Servicios Personalizados
Revista
Articulo
Links relacionados
Compartir
Archivos de Pediatría del Uruguay
versión impresa ISSN 0004-0584versión On-line ISSN 1688-1249
Arch. Pediatr. Urug. vol.79 no.2 Montevideo ago. 2008
CASO CLÍNICO
Arch Pediatr Urug 2008; 79(2)
Síndrome de Sturge-Weber sin angioma facial.
Presentación de un caso clínico
con su evolución clínica e imagenológica
Dres. Alfredo Cerisola Cardoso 1, Flavia Pomi 2, Mariana Bianchi Novoa 2,
Gabriela Delucchi Botaro 3, Cristina Scavone Mauro 4, Ivonne Rubio Santoro 5
1. Profesor Adjunto de la Cátedra de Neuropediatría, Facultad de Medicina, UDELAR.
2. Médico pediatra.
3. Médico neuropediatra. Servicio de Neuropediatría, Centro Hospitalario Pereira Rossell. Ministerio de Salud Pública.
4. Profesora Directora de la Cátedra de Neuropediatría, Facultad de Medicina, UDELAR.
5. Profesora Directora de la Clínica Pediátrica “C”, Facultad de Medicina, UDELAR.
Cátedra de Neuropediatría. Clínica Pediátrica “C”. Facultad de Medicina. Centro Hospitalario Pereira Rossell. Montevideo. Uruguay.
Fecha recibido: 7 de julio de 2008.
Fecha aprobado: 22 de julio de 2008.
Resumen
Introducción: el síndrome de Sturge-Weber (SSW) es un síndrome neurocutáneo poco frecuente, de presentación esporádica, que afecta la microvasculatura venosa cefálica, caracterizado en su forma típica por una angiomatosis leptomeníngea a nivel del lóbulo occipital y parietal posterior, y un angioma plano rojo vinoso ipsilateral, topografiado en el territorio de inervación de la rama oftálmica del nervio trigémino. Se ha descrito una variante del SSW en la cual la angiomatosis leptomeníngea está presente sin el nevo facial asociado.
Caso clínico: a los 10 meses de edad, la paciente presentó crisis caracterizadas por vómitos, desviación óculo-cefálica a izquierda e hipotonía global. Se le realizó fondo de ojo, tomografía de cráneo (TC) y electroencefalograma que fueron normales. A los 4 años reiteró crisis epilépticas parciales. En la TC se observó una imagen hiperdensa occipital izquierda y la resonancia magnética mostró un área de realce leptomeníngeo a nivel parieto-occipital izquierdo con la administración de contraste paramagnético. Medicada con difenilhidantoína, reiteró crisis epiléptica a los 6 años de edad. A los 9 años presentó un episodio de breve duración caracterizado por cefalea intensa y alteración de la conciencia. Una nueva TC mostró un significativo aumento de las calcificaciones occipitales izquierdas.
Discusión: existen pocas comunicaciones de casos de síndrome de Sturge-Weber sin angioma facial en la literatura médica. Es interesante destacar la evolución de esta paciente quien ha presentado una epilepsia aceptablemente controlada, lo que contrasta con la significativa progresión de sus calcificaciones cerebrales.
Palabras clave:
SÍNDROME DE STURGE-WEBER
SÍNDROMES NEUROCUTÁNEOS
CALCINOSIS
EPILEPSIA
TOMOGRAFÍA COMPUTARIZADA POR RAYOS X
IMAGEN POR RESONANCIA MAGNÉTICA
ANGIOGRAFÍA
Summary
Introduction: Sturge-Weber Disease (SWD) is non-frequent neurocutaneous syndrome which affects the cerebral vascular bed. The traditional presentation consists of a leptomeninges angiomatosis at the occipitoparietal regions and an ipsilateral port-wine stain over the ophtalmic branch of the trigeminal nerve. There is a variation which does not have the associated facial nevi.
Clinical case: the case is of a female patient. It starts when she was 10 months old with vomits, global hypotonia with ocular and head lateralization. A CT scan, electroencephalogram and a fundus examination were done, being all normal. At the age of 4 she repeated the focal seizures. A hyperdense image at the left occipital lobe was seen at the CT scan and a leptomeningeal image was highlighted at the left occipitoparietal lobes at the MRI with paramagnetic contrast. At the age of six she repeated the seizures even though she received an anticonvulsant drug. At the age of 9 she had an episode characterized by conscience alteration and headache. The CT scan showed a significant increase of the left occipital calcifications.
Discussion: few SWD cases without facial nevi have been described. This patient's evolution is interesting due to the advanced calcification progress and the acceptable control of the epilepsy.
Key words:
STURGE-WEBER SYNDROME
NEUROCUTANEOUS SYNDROMES
CALCINOSIS
EPILEPSY
TOMOGRAPHY, X-RAY COMPUTED
MAGNETIC RESONANCE IMAGING
ANGIOGRAPHY
Introducción
El síndrome de Sturge-Weber (SSW) es un síndrome neurocutáneo poco frecuente, de presentación esporádica, que afecta la microvasculatura venosa cefálica, caracterizado, en su forma típica, por una angiomatosis leptomeníngea a nivel del lóbulo occipital y parietal posterior, y un angioma facial plano de color rojo-vinoso ipsilateral topografiado en el territorio de inervación de la rama oftálmica del nervio trigémino. Puede asociar glaucoma y alteraciones vasculares en el globo ocular (1-4). Su incidencia se ha estimado en 1 cada 50.000 recién nacidos vivos, afectando por igual a ambos sexos (1,5,6). Se ha descrito una variante del SSW en la cual la angiomatosis leptomeníngea está presente sin el nevo facial asociado (2).
La angiomatosis leptomeníngea es una malformación vascular congénita caracterizada por una densa red de múltiples y pequeños canales vasculares no diferenciados, tortuosos, de paredes finas y estrechamente entrelazados, limitados a la piamadre, en los cuales la circulación está muy enlentecida (4,6,7). Se ha postulado que el angioma encontrado en el SSW clásico es producto de una falla en el desarrollo embriológico del plexo venoso cefálico primitivo. Durante los estadios iniciales, el sistema primitivo se divide en una porción externa que alimenta y drena la piel de la cara y el cuero cabelludo, una porción media que irriga las meninges y una porción profunda que alimenta y drena el cerebro. Se ha sugerido que la asociación entre el nevo facial y el angioma leptomeníngeo en el SSW podría explicarse por la proximidad del ectodermo destinado a formar el área superior de la piel de la cara con la porción del tubo neural que va a formar el área parieto-occipital del cerebro. Una mutación somática que comprometa estos tejidos embriológicos puede ser uno de los mecanismos por el cual se produce el SSW. Es probable que un defecto que tuviera lugar más tardíamente, luego de que los precursores se hubieran diferenciado, comprometiendo solamente las estructuras vasculares piales en desarrollo, podría explicar los hallazgos de angioma leptomeníngeo occipital sin nevo facial en un pequeño grupo de pacientes con este síndrome (2,8).
La alteración de la circulación encefálica produce estasis venosa y episodios recurrentes de trombosis, mecanismos responsables de la lesión hipóxico-isquémica que provoca focos de necrosis, calcificaciones corticales y subcorticales y hemiatrofia cerebral progresiva (1,4,8,9). La angiomatosis se acompaña de un pobre drenaje venoso cortical superficial y, como vías alternativas de drenaje, se desarrollan grandes venas regionales transmedulares que drenan en la circulación venosa profunda (1,4,7). El plexo coroideo ipsilateral puede estar aumentado de tamaño, probablemente como resultado del flujo venoso aumentado desde el hemisferio cerebral afectado hacia el plexo (6). Esta hiperplasia de los plexos coroideos se correlaciona positivamente con la extensión del angioma leptomeníngeo (1,6).
Las manifestaciones clínicas del SSW clásico incluyen un angioma plano congénito de la cara, de color rojo-vinoso, generalmente no progresivo ni regresivo, localizado en el territorio de inervación de la rama superior del trigémino a nivel del párpado superior y la frente. Suele ser ipsilateral a la angiomatosis meníngea, aunque también puede extenderse a otras zonas de la piel y las mucosas, incluso bilateralmente (7,10,11). La manifestación neurológica más frecuente son las crisis epilépticas focales (75%–90%), contralaterales al angioma cutáneo, que suelen ser resistentes al tratamiento con fármacos antiepilépticos (1,3,10). Otras manifestaciones neurológicas incluyen hemiparesia lentamente progresiva (25%–60%), relacionada con la hemiatrofia cerebral, hemianopsia (40%–45%), retraso del desarrollo neuropsicológico (50%–60%), déficit atencional con hiperactividad y otros trastornos de conducta, cefaleas vasculares de tipo migrañoso (30%–45%), episodios de tipo stroke con hemiplejias agudas transitorias o defectos del campo visual transitorios no relacionadas con crisis epilépticas (1,9). Las manifestaciones oculares incluyen angioma coroideo-retiniano (40%), glaucoma (30%–70%), buftalmos, y angioma a nivel de la esclerótica (1,6,12).
Los hallazgos tomográficos característicos en el SSW son las calcificaciones giriformes, serpenteantes, “en vías de tren”, en la región occipito-parietal, la atrofia hemisférica cerebral progresiva y el aumento del tamaño del plexo coroideo ipsilateral. Sin embargo, las calcificaciones no son específicas del SSW y pueden ser mínimas o estar ausentes en el recién nacido o en el lactante. Por lo tanto, la imagen patognomónica del SSW se obtiene con la resonancia magnética al observar un refuerzo leptomeníngeo luego de la administración de contraste paramagnético (gadolinium) (1,6,8,10,13-17). Las alteraciones en la circulación venosa, que se pueden observar con la angiorresonancia o con la angiografía digital, incluyen la falta de venas corticales cerebrales, la disminución del flujo a nivel del seno longitudinal superior o del transverso y las venas profundas aumentadas de tamaño y tortuosas (18).
Caso clínico
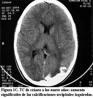
Niña de 10 años, sin antecedentes pre ni perinatales que a los 10 meses de edad, luego de un traumatismo de cráneo de intensidad leve, presentó crisis caracterizadas por vómitos, desviación óculo-cefálica a izquierda e hipotonía global, con sopor posterior, que se reiteraron en el curso de 24 horas. Su examen físico fue normal. En esa oportunidad se le realizó fondo de ojo, tomografía de cráneo (TC) (figura 1A) y electroencefalograma (EEG), que fueron normales. Evolucionó favorablemente hasta la edad de 4 años, cuando presentó nuevamente crisis epilépticas parciales complejas, con un episodio de status epilepticus. El EEG mostró signos de sufrimiento cerebral focal a nivel parieto-occipital izquierdo. En la TC se observó una imagen hiperdensa occipital izquierda (figura 1B). La resonancia magnética (RM) mostró un área de realce leptomeníngeo con el gadolinium en la misma topografía en relación con una corteza cerebral de aspecto atrófico, así como el plexo coroideo ipsilateral aumentado de tamaño (figura 2). En la angiorresonancia se observó una disminución de la señal de flujo en el seno venoso lateral izquierdo que se interpretó secundaria a trombosis (figura 3A). En la angiografía digital se comprobó que el seno venoso estaba permeable con un marcado enlentecimiento de la circulación compatible con estasis venosa y una alteración de la barrera hematoencefálica a nivel occipital izquierdo (figura 3B). Los anticuerpos antigliadina y antiendomisio fueron negativos. El estudio de los factores de la coagulación descartó una alteración protrombótica. Medicada con difenilhidantoína, reiteró crisis similares a las anteriores a los 6 años de edad. Desde el punto de vista neuropsicológico, su nivel intelectual fue catalogado como marginal. Luego de tres años sin crisis, a los 9 años presentó un episodio de breve duración caracterizado por cefalea intensa y alteración de la conciencia. En la exploración neurológica se comprobó que presentaba una discreta paresia de miembro superior derecho. Una nueva TC mostró un significativo aumento de las calcificaciones occipitales izquierdas (figura 1C).
Discusión
La presencia de un angioma facial congénito con las características antes mencionadas es el signo principal que orienta hacia el diagnóstico en el SSW clásico (1,3,7,16). Como las otras manifestaciones clínicas pueden ser relativamente inespecíficas, cuando el paciente no presenta las lesiones cutáneas típicas, el diagnóstico de angiomatosis leptomeníngea se basa fundamentalmente en los hallazgos neuroimagenológicos. Las primeras manifestaciones clínicas de este caso clínico fueron sus crisis epilépticas parciales a los 10 meses de edad pero en ese momento, el examen físico y la TC fueron normales. A los 4 años, cuando reiteró crisis epilépticas, se observaron las calcificaciones occipitales izquierdas en una nueva TC. La RM con gadolinium mostró las imágenes típicas de la angiomatosis pial con un área de realce leptomeníngeo a nivel parieto-occipital izquierdo, en relación con una corteza cerebral de aspecto atrófico, así como el plexo coroideo ipsilateral aumentado de tamaño. Se realizó una angiorresonancia en la cual se observó una disminución de la señal de flujo en el seno venoso lateral izquierdo que se interpretó como secundaria a trombosis. Sin embargo, la angiografía digital realizada tres días después, mostró que el seno venoso estaba permeable y que presentaba un marcado enlentecimiento de la circulación compatible con estasis venosa. Posteriormente, a los 9 años, una nueva TC mostró un significativo aumento de las calcificaciones occipitales, persistiendo la imagen del plexo coroideo aumentado de tamaño. Esta serie de estudios imagenológicos es enteramente compatible con el diagnóstico de angiomatosis leptomeníngea (1,6,8,10,13-18).
Aunque la descripción del SSW se remonta a 1879 (Sturge), ya en el año 1935, Van Bogaert describe una forma de angiomatosis córtico-meníngea-telangiectásica sin angioma facial como variante del SSW. Lund, en 1949, en una revisión de 144 pacientes de la literatura afectos del síndrome, halla siete con imágenes radiográficas típicas y sin angioma facial; de ellos, en tres obtuvo confirmación necrópsica de la angiomatosis leptomeníngea (19). Sin embargo, existen pocas comunicaciones de casos de SSW sin angioma facial en la literatura médica (8-10,13,16,18-21). Actualmente, con el desarrollo de las técnicas de neuroimagen, y particularmente de la RM, esta entidad ha sido claramente definida sin necesidad del estudio anátomo-patológico (9,15,16). Asimismo, se la ha podido diferenciar de otras patologías que se presentan con calcificaciones occipitales y epilepsia, como en el síndrome de Gobbi en el que están asociadas a la enfermedad celíaca. Aún así, es frecuente que se soliciten los estudios para descartar la enfermedad celíaca, como ocurrió con esta paciente (13,15).
Existen pocos estudios publicados que describan la evolución clínica e imagenológica de los pacientes con SSW (22). Si bien en la literatura se menciona la progresión de las calcificaciones, no es habitual que la misma se haya documentado como en este caso, desde la tomografía normal obtenida a los 10 meses de vida, a la observación de las calcificaciones a los 4 años y la comprobación del significativo aumento de las mismas a los 9 años de vida. Es interesante destacar la discordancia existente entre la evolución de la epilepsia de esta paciente durante sus primeros 10 años de vida, que ha sido aceptablemente controlada, y la significativa progresión de las lesiones encefálicas objetivadas en el aumento de las calcificaciones en el seguimiento tomográfico.
La interpretación de los estudios angiográficos realizados en esta paciente es otro de los aspectos interesantes de este caso clínico. Aunque la disminución de la señal de flujo en el seno venoso lateral izquierdo en la angiorresonancia fue inicialmente interpretada como secundaria a una trombosis, es probable que dicha imagen se correspondiera a enlentecimiento del flujo y que el seno venoso estuviera permeable, como se observó en la angiografía digital (18).
Es difícil definir si el pronóstico en estos pacientes es diferente al de los SSW con angioma facial. Por un lado, en una revisión recientemente publicada, se analizaron 24 casos publicados de SSW sin angioma facial, de los cuales 18 (75%) tenían epilepsia, y sólo tres (12,5%) retardo del desarrollo psicomotor y uno (4%) hemiplejia (10). Por otro lado, en otro estudio no incluido en la revisión anterior, se describió una serie de 20 pacientes con SSW intervenidos quirúrgicamente entre 1972 y 1990 por epilepsia intratable, de los cuales ocho no tenían angioma facial. La presencia de angiomatosis pial unilateral fue confirmada en todos los casos en la cirugía (9).
La descripción de este caso clínico aporta información sobre la forma de presentación y la evolución clínica e imagenológica del SSW sin angioma facial. Aunque existen algunos casos publicados en la literatura médica, no se han encontrado reportes en la bibliografía consultada que documenten la evolución tomográfica a largo plazo así como las características de los estudios imagenológicos angiográficos.
Referencias bibliográficas
1. Thomas-Sohl KA, Vaslow DF, Maria BL. Sturge-Weber syndrome: a review. Pediatr Neurol 2004; 30(5): 303-10.
2. Comi AM, Fischer R, Kossoff EH. Encephalofacial angiomatosis sparing the occipital lobe and without facial nevus: on the spectrum of Sturge-Weber syndrome variants? J Child Neurol 2003; 18(1): 35-8.
3. Roach ES. Neurocutaneous syndromes. Pediatr Clin North Am 1992; 39(4): 591-620.
4. Portilla P, Husson B, Lasjaunias P, Landrieu P. Sturge-Weber disease with repercussion on the prenatal development of the cerebral hemisphere. Am J Neuroradiol 2002; 23(3): 490-2.
5. Haslam RHA. Síndromes neurocutáneos. En: Behrman RE, Kliegman RM, Jenson HB, eds. Nelson Tratado de Pediatría. 17 ed. Madrid: Elsevier, 2004: 2015-19.
6. Barkovich AJ. Neuroimagenología pediátrica. Buenos Aires: Journal, 2001: 429-35.
7. Lyon G, Evrard Ph. Neuropediatría. Barcelona: Masson, 1990: 328-9.
8. Miyama S, Goto T. Leptomeningeal angiomatosis with infantile spasms. Pediatr Neurol 2004; 31(5): 353-6.
9. Arzimanoglou AA, Andermann F, Aicardi J, Sainte-Rose C, Beaulieu MA, Villemure JG, et al. Sturge–Weber syndrome. Indications and results of surgery in 20 patients, Neurology 2000; 55: 1472-9.
10. Taddeucci G, Bonuccelli A, Polacco P. Migraine-like attacks in child with Sturge-Weber syndrome without facial nevus. Pediatr Neurol 2005; 32(2): 131-3.
11. Berg BO. Neurocutaneous Syndromes: Phakomatoses an allied conditions. In: Swaiman K, Ashwal S, eds. Pediatric Neurology: principles & practice. 3 ed. St. Louis: Mosby, 1999: 530–49.
12. Gómez MR. Enfermedades neurocutáneas. In: Fejerman N, Fernández Alvarez E, eds. Neurología Pediátrica. Buenos Aires: Médica Panamericana, 1997: 398–419.
13. Martínez-Bermejo A, Tendero A, Lopez-Martin V, Arcas J, Royo A, Polanco I, et al. Angiomatosis leptomeníngea occipital sin angioma facial. ¿Debe considerarse como variante del síndrome de Sturge-Weber? Rev Neurol 2000; 30(9): 837-41.
14. Griffiths PD, Coley SC, Romanowski CAJ, Hodgson T, Wilkinson ID. Contrast-enhanced fluid-attenuated inversion recovery imaging for leptomeningeal disease in children., Am J Neuroradiol 2003; 24: 719-23.
15. Ramos-Fernández JM, Lorenzo Sanz G, Casas-Gil JM, López-Rodríguez MJ, Martínez San Millán J, Aparicio-Meix JM. Síndrome de Sturge-Weber sin angioma facial: valor diagnóstico de la resonancia magnética con gadolinio. An Esp Pediatr 1995; 42: 65-7.
16. Sen Y, Dilber E, Odemis E, Ahmetoglu A, Aynaci FM. Sturge-Weber syndrome in a 14-year-old girl without facial naevus. Eur J Pediatr 2002; 161(9): 505-6.
17. Aydin A, Cakmakci H, Kovanlikaya A, Dirik E. Sturge-Weber syndrome without facial nevus. Pediatr Neurol 2000; 22(5): 400-2.
18. Gururaj AK, Sztriha L, Johansen J, Nork M. Sturge-Weber syndrome without facial nevus: a case report and review of the literature. Acta Paediatr 2000; 89(6): 740-3.
19. Campistol Plana J, Khalil Juma M, Pineda Marfá M, Campistol Vila J, Vidal Sanahuja R. Síndrome de Sturge-Weber sin angioma facial. Rev Esp Pediatr 1984; 40(3): 236-8.
20. Taly AB, Nagaraja D, Das S, Shankar SK, Pratibha NG. Sturge-Weber-Dimitri disease without facial nevus. Neurology 1987; 37(6): 1063-4.
21. Dilber C, Tasdemir HA, Dagdemir A, Incesu L, Odaci E. Sturge-Weber syndrome involved frontoparietal region without facial nevus. Pediatr Neurol 2002; 26(5): 387-90.
22. Udani V, Pujar S, Munot P, Maheshwari S, Metha N. Natural history and magnetic resonance imaging follow-upin 9 Sturge-Weber Syndrome patients and clinical correlation. J Child Neurol 2007, 22(4): 479-83.
Correspondencia: Dr. Alfredo Cerisola Cardoso
Cátedra de Neuropediatría. Br. Artigas 1550.
Correo electrónico: cerisola@chasque.net













