Introducción
El panhipopituitarismo congénito es la deficiencia completa o parcial en la secreción adenohipofisaria, secundaria a patología hipofisaria o hipotalámica1,2). Es una enfermedad poco frecuente, con una incidencia 1-42 casos por millón de habitantes por año (aproximadamente 1 cada 53.000 recién nacidos(RN))3. La edad de presentación es variable. Puede manifestarse en el recién nacido si las causas son genéticas o en la infancia-adolescencia si es adquirido o en el caso de alteraciones congénitas que se manifiesten tardíamente4.
La presentación clínica es variable y heterógenea, dependiendo del déficit hormonal3,4. La hipoglucemia neonatal es un síntoma frecuente, siendo el hipopituitarismo la segunda causa de hipoglucemia persistente en neonatos5.
El diagnóstico se confirma mediante la determinación sérica de cortisol, ACTH y GH en hipoglicemia y del resto de las hormonas (TSH, T4, prolactina, gonadotrofinas)4,5. La RNM provee el correlato de la alteración anatómica e identifica anomalías estructurales asociadas5-7.
Se han identificado mutaciones en el factor de transcripción HESX1, mutaciones en los genes LHX4 (1q25), LHX3, PROP1, POU1F1 y más recientemente SOX3 y SOX28-11.
La interrupción del tallo hipofisario, una de las etiologías, se diagnostica solo en un 23% de los casos en el período neonatal7,12. Presenta una incidencia de 0,5/100.000 nacidos vivos, causando hipogenesia de la hipófisis anterior y agenesia o ectopia de la hipófisis posterior7,13. El diagnóstico temprano y el tratamiento oportuno condicionan la morbimortalidad.
El tratamiento consiste en la restitución hormonal específica según cada caso1,14.
El pronóstico dependerá de las malformaciones asociadas, de las complicaciones que puedan aparecer y del cumplimiento del tratamiento14.
El objetivo de esta presentación es exponer una etiología poco frecuente de un cuadro clínico habitual en la unidad neonatal, como lo es el shock.
Caso clínico
Antecedentes: madre de 21 años, fumadora. Grupo ORh +. Test rápidos para VIH y sífilis negativos. Toxoplasmosis desconocido. Test para detección de estreptococo de grupo B no realizado. Producto de tercera gestación, bien controlada, complicada con restricción del crecimiento intrauterino (RCIU). Enviada desde policlínica para interrupción.
Cesárea por bicesareada anterior. Rotura artificial de membranas intracesárea. Líquido amniótico claro.
Recién nacido de sexo femenino. Edad gestacional: 39 semanas. Datos antropométricos: peso 2.395 g (z -2,2); talla 47 cm (z -2,3); perímetro craneano 33,0 cm (z -2). Apgar 7/8. Gasometría de cordón: pH 7,29; pCO2 54; BE -4; HCO3 23,5.
Examen físico en recepción normal. Pasa a alojamiento conjunto. Se determina grupo sanguíneo O Rh negativo. VDRL no reactivo. TSH cordón 11 (U/ml.
Ingresó a la unidad neonatal a las 14 h de vida por alteraciones de la termorregulación (34,8ºC) e hipoglicemias con elevados requerimientos de glucosa parenteral
(hasta 12 mg/kg/min). Agrega intolerancia digestiva e hiporreactividad, sin alteraciones bioquímicas.
En la evolución presentó tres episodios catalogados como shock (el último a los 18 días de vida) de etiología no clara, que responden al tratamiento instituido (carga de volumen, drogas inotrópicas, correcciones hidroelectrolíticas e hidrocortisona i/v en el primer episodio). Se descartaron etiologías infecciosa, cardiovascular y metabolopatías.
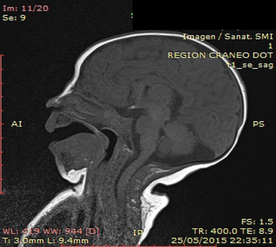
Agregó movimientos anormales y anisocoria. Se realiza carga de fenobarbital y RNM de cráneo urgente con enfoque de silla turca que informa: neurohipófisis ectópica asociada a tallo hipofisario y adenohipófisis hipoplásica. Hipoplasia del nervio óptico derecho e hipotrofia posterior del cuerpo calloso (Figura 1).

Figura 1: RNM de cráneo: neurohipófisis ectópica asociada a tallo hipofisario y adenohipófisis hipoplásica
Los planteos diagnósticos fueron: síndrome de Morsier (que se descarta por no presentar agenesia o hipoplasia del septum pellucidum) o disrupción del tallo hipofisario.
La determinación hormonal reveló: cortisol 0,2 (g/dl (normal >3 para recién nacidos de término), adenocorticotrofina (ACTH) 15,8 pg/ml (7,2-63,6), T4 0,78 ng/dl (1-1,6), TSH 3,83 (UI/ml (0,6-6), IGF 130 (27-150) y hormona de crecimiento (GH) 2,45 ng/ml (0,05-6). Se completó valoración con: FSH 7,1 (0,5-3,5), LH 0,6 (0,5-1) y estradiol <5 (<30).
Con diagnóstico de insuficiencia suprarrenal e hipotiroidismo secundario se inició tratamiento con hidrocortisona oral 20 mg/m2/día en dos dosis y T4 25 (g/día al quinto día, con buena evolución posterior.
Se otorgó alta a domicilio a los 45 días de vida con examen físico normal.
Discusión
En el caso presentado la impresión clínica fue de reiterados episodios de shock neonatal en los cuales se descartaron etiologías infecciosas, cardiovasculares y metabólicas. En el primer episodio de shock se utilizaron corticoides como parte del tratamiento sin realizarse los estudios correspondientes, lo que probablemente enmascaró y retrasó el planteo diagnóstico. Al realizar la RNM se constató una neurohipófisis ectópica, adenohipófisis hipoplásica e hipoplasia del nervio óptico, y con los estudios hormonales posteriores se realizó diagnóstico de insuficiencia suprarrenal secundaria e hipotiroidismo secundario. Por afectación del eje hormonal asociado a los hallazgos imagenológicos realizamos diagnóstico etiológico de disrupción del tallo hipofisario.
El hipopituitarismo se define como la insuficiencia parcial o completa de la secreción hormonal hipofisaria por afectación de la hipófisis o del hipotálamo. Cuando se afecta la secreción de todas las hormonas recibe el nombre de panhipopituitarismo2,4. Puede ser de origen primario, cuando ocurre un fallo en la secreción hormonal originado en la propia glándula o secundario cuando es debido a ausencia de estimulación de los factores hipotalámicos sobre la hipófisis, bien sea por alteración del propio hipotálamo o del tallo hipofisario2.
Se produce insuficiencia suprarrenal cuando no se produce suficiente cortisol para el grado de enfermedad
o de estrés15. La activación del eje hipotálamo-hipofisario-adrenal y la liberación definitiva de cortisol son críticos en el mantenimiento de la homeostasis en respuesta al estrés. Su valor normal depende de la edad gestacional (los RN prematuros presentan una insuficiencia suprarrenal relativa), de los días de vida y de la situación clínica de los mismos (Figura 2, Tabla 1)16. El cortisol tiene numerosos efectos que incluyen desde el mantenimiento de los niveles de glucosa en sangre, el equilibrio de electrolitos, la integridad endotelial, la permeabilidad vascular y la facilitación de la excreción de agua a nivel renal. El cortisol endógeno atenúa la intensidad de la respuesta inflamatoria sistémica asociada a sepsis grave y shock séptico15.

Figura 2: Variación de la concentración sérica de cortisol en RN de 32 semanas de EG, en los primeros 21 días de vida.
El nivel medio (línea e) se calculó mediante el establecimiento de una situación clínica no complicada (sin ventilación asistida, sin hemorragia intraventricular, sin necesidad de inotrópicos, sin corioamnionitis histológica y sin enfermedad pulmonar a los 14 días). La influencia de los factores perinatales significativos sobre la concentración de cortisol sérico son: la presencia de corioamnionitis histológica (línea d), enfermedad pulmonar grave en el día 14 (c), la HIV grado 3 (a), el uso de CPAPn (f) y vasopresores (b).
Tabla 1 Intervalo de referencia para el cortisol sérico en los RN prematuros
| Edad gestacional (semanas) | Cortisol (nmol/L) |
|---|---|
| 24 | 110-744 |
| 25 | 100-671 |
| 26 | 96-605 |
| 27 | 81-545 |
| 28 | 73-491 |
| 29 | 66-443 |
n=37,31 fueron expuestos a esteroides prenatales.
El concepto de shock es fisiológico, se refiere a la imposibilidad del sistema circulatorio de mantener las necesidades tisulares de O2 y nutrientes, y de remover metabolitos tóxicos lo que lleva a disfunción celular y eventualmente a la muerte. Clásicamente se clasifica según el mecanismo desencadenante en hipovolémico, distributivo, cardiogénico y disociativo17. Los pasos esenciales en su manejo son: reconocer el shock, determinar su severidad, definir la etiología, instituir una evaluación y tratamiento intensivo y agresivo. El algoritmo de tratamiento de nuestra unidad se expone en la Figura 3. La hidrocortisona es el agente de tercera línea en el tratamiento del shock neonatal después de la reanimación con volumen e inotrópicos; aumenta la presión arterial, disminuye la frecuencia cardíaca y reduce la necesidad de fármacos vasoactivos18,19. En nuestro paciente el hilo conductor de la historia fueron los episodios reiterados de shock de etiología no clara, lo que nos orientó a plantear etiologías menos frecuentes como la insuficiencia suprarrenal.
Etiologías del panhipopituitarismo
El déficit múltiple o combinado de hormonas hipofisarias en el período neonatal pueden ser causados por: accidentes perinatales (expulsivo traumático, asfixia perinatal, parto en podálica, etcétera), alteraciones genéticas (déficit en la producción de hormonas hipofisarias o hipotalámicas o inadecuado reconocimiento de las hormonas reguladoras por parte de los receptores), aplasia o hipoplasia hipofisaria. La sección del tallo hipofisario puede ser secundaria a un traumatismo craneal pero en ausencia de complicaciones perinatales, con hipoplasia hipofisaria, tallo no descendido y neurohipófisis ectópica; se puede considerar que existe una agenesia del tallo.
El síndrome de Morsier o displasia septo-óptica es un trastorno caracterizado por alteraciones en la línea media cerebral (agenesia o hipoplasia del septum pellúcidum), atrofia óptica y disfunción hipotálamo-hipofisaria20,21. En nuestro caso se descartó por no presentar la tríada clásica, al no objetivarse alteraciones al nivel del septum pellucidum.
El síndrome de interrupción del tallo hipofisario se define como un trastorno de la conexión entre la pituitaria y el hipotálamo, capaz de conducir anatómicamentea una hipogenesia de la pituitaria anterior y agenesia o ectopia de la hipófisis posterior. En los casos que se acompañan de agenesia de tallo hipofisario, como este paciente, en general tienen una deficiencia hipofisaria más grave7,13,22.
Presentación clínica
Es variable según la edad, la etiología, el déficit hormonal y el tiempo de instauración. No todos los déficits tienen que estar presentes al momento del diagnóstico y pueden ir apareciendo secuencialmente. Los RN pueden estar asintomáticos o presentar síntomas inespecíficos que incluyen hipoglucemia (en las primeras 24 h de vida), letargia, apnea, ictericia, colestasis neonatal, convulsiones, dificultad para la alimentación, hiponatremia, sepsis o shock, y en algunos casos, anomalías anatómicas como la presencia de micropene, testículos no descendidos, malformaciones craneofaciales o apariencia sindrómica12.
La hipoglucemia secundaria a deficiencia de GH y/o cortisol se deba a una inadecuada gluconeogénesis, al aumento de la utilización de glucosa por insuficiente inhibición de los efectos insulínicos y a la disminución de los sustratos precursores para la gluconeogénesis. Generalmente son graves y ocurren en los primeros días de vida; sin embargo, episodios menos severos pueden no manifestarse hasta que se presenta una situación de estrés que pone en evidencia la falta de mecanismos hormonales contrarreguladores rápidos (que tienden a aumentar la glicemia durante los períodos de ayuno), como la GH y el cortisol3,5.
La ictericia puede ser secundaria a hiperbilirrubinemia indirecta (como en el déficit de TSH) o directa (como en el déficit de GH o ACTH). Se caracteriza por ser prolongada y con una respuesta pobre a la fototerapia. También puede estar presente una ictericia colestásica con hepatomegalia (se ha relacionado con el déficit de cortisol)23. Las enfermedades endocrinológicas constituyen una causa poco frecuente de ictericia prolongada en RN, afectando a menos del 3% de los neonatos, pero esta probabilidad aumenta considerablemente cuando se suma la presencia de hipoglucemias recurrentes. Debido a la baja prevalencia de estas enfermedades, el diagnóstico de insuficiencia hormonal habitualmente es tardío5.
La hiponatremia con potasio bajo o normal se caracteriza por ser sin hipervolemia y que no responde a la restricción de fluidos.
El hipogenitalismo es secundario al déficit de gonadotropinas y/o de GH. Su asociación con hipoglicemias es muy sugestiva de hipopituitarismo congénito por lo que debe realizarse la valoración correspondiente. El micropene al nacimiento indica que el hipopituitarismo debe haber empezado temprano en la vida fetal.
El déficit de ACTH da lugar a los síntomas de mayor gravedad. Cuando se establece de forma aguda dará lugar a un cuadro de hipotensión, shock (como evidenciamos en nuestro paciente), vómitos, hipoglucemia e hiponatremia dilucional2,4.
La diabetes insípida se ha asociado con hipopituitarismo idiopático en pacientes con una historia de trauma al nacimiento o parto en podálica, y la etiología puede ser una sección del tallo hipofisario al nacimiento.
La sospecha diagnóstica se construye sobre la base de la confección de una minuciosa historia clínica, donde se detallan los antecedentes familiares y perinatales y se jerarquizan aspectos del examen físico sugestivos de alguna insuficiencia hormonal.
Puede haber un “fenotipo hipofisario” característico llamado “querubín”, caracterizado por frente amplia y prominente, puente nasal deprimido y ligera desproporción cráneo-facial24,25.
Paraclínica
Los estudios paraclínicos para confirmar el diagnóstico son: la determinación de cortisol en sangre, ACTH, GH en hipoglucemia y del resto de las hormonas (TSH, T4, prolactina, gonadotrofinas) en condiciones basales. La determinación de GH y cortisol durante un episodio de hipoglucemia (muestra “crítica”) tienen un valor diagnóstico inestimable y evitan las pruebas de estímulo farmacológico5.
Los valores de referencia son:
Hipotiroidismo central: T4 < 0,8 ng/dl asociado a TSH baja, normal o ligeramente aumentada. (Los valores de las hormonas tiroideas varían en función de la edad, el método utilizado y la población estudiada)11.
Insuficiencia adrenal:
El diagnóstico en nuestro caso se confirmó por la detección de cifras bajas de cortisol en hipoglicemia, TSH y T4 y GH basal (esta se tomó en normoglicemia). Los estudios muestran que en el panhipopituitarismo congénito secundario a la interrupción del tallo hipofisario, el 100% de los casos presentan compromiso del eje somatotropo, el 95,8% del eje gonadotropo, el 81,8% del eje corticotropo y el 76,3% del eje tireotropo; en contraposición a estados de hiperprolactinemia evidentes en 36,4% de los casos.
La RM es la técnica diagnóstica de elección para la valoración de eje hipotálamo-hipofisario e identificar anomalías estructurales asociadas. Dicha información morfológica es muy valiosa tanto para el diagnóstico inicial como para el seguimiento de pacientes con hipopituitarismo congénito6. Entre las múltiples variaciones se destacan: hipófisis anterior ausente o normal, lóbulo posterior de la hipófisis ectópico a nivel de la base del hipotálamo o a lo largo de todo el tallo hipofisario, aunque también puede estar ausente o normal, y forma del tallo hipofisario interrumpida, delgada, grande, ausente o normal7.
Tratamiento
Se basa en la sustitución de los déficits hormonales.
El tratamiento adecuado del hipopituitarismo disminuye la morbimortalidad de estos pacientes presentando un buen pronóstico a largo plazo14. La demora en el diagnóstico de estos pacientes puede resultar en daño cerebral (retardo madurativo y/o epilepsia), causado principalmente por las hipoglucemias recurrentes y posiblemente agravado por un cuadro de hipotiroidismo central, puede conducir a la fibrosis hepática progresiva si presenta colestasis no resuelta o a la muerte por insuficiencia suprarrenal.
El seguimiento por el endocrinólogo pediatra es muy importante, como parte de un enfoque multidisciplinar, para optimizar el crecimiento y desarrollo a lo largo de la vida de estos niños.














