Serviços Personalizados
Journal
Artigo
Links relacionados
Compartilhar
Archivos de Pediatría del Uruguay
versão On-line ISSN 1688-1249
Arch. Pediatr. Urug. vol.85 no.1 Montevideo mar. 2014
CASOS CLÍNICOS
Arch Pediatr Urug 2014; 85(1)
Fenilcetonuria.
Descripción de un caso clínico
Maira Rasner1, Alejandra Vomero2, Claudio Varacchi3, Gabriel Peluffo4, Gustavo Giachetto5, Virginia Kanopa6
2. Asistente de Cátedra. Dpto.de Pediatría y Especialidades Facultad de Medicina. UDELAR
3. Asistente de Cátedra de Neuropediatría. Cátedra de Neuropediatría. Facultad de Medicina. UDELAR
4. Prof. Agdo. de Pediatría. Dpto.de Pediatría y Especialidades. Facultad de Medicina. UDELAR.
5. Prof.de Clínica Pediátrica. Dpto.de Pediatría y Especialidades. Ex Prof. Agdo. de Farmacología y Terapéutica. Facultad de Medicina, UDELAR
6. Prof. Agda. de Pediatría. Neuropediatra. Dpto.de Pediatría y Especialidades. Facultad de Medicina. UdelaR
Fecha recibido: 27 de noviembre de 2013.
Fecha aprobado: 1 de abril de 2014.
Resumen
La fenilcetonuria, error congénito del metabolismo, es un trastorno genético que se trasmite con un patrón de herencia autosómico recesivo. Alteraciones en el proceso de hidroxilación de la fenilalanina determinan el aumento de su concentración en plasma, con efecto deletéreo sobre el sistema nervioso. El pronóstico neurológico depende fundamentalmente de un diagnóstico y tratamiento temprano. En Uruguay a partir de 2007 comienza la pesquisa obligatoria de fenilcetonuria. A partir de diciembre del 2008 se utiliza para la detección un espectrómetro de masa, permitiendo, a partir de una misma muestra de sangre de talón, detectar más de veinte enfermedades metabólicas. Aunque bajo, existe un porcentaje de falsos negativos, obligándonos a reiterar la muestra ante sospechas clínicas. Se presenta el caso de un lactante con diagnóstico tardío de fenilcetonuria y síndrome de West secundario, constituyendo un falso negativo en la pesquisa neonatal. El objetivo de esta presentación es enfatizar la importancia de un correcto seguimiento del neurodesarrollo, como parte fundamental del control del niño en salud así como la reiteración de la pesquisa ante la sospecha clínica.
Palabras clave:
FENILCETONURIA
ERRORES INNATOS DEL METABOLISMO
TAMIZAJE NEONATAL
Summary
Phenylketonuria, inborn error of metabolism, is a genetic disorder that is transmitted with autosomal recessive inheritance pattern. Alterations in the process of hydroxylation of phenylalanine, determine its increase in plasma with deleterious effect on the nervous system. The neurological prognosis depends primarily on diagnosis and early treatment. In Uruguay from 2007 starts the mandatory screening for PKU. From December 2008 is used to detect a mass spectrometer, allowing detect over twenty metabolic diseases with one heel blood sample. Although low, there is a rate of false negative, forcing us to reiterate the sample under clinical suspicion. We report the case of an infant with late diagnosis of phenylketonuria and secondary West, constituting a false negative in neonatal screening. The aim of this presentation is to emphasize the importance of a correct following of neurodevelopmental process as a fundamental part of child health control and the need to reiterate the research under clinical suspicion.
Key words:
PHENYLKETONURIA
METABOLISM, INBORN ERRORS
NEONATAL SCREENING
Introducción
El logro de mejoras en las condiciones de vida de la población y los avances en los programas de salud infantil han determinado que los defectos congénitos cobren mayor relevancia como causa de morbimortalidad(1). En nuestro país representan la segunda causa de mortalidad infantil, tanto en el período neonatal como en el posneonatal(2).
Los errores innatos del metabolismo engloban un amplio conjunto de enfermedades, más de 500 descriptas, causadas por mutaciones genéticas que llevan a la producción de una proteína alterada o a la deficiencia de la misma. Dentro de este grupo encontramos trastornos en el metabolismo de los aminoácidos como el de la fenilalanina (Phe) (3).
La importancia de conocer estas patologías radica en que en muchas la sintomatología se hace evidente en estadios avanzados, determinando secuelas graves e irreversibles que representan un alto costo para el niño, la familia y el sistema de salud. Además del conocimiento y sospecha de las mismas, es fundamental contar con pruebas de cribado que permitan un diagnóstico y tratamiento temprano, para así poder mejorar el pronóstico de estos niños.
Los inicios de la aplicación de técnicas de cribado o pesquisa neonatal comienzan en la década de los sesenta a cargo del Dr. Robert Guthrie, quien detecta el aumento de fenilalanina en sangre por medio de un test de inhibición bacteriana que lleva su nombre. Es en la década de los setenta cuando los países desarrollados comienzan los programas para la detección de hipotiroidismo congénito (HC) y fenilcetonuria (PKU) a partir de dicha muestra(1,4).
A nivel nacional en 1994 se hace obligatoria en todos los recién nacidos la detección de HC por medio de la dosificación de TSH en sangre de cordón. No es hasta 2007 cuando se decreta la obligatoriedad para la detección de PKU e hiperplasia suprarrenal congénita por punción del talón, centralizando todas las muestras de los recién nacidos del país en el Laboratorio de Pesquisa Neonatal del Banco de Previsión Social (BPS)(1,5).
A partir de diciembre de 2008, con la obtención de un espectrómetro de masa, se comienza un plan piloto, permitiendo, a partir de la misma muestra por punción del talón, el análisis de más de veinte enfermedades comprendidas dentro de los errores innatos del metabolismo tales como aminoacidopatías, defectos en la beta-oxidación mitocondrial de ácidos grasos y acidosis orgánicas, constituyendo la pesquisa ampliada(1,5).
En el período comprendido entre diciembre de 2008 y marzo de 2013 fueron detectados 13 casos de PKU clásica; con una incidencia de hiperfenilalaninemias de 1 en 10.639 niños estudiados*.
En la fenilcetonuria, defectos en el proceso de hidroxilación determinan un aumento de Phe en plasma y de sus productos metabólicos, fenilpiruvato y feniletilamina. Niveles elevados de Phe de forma sostenida determinan un efecto deletéreo sobre el sistema nervioso, órgano blanco en esta patología(3).
Clínicamente los síntomas se hacen evidentes hacia el final del primer semestre, presentándose como alteraciones en el desarrollo psicomotor. De no mediar tratamiento, pasada la etapa de lactante predominan el retraso mental que suele ser severo y los trastornos conductuales, con hiperactividad, episodios de agresividad y conductas del espectro autista(1,3).
Un porcentaje de pacientes presentan crisis epilépticas, desde 25% a 75% según diferentes publicaciones, en ocasiones se presenta como síndrome de West.
En pacientes con fenilcetonuria su incidencia es mayor a la de la población general, 12,3% y 0,42% respectivamente(6-11).
El pronóstico neurológico depende fundamentalmente de un diagnóstico oportuno y un tratamiento temprano permitiendo un normal crecimiento y desarrollo del paciente.
El objetivo de este trabajo es presentar el caso de un lactante con diagnóstico tardío de fenilcetonuria y síndrome de West secundario, constituyendo un falso negativo en la pesquisa neonatal. El objetivo de esta presentación es enfatizar la importancia de un correcto seguimiento del neurodesarrollo, como parte fundamental del control del niño en salud así como la reiteración de la pesquisa ante la sospecha clínica.
Caso clínico
Lactante de 10 meses, sexo masculino, procedente de Las Piedras, Canelones. Madre adolescente, niega consanguineidad ni patología a destacar, desconocemos antecedentes paternos.
Producto de primera gestación, embarazo de captación tardía con siete controles posteriores, mal tolerado por estado hipertensivo del embarazo. Recién nacido de término, cesárea por patología materna, vigoroso, adecuado para la edad gestacional. Pesquisa neonatal sin alteraciones. Certificado esquema de vacunación vigente. Controlado en salud con peso y talla en percentil 50, perímetro craneano en percentil 85. Con respecto al desarrollo la madre refiere en los primeros meses, seguimiento con la mirada, gorgeo. A los cinco meses adquirió sostén cefálico y la prensión de objetos con ambas manos. No logró sedestación ni transferencia de objetos de una mano a otra, no balbucea ni lalea. A los 10 meses de edad, el pediatra tratante nota regresión de conductas adquiridas, perdiendo el sostén cefálico, seguimiento con la mirada, la toma de objetos y el gorgeo. Concomitantemente comienza con episodios de movimientos anormales de los cuatro miembros, bruscos, de segundos de duración. Se realizó derivación a neuropediatra quien lo envía para estudio al Centro Hospitalario Pereira Rossell.
Al examen se trataba de un lactante irritable, con actitud en batracio, mioclonias de los cuatro miembros. Presentaba una fontanela anterior de 1 por 1 cm normotensa, sin resalto en suturas. Piel y faneras claras, mucosas normocoloreadas sin lesiones. Al examen neurológico: vagabundeo ocular, guiño a la amenaza ausente, reflejo cócleo palpebral presente bilateral. Hipotonía a predominio axial, reflejos osteotendinosos vivos de forma simétrica. Cutáneo plantar en flexión bilateral. A nivel abdominal hernia umbilical reductible, no coercible. No visceromegalias. Examen pleuropulmonar y cardiovascular normales.
Los datos compatibles con retraso en la adquisición de conductas en los primeros meses, con pérdida posterior de logros previamente adquiridos sin mediar una noxa definida que lo explique sumado a la instalación de movimientos anormales recurrentes en el tiempo, llevaron a la sospecha diagnóstica de probable enfermedad neurometabólica. Con ese diagnóstico presuntivo, se solicitó como valoración complementaria:
- Electroencefalograma: trazado hipsarrítmico.
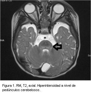
- Resonancia magnética (RM): imágenes hipointensas en T1 e hiperintensas en T2 y FLAIR, mal delimitadas bilaterales y simétricas que comprometen ambos putámenes, globos pálidos, sustancia nigra, núcleos subtalámicos, sustancia gris periacueductal, núcleos dentados y tronco encefálico, con restricción en la difusión. Cuerpo calloso adelgazado y megacisterna magna (figuras 1 y 2).
- Potenciales evocados visuales: disfunción bilateral.
Se corroboró en la base de datos del BPS el resultado normal de la pesquisa neonatal.
Se solicita nueva pesquisa que informó fenilalaninemia 1.260 mmol/L, siendo el valor normal hasta 150 mmol/L.
Se confirma el diagnóstico de fenilcetonuria con síndrome de West secundario.
Discusión
La clínica caracterizada por un retraso global del desarrollo con posterior pérdida de conductas adquiridas fue el hilo conductor para la sospecha diagnóstica de probable enfermedad neurometabólica.
Los hallazgos de la resonancia magnética fueron compatibles con el diagnóstico, orientando en una primera instancia, dada la extensión lesional al grupo de enfermedades mitocondriales y dentro de este grupo, la enfermedad de Leigh era una de las más probables
La reiteración de la pesquisa permitió confirmar el diagnóstico de fenilcetonuria.
Las imágenes en la resonancia magnética que se observan de forma más característica en esta enfermedad son lesiones bilaterales y simétricas, hiperintensas en T2 en sustancia blanca periventricular a nivel parietal y occipital, correspondiendo a alteraciones en la mielinización entre otras posibles causas(12-14).
En el paciente las lesiones eran más extensas de lo habitual abarcando ganglios basales, mesencéfalo y pedúnculos cerebelosos medios. En la literatura se describe de forma excepcional dicha topografía lesional; estos hallazgos se vinculan a la elevada concentración del aminoácido en sangre. Así mismo, se describe una mayor extensión lesional en la asociación de PKU con síndrome de West, postulándose que ambas patologías participan alterando el proceso normal de mielinización(11,13).
Este trastorno fue descrito en 1934 por Asbjorn Folling como una alteración del metabolismo, en pacientes con retraso mental y excreción de ácido fenilpirúvico en orina, recibiendo esta condición patológica el nombre de imbecilidad pirúvica, que posteriormente es sustituido por la denominación de fenilcetonuria.
Condicionada genéticamente, se hereda con un patrón autosómico recesivo, presentando una probabilidad de enfermedad para cada embarazo de 25%(1,6).
La incidencia presenta variabilidad racial, siendo mayor en poblaciones blancas de Turquía, Irlanda (1/6.000 recién nacidos vivos) que en poblaciones negras (1/60.000 recién nacidos vivos)(1).
Las hiperfenilalaninemias resultan de una deficiencia en la conversión de Phe en tirosina. No todos los casos corresponden a la enfermedad fenilcetonuria. Algunos estados son transitorios, en su mayoría vinculados a inmadurez hepática. En las llamadas hiperfenilalaninemias benignas, los individuos presentan disminución de la actividad enzimática pero con actividad suficiente como para no presentar manifestaciones clínicas ni requerir tratamiento(1,3,6).
Para el proceso de conversión de fenilalanina a tirosina es necesaria la participación de la enzima fenilalanina hidroxilasa, siendo necesaria además la presencia de un cofactor no proteico llamado tetrahidrobiopterina (BH4).
Como en este caso, donde se descartó el déficit del cofactor tetrahidrobiopterina, 98% de los casos se debe a mutaciones en el gen codificador de la enzima fenilalanina hidroxilasa, correspondiendo a la llamada fenilcetonuria clásica, mientras que 1% a 2% corresponde a mutaciones en la codificación de otras enzimas de la vía metabólica de la fenilalanina, entre ellas las que afectan al cofactor antes mencionado(1,3,6,7).
Para el diagnóstico se requiere la detección y cuantificación de Phe en sangre. Valores menores a 150 mmol/L equivalente a 2,5 mg/dl son considerados normales, mientras que valores iguales o mayores requieren una segunda muestra(1,15). En este caso el valor está muy por encima del considerado normal.
Como fue mencionado, en Uruguay se utiliza para la detección de fenilcetouria el espectrómetro de masa. Es un método con alta especificidad y sensibilidad, en particular para detectar alteraciones en acilcarnitinas y aminoácidos, si bien pueden haber factores que determinen falsos positivos como negativos(1). En este caso fueron informadas como normales, constituyendo un falso negativo.
Tanto los falsos negativos como positivos con esta metodología son escasos, según datos publicados por el Centro para el Control y Prevención de Enfermedades (CDC).
Durante 2012 fueron reportados entre 0,8% y 1,7% de falsos negativos y entre 1,2% y 0,3% de falsos positivos, dependiendo si correspondían a laboratorios extranjeros o nacionales respectivamente, siendo estas cifras similares a las encontradas en otras publicaciones(16).
Se destacan en la literatura como causas de un resultado falso negativo en la pesquisa neonatal, para todas las patologías buscadas, los vinculados a errores en el momento de la toma de la muestra. Es fundamental la extracción de la misma luego de 40 horas de nacido, posterior a la ingesta proteica, así como el contar con personal calificado para una correcta interpretación y evaluación de los resultados obtenidos. En este caso se plantea el interrogante de si el resultado falso negativo se generó a partir de un error en la lectura o interpretación de los datos.
Situaciones que pueden determinar falsos positivos son pacientes transfundidos o que reciben nutrición parenteral, fármacos administrados, pretérminos o gemelares. Condiciones en la muestra pueden hacerla inválida, como ser restos de alcohol, contacto con agua, soluciones antisépticas, secado insuficiente, haciendo necesaria la repetición de la misma. De aquí la importancia de dejar constancia de estos datos clínicos relevantes en la tarjeta de muestra, la cual tiene un sector destinado al mismo(1,4,5,17).
Como ocurrió con el paciente, suelen pasar asintomáticos en el período neonatal y los primeros meses de vida, haciéndose evidente la clínica hacia los cuatro a seis meses de edad. En ese momento se detiene el desarrollo madurativo, se muestran apáticos, indiferentes o irritables. Pueden presentar también episodios de vómitos reiterados.
Al examen se destacan piel y faneras más claras que sus progenitores, el 30% manifiestan eccema y un olor característico a “moho” o “ratón” debido a la excreción de ácido fenilacético. Se describe a nivel neurológico microcefalia posnatal y espasticidad(3,6,9).
En este paciente se destacaban la irritabilidad así como la piel y faneras más claras que sus progenitores.
Pueden asociar como en este caso un síndrome de West secundario o sintomático(10,18).
No fueron constatados los movimientos tipo espasmos clásicos, por lo que no se sospechó en una primera instancia su diagnóstico. En un estudio realizado en Beijing en pacientes que asocian fenilcetonuria y síndrome de West, 6% se presenta con movimientos atípicos. A nivel electroencefalográfico la hipsarritmia está presente en 76% de los pacientes(11).
Si bien los mecanismos patogénicos no se conocen con exactitud, dentro de las teorías existentes se plantea que los elevados niveles de Phe determinan cambios a nivel de diferentes neurotrasmisores, con disminución del ácido gamma aminobutírico (GABA), glutamina y dopamina entre otros, alterando la función cerebral. Esta alteración neurometabólica sería un factor favorecedor para esta encefalopatía epileptógena. Reforzando esta posibilidad, la literatura comunica el hecho de que cuanto más tempranamente se comienza con una dieta restringida en fenilalanina menor es la incidencia de síndrome de West secundario(10).
Con respecto al tratamiento de la fenilcetonuria el objetivo es mantener niveles adecuados de fenilalanina en sangre.
Son considerados valores deseables menores a 360 mmol/L (6 mg/dl) hasta el año de vida. Esto se logra con la disminución de alimentos con alto contenido de Phe. Cabe recordar que por tratarse de un aminoácido esencial es fundamental mantener un aporte adecuado del mismo, situación que se va regulando con la monitorización de Phe en sangre y debe mantenerse de por vida. Las bases en el tratamiento dietético consisten la lactancia materna, o leche maternizada con sustitutos lácteos libres de Phe. Se introduce la alimentación sólida a los seis meses, siguiendo las pautas nutricionales pero restringiendo alimentos como carnes, huevos, leguminosas, entre otros y limitando otros como arroz, fideos, papa, arvejas, espinaca, brócoli, banana, entre otros(1).
El tratamiento es efectivo para la prevención del daño neurológico si se inicia en los primeros meses de vida, luego del año se asocia a retardo mental de moderado a severo en un 84%(1,3,6,7,11).
En el paciente posterior a la restricción dietética de Phe hubo cierta mejoría clínica, aunque fue muy escasa. Se intrican de forma deletérea el diagnóstico e inicio del tratamiento en forma tardía y el deterioro causado por el síndrome de West. Esta asociación se correlaciona con un peor pronóstico.
Si bien el espectro de patologías es muy amplio es importante destacar los síntomas que deben hacernos sospechar una enfermedad metabólica durante el período neonatal, siendo graves e inespecíficos como letargo, dificultad en la succión, convulsiones, vómitos, cuadros graves que pueden confundirse con septicemia. Pasado el período neonatal tras un período asintomático, el lactante puede presentar retraso global del desarrollo, perdida de conductas adquiridas, convulsiones, vómitos recurrentes, visceromegalias(3).
Concluimos que la sospecha de una enfermedad neurometabólica ante las situaciones mencionadas y el conocimiento de las mismas por parte del pediatra son fundamentales para el pronóstico dado que en muchas, como en la fenilcetonuria, existen posibilidades terapéuticas que mejoran el mismo si se ofrecen en forma temprana. La reiteración de la pesquisa ante la sospecha clínica, es fundamental ya que existen, aunque en bajo porcentaje, falsos positivos y negativos.
Se enfatiza el rol del pediatra en la vigilancia del desarrollo del niño desde el primer nivel de atención, como parte fundamental del control del niño en salud.
En este sentido es fundamental la promoción de la utilización de la Guía nacional de vigilancia del desarrollo del niño, como herramienta para la referencia del niño al especialista ante situaciones que impliquen signos de alerta como la falta de logros, retroceso o pérdida de los mismos o la presencia de elementos de organicidad.
Referencias bibliográficas
1. Queiruga G, Lemes A, Ferolla C, Machado M, Queijo C, Garlo P. Pesquisa neonatal: lo que puede prevenir una gota de sangre. Montevideo: Centro de Estudios de Seguridad Social, Salud y Administración, 2010.
2. Giachetto G. Mortalidad infantil en Uruguay: una mirada crítica. Arch Pediatr Urug 2010; 81(3): 139-40.
3. Rezvani I. Trastorno del metabolismo de los aminoácidos. En: Kliegman RM, Behrman RE, Jenson HB, Stanton BF, eds. Nelson: Tratado de pediatría. 18 ed. Barcelona: Elsevier, 2009: 529-32.
4. España. Real Patronato sobre Discapacidad. Programas de cribado neonatal en España: Actualización y propuestas de futuro. Documento de consenso. Madrid: POLIBEA, 2010. Disponible en: http://www.metabolicos.es/wpcontent/ uploads/ 2010/05/programa_cribado_final.pdf [Consulta: 4 noviembre 2011].
5. Lemes A, Queijo C, Garlo P, Manchado M, Queiruga G. Pesquisa neonatal. Arch Pediatr Urug 2012; 83(1): 40-44. Disponible en: http://www.sup.org.uy/Archivos/adp83-1/ pdf/adp83-1-expertos-pesquisa.pdf . [Consulta: 19 febrero 2014].
6. Martínez Rey L. Las hiperfenilalaninemias: recomendaciones para el genetista clínico. La Habana: Ciencias Médicas, 2006. Disponible en: http://www.sld.cu/galerias/pdf/sitios/ rehabilitacion-temprana/las_hiperfenilalaninemias. recomendaciones para el genetista clinico. [Consulta: 14 agosto 2011].
7. Rivas M, Cáceres A, Mora N, Rivas G. Fenilcetonuria: bases moleculares e implicaciones sociales. Medisan 2003; 7(2):89-99. Disponible en: http://www.bvs.sld.cu/revistas/san/vol72 03/san12203.htm. [Consulta: 15 agosto 2011].
8. Campistol J, García-Cazorla A. Síndrome de West: análisis, factores etiológicos y opciones terapéuticas. Rev Neurol 2003; 37(4): 345-352. Disponible en: http: // www.neurologia.com/pdf/Web/3704/p040345.pdf. [Consulta: 12 diciembre 2011].
9. Benítez V, San Julián E, Rodríguez M. Fenilcetonuria: a propósito de dos pacientes. Arch Pediatr Urug 2001; 72(4): 293-7. Disponible en: http://www.sup.org.uy/Archivos/Adp72-4/pdf/benitez.pdf. [Consulta: 19 febrero 2014].
10. Caraballo R, Fejerman N. Tratamiento de las epilepsias. Buenos Aires: Médica Panamericana, 2009.
11. Zhongshu Z, Weiming Y, Yukio F, Cheng-L Ning Z, Zhixing W. Clinical analysis of West syndrome associated with phenylketonuria. Brain Dev 2001; 23(7): 552–7. Disponible en: http://www.sciencedirect.com/science/ article/pii/ S0387760 401002601. [Consulta: 22 octubre 2011].
12. Phillips MD, McGraw P, Lowe MJ, Mathews VP, Hainline BE. Diffusion-weighted imaging of white matter abnormalities in patients with phenylketonuria. AJNR Am J Neuroradiol 2001; 22(8):1583-6. Disponible en: http://www.ajnr.org/content/22/8/1583.full [Consulta: 11 agosto 2011].
13. Pietz J, Kreis R, Schmidt H, Meyding- Lamadé U, Rupp A, Boesch C. Phenylketonuria: findings at MR Imaging and Localized in Vivo H-1 MR spectroscopy of the brain in patients with early treatment. Radiology 1996; 201(2): 413-20.
14. Peng SS, Tseng WY, Chien YH, Hwu WL, Liu HM. Diffusion tensor images in children with early-treated, chronic, malignant phenylketonuric: correlation with intelligence assessment. AJNR Am J Neuroradiol 2004; 25(9):1569-74. Disponible en: http://www.ajnr.org/content /25/9/ 1569.abstract. [Consulta: 22 octubre 2011].
15. Roselli M J, Lemes A, Reyno S, Vaglio A, Quadrelli R. Experiencia metodológica en pesquisa neonatal de hiperfenilalaninemias: Instituto de Genética Médica Hospital Italiano. Rev Méd Uruguay 2004; 20(1): 72-8. Disponible en: http://www.scielo.edu.uy/scielo.php?pid=S0303-32952004000100008&script=sci_arttex. [Consulta: 19 febrero 2014].
16. Centers for Disease Control and Prevention. Newborn screening, Quality Assurance Program. 2012 Annual Summary report. Atlanta: CDC, 2013. Disponible en: http://www.cdc.gov/labstandards/pdf/nsqap/nsqap_summaryreport_2013.pdf . [Consulta: 7 noviembre 2013].
17. Torres-Sepúlveda M, Martínez-de Villarreal L, Esmer C, González-Alanís R, Ruiz-Herrera C, Sánchez-Peña A, et al. Tamiz metabólico neonatal por espectrometría de masas en tándem: dos años de experiencia en Nuevo León, México. Salud pública Méx 2008; 50(3): 200-6. Disponible en: http://www.scielo.org.mx/scielo.php?script=sci_arttext& pid= S0036-36342008000300003&lng=es. [Consulta: 20 noviembre 2011].
18. Johnston M. Crisis comiciales en la infancia. En: Kliegman RM, Behrman RE, Jenson HB, Stanton BF, eds. Nelson: Tratado de pediatría. 18 ed. Barcelona: Elsevier, 2009: 2457-75.
Correspondencia: Dra. Maira Rasner.
Correo eléctronico: mairaras@gmail.com













