Services on Demand
Journal
Article
Related links
Share
Archivos de Pediatría del Uruguay
On-line version ISSN 1688-1249
Arch. Pediatr. Urug. vol.74 no.4 Montevideo Dec. 2003
Haga su diagnóstico
DRES. GABRIELA BELLINZONA 1, VERóNICA ORSI 2, CéSAR CASTILLO 3
1. Pediatra .Prof. Adj. Clínica Pediátrica “C”.
2. Pediatra . Ex Residente Clínica Pediátrica “C”.
3. Médico radiólogo. Asistente del Departamento de Radiología Pediátrica del Centro Hospitalario Pereira Rossell.
Clínica Pediátrica “C”. Prof. Dra. I. Rubio. Centro Hospitalario Pereira Rossell. Montevideo, Uruguay.
Fecha recibido: 17/ 11/ 03
Fecha aprobado: 16/ 12/ 03
Caso clínico
Niña de cuatro años, previamente sana, procedente de Durazno, medio sociocultural aceptable.
Ingresa al hospital hace tres meses con diagnóstico de neumonía de hemitórax derecho.
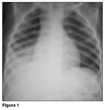
La radiografía de tórax al ingreso (figura 1) muestra diferencia volumétrica pulmonar, con pulmón izquierdo de mayor volumen y herniado contralateralmente (pulmonocele). El pulmón derecho presenta volumen reducido. Desplazamiento mediastinal hacia la derecha. En tercio inferior del pulmón derecho se superponen dos opacidades. Una compatible con atelectasia de segmentos basales del lóbulo inferior y otra opacidad de tipo parenquimatoso con aspecto de neumonía. Recibe ampicilina intravenosa durante 10 días. Durante toda la evolución en el hospital de Durazno presenta fatiga, tos nocturna y picos febriles aislados. Se otorga el alta a los 15 días de ingreso con una mejoría parcial, persistiendo con tos y fiebre ocasional.
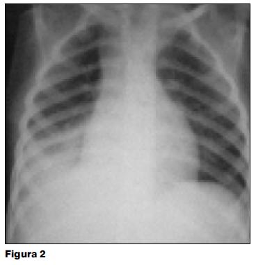
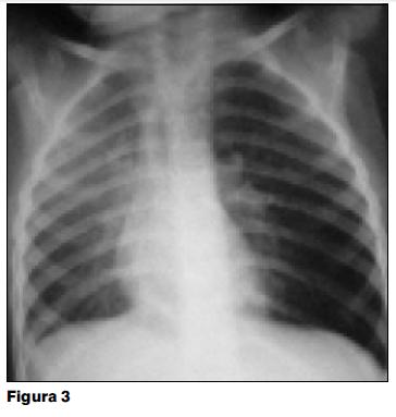
A los 8 días del alta reingresa por fiebre persistente. En la nueva radiografía persiste la consolidación parenquimatosa derecha y colapso total de los segmentos atelectasiados (figura 2). Durante esta internación presenta un acceso de tos cianozante, con crisis broncobstructiva severa. Este episodio, de breve duración, cede con oxigenoterapia y broncodilatadores. Al examen luego del episodio se destaca hipoventilación franca en la mitad inferior del hemotórax izquierdo. En la radiografía posterior a dicho episodio se observa hiperinsuflación del pulmón izquierdo con pulmonocele retroesternal y desplazamiento mediastinal contralateral, pulmón derecho sin imágenes de atelectasia ni consolidación parenquimatosa (figura 3).
Se realiza tratamiento broncodilatador y antibióticos V/O, y es dado de alta.
Posteriormente reinstala fatiga y fiebre, con reiteradas consultas y tratamientos ambulatorios con antibióticos. Dada la persistencia del cuadro y radiografías patológicas, la paciente es enviada para estudio al Centro Hospitalario Pereira Rossell (CHPR).
De examen al ingreso en el CHPR se destaca: niña lúcida, buen estado nutricional, temperatura axilar: 37ºC, frecuencia respiratoria: 50 cpm, tos irritativa y tiraje intercostal leve. Tórax asimétrico, a expensas de un aumento del diámetro del hemitórax izquierdo. Hipersonoridad y disminución del murmullo alvéolo vesicular a dicho nivel. Punta en quinto espacio intercostal, línea medio clavicular, ritmo regular 90 cpm, ruidos bien golpeados. Saturación de oxígeno al aire 94-95%.
Resto del examen normal.
¿Cuál es su diagnóstico?
¿Cuál/cuáles exámenes realizaría?
Comentario
Se trata de una niña previamente sana, con buen crecimiento y desarrollo. Presenta al inicio una neumonía y atelectasia del lóbulo inferior derecho persistente, a pesar del tratamiento antibiótico.
En la evolución agrega acceso de tos cianozante con crisis broncobstructiva severa (episodio asfíctico), cambios en la auscultación y nueva radiografía posterior a dicho episodio con hiperinsuflación compensadora en pulmón izquierdo y desaparición de los elementos presentes en el pulmón derecho.
¿Cuál puede ser la causa de esta evolución clínica y radiológica?
El diagnóstico es cuerpo extraño en la vía aérea, ya que es la única causa posible que determine esta evolución y los cambios radiológicos que se evidencian en la secuencia.
Ante esta sospecha diagnóstica se realizó una radioscopía de urgencia, que evidenció: aumento volumétrico del hemitórax izquierdo, hernia pulmonar mediastinal, desplazamiento y balanceo mediastinal con los movimientos respiratorios.
Con estos signos indirectos tan sugestivos se realizó una broncoscopía diagnóstica y terapéutica con broncoscopio rígido, que confirmó el diagnóstico.
Broncoscopía exploradora
Bronquio derecho y sus ramas libres. Bronquio fuente izquierdo en su extremidad distal, ocupado por cuerpo extraño de color verde liso y duro. Se logra extraer cuerpo extraño: juguete de material sintético cónico de 1 cm de largo por 0,5 cm de base. Se aspiran abundantes secreciones mucopurulentas que vienen del árbol bronquial izquierdo.
Se realiza interrogatorio dirigido a la madre, quien al ver el cuerpo extraño (CE) recuerda que aproximadamente un mes antes de la primera consulta, la niña jugaba con el juguete introduciéndolo en su nariz, y luego de una inspiración profunda presentó llanto intenso.
Discusión
La aspiración de CE en pediatría es un accidente prevenible, de alta morbimortalidad, la que se ha visto reducida por una mayor celeridad en el diagnóstico y en el tratamiento.
La incidencia de niños que ingresan en el CHPR es de 0,036% encontrándose 23 casos entre 1989-1996, con una letalidad de 4% (1).
Predomina en el sexo masculino (54%) (2-4) (68%) (5), y en menores de 5 años.
Los CE se clasifican en radioopacos (16,2%) (4), de sencillo diagnóstico radiológico, y radiolúcidos, que requieren la utilización de otras técnicas para su diagnóstico. En cuanto a su tipo, se clasifican en orgánicos (83%) (2) (maní, semillas, salchichas de Viena y vegetales) (1,2,4), que producen rápidamente una severa reacción inflamatoria, son de fácil fragmentación y aumentan de tamaño dentro del ambiente húmedo del bronquio dando síntomas tempranamente; e inorgánicos (20%) (2,6,) (piezas de juguetes, tapas de lapiceras, tachuelas, clavos y tornillos), que pueden permanecer silentes causando grandes lesiones con poca sintomatología, dado que tienen mayor tolerancia en el bronquio, como ocurrió en nuestro caso clínico
El síndrome de penetración, presente solamente en 40%, se expresa por sofocación de inicio agudo con o sin cianosis, acceso de tos y broncoespasmo. En aquellos pacientes en los que está presente existe paralelismo entre la presencia del mismo y la comprobación de la aspiración (1,7,8).
Ante un relato confiable debemos hacer una completa evaluación (9), ya que se confirma el diagnóstico en 83% de los casos (1).
En este caso no contamos con el relato de un síndrome de penetración (como ocurre frecuentemente), lo que dificultó el diagnóstico. El impacto del CE en el pulmón derecho determinó los cambios radiológicos iniciales.
Algunos CE tienden a migrar y trasladarse de un bronquio a otro, lo que probablemente ocurrió en esta niña y determinó la instalación del episodio asfíctico. El CE migró para alojarse en el pulmón izquierdo.
El retraso en la consulta luego del episodio aspirativo se asocia con un aumento en la incidencia de complicaciones infecciosas, por tanto es importante considerar el diagnóstico de aspiración de CE en niños con neumonías recurrentes o persistente sin causa aparente, sobre todo si coexiste neumonía con atelectasia.
En la evaluación del paciente en el que se sospecha aspiración de CE se debe realizar:
1) Radiografías de tórax frente y perfil, incluyendo cuello, en inspiración y espiración. Una radiografía normal no invalida el diagnóstico, 25 a 30% son normales (4,10). Dado que en general predominan los CE radiolúcidos es necesario conocer los signos indirectos. Los signos radiológicos indirectos son:
a) Atrapamiento aéreo u enfisema obstructivo 23% (7): el objeto produce un mecanismo valvular. Los alvéolos sobredistendidos dan una imagen de menor densidad, el corazón y el mediastino se desplazan alejándose del lado afecto, la hoja diafragmática homolateral está descendida, dando una imagen de pulmón con mayor tamaño e hiperclaro.
b) Atelectasias 41% (4), 10% (7) la presentación más frecuente (1,4) por oclusión completa del bronquio con absorción del aire de la porción distal del pulmón.
c) Neumonía 32,4% (4).
d) Desviación mediastinal.
e) Neumomediastino, neumotórax (11,12).
2) Radioscopía: estudio de imagen dinámico, no invasivo, de fácil realización y no requiere de la colaboración del paciente Debe ser realizado por técnico experimentado. Valora el movimiento del mediastino y del diafragma. En los CE no opacos esta técnica puede demostrar el mecanismo valvular con hiperinsuflación del segmento pulmonar afectado y desviación del mediastino hacia el lado contrario durante la espiración (13).
3) Broncoscopía, confirma el diagnóstico y principal gesto terapéutico. La extracción endoscópica de objetos intraluminales con broncoscopio es efectiva más de 95% de las veces (3). Esta técnica descendió la mortalidad aproximadamente de 50% a 1%, con taza de complicaciones menores de 1%.
Es importante coordinar el procedimiento con el endoscopista y anestesista con experiencia en el manejo de la vía aérea pediátrica.
Se recomienda el broncoscopio rígido o convencional (6,14)..Permite de esta manera que el paciente ventile espontáneamente durante el procedimiento proporcionando un área de trabajo mayor, variedad de fórceps y mejor exposición del CE. Se puede utilizar el fibrobroncoscopio en el niño mayor y en el adulto para diagnóstico y extracción de pequeños CE en la periferia del pulmón.
Prevención
La aspiración de cuerpo extraño es una entidad prevenible y el pediatra debe tener un rol fundamental en la prevención de este accidente.
Al enseñar a los padres la alimentación que debe recibir el niño, se deben evitar los productos prohibidos que ya hemos detallado, sobre todo en los niños menores de 5 años (1).
El gobierno de Estados Unidos ha reglamentado una medida estándar para las partes pequeñas de los juguetes. Se exige que los juguetes para los niños menores de tres años tengan como mínimo un diámetro de 3 cm. Requiere que los fabricantes marquen claramente las etiquetas de sus productos cuando contengan estas piezas y proponen que el material de los juguetes sea radioopaco (1,3,5).
Los pediatras deberían promover la enseñanza de maniobras de primeros auxilios, como por ejemplo la maniobra de Hemlich, a los cuidadores y en guarderías (13,14).
Por último se debe tener presente este diagnóstico ante la presencia de neumonías recurrentes o persistentes, y en episodios de broncoobstrucción sin otra causa que los expliquen sobre todo en los niños más pequeños y aun en ausencia del episodio asfíctico.
Bibliografía
1. Schol M, Prego J, de Leonardis D. Aspiración de cuerpos extraños en niños. Arch Pediatr Urug 1999; 70(2): 53-64.
2. Metrangolo BS, Manetti C, Menneghini N. Eight years experience with foreign body aspiration in children: What is really important for a timely diagnosis? J Pediatr Surg 1999; 34(8): 1229-31.
3. Joshua D, Rovin MD, Bradley M, Rodgers MD. Aspiración de cuerpos extraños en la niñez. Pediatr Rev 2000; 21(10): 375-9.
4. Cataneo A, Marek S, Lopez Ruiz R, Fleisher G. Foreign body in the tracheobronchial tree. Clin Pediatr 1997; 36: 701-6.
5. Fernández C, Gutiérrez V, Álvarez V, Peláez D. Broncoaspiración de cuerpos extraños en la infancia. Revisión de 210 casos. An Esp Pediatr 2000; 53: 335-8.
6. Orsi S, Vega D, Mesa E, Pomi JC, Marta H. Broncoextracción en pediatría. Instrumento convencional y de fibra, en relación con edad del niño y naturaleza del cuerpo extraño. Arch Pediatr Urug 1987; 58(1): 11-24.
7. Martin AJ, Ramos A, Martin A, Diego M. Estudio epidemiológico de la aspiración de cuerpo extraño traqueobronquiales en nuestro medio. Rev Esp Pediatr 1993; 49(2): 132-6.
8. Cotton RT. Foreign body aspiration. En: Chernick V, Boat TF, Kendig EL. Kendig’s disorders of the respiratory tract in children. 6th ed. Philadelfia: Saunders, 1998: 601-7.
9. Taquiosi A. Ingestión y/o aspiración de cuerpos extraños (motivo de consulta), estudio diagnóstico: presentación de un caso. Arch Pediatr Urug 1961; 32(2): 94-8.
10. López R, Hernández E, Gutiérrez D, Hernández A. La endoscopia en el diagnóstico y tratamiento de cuerpos extraños en vías aéreas y digestivas. Endoscopia 1998; 9(2): 51-68.
11. Valdovinos MC, Melando J, Ruiz F, Juan S. ¿Cuál es su diagnóstico? Niño de 2 años con dificultad respiratoria aguda. An Esp Pedatr 1998; 49: 641-2.
12. Newson TT, Parshuram C, Bercowitz R. Tension pneumothorax secondary to grass head aspiration. Pediatr Emerg Care 1998; 14(4): 287-9.
13. Blickman J. Radiología Pediátrica. Madrid: Mosby, 1995: 12.
14. Lauren D, Holinger M. Foreign bodies of the larynx trachea, and bronchi. En: Bluestone C, Stool S, Scheetz M. Pediatric otolaryngology. 2da ed. Philadelphia: WB Saunders, 1990: 1205-14.
Correspondencia: Dra. Gabriela Bellinzona
Orinoco 4932/401. Montevideo, Uruguay













