Servicios Personalizados
Revista
Articulo
Links relacionados
Compartir
Archivos de Pediatría del Uruguay
versión On-line ISSN 1688-1249
Arch. Pediatr. Urug. vol.79 no.1 Montevideo 2008
CASO CLÍNICO
Arch Pediatr Urug 2008; 79(1)
Blastoma pleuropulmonar en un preescolar. Una causa poco frecuente de tumor pulmonar en el niño
Dres. Víctor Leonardo Raymondo Igune 1, Ana Karina Oliari Cetti 1, Lucia Gamio Traibel 1, Miguel Estevan 2
1. Residente de Radiología Pediátrica. Centro Hospitalario Pereira Rossell. Posgrado de Imagenología.
2. Prof. Agdo. de Radiología Pediátrica. Médico Radiólogo. Centro Hospitalario Pereira Rossell
Fecha recibido: 13 de noviembre 2007
Fecha aprobado: 10 de abril de 2008.
Resumen
Se presenta un caso de blastoma pleuropulmonar en un paciente de 3 años de edad, sin antecedentes patológicos, que consulta por una afección respiratoria que es interpretada como neumonía. La anatomía patológica muestra blastoma pleuropulmonar del niño, consistente en células de blastema anaplásico con marcada actividad mitótica, separados por estroma fibrovascular. Es un tumor maligno y agresivo.
Palabras clave:
BLASTOMA PULMONAR-diagnóstico
NEOPLASIAS PULMONARES-cirugía
PREESCOLAR
Summary
Pleuropulmonary blastoma is a rare and aggressive tumor which affects children at early ages. The case of a 3-year-old male patient that was diagnosed right lung pleuropulmonary blastoma. in our hospital is presented. Pediatricians and other specialists should have information about therapy and current trends on this kind cancer which lasts for a long time.
Key words:
PULMONARY BLASTOMA-diagnosis
LUNG NEOPLASMS-surgery
CHILD, PRESCHOOL
Introducción
El blastoma pleuropulmonar (BPP) es una rara variedad de tumor maligno y agresivo que puede originarse a partir de la pleura, pulmón y mediastino. Se presenta en pacientes menores de seis años de edad e infrecuentemente en adultos (1). Este tumor ha recibido numerosos nombres a lo largo de la historia. Fue descrito por primera vez por Barnard, en 1952, quien lo denominó inicialmente embrioma pulmonar, describió la presencia de elementos blastemales y mesenquimales como sus componentes y realizó un análisis genético de esta entidad. Consideró que el BPP era el equivalente pulmonar del nefroblastoma (2-5). Posteriormente Spencer, en 1961, planteó el origen del BPP en el blastema mesodérmico (4). En 1988 Manivel lo describe en niños como una entidad distinta de la forma clásica del adulto (5). Histológicamente muestra una mezcla de células blastemales primitivas y de células fusiformes sarcomatosas. No presenta componente epitelial maligno (6). Posteriormente, se identificaron las variantes: quística (tipo I), mixta (tipo II) y sólida (tipo III). Esta última variedad se muestra como la más agresiva (1,6). Se han descrito alrededor 100 casos en la literatura médica mundial, 50 de ellos en pediatría (24 niñas y 26 varones), de los cuales sólo 12 pacientes continuaban vivos en el momento de los reportes (7-12).
En la población adulta se localiza exclusivamente en el pulmón y en la infancia puede ubicarse, además, en pleura y mediastino (5). La patología se descubre incidentalmente en una radiografía de tórax, realizada por una enfermedad respiratoria.
La tomografía computada proporciona información sobre la extensión de la enfermedad y permite en oportunidades su clasificación. El tratamiento es inicialmente médico y posteriormente radioterápico y quirúrgico. El objetivo de la presentación es exponer el caso de un paciente portador de un blastoma pleuropulmonar, patología infrecuente.
Caso clínico
Preescolar de 3 años de edad, producto de segunda gestación, embarazo bien controlado y tolerado, ecografías prenatales normales. Sin antecedentes personales patológicos. Inmunizado. Buen crecimiento y desarrollo. El 27 de julio de 2004 consulta en centro de asistencia médica del interior del país, siendo ingresado por el médico pediatra con el diagnóstico clínico - radiográfico de neumonía de comienzo agudo, extensa, con compromiso pleural (figura 1). Se inicia tratamiento médico, recibiendo antibióticos de primera línea, con buena evolución clínica. Se otorga el alta.
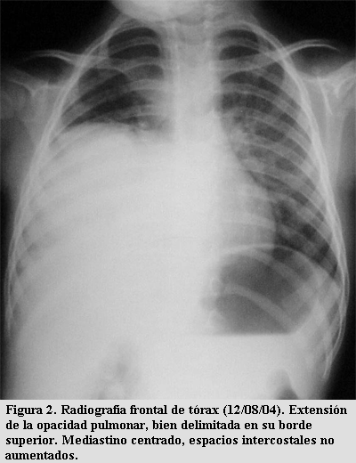
12 de agosto 2004. Consulta nuevamente por fatiga, se realiza nueva radiografía de tórax (figura 2), en la cual se observa extensa opacidad del hemitórax derecho, que es interpretada por el médico pediatra como neumonía extensa, con foco no resuelto. Se medica con vancomicina.
14 de agosto de 2004. Instala fiebre, por lo cual se agrega penicilina a la medicación. Del examen clínico se destaca: paciente pálido, febril, polipneico, febril (38,8ºC). Estertores húmedos en tercio inferior, axila y base del pulmón derecho. En el hemitórax izquierdo el murmullo alvéolo vesicular se encuentra conservado. El resto del examen no demuestra alteraciones. Debido a la mala evolución clínica, el paciente es derivado a un centro asistencial de Montevideo, donde se le solicitan nuevos estudios imagenológicos.
Radiografía de tórax (14 de agosto de 2004) (figura 3). En hemitórax derecho, en topografía del lóbulo medio e inferior, existe una opacidad con límites bien definidos, su diámetro mayor es de 11 cm en el eje cráneo caudal, su forma es redonda, con densidad de partes blandas, homogénea, sin broncograma aéreo. Proyectada sobre esta lesión, a nivel de su polo superior, existe una imagen de similares caracteres y menor tamaño. No posee significativo efecto de masa. No hay derrame pleural.
Ultrasonografía de tórax (14 de agosto de 2004) (figura 4): a nivel basal pulmonar y del seno costo diafragmático derecho se confirma la existencia de un proceso sólido, bien delimitado, de forma ovoidea y ecoestructura heterogénea. En su interior, se observan áreas de menor ecogenicidad que podrían corresponder a necrosis o degeneración quística. Presenta afecto de masa, deformando al hígado y al pulmón, de los cuales se separa con claridad. Se asocia a derrame pleural de tipo complejo, de escasa entidad. Eco Doppler: no demuestra vasos en su interior. Se sugiere descartar: patología malformativa (secuestro pulmonar, malformación adenomatoidea quística, quiste broncógeno); se descarta la equinococosis hidatídica pulmonar.
Tomografía computada (30 de agosto de 2004) (figuras 5 y 6): hemitórax derecho: presenta una tumoración fundamentalmente sólida, con áreas quísticas y/o necróticas, que sustituye al lóbulo inferior. La misma desplaza la carina y el bronquio fuente hacia delante y el hígado caudalmente. Existe un pequeño derrame pleural ipsilateral. No hay adenomegalias mediastinales ni abdominales. Hígado de densidad homogénea, sin secundarismo. Bazo, páncreas y riñones sin particularidades.
Se decide realizar biopsia de la tumoración y colocación de porta cath. Ingresa a Centro de Tratamiento Intensivo en el postoperatorio inmediato. Se inicia quimioterapia.
Anatomía patológica
09 de setiembre de 2004. Macroscopía: fragmento tisular que mide 3 cm por 2 cm por 1 cm, con aspecto de carne de pescado, blanquecino. Además, existe un fragmento pulmonar, con forma de cuña, que mide 1,5 cm por 1,5 cm por 0,8 cm.
Microscopía: secciones correspondientes a neoformación constituida por células de blastema anaplásico con marcada actividad mitótica, separados por estroma fibrovascular. Se observan numerosas células multinucleadas, gigantes, en áreas mesenquimales laxas. Conclusión: blastoma pleuropulmonar del niño.
Discusión
La incidencia de esta enfermedad es baja, planteándose otras enfermedades habituales y realizando tratamiento que no son los indicados. La falta de respuesta a la terapéutica específica para determinados planteos diagnósticos y la prolongación de la afección, obligan al replanteo diagnóstico y/o la interconsulta, llegando, de ser necesario, a la obtención de material adecuado para el análisis histopatológico, que será definitivamente el que permitirá llegar al diagnóstico.
En el caso presentado, la imagenología fue mal interpretada, postergando el diagnóstico y el tratamiento idóneo.
Los blastomas pulmonares son tumores raros, esta entidad difiere en muchos aspectos del clásico BPP del adulto. Posee las características blastomatosas esenciales de las neoplasias disontogénicas; histología embrionaria mesenquimal que recuerda al tumor de Wilms, neuroblastoma, hepatoblastoma y el rabdomiosarcoma embrionario.
La edad media en el momento del diagnóstico es de 32 meses. (13) aunque otros autores (6) refieren que aparece exclusivamente en niños menores de seis años. Clínicamente pueden ser asintomáticos, aunque suelen manifestarse por dolor torácico, tos y fiebre en ocasiones (13).
Se dividen en tres grupos bien diferenciados (5):
- Blastoma pulmonar clásico.
- Adenocarcinoma fetal bien diferenciado.
- Blastoma pleuropulmonar.
1) El blastoma pleuropulmonar clásico es análogo a otros tumores disontogénicos como nefroblastoma, hepatoblastoma, neuroblastoma y rabdomiosarcoma embrionario.
Los blastomas pleuropulmonares están constituidos por mesénquima embrionario maligno (blastemal) y por células fusiformes sarcomatosas (2,6,7,13).
Antígeno carcinoembrionario, alfa fetoproteína, antígeno de membrana epitelial así como las citoqueratinas resultan negativas, salvo en el componente epitelial benigno atrapado, que no forma parte de la neoplasia (1,6,7).
Presentan un amplio espectro morfológico, desde formas quísticas (blastomas quísticos), hasta sólidas (blastoma pleuropulmonar) (1,2,7). Dehner y sus colaboradores han propuesto una clasificación, que los divide en:
- Tipo I: formas quísticas.
- Tipo II: formas mixtas (sólido-quísticas).
- Tipo III: formas sólidas.
El BPP tipo I (formas quísticas) conlleva un mejor pronóstico que las otras dos formas (8,9). Cada vez se consolida más la idea de que se trata de la evolución natural del tumor desde el tipo I al III (1). Las formas quísticas (blastomas quísticos) son uni o multilobuladas y están revestidas por epitelio benigno alveolar o columnar ciliado, bajo el que aparece el mesénquima blástico. Estas formas se pueden desarrollar sobre malformaciones adenomatoides quísticas congénitas o quistes broncogénicos (1,7,14).
El BPP tipo III corresponde a las formas sólidas (blastomas pleuro pulmonares) son masas multinodulares, de mesénquima embrionario (blástico) maligno, puede afectar tanto a los pulmones como a la pleura y el mediastino. El pronóstico es malo, siendo peor en las formas sólidas que en las quísticas, con una supervivencia del 25% al 50% (1,6,7).
La mayoría de los casos de BPP han sido hallados de forma incidental, generalmente mediante un estudio radiográfico. El estudio ultrasonográfico del tumor permite identificar las variantes quística, mixta y sólida (1,10,13).
El sexo masculino es el más afectado y la variedad mixta es la más frecuente (15-17).
El diagnóstico mediante el empleo de la citología aspirativa con aguja fina (CAAF) guiada bajo pantalla ha permitido el diagnóstico rápido en esta entidad (18,19).
El blastoma pleuro pulmonar es un tumor de difícil manejo por su tendencia a la recidiva local. Se han descrito metástasis distantes en hígado y encéfalo (20).
Desde el punto de vista imagenológico, ante la presencia de una imagen pulmonar persistente debe establecerse un algoritmo de estudio que no excluya los siguientes pasos: análisis detallado y comparativo de las secuencias radiográficas y siempre que sea posible con un médico imagenólogo.
En la radiografía de tórax la apariencia de los tumores malignos es inespecífica, pudiendo presentarse como un nódulo pulmonar o masa endobronquial (21) y como una masa grande, sólida, parenquimatosa o, menos frecuentemente, pleural (13).
La ultrasonografía de tórax permitirá conocer la estructura de la lesión (sólida, quística, con o sin calcificaciones), así como el compromiso pleural y hepático.
La tomografía computada y la resonancia magnética pueden mostrar las características sólido quísticas de la lesión (13), así como la posible cavitación y su asociación con quistes congénitos (21). Brindan buen rendimiento en la valoración delcompromiso pleural, permitiendo medir densidades hísticas así como la distribución vascular en la masa.
El pronóstico del blastoma pulmonar es malo, dependiendo del tamaño del tumor y las variantes histológicas (22). En el análisis citogenético se han detectado translocaciones entre los cromosomas 1 y X y trisomía del 8 y 12.
Los diferentes esquemas citostáticos incluyen múltiples drogas con el fin de que actúen en las diferentes etapas del ciclo celular y lograr así la muerte de la mayor cantidad posible de células malignas en cada ciclo. Las drogas más empleadas son la vincristina, ciclofosfamida, adriamicina, actinomicina D y cisplatino (23-26).
El tratamiento de elección es quirúrgico seguido de quimioterapia, tal como se está haciendo con este caso que permanece asintomático a los 4 meses de iniciado el tratamiento.
Conclusión
En esta historia clínica de un paciente de 3 años de edad, con una enfermedad pulmonar, la clínica no permitió llegar al diagnóstico de la enfermedad, siendo interpretada como una neumonía. Ante una imagen pulmonar que no cumple con los parámetros de neumonía, asociada a una mala evolución clínica se debe realizar consulta con médico radiólogo pediatra quien decidirá cual es el algoritmo imagenológico más adecuado.
Se presenta información sobre las conductas imagenológicas y las tendencias actuales ante un niño con cáncer de pulmón; la literatura concluye que la TC y la RM son los métodos que más rápidamente permiten aproximarse a un diagnóstico etiológico.
Referencias bibliográficas
1. Verdecia Cañizares C, Vilorio Barreras P, Silva Aguiar R, Portugués Díaz A. Blastoma pleuropulmonar en la infancia. Presentación de un caso de difícil manejo. Rev Cubana Pediatr 2004; 76 (2).
2. Bernard M, Bayani J, Grant R, Teshima I, Thorner P, Squire J. Use of multicolor spectral karyotyping in gewnetic analysis of pleuropulmonary blastoma. Pediatr Dev Pathol 2000; 3(5): 479-86.
3. Barnard WG. Embrioma of lung. Thorax 1952: 7: 299.
4. Spencer H. Pulmonary blastoma. J Pathol 1961; 82: 161.
5. Pino Alfonso PP, Gassiof Nuño C, Rodríguez Vázquez JC, Cuestas Mejías T, Barreto Alcoba Y. Blastoma pleuropulmonar. Presentación de un caso. Rev Cubana Med 1996; 35 (3): 209-11.
6. Elorriaga K, Elizalde J, López JI, Bilbao FJ. Blastoma pleuropulmonar. A propósito de un caso. Póster -E-004. Procedente del 4º Congreso Virtual Hispano Americano de Anatomía Patológica; 2001 may 1-jun 30; Burgos, España. Disponible en: http://conganat.unitet.edu
7. James R, Write JR. Pleuropulmonary blastoma. Cancer 2000; 88(12): 2853-58.
8. Fung CHL. Pulmonary blastoma. Cancer 1977; 39: 153.
9. Martínez JC, Pecero FC. Pulmonary blastoma. Report of a case. J Pediatr Surg 1978; 13: 93.
10. Indolfi P, Casale F, Carli M, Bisogno G, Ninfo V, Cacchetto G, et al. Pleuropulmonary blastoma. Cancer 2000; 89(6): 1396-401.
11. Hill A, Sadeghi S, Schultz MZ, Burr JS, Dehner LP. Pleuropulmonary blastoma, an initial case report. Cancer 1999; 85(11): 2368-74.
12. Priest JR, McDermot MB, Bhatia S, Walterson J, Manivel JC, Dehner LP. Pleuropulmonary blastoma: A clinicopathologic study of 50 cases. Cancer 1997; 80(1): 147-61.
13. Hedlund GL, Griscom NT, Cleveland RH, Kirks DR. Aparato respiratorio. En: Radiología Pediátrica. 3 ed. Madrid: Marban, 2000: 796.
14. Baraniya J, Desai S, Kane S, Kurkure P, Nair C, Deshpande R, et al. Pleuropulmonary blastoma. Med Pediatr Oncol 1999; 32(1): 52-6.
15. Reix P, LeVrey H, Parret M, Louis D, Bellon G. Pulmonary cystic images as a presentation of a pleuropulmonary blastoma. Arch Pediatr 2000; 7(3): 287-9.
16. Bonorachenet T, Khorassani M, Nachef MN, Khattab M, Alhamany Z, Barahiovi M. Pleuropulmonary blastoma. A propost of 4 cases. Rev Mal Respir 1999; 16(3): 390-4.
17. Baez Giangreco A, Afzal M, Hamedi MG, Antonious J. Pleuropulmonary blastoma, of the luna. Presentation as a posterior mediastinal mass: A case report. Pediatr Hematol Oncol 1997; 14(5): 475-85.
18. Nicholson SA, Hill DA, Foster KW, McAlister WH, Davila RM. Fine needle aspiration cytology of mesenchymal hamartoma of the chest wall. Diag Cytopathol 2000; 22(1): 33-8.
19. Drut R, Pollono D. Pleuropulmonary blastoma: Diagnosis by fine needle aspiration cytology. A case report. Diag Cytopathol 1998; 19(4): 303-5.
20. Gelven PL, Holpkin MA, Green CA, Harley RA, Wilson MM. Fine needle aspiration cytology of pleuropulmonary blastoma: A case report and review of the literature. Diag Cytopathol 1997; 16(4): 336-40.
21. Jiménez Fernández-Blanco JR, Vega García F. Neoplasias de pulmón y vías respiratorias. En: Diagnóstico por imagen. 2 ed. Madrid: Mc. Graw-Hill Interamericana, 1997: 582-3.
22. Yusuf U, Dufour D, Jenrette JM, Abboud MR, Laver J, Barredo J. Survival with combined modality therapy after intracerebral recurrence of pleuropulmonary blastoma. Med Pediatr Oncol 1998; 30(1): 63-6.
23. Pisterov-Gompaki K, Gompakis M, Trachana M, Kostopoulou E, Koliouskas DE. Bad risk childhood pleuropulmonary blastoma: Does chemotherapy help? Med Pediatr Oncol 1997; 29(3): 236-7.
24. Yang P, Hasegawa T, Hirose T. Pleuropulmonary blastoma: Fluorescence in situ hibridization analysis indicating trisomy 2. Am J Surg Pathol 1997; 21(7): 854-9.
25. Novak R, Daso S, Agamanolis D, Herold W, Malone J, Waterson J. Trimosmy 8 is a characteristic finding in pleuropulmonary blastoma. Pediatr Pathol Lab Med 1997; 17(1): 99-103.
26. Romeo C, Impellizeri P, Grosso M, Vitarelli E, Gentile C. Pleuropulmonary blastoma: Long term survival and literature review. Med Pediatr Oncol 1999; 33(4): 372-6.
Correspondencia: Dr. Miguel Estevan
Correo electrónico: miganges@adinet.com.uy














