Services on Demand
Journal
Article
Related links
Share
Archivos de Pediatría del Uruguay
On-line version ISSN 1688-1249
Arch. Pediatr. Urug. vol.82 no.1 Montevideo Mar. 2011
CASO CLÍNICO
Arch Pediatr Urug 2011; 82(1)
Quiste de colédoco.
Presentación en un lactante con fiebre
Karina Machado 1, Cristina Cascino 2, Andrea Ghione 3, Alicia Montano 4
1. Prof. Adj. Clínica Pediátrica.
2. Posgrado de Pediatría.
3. Residente de Pediatría.
4. Prof. Director Clínica Pediátrica.
Departamento de Pediatría. Facultad de Medicina. UDELAR.
Fecha recibido: 27 de abril de 2010.
Fecha aprobado: 29 de marzo de 2011.
Resumen
El quiste de colédoco (QC) es una malformación congénita poco frecuente, caracterizada por dilatación del árbol biliar. Se diagnostica en la mayoría de los casos durante la infancia temprana aunque puede presentarse a cualquier edad de la vida. La presentación clínica es variable, pudiendo manifestarse por dolor abdominal, masa palpable e ictericia colestática o por síntomas vinculados al desarrollo de algunas de sus complicaciones: pancreatitis, colangitis o ruptura. El diagnóstico se realiza a través de la ecografía abdominal y se completa con una colangio-pancreatografía por resonancia magnética. El tratamiento recomendado es la resección quirúrgica completa que previene la aparición de complicaciones. Estos pacientes deben ser valorados periódicamente por el riesgo de malignización que presentan, incluso luego de la cirugía.
Se presenta el caso clínico de un lactante de 3 meses que, en el curso de una enfermedad febril aguda, presentó signos de obstrucción biliar parcial, diagnosticándose un QC fusiforme con probable colangitis. Se inició tratamiento antibiótico empírico, con buena evolución. Se llama la atención sobre la presentación inhabitual de esta malformación de la vía biliar en lactantes que requiere de la cirugía para su tratamiento definitivo.
Palabras clave:
QUISTE DEL COLÉDOCO
COLESTASIS
COLANGITIS
FIEBRE
LACTANTE
Summary
The cyst of common bile duct (QC) is a rare congenital malformation characterized by dilation of the biliary tree. It is diagnosed in most cases during early childhood, although it can occur at any age of life. The clinical presentation is variable, and can manifest itself through abdominal pain, palpable mass and cholestatic jaundice, or symptoms related to the development of some of its complications: pancreatitis, cholangitis or rupture. The diagnosis is made through an abdominal ultrasound and is completed with a colangio- pancreatography by magnetic resonance imaging. The recommended treatment is complete surgical resection, which prevents the appearance of complications. These patients should be evaluated regularly for the risk of malignancy, even after the surgery. The clinical case that is presented is of an infant of three months, who in the course of an acute febrile illness presented signs of partial biliary obstruction, and was diagnosed with a fusiform QC with likely cholangitis. Empirical antibiotic treatment, with good evolution began. It draws attention to the unusual presentation of this malformation of bile duct in infants, which requires surgery for its definite treatment.
Key words:
CHOLEDOCHAL CYST
CHOLESTASIS
CHOLANGITIS
FEVER
INFANT
Introducción
El quiste de colédoco (QC) es una anomalía congénita de la vía biliar, descrita por Vater en 1723 (1). Es un complejo malformativo, caracterizado por dilatación del árbol biliar, pudiendo asociar anomalía de la unión biliopancreática (AUBP), estenosis del canal biliar común y anomalías variables en la histología hepática (2-4). Se estima una prevalencia de 1/100.000 a 1/150.000 casos a nivel mundial (2,5,6).
Es tres veces más común en países asiáticos (1,2,5) y más frecuente en el sexo femenino con una relación de 3-5/1 (1,2). No se conoce su prevalencia a nivel nacional. En una revisión hecha por Méndez y colaboradores en Uruguay, en 17 años de seguimiento de 51 niños con colestasis neonatal, se encontró solamente un caso de QC (7).
Se reconocen varios tipos (2,5,6,8), siendo el más común el que se caracteriza por dilatación de todo el conducto biliar común, sin afectación de los conductos hepáticos, vesícula ni vías intrahepáticas.
El diagnóstico se realiza en la infancia hasta en un 80% de los casos (5,8,9). Puede detectarse en el período prenatal por ecografía (6,8,10). El diagnóstico puede sospecharse por la aparición de dolor abdominal, masa palpable, ictericia intermitente, hipo o acolia. La tríada clínica clásica de dolor, ictericia y masa palpable es poco frecuente en pediatría (2,3,11). La sospecha diagnóstica puede surgir del desarrollo de algunas de sus complicaciones: pancreatitis, colangitis o ruptura (1,2,11).
La ecografía abdominal es el examen de primera línea en la valoración del QC. Evidencia la dilatación focal o difusa del colédoco, que es patognomónica (11-14). Le sigue en importancia la colangiografía por resonancia magnética, técnica no invasiva, que permite la visualización de todo el árbol biliopancreático y los conductos biliares proximales a la obstrucción, confirma el diagnóstico y descarta malformaciones asociadas (4,6). Se pueden realizar otros estudios, entre los que se encuentra la colangiografía intraoperatoria, útil para definir el tipo de quiste, la afectación de la vía biliar intrahepática y la frecuente asociación con AUBP (15).
La oportunidad quirúrgica es clave en la prevención del desarrollo de alteraciones en la histología hepática. La precocidad en la corrección de la malformación evita la persistencia de colestasis y el riesgo de colangitis o cirrosis (8,10). La resección completa del quiste es indispensable, ya que puede observase malignización del remanente en hasta el 28% de los pacientes incompletamente resecados (2,3,10).
Objetivo
Dar a conocer el caso clínico de un lactante portador de una patología poco frecuente, como el quiste de colédoco, que se presentó con fiebre, manifestación de la presencia de una complicación.
Caso clínico
Sexo masculino, 3 meses, raza blanca, producto de 9ª gestación, embarazo mal controlado, sin complicaciones. Parto de término, buen peso al nacer. Incremento ponderal adecuado, buen desarrollo. Bien inmunizado.
Consultó por enfermedad de 24 horas de evolución, con rechazo parcial del alimento y fiebre de 39º axilar, sin otros síntomas. En el momento de la consulta se constató buen aspecto general, con examen físico normal. Otoscopía normal. El hemograma evidenció 5.900 leucocitos con 39,6% neutrófilos, hemoglobina y plaquetas normales. Proteína C reactiva negativa. Radiografía de tórax y examen de orina normales. Se enviaron muestras para hemocultivo y urocultivo.
Durante su hospitalización reiteró fiebre de hasta 39º de temperatura axilar, se alimentó menos, sin otros síntomas. A las 24 horas del ingreso presentó expulsión de materia fecal francamente acólica, pastosa. Orina normocoloreada. No había presentado previamente heces con esas características, ni ictericia, ni orinas hipercoloreadas. Al examen estaba decaído, sin ictericia. Hepatomegalia regular de consistencia aumentada con respecto al ingreso. No se palpaba bazo. Se reiteró hemograma que no tenía diferencias con respecto al anterior. El funcional hepático mostró bilirrubina total 1,33 mg/dl, a predominio de la fracción conjugada; transaminasa glutámico-oxalacética 92 U/l y transaminasa glutámico-pirúvica 42 U/l.
La elevación de la bilirrubina, a expensas de su fracción conjugada y la acolia, evidenciaba una colestasis. Por la presencia de fiebre se pensó, en primer lugar, en una infección. La infección urinaria y la sepsis causan colestasis a esta edad (12,16,17), pero los cultivos de sangre y orina fueron estériles. Se investigaron infecciones de transmisión vertical o perinatal: toxoplasmosis, citomegalovirus, herpes simple, HIV, hepatitis B y sífilis. También se investigó infección por virus de la hepatitis A, si bien a esta edad de la vida la infección adquirida por este virus es menos frecuentemente productora de colestasis. Todas fueron negativas.
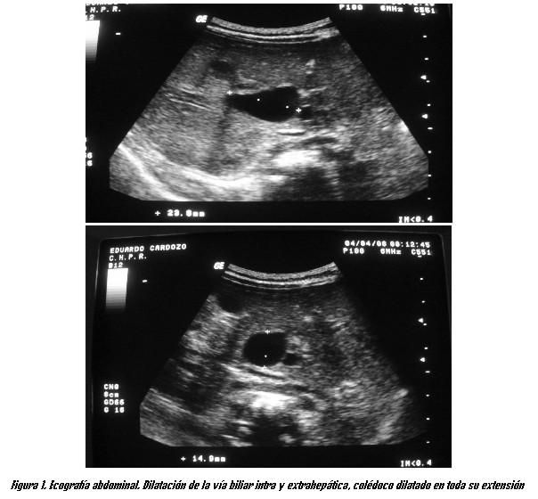
La ecografía abdominal mostró dilatación de la vía biliar principal, con un colédoco dilatado en toda su extensión, con diámetro máximo en el sector medio de 12 mm. El sector distal del colédoco se visualizó con dificultad, aunque podría estar dilatado. Podría corresponder a un QC fusiforme tipo Ib. El parénquima hepático era normal, así como el resto de la cavidad abdominal (figura 1). Se realizó una colangio-resonancia que mostró un QC tipo Ib, sin compromiso de la confluencia de los hepáticos ni del colédoco distal (figura 2).
La presencia de fiebre, hepatomegalia y elevación de transaminasas hepáticas sugirió una colangitis, como complicación del quiste. Se inició tratamiento antibiótico empírico con cefoperazona. Si bien no se pudo confirmar la presencia de esta complicación, dado que los hemocultivos fueron negativos, a las 48 horas de comenzar el tratamiento antibiótico se constató desaparición de la acolia y la fiebre con mejoría del estado general.
Comentarios
Una enfermedad febril aguda en un lactante de 3 meses indica causa infecciosa. La aparición de colestasis, en este contexto, sugiere infección urinaria, sepsis o infección adquirida por vía vertical. El mecanismo fisiopatológico probable es la afectación directa del canalículo biliar o el hepatocito, por toxinas bacterianas o los propios agentes en caso de infecciones perinatales, con alteración del flujo y la producción de bilis a nivel hepatocelular (17). A este mecanismo se suma la inmadurez fisiológica, propia del lactante pequeño, que justifica que las enfermedades hepáticas a esta edad se acompañen de ictericia como principal manifestación clínica. Todas estas infecciones se descartaron a través de los exámenes de laboratorio.
La acolia sugería la existencia de una obstrucción al flujo biliar. Esta obstrucción, cuando es completa, se acompaña de coluria e ictericia, que no estaban presentes, lo que indicaba una obstrucción parcial. La ausencia de ictericia y coluria se explican por el escaso aumento de la bilirrubina conjugada. Llama la atención la intensidad de la acolia, en este contexto.
Como probable causa de obstrucción al flujo biliar se planteó, en primer lugar, la atresia de vías biliares, causa más común de colestasis en los primeros meses de vida. Esta patología habitualmente se manifiesta entre las 2 y 6 semanas de vida, con colestasis progresiva, ictericia y heces persistentemente hipocoloreadas (8), evolución diferente a la que presentaba este paciente, pero que no descarta el diagnóstico.
Son poco frecuentes a esta edad otras causas de colestasis obstructiva. La litiasis en la infancia es rara, pese a que su incidencia ha aumentado, seguramente vinculada al uso frecuente de la ecografía. En general son secundarias a patologías como errores congénitos del metabolismo, enfermedades hemolíticas, nutrición parenteral, entre otras (8,15,18).
La acolia de reciente comienzo, con elementos de obstrucción parcial al flujo biliar y de súbita aparición, llevó a pensar en el QC como posible causa.
Para la investigación de estas patologías se solicitó una ecografía, técnica de primera línea que permite valorar anomalías anatómicas del hígado y la vía biliar extrahepática. El estudio confirmó la presencia de un QC. La ecografía tiene 92 a 97% de especificidad para el diagnóstico de las malformaciones quísticas de la vía biliar (2,13,14,19). Permite el diagnóstico diferencial con atresia de vías biliares en el neonato (16). También es útil en el diagnóstico prenatal del QC, aunque en estos casos es difícil la diferenciación con atresia de vía biliar (8).
Como estudio imagenológico confirmatorio se realizó una colangio-resonancia. Si bien la ecografía puede utilizarse como único procedimiento diagnóstico preoperatorio del QC (19), la colangio-resonancia o colangio-pancreatografía por resonancia magnética ha pasado a ser el estudio de primera línea, por ser un estudio no invasivo, que no irradia, fácilmente reproducible, de rápida realización y que permite llevar al paciente a la cirugía con referencias anatómicas precisas. Visualiza conductos de hasta 2 mm de diámetro (2,5,10,16,14). Su especificidad para detectar alteraciones de la vía biliar extrahepática es cercana al 100%. Permite la detección de variantes anatómicas de las vías biliares, que se asocian frecuentemente, como la AUBP (4,6,14,20). En este paciente se confirmó la presencia de un QC tipo Ib, sin compromiso de la confluencia de los hepáticos ni del colédoco distal y se descartó la AUBP.
El QC es una anomalía congénita del árbol biliar, caracterizada por dilatación quística del mismo. Es poco frecuente y su etiología precisa es desconocida. Se plantean probables mecanismos patogénicos diferentes según la dilatación sea intra o extrahepática. Los quistes intrahepáticos pertenecen al grupo de los desórdenes fibro-poliquísticos, de etiología congénita, causados por malformaciones de la placa ductal (2,4,18). Los quistes extrahepáticos pueden asociar su origen a una AUBP, de las cuales la más frecuente es un canal común anormalmente largo. En estos quistes se plantea, como patogenia de la dilatación coledociana, el reflujo de jugo pancreático al árbol biliar.
Los QC se clasifican de acuerdo a su forma y su extensión. La clasificación que se emplea actualmente es la realizada por Alonso Lej en 1954 y modificada por Todani en 1977. En esta clasificación se incluyen 5 grupos. El tipo I está dado por la dilatación fusiforme del conducto biliar común, incluyendo el canal cístico; el tipo II por la dilatación diverticular del conducto común; el tipo III está representado por un coledocele; el tipo IV presenta dilatación biliar intra y extrahepática y el tipo V es la dilatación sólo del árbol biliar intrahepático o enfermedad de Caroli. El tipo I puede subdividirse en tres formas: fusiforme (tipo Ia), segmentaria (tipo Ib) y difusa o cilíndrica (tipo Ic) (3,13). El tipo I representa el 78% de los casos, siendo el más frecuente en cualquiera de sus tres formas.
Si bien la colangio-resonancia informó un QC tipo Ib, es llamativo el diámetro de 12 mm, apenas por encima del valor normal y en el límite de una entidad descripta por Lilly y colaboradores (21) llamada “forma frustra” de QC. Estos pacientes se presentan con síntomas típicos de dolor abdominal e ictericia obstructiva, pero sin dilatación del conducto biliar y habitualmente con AUBP. Muchos autores opinan que esta variedad debe ser incluida en el espectro de la enfermedad (22).
La presentación clínica del QC depende tanto del tipo anatómico, como de la edad de aparición de los síntomas. La forma de presentación neonatal es indistinguible de la atresia de vías biliares, con ictericia persistente (23). En el lactante o niño mayor es más frecuente la ictericia intermitente, con heces acólicas o hipocólicas, alternando con deposiciones normocoloreadas, como el caso de este paciente (3,5,9). La tríada clásica de ictericia, dolor abdominal y masa palpable se presenta en un reducido número de pacientes en su forma completa (1-3,8). El síntoma más relevante en forma aislada es el dolor abdominal.
Menos frecuentemente el quiste de colédoco puede presentarse con síntomas vinculados al desarrollo de complicaciones. Las más frecuentes son: pancreatitis, ruptura o colangitis (1,2,11,22). La colangitis, complicación planteada en este paciente, no es habitual en la edad pediátrica, se ve con mayor frecuencia en adultos o en el postoperatorio (1,3).
Colangitis es la infección de la vía biliar extrahepática, que tiene como factor de riesgo principal en este paciente, el drenaje biliar anómalo determinado por la presencia del QC. Existe estancamiento biliar y posterior sobreinfección con flora intestinal, que llega al colédoco por vía canalicular ascendente. Los gérmenes más frecuentemente involucrados son: Escherichia coli (50%), Klebsiella y otros bacilos Gram negativos (8,15,18). Es habitual el incremento de transaminasas hepáticas, traduciendo la participación del parénquima hepático. Se inició tratamiento antibiótico empírico con cefoperazona, cefalosporina de tercera generación, apropiada para los gérmenes probables y que alcanza buena concentración en la bilis. La confirmación diagnóstica, que se realiza con la demostración de la bacteria en sangre, no se obtuvo, pero la evolución favorable, con mejoría del estado general, desaparición de la acolia y de la fiebre en las primeras 48 horas, apoyó el diagnóstico.
La pancreatitis es una complicación muy frecuente del QC, sobre todo en las formas frustras y fusiformes. En estos pacientes deben solicitarse unidades pancreáticas para detectarla.
El tratamiento del QC es quirúrgico. El objetivo es la resección total y el mantenimiento de un flujo biliar apropiado, evitando la aparición de complicaciones. La cirugía debe realizarse en un tiempo breve luego del diagnóstico, 6 meses en pacientes asintomáticos y 2 meses en pacientes sintomáticos. En lactantes que se detectan fuera del período neonatal se recomienda la resección en el tiempo más breve posible, independiente de la edad (4,9,10,13).
La cirugía de elección depende del tipo anatómico de quiste. En el tipo I, la técnica recomendada es la escisión total con hepático-yeyunostomía en Y de Roux, procedimiento con baja incidencia de complicaciones (4-6,16,24). Se recomienda la realización de biopsia hepática para evaluar la presencia de fibrosis, que se ha demostrado, sobre todo en pacientes con diagnóstico neonatal (4,5,9,19). La resección total del tejido quístico previene malignización del tejido remanente, reportada hasta en un 28% de casos.
La endoscopía intraoperatoria, o coledocoscopía, descarta estenosis del colédoco proximal. En sentido distal permite la ligadura del colédoco sin lesionar el conducto de Wirsung. Además permite extraer tapones proteicos que pudieran obstruir el colédoco o el conducto pancreático y provocar pancreatitis postoperatorias (16,19,25).
Las complicaciones postoperatorias más frecuentes son sangrados, colangitis, pancreatitis por obstrucción distal a la cirugía, formación de cálculos en el canal común y obstrucción intestinal por bridas. Es menor el riesgo de desarrollo de cálculos cuando la cirugía se realiza antes de los 5 años (1). Se han descrito casos de desarrollo de cirrosis biliar e hipertensión portal en pacientes que presentaban enfermedad hepática residual luego de la cirugía. La malignización del remanente se ha visto hasta en un 28% de los pacientes (3,20). Esta complicación puede aparecer a muy largo plazo, incluso existe la posibilidad de malignización extrabiliar en los casos de excéresis completa, por lo que se recomienda el seguimiento de estos enfermos durante muchos años, con ecografía, funcional hepático y antígeno carcinoembrionario en forma semestral (2,3,5,8,20).
Referencias bibliográficas
1. Singhavejsakul J, Ukarapol N. Choledochal Cysts in Children: Epidemiology and Outcomes. World J Surg 2008; 32(7): 1385-8.
2. Pereira N, Benavides J, Espinoza C, Rostion C. Quiste de colédoco en pediatría: una revisión de la literatura. Pediatría (Santiago de Chile) 2007; 4 (3).
3. Suchy F, Sokol R. Biliary atresia and other disorders of the extrahepatic bile ducts. In: Suchy F, Sokol R, Balistreri W, eds. Liver disease in children. Philadelphia: Lippincott, Willims & Wilkings, 2001: 267-73.
4. Astudillo P, Vasconez F, Zambrano E. Nuevos aportes en el diagnóstico y tratamiento del quiste de colédoco. Rev Ecuat Pediatr 2006; 7(2): 5-10.
5. Uribarrena Amézaga R, Ravaentós N, Fuentes J, Elías J, Tejedo V, Uribarrena Echeverria R. Diagnóstico y tratamiento de los quistes de colédoco. Presentación de 10 nuevos casos. Rev Esp Enferm Dig 2008; 100(2): 71-5.
6. Shingham J, Schaeffer D, Yoshida E, Scudamore C. Choledochal cysts: analysis of disease pattern and optimal treatment in adult and paediatric patients. HPB (Oxford) 2007; 9(5): 383-7.
7. Mendez V, Burastero M, Cuadro M, Casamayou L, Gutierrez C, Montano A, et al. Colestasis neonatal: evolución de los pacientes diagnosticados entre 1983 y 2000 en dos servicios gastroenterológicos de referencia de Montevideo. Arch Pediatr Urug 2005; 76(3): 210-21.
8. McEvoy Colston, Suchy F. Enfermedades de las vías biliares. Clin Pediatr Norteam 1996; 1(1): 173-94.
9. Suita S, Shono K, Kinugasa Y, Kubota M, Matsuo S. Influence of Age on the Presentation and Outcome of Choledochal Cyst. J Pediatr Surg 1999; 34(12): 1765-8.
10. Flores E. Anomalía de la unión bilio-pancreática y las dilataciones quísticas congénitas del colédoco [en línea]. Obtenido de: http://drfloresrivera.wordpress.com [consulta: 9 may 2008].
11. Stringer M, Dhawaan A, Davaenport M, Mieli-Vergani G, Mowat A, Howard E. Choledochal cysts: lessons from a 20 year experience. Arch Dis Child 1995; 73: 528-31.
12. Suchy J. Colestasis Neonatal. Pediatr Rev 2004; 25(11): 388-96.
13. Metcalfe M, Wemyss-Holden S, Maddern G. Management Dilemmas with Choledochal Cysts. Arch Surg 2003; 138(3): 333-9.
14. Sánchez M, de Juan C. Colangiografía por resonancia en las enfermedades hepatobiliares. Panel de expertos, marzo 2004 [en línea]. Obtenido de: http://www.hepatonet.com [consulta: 9 mayo 2008].
15. Martínez Valverde A, Sierra Salinas C. Patología de las vías biliares. En: Cruz M. Tratado de Pediatría. 9 ed. Madrid: Ergon, 2006: 1220-3.
16. Manzanares J, Medina E. Colestasis en el recién nacido y lactante. Orientación diagnóstica. An Pediatr 2003; 58(2): 162-7.
17. Guideline for the Evaluation of Cholestatic Jaundice in Infants: Recommendations of the North American Society for Paediatric Gastroenterology, Hepatology and Nutrition. J Pediatr Gatroenterol 2004; 39(2): 115-8.
18. Muñoz G. Colelitiasis. Pediatr Integral 2003; 7(3): 217-26.
19. Vila-Carbo JJ, Ayuso L, Hernandez E, Lluna J, Ibáñez V. Nuestra experiencia en el diagnóstico y tratamiento del quiste de colédoco. Cir Pediatr 2006; (19): 33-8.
20. De Vries JS, de Vries S, Aronson D, Bosman D, Raues E, Bosma A, et al. Choledochal Cysts: Age of Presentation, Symptoms, and Late Complications Related to Todanis Classification. J Pediatr Surg 2002, 37(11): 1568-73.
21. Lilly JR, Stellin GP, Karrer FM. Forme fruste choledochal cyst. J Pediatr Surg 1985; 20: 449-51.
22. Dabbas N, Davenport M. Congenital choledochal malformation: not just a problem for children. Ann R Surg Engl 2009; 91: 100-5.
23. Man-Chin H, Hsun-Chin C, Reyin L, Jin-Yao L, Ming-Wei L, Man-Shan K. The different clinical and liver pathological characteristics between the newborns and infants with choledochal cysts. Chan Gung Med J 2009; 32: 198-203.
24. Shi L, Peng S, Meng X, Peng CH, Liu Y, Chen X, et al. Diagnosis and treatment of congenital choledochal cyst: 20 years experience in China. World J Gatroenterol 2001; 7(5): 732-4.
25. Mishra A, Pant N, Chadha R, Chodhury SR. Choledochal cysts in infancy and childhood. Indian J Pediatr 2007; 74(10): 937-43.
Correspondencia: Dra. K. Machado. García Morales 1184/2. Montevideo.
Correo electrónico: Kmachado@adinet.com.uy













