Serviços Personalizados
Journal
Artigo
Links relacionados
Compartilhar
Archivos de Pediatría del Uruguay
versão On-line ISSN 1688-1249
Arch. Pediatr. Urug. vol.76 no.2 Montevideo jun. 2005
CASO CLÍNICO
Arch Pediatr Urug 2005; 76(2): 140-144
Nefroma mesoblástico congénito. Variante multiquística
DRES. ANTONIO LUSTEMBERG 1, CARMEN GUTIÉRREZ 2, MARINA CAGGIANI 3, FELIPE SCIVOLI 4
1. Ex Residente Clínica Pediátrica “C”.
2. Jefa Departamento de Anatomía Patológica del Centro Hospitalario Pereira Rossell.
3. Ex Profesora Adjunta de Pediatría. Nefróloga.
4. Ex Profesor Adjunto de Urología. Ex Profesor Adjunto de Cirugía Pediátrica.
Centro Hospitalario Pereira Rossell. Clínica Pediátrica “C”
Fecha recibido: 12 de mayo de 2005
Fecha aprobado: 13 de julio de 2005
Resumen
Se presenta un caso de Nefroma Mesoblástico Congénito (NMC) en un paciente de un año y cinco meses de edad que ingresa por un cuadro diarreico agudo, constatándose en el examen médico una tumoración abdominal. La ecografía y la tomografía computada de aparato urinario evidenciaron proceso expansivo renal multiquístico derecho.
Se realizó nefrectomía diagnosticándose, por el estudio anatomopatológico, nefroma mesoblástico congénito, variante celular a forma multiquística.
La evolución fue favorable no presentando evidencias de recidiva local ni metástasis luego de dos años y cuatro meses de seguimiento.
Se destaca la importancia del examen físico exhaustivo durante los controles pediátricos periódicos, lo que permite un diagnóstico temprano de las masas abdominales en el niño.
Palabras clave: NEFROMA MESOBLÁSTICO-congénito
NEOPLASMAS RENALES
Summary
We report a case of congenital mesoblastic nephroma (CMN) in a 17 months old boy who was attended for an acute diarrhea. The abdominal tumor was found during rutine phisical examination of the child. The ultrasonography and computed tomography performed showed a multicystic tumor of the right kidney. The patient underwent surgery for excition of the tumor. The pathologic report of the specimen was CMN cellular variant, multicystic type. The postoperative course was uneventfull. The patient had no evidence of recurrent desease at 2 years and 4 months of surgery.
We emphasize the value of the complete phisical examination performed by the pediatrician for the diagnosis of abdominal tumors in children.
Key words: NEPHROMA, MESOBLASTIC-congenital
KIDNEY NEOPLASMS
Introducción
El nefroma mesoblástico congénito (NMC) fue descripto como una entidad clínico-patológica diferente del tumor de Wilms por Bolande en el año 1967 (1). Las formas quísticas fueron ya reconocidas en las primeras descripciones (2). Es un tumor poco frecuente, con predilección por los primeros meses de vida, el 90% se diagnostican antes del primer año de vida, con una media de edad de dos meses (3). Si consideramos los tumores renales, el NMC es el tumor renal más frecuente en el feto y en el recién nacido, ocupando el segundo lugar dentro de los tumores sólidos del recién nacido después del teratoma sacrocoxígeo. Una forma de presentación es como hidrops fetal, siendo frecuente el antecedente de polihidramnios (4). La hipertensión hiperreninémica, la hipercalcemia y la falla cardíaca por shunt arteriovenoso son otras asociaciones reconocidas.
El NMC se encuentra entre los tumores congénitos que con mayor frecuencia se diagnostican por ecografía obstétrica (5). En la mayor parte de los casos es una neoplasia benigna. Raramente presenta recurrencia local o metástasis a distancia.
Presentamos el caso de un niño de un año y cinco meses, en el que se hizo diagnóstico debido al hallazgo de una masa abdominal en el flanco derecho.
Se destaca la importancia de realizar diagnóstico en la etapa prenatal de NMC porque éste puede provocar complicaciones que ponen en riesgo la vida del feto o del neonato.
Observación clínica
Niño de un año y cinco meses, sin antecedentes familiares a destacar, primera gestación, embarazo de captación tardía (cuarto mes), ocho controles, una ecografía obstétrica normal, bien tolerado. Parto eutócico vaginal a las 40 semanas. Peso al nacer 3.750 g, longitud 51 cm, perímetro craneano 37 cm, vigoroso, sin patología perinatal. Buen crecimiento y desarrollo. Incompletamente inmunizado. Antecedentes personales patológicos: bronquiolitis a los cinco meses, crisis broncobstructiva a los siete y nueve meses.
Consulta en el Hospital Regional de Salto por enfermedad diarreica aguda, constatándose al examen físico la presencia de una tumoración en flanco derecho.
La ecografía abdominal muestra sustitución del parénquima renal por proceso expansivo multiquístico, quistes de diámetro variable, diámetro transversal de 114 mm, por 92 mm, presentando las características de nefroma quístico multilocular. Se deriva al Centro Hospitalario Pereira Rossell (CHPR) para completar valoración y tratamiento.
Examen físico a su ingreso: peso 13.150 g (P95), talla 80 cm (P40), PC 49 cm (P80), reactivo, bien hidratado y perfundido, palidez cutáneo mucosa. A nivel abdominal: tumoración en flanco derecho cuyo límite superior se pierde bajo el reborde costal, polo inferior neto redondeado a nivel de flanco derecho a 2 cm de cresta ilíaca anterosuperior, superficie lisa, consistencia firme, indolora.
Pleuropulmonar: sin síndrome funcional respiratorio. Cardiovascular: ritmo regular 100 cpm, no soplos, pulsos femorales presentes y simétricos, presión arterial 100/60 mmHg (<P90), no edema de miembros inferiores, no ingurgitación yugular ni reflujo hepatoyugular.
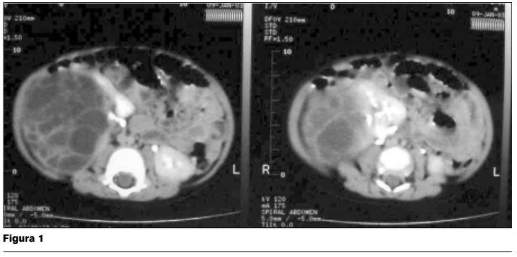
Tomografía abdominal evidencia imágenes compatibles con nefroma quístico multilocular (figura 1).
Centellograma con DMSA: riñón derecho con evidencia centellográfica de un extenso proceso sustitutivo que involucra los dos tercios superiores del parénquima renal, con una función renal diferencial de 68% para el riñón izquierdo y 32% para el riñón derecho. Hemograma: glóbulos blancos 14 300, linfocitos 53%, glóbulos rojos 4.820.000, hemoglobina 9,5 g/dl, hematocrito 30,4%, volumen corpuscular medio 63 fl, plaquetas 587.000 elementos/mm3. Lámina: anisocitosis, microcitosis, hipocromía.
Azoemia 0,22 mg/dl, Creatininemia 0,57 mg/dl.
Ionograma: sodio 143,9 meq/l, potasio 3,96 meq/l, calcio 1,24 meq/l.
Examen de orina: aspecto turbio, vogel 2, densidad 1020, reacción ácida, albúmina 0,28 g/l, hemoglobina +++, sedimento abundantes hematíes. Urocultivo estéril.
Cistoureterografía miccional retrógrada normal.
Durante su internación presentó controles vitales y cifras tensionales normales.
Se realizó nefrectomia derecha, con buena evolución postoperatoria.
Informe anatomopatológico: nefroma mesoblástico congénito variante celular a forma multiquística (figura 2).
Actualmente a dos años y cuatro meses de seguimiento ha tenido una buena evolución, controlándose en policlínica de nefrología del CHPR. Recibe tratamiento de nefroprotección con inhibidores de la enzima de conversión de la angiotensina (enalapril).
Última ecografía de control informa hipertrofia compensadora renal izquierda secundaria a su nefrectomía.
Tomografía de abdomen y pelvis sin evidencia de metástasis.
Discusión
En la actualidad, con el uso de la ecografía obstétrica el diagnóstico prenatal del NMC es realizado con mayor frecuencia. La ecografía permite descubrir una tumoración sólida dentro del riñón, con ecos de bajo nivel y concéntricos, lo que se ha llamado “signo del anillo”. En un elevado porcentaje de casos la presencia de NMC se asocia con polihidramnios. Es importante el diagnóstico prenatal de NMC, ya que éste puede provocar complicaciones que pueden poner en riesgo la vida del feto o del neonato. De las complicaciones reportadas en la literatura médica, destacamos la hemorragia tumoral debida a la obstrucción del retorno venoso renal por el crecimiento del tumor; pudiendo llegar a comprimir los grandes vasos abdominales, con posibilidad de insuficiencia circulatoria periférica secundaria (5).
Cuando se sospecha el diagnóstico de NMC, se recomienda trasladar a la madre a un centro de cuidados perinatales que cuente con el equipo médico y los medios adecuados para llevar adelante una observación estricta, y en caso de presentarse alguna de las complicaciones planteadas poder atenderlas en forma adecuada.
El control del polihidramnios es esencial para evitar el parto de pretérmino. Si bien se ha planteado que la indometacina podría reducir la liberación de orina su uso es controvertido por la posibilidad de cierre intrauterino del conducto arterial. El parto vaginal debe ser considerado inicialmente pero sí se constatan elementos de sufrimiento fetal debe realizarse una cesárea (6).
Nuestro paciente tuvo ocho controles prenatales, se realizó una ecografía obstétrica que fue normal según relato materno, (no contamos con informe escrito).
Durante su primer año de vida concurrió a controles pediátricos en forma regular, no constatándose la presencia de alteraciones a nivel abdominal, siendo que como citábamos anteriormente en el 90% de los casos el diagnóstico de NMC se realiza antes del primer año de vida con una media de edad de dos meses (3).
Dado el tamaño de la tumoración al momento de realizar el diagnóstico, inferimos que el mismo se realizó en forma tardía evidenciando una falla en la atención primaria.
Hacemos hincapié en el examen físico exhaustivo en los controles pediátricos, lo que permite un diagnóstico temprano de las masas abdominales en el niño.
Una vez constatada la tumoración abdominal a nivel de flanco derecho se realizó una ecografía, que evidenció sustitución del parénquima renal por proceso expansivo multiquístico.
Por la edad del paciente y con el informe ecográfico el primer planteo diagnóstico fue de nefroma quístico.
Otros planteos diagnósticos frente a un proceso expansivo renal multiquístico son: sarcoma de células claras a forma multiquística, tumor de Wilms (nefroblastoma) y más alejado displasia renal quística.
Una vez realizada la anatomía patológica se informa que el proceso tumoral corresponde a un nefroma mesoblástico congénito variante celular a forma multiquística.
El nefroma mesoblástico congénito es la neoplasia renal más común en neonatos y en lactantes menores de 3 meses de vida (5).
Desde el punto de vista anátomo-patológico se distinguen dos subtipos (5): el clásico y el celular. La variante clásica en el examen macroscópico es una tumoración voluminosa, de consistencia firme, de límites infiltrantes, que a la inspección ocular tiene el aspecto de un leiomioma uterino. En la microscopía se observan células alargadas (miofibroblastos) que infiltran el parénquima renal circundante atrapando túbulos y glomérulos en su crecimiento. Está caracterizada por baja celularidad, predominio de matriz y ausencia de atipías. La variante celular en el examen macroscópico es una tumoración de menor consistencia, con áreas quísticas y con bordes más circunscritos. En la histología está caracterizado por una alta celularidad, elevada relación núcleo/citoplasmática, frecuentes mitosis, atipías nucleares y áreas de necrosis.
Algunos tumores tienen un patrón histológico combinado, lo que ha llevado a admitir la llamada variante mixta del NMC.
El NMC multiquístico es una variante del nefroma mesoblástico celular, descripto por primera vez en 1981 (7). La presencia de quistes fueron ya reconocidos en las primeras publicaciones (2).
En la mayor parte de los casos el NMC es una neoplasia benigna. Raramente presenta recurrencia local o metástasis a distancia (pulmón, corazón, cerebro, hueso, hígado). Se ha relacionado los casos de recidivas locales y de metástasis con la resección incompleta de la lesión. Por esa razón el examen minucioso de la margen quirúrgica es un elemento importante para decidir el uso de tratamiento complementario (8,9). En general este comportamiento se ve en la variante celular o mixta, particularmente en pacientes mayores de tres meses de vida y en aquellos casos en los que la resección quirúrgica no fue completa, por lo que es importante un seguimiento cercano de este paciente.
Durante el período neonatal o en los primeros meses de vida, el NMC se puede presentar como una masa abdominal asintomática, menos frecuentemente con hematuria, hipertensión, anemia, ictericia o vómitos (7,9).
La hipertensión arterial en niños con NMC es debida a un incremento de la renina producida por el tumor. Luego de la resección tumoral hay normalización de los valores de renina así como descenso de la presión arterial (10).
Actualmente se sabe, gracias a los avances en el conocimiento de la ontogénesis del NMC, que la variante celular presenta la translocación t(12;15) (p13; q25), que tiene como resultado la fusión genética ETV6-NTKR3 descrita en el fibrosarcoma infantil (11,12).
Esta alteración puede ponerse en evidencia por la técnica de FISH en núcleo en interfase (13) o por la técnica de reacción en cadena de polimerasa revertida (RT-PCR) en material incluido en parafina (14). El NMC clásico no tiene esta translocación. Con respecto a la variante mixta, se considera que agrupan más de una entidad genética, porque algunos presentan la fusión descrita y otros no la tienen (14). Estos estudios vinculan a la forma celular del NMC con el fibrosarcoma infantil y a la forma clásica con la fibromatosis infantil. Ha habido reportes de concomitancia NMC celular con fibromatosis de partes blandas (15).
Se han reportado también aneuploidías en las variantes celular y mixta del NMC en el cromososma 11 (tri y tetrasomía), copias extras de los cromosomas 8 y 17, así como trisomía del cromosoma 20 y 22q, trisomía parcial de la parte distal del 11q y 1p y monosomía del cromosoma 4 (4qter-4p15) (16). No se han constatado estas alteraciones en la variante clásica del NMC.
El uso de las técnicas de identificación genética en material incluido en parafina constituye un valioso aporte para el diagnóstico diferencial del NMC. Otros tumores renales pueden causar problemas en el diagnóstico histológico (17-19).
El tratamiento de elección en el NMC es la nefrectomía, obteniéndose en general buenos resultados con un elevado porcentaje de curación. La recurrencia o la presencia de metástasis a distancia son muy raras y se han visto en casos de variante celular. En estos casos está indicada la terapia coadyuvante aunque los diferentes protocolos están en revisión. Los avances en el conocimiento de la ontogénesis del NMC seguramente aportarán nuevas opciones terapéuticas (20,21). La ecografía es usualmente el estudio de elección para el seguimiento de los pacientes que han sido nefrectomizados (6,22).
En este paciente los controles clínicos, ecográficos y tomográficos han sido normales luego de dos años y cuatro meses de seguimiento.
Destacamos la importancia del control periódico de estos pacientes sobre todo teniendo en cuenta que la forma celular tiene más riesgo de recidiva.
Citas bibliográficas
1. Bolande RP, Brough AJ, Izant RJ Jr. Congenital Mesoblastic Nephroma of Infancy. Pediatrics 1967; 40: 272-8.
2. Bolande RP. Congenital mesoblastic nephroma of infancy. Persp Ped Pathol 1973; 1: 227-50.
3. Beckwith JB. Renal tumors. En: Stocker JT y Askin FB (Ed.). Pathology of Solid Tumors in Children. Londres: Chapman & Hall, 1998: 1-24.
4. Isaacs H. Etiology and incidence. En: Tumors of the fetus and newborn. Major Problems in Pathology Series. Phliadelphia: WB Saunders, 1997: 1-14.
5. Isaacs H. Renal tumors. En: Tumors of the fetus and newborn. Major Problems in Pathology Series. Phliadelphia: WB Saunders, 1997: 244-77.
6. Matsamura M, Nishi T, Sasaki Y, Yamada R, Yamamoto H, Ohhama Y, et al. Prenatal diagnosis and strategy for congenital mesoblastic nephroma. J Pediatr Surg 1993; 28(12): 1607-9.
7. Ganick DJ, Gilbert EF, Beckwith JB, Kiviat N. Congenital cystic mesoblastic nephroma. Hum Pathol 1981; 12(11): 1039-43.
8. Howell CG, Othersen HB, Kiviat NE, Norkool P, Beckwith JB, D’Angio GJ. Therapy and outcome in 51 children with mesoblastic nephroma: a report of the National Wilms´Tumor Study. J Pediatr Surg 1982; 17: 826-31.
9. Patel Y, Mitchell CD, Hitchcock RJ. Use of sarcoma based chemotherapy in a case of congenital mesoblastic nephroma with liver metastasis. Urology 2003; 61(6): 1260.
10. Rodríguez García R, Palma Villegas P, Morales González JJ, Solís Daun O. Diagnóstico prenatal de nefroma mesoblástico congénito. Rev Mex Pediat 1996; 63(6): 275-8.
11. Knezevich SR, Garnett MJ, Pysher TJ, Beckwith JB, Grundy PE Sorensen PH. ETV6-NTRK3 gene fusions and trisomy 11 establish a histogenetic kink between mesoblastic nephroma and congenital fibrosarcoma. Cancer Res 1998; 58: 5046-8.
12. Bourgeois JM, Knezevich SR, Mathers JA, Sorensen PHB. Molecular detection of the ETV6-NTRK3 gene fusion differentiates congenital fibrosarcoma from other childhood spindle cell tumors. Am J Surg Pathol 2000; 24(7): 937-46.
13. Adem C, Gisselsson D, Cin PD, Nascimento AG. ETV6 rearrangements in patients with infantile fibrosarcomas and congenital mesoblastic nephromas by fluorescence in situ hybridization. Mod Pathol 2001; 14(12): 1246-51.
14. Argani P, Fritsch M, Kadokol SH, Schuster A, Beckwith JB, Perlman EJ. Detection of the ETV6-NTRK3 chimeric RNA of infantile fibrosarcoma/ cellular congenital mesoblastic nephroma in paraffin-embedded tissue: application to challenging pediatric renal stromal tumors. Mod Pathol 2000; 13(1): 29-36.
15. Guschmann M, Tonnies H, Buhrer C, Mau H, Vogel M. Myoid Differentiation in Mesoblastic Nephroma: Clinicopathologic and Cytogenetic Findings of a Rare Case. J Pediatr Surg 2002; 37(8): 1-6.
16. Ramachandran C, Melnick SJ, Escalon E, Khatib Z, Jhabvala P, Fonseca HB, at al. Cytogenetic and molecular characterization of a congenital mesoblastic nephroma. Pediatr Dev Pathol 2001; 4(4): 402-11.
17. Argani P, Beckwith JB. Metanephric stromal tumor. Am J Surg Pathol 2000; 24(7): 917-26.
18. Arroyo MR, Green DM, Perlman E, Beckwith JB, Argani P. The spectrum of metanephric adenofibroma and related lesions. A clinicopathologic study of 25 cases from the National Wilms Tumor Study Group Pathology Center. Am J Surg Pathol 2001; 25(4): 433-44.
19. Argani P, Perlman EJ, Breslow NE, Browning NG, Green DM, D’Angio GJ, et al. Clear cell sarcoma of the kidney. A review of 351 cases from the National Wilms Tumor Study Group Pathology Center. Am J Surg Pathol 2000; 24(1)4-18.
20. Loeb DM, Hill DA, Dome JS. Complete response of recurrent cellular congenital mesoblastic nephroma to chemotherapy. J Pediatr Hematol Oncol 2002; 24(6): 478-81.
21. Brownlee NA, Hazen-Martin DJ, Garvin J, Re GG. Functional and gene expression analysis of the p53 signaling pathway in clear cell sarcoma of the kidney and congenital mesoblastic nephroma. Pediatr Dev Pathol 2002; 5(3): 257-68.
22. Herman TE, Siegel MJ. Special Imaging Casebook. J Perinatol 2000; 3: 198-200.
Correspondencia: Dr. Antonio Lustemberg Giassanti
Avda. Italia 2533, Torre IV, Apto 1001. Montevideo. Uruguay.
E-mail: lustemberg@hotmail.com













