesiones líticas y que deben tenerse en cuenta como diagnósticos diferenciales. Dentro de las causas tumorales malignas el osteosarcoma es el tumor óseo primario más frecuente en pediatría. El osteosarcoma convencional predomina en la segunda y tercera década de vida, en varones y el hallazgo radiológico habitual es un patrón mixto de osteólisis y osteoesclerosis lo cual alejó su planteo en este caso. El osteosarcoma telangiectásico se caracteriza por presentar imágenes cavitadas con niveles líquidos en su interior por lo que no fue considerado dentro de los diagnósticos diferenciales. El sarcoma de Ewing ocupa el segundo lugar en frecuencia dentro de los tumores óseos primarios14. En éste, el dolor y la sensación de masa son los motivos más frecuentes de consulta, pero un cortejo de síntomas generales como fiebre, malestar, anorexia y pérdida de peso pueden aparecer, simulando un cuadro infeccioso óseo15. Estas manifestaciones no estaban presentes en esta paciente.
La histiocitosis de células de Langerhans pudo ser considerada inicialmente por las características radiológicas, de todos modos el estudio anatomopatológico permitió descartar esta entidad dada la ausencia de células histiocíticas específicas (células de Langerhans) con cuerpos citoplásmicos de inclusión14.
Finalmente otras lesiones tumorales benignas, como el osteoblastoma y el fibroma no osificante, no fueron planteados por las características radiológicas y las manifestaciones clínicas que alejaban estos diagnósticos14,15.
Con respecto al diagnóstico diferencial etiológico infeccioso, si bien inicialmente se consideró la etiología bacteriana inespecífica, la presentación atípica obligó a plantear otras etiologías como Mycobacterium tuberculosis. Las formas extrapulmonares de tuberculosis pueden afectar a cualquier órgano o sistema a partir de la diseminacion linfohematógena, son menos frecuentes que las pulmonares y su diagnóstico suele ser más complejo. La tuberculosis ósea representa el 1% de todos los casos de tuberculosis16.
Se destaca la importancia de la punción ósea sistemática en el estudio de estos casos. Ello permitió la confirmación anatomopatológica y microbiológica de la enfermedad. En el caso clínico que se comunica el material obtenido por punción ósea fue analizado mediante baciloscopías y cultivo. En la actualidad se dispone de otras técnicas diagnósticas, como GeneXpert que consiste en la amplificación de ácidos nucleicos mediante reacción en cadena de la polimerasa en tiempo real. Sus ventajas son: la rapidez en la obtención de los resultados, moderada a alta sensibilidad (70%-95%), elevada especifidad (98%-100%) y mayor rendimiento diagnóstico que las baciloscopías17.
Con respecto al tratamiento, la tendencia actual en el tratamiento quimioterápico es utilizar las mismas pautas que en las formas pulmonares, aunque algunos autores proponen aumentar la duración del tratamiento3,7. En este caso, se administraron tres fármacos (isoniacida, rifampicina y piracinamida) hasta completar nueve meses. Se realizó una primera fase de 2 meses de duración, con administración diaria del triple plan y una segunda fase de 7 meses de duración con isoniacida y rifampi cina.
Aunque la mayoría de los pacientes presentan una recuperación funcional completa luego del tratamiento, un pequeño porcentaje de los mismos pueden presentar secuelas especialmente si hubo un retraso prolongado en el diagnóstico.La investigación de los contactos con identificación del caso índice es mandatorio. Un niño infectado y/o enfermo con tuberculosis implica la existencia de adultos convivientes o no con enfermedad pulmonar activa bacilífera11 , 18 ). En este caso la investigación que llevó a cabo la CHLA no permitió la identificación del caso índice.
Conclusión
En Uruguay la situación epidemiológica actual obliga a descartar posible etiología tuberculosa ante un proceso inflamatorio osteoarticular de evolución tórpida. El tratamiento oportuno y adecuado requiere alto índice de sospecha y realización sistemática de punción ósea y/o articular5,9,18,19.

















