SciELO - Scientific Electronic Library Online

 
vol.39 issue1La imagen del médico. Una aproximación narrativaHigh output heart failure associated with arteriovenous fistula. Clinical case author indexsubject indexarticles search
Home Pagealphabetic serial listing  

Services on Demand

Journal

Article

Related links

Share


Revista Uruguaya de Cardiología

Print version ISSN 0797-0048On-line version ISSN 1688-0420

Rev.Urug.Cardiol. vol.39 no.1 Montevideo  2024  Epub Dec 01, 2024

https://doi.org/10.29277/cardio.39.1.2 

CARTA CIENTÍFICA

Cuando la genética estaba oculta. Miocardiopatía hipertrófica por variante MYBPC3 c.1102A>T (p.Lys368*) refractaria a manejo médico. Reporte de un caso

When genetics were hidden. Hypertrophic cardiomyopathy due to MYBPC3 c.1102A>T (p.Lys368*) variant refractory to medical management. Case report

Quando a genética estava oculta. Cardiomiopatia hipertrófica por variante MYBPC3 c.1102A>T (p.Lys368*) refractária à manejo médico. Reporte de um caso

Álvaro Daniel Patiño Moncayo1  2 
http://orcid.org/0009-0000-2440-2408

Jaime Andrés Nieto Zárate2 
http://orcid.org/0000-0002-7176-1080

1Fundación Universitaria Sanitas. Bogotá, Colombia. Correo electrónico: ad.patinomo@unisanitas.edu.co

2Clínica Universitaria Colombia. Bogotá, Colombia.


Resumen:

La miocardiopatía hipertrófica es cada vez más diagnosticada. Es una condición genética que genera hipertrofia miocárdica, fibrosis, isquemia y apoptosis con obstrucción del tracto de salida del ventrículo izquierdo. Puede generar síncope, falla cardíaca y muerte súbita. El tratamiento es farmacológico y se requiere cirugía si hay refractariedad. Se presenta un caso de miocardiopatía hipertrófica asociada a variante genética patogénica en un paciente no respondedor a manejo médico óptimo. La importancia de este artículo radica en lo determinante que es la genética para el abordaje diagnóstico y el establecimiento del origen y pronóstico de esta enfermedad.

Palabras clave: CARDIOMIOPATÍA HIPERTRÓFICA; ENFERMEDADES GENÉTICAS CONGÉNITAS; MANEJO DE LA ENFERMEDAD

Summary:

Hypertrophic cardiomyopathy is increasingly diagnosed. It is a genetic condition that leads to myocardial hypertrophy, fibrosis, ischemia, and apoptosis with obstruction of the left ventricular outflow tract. It can result in syncope, heart failure, and sudden death. Treatment is pharmacological, and surgery is required in cases of refractoriness. A case of hypertrophic cardiomyopathy associated with a pathogenic genetic variant is presented in a patient unresponsive to optimal medical management. The importance of this article lies in how crucial genetics is for the proper diagnostic approach and the establishment of the origin and prognosis of this disease.

Key words: CARDIOMYOPATHY HYPERTROPHIC; CONGENITAL DISORDER; DISEASE MANAGEMENT

Resumo:

A miocardiopatia hipertrófica está sendo diagnosticada cada vez mais. É uma condição genética que leva à hipertrofia miocárdica, fibrose, isquemia e apoptose com obstrução do trato de saída do ventrículo esquerdo. Pode resultar em síncope, insuficiência cardíaca e morte súbita. O tratamento é farmacológico e a cirurgia é necessária em casos de refratariedade. Apresenta-se um caso de miocardiopatia hipertrófica associada a uma variante genética patogênica em um paciente não responsivo ao manejo médico ótimo. A importância deste artigo reside na determinante genética para a abordagem diagnóstica adequada e para o estabelecimento da origem e prognóstico desta doença.

Palavras-chave: CARDIOMIOPATIA HIPERTRÓFICA; DOENÇAS GENÉTICAS INATAS; GERENCIAMENTO CLÍNICO

Introducción

Una de las causas de falla cardíaca y síncope es la miocardiopatía hipertrófica (MCH), una enfermedad cada vez más diagnosticada debido al avance en las técnicas de diagnóstico y la sospecha clínica. Se presenta un caso de variante genética patogénica refractaria al manejo médico convencional.

Caso clínico

Paciente masculino de 60 años con cuadro de dolor torácico y disnea (clase funcional NYHA III/IV). En 2005 se diagnosticó MCH asociada a variante MYBPC3 c.1102A>T (p. Lys368*) asociada con un codón de parada prematura con patrón de herencia autosómica dominante asociado con MCH tipo 4. Actualmente se encuentra en manejo con metoprolol succinato y desde 2007 usuario de cardiodesfibrilador para prevención primaria. Antecedentes: neuropatía de fibra pequeña en miembros inferiores y fibromialgia controladas. A la revisión por sistemas síncope a repetición, a pesar de adecuado funcionamiento del dispositivo y adherencia al tratamiento farmacológico. Examen físico: soplo sistólico grado III/VI en foco aórtico y mitral, resto sin alteraciones.

Electrocardiograma con ritmo sinusal, frecuencia cardíaca de 64 latidos por minuto, eje derecho y signos de sobrecarga sistólica en pared inferior compatibles con hipertrofia septal basal (figura 1). Troponina T 13,7 (normal hasta 14 ng/dL), resto de laboratorios normales.

Figura 1 Electrocardiograma con signos de sobrecarga sistólica del ventrículo izquierdo por hipertrofia septal. 

El ecocardiograma transtorácico mostró MCH septal con función sistólica preservada (fracción de eyección del ventrículo izquierdo -FEVI- 68%), disfunción diastólica tipo 2 con incremento en las presiones de llenado, severa dilatación auricular izquierda, esclerosis válvula mitral e insuficiencia leve a moderada; gradiente dinámico obstructivo hacia el tracto de salida del ventrículo izquierdo de 51 mmHg; esclerosis valvular aórtica con mínima insuficiencia, ventrículo derecho sin alteraciones y dispositivo en cavidades derechas bien posicionado (figura 2).

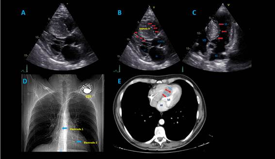
Figura 2. A-B-C:  Ecocardiograma transtorácico, en imágenes multidimensionales donde se evidencia clara hipertrofia septal evaluada en vista de eje largo y de 5 cámaras. D: Rx de tórax que confirma presencia de electrodos de cardiodesfibrilador. E: Tomografía de tórax que muestra severa hipertrofia septal con reducción de volumen ventricular izquierdo. 

El estudio Holter fue normal; cateterismo cardíaco sin lesiones significativas, con hallazgo incidental de puente muscular en tercio medio de la arteria descendente anterior y confirmación de hipertrofia septal asimétrica con gradiente de 83 mmHg en reposo. Telemetría de cardiodesfibrilador normal.

En junta médica se definió miectomía del septum interventricular, una vez descartado sustrato arrítmico y compromiso de fibra nerviosa pequeña de miembros inferiores como causa de pérdida del tono postural, procedimiento llevado a cabo sin complicaciones. En ecocardiograma posoperatorio hubo disminución significativa del grosor del septum interventricular y del componente obstructivo del tracto de salida del ventrículo izquierdo (figura 3). El paciente tuvo egreso hospitalario sin nueva documentación de síncopes.

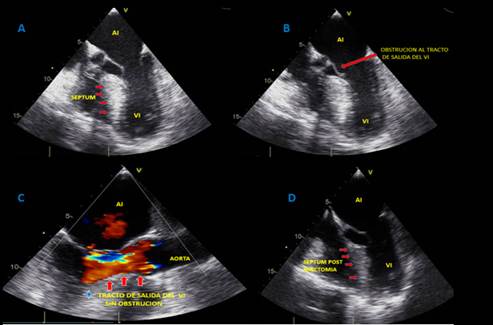
Figura 3. A-B:  Ecocardiograma transesofágico, en imágenes multidimensionales donde se evidencia hipertrofia septal en vista de esófago medio con obstrucción al tracto de salida y presencia de SAM (movimiento anterior septal de válvula mitral). C: Posoperatorio de miectomía septal que demuestra liberación de la obstrucción del tracto de salida del ventrículo izquierdo. D: Vista de corrección de hipertrofia septal con reducción septal ventricular izquierdo. 

Discusión

La MCH es la enfermedad genética cardíaca no sindrómica más frecuente, con transmisión autosómica dominante, sin diferencia entre sexos. Tiene una prevalencia de 1:200 a 1:500 en Estados Unidos, con un claro subdiagnóstico y subregistro1.

En Colombia, se estima una prevalencia de 2,3% y se relaciona con dolor torácico e insuficiencia mitral al momento del diagnóstico. No existe un registro que nos permita conocer la epidemiología local2.

Es causada por variantes genéticas de proteínas de la sarcómera que generan diversos grados de hipertrofia ventricular y fibrosis, lo que predispone a arritmias. Se han identificado 8 genes cuyas variantes son la cadena pesada de B-miosina (MYH7), alfatropomiosina (TPM1), troponina T cardíaca (TNNT2), proteína C ligadora de miosina cardíaca (MYBPC3), cadena ligera reguladora de miosina (MYL2), cadena ligera esencial de miosina (MYL3), troponina I cardíaca (TNNI3) y alfaactina cardíaca (ACTC1), los cuales pueden coexistir, asociándose a formas más severas1.

Variantes del gen MYBPC3 (como es el caso de nuestro paciente) se han asociado con aparición tardía y menor morbilidad3. En nuestro caso, se describió una variante probablemente patogénica que hasta el momento del estudio genético del paciente no se encontraba reportada y que podría asociarse con refractariedad. Esto puede consultarse en las bases de datos HGMD, ClinVar; de ahí la importancia de alimentar las bases de datos para una mejor interpretación.

La clínica es variable (hallazgo incidental, levemente sintomática o muerte súbita por sustrato arritmogénico mediado por fibrosis)4. Puede presentarse como falla cardíaca de predominio izquierdo con obstrucción al tracto de salida del ventrículo izquierdo (90% de pacientes con limitación funcional y refractariedad la tienen), con aumento en las presiones de llenado, regurgitación mitral, disfunción diastólica y disminución del flujo anterógrado que lleva a síncope, isquemia, disfunción microvascular, disminución de la reserva de flujo coronario y disfunción autonómica1.

El diagnóstico parte de la sospecha clínica, antecedentes y caracterización genética, se descartan primero otras causas de hipertrofia más frecuentes como la hipertensión arterial, la valvulopatía aórtica y enfermedades infiltrativas como amiloidosis5.

Es fundamental el estudio genético para definir un pronóstico, tomar decisiones más precisas y extender el estudio a familiares de primer grado6. La variante patogénica identificada en nuestro paciente se podría relacionar con formas más agresivas y refractarias al manejo, por lo que el equipo médico tuvo en cuenta este aspecto para la toma de decisiones con base en la clínica y la posible asociación entre el sustrato genético patogénico y la no respuesta al tratamiento.

En ecocardiograma, hay grosor de pared localizado o generalizado mayor de 15 mm, cuya medición es más precisa con contraste intracavitario, hipertrofia apical (diámetro mayor de 13 mm), aneurismas apicales y trombos. Es frecuente una relación de grosor septal a pared libre del ventrículo izquierdo (en diástole) mayor o igual a 1,3:1,0 y un gradiente del tracto de salida del ventrículo izquierdo mayor o igual a 30 mmHg (los síntomas son evidentes con gradiente mayor de 50 mmHg). Hay disminución del strain longitudinal y circunferencial reforzado por desacople de las fibras miocárdicas. La resonancia magnética permite una mejor caracterización tisular y descarta otras etiologías1.

En electrocardiograma se encuentran signos de hipertrofia ventricular izquierda, ondas Q patológicas no relacionadas con necrosis, ascenso o descenso del segmento ST e inversión de la onda T1.

El tratamiento se basa en betabloqueadores cardioselectivos o calcioantagonistas no dihidropiridínicos, disopiramida y diuréticos si no hay respuesta, teniendo precaución con el uso de IECA, ARA2 o calcioantagonistas dihidropiridínicos que pueden empeorar los síntomas por la obstrucción dinámica del tracto de salida del ventrículo izquierdo. La indicación de terapia de reducción septal (miectomía o ablación con alcohol) está supeditada a la clínica del paciente. Sin embargo, conocer la variante patogénica es importante, ya que puede asociarse a mala respuesta al tratamiento1.

Nuevas terapias como mavacamten (inhibidor de la ATPasa cardíaca que limita la formación de puentes cruzados de miosina-actina, lo que disminuye la contractilidad miocárdica) han mostrado impacto en la FEVI en casos de refractariedad, con FEVI mayor de 55%, clase funcional NYHA III/IV y bajo programas de estricto seguimiento basado en los resultados del ensayo EXPLORER-HCM. Sin embargo, se requieren estudios prospectivos que evalúen su real impacto en la morbilidad y mortalidad1.

Conclusión

La MCH es la enfermedad cardíaca genética más frecuente en el mundo y tiene una gran variabilidad clínica. Existen múltiples terapias farmacológicas y no farmacológicas, por lo cual es necesario el conocimiento de la variante genética patogénica, para realizar un abordaje multidisciplinario y personalizado para actuar tempranamente, en especial en casos de refractariedad como en el caso de nuestro paciente.

Consideraciones éticas

La obtención de la información clínica del paciente sujeto de este reporte de caso cuenta con consentimiento informado debidamente diligenciado que autoriza la publicación de su historial médico.

Bibliografía:

1. Ommen SR, Mital S, Burke MA, Day SM, Deswal A, Elliot P, et al. 2020 AHA/ACC guideline for the diagnosis and treatment of patients with hypertrophic cardiomyopathy: a report of the American college of cardiology/American heart association joint committee on clinical practice guidelines. Circulation. 2020 (consulta día mes 2023);142(25):e558-631. doi: 10.1161/CIR.0000000000000937 [ Links ]

2. Echavarría-Cross A, Pájaro-Franco LG, Naranjo-Restrepo S, Sánchez-Présiga D. Cardiomiopatía hipertrófica en fase de burnout. CES Med. 2021 oct. (consulta 4 Mar 2024); 35(3): 305-1. Disponible en: https://revistas.ces.edu.co/index.php/medicina/article/view/6244Links ]

3. Maron BJ, Desai MY, Nishimura RA, Spirito P, Rakowski H, Towbin JA, et al. Diagnosis and evaluation of hypertrophic cardiomyopathy. J Am Coll Cardiol. 2022 Feb. (consulta 4 Mar 2024);79(4):372-89. Disponible en: http://dx.doi.org/10.1016/j.jacc.2021.12.002 [ Links ]

4. Forero S, Moreno NL. Miocardiopatía hipertrófica septal, la gran simuladora. Arch Peru Cardiol Cir Cardiovasc. 2021 Dic.(consulta 4 Mar 2024];2(4):274-8. Disponible en: http://dx.doi.org/10.47487/apcyccv.v2i4.171 [ Links ]

5. Maron BJ. Clinical course and management of hypertrophic cardiomyopathy. N Engl J Med. 2018 Ago. (consulta 4 Mar 2024);379(7):655-68. http://dx.doi.org/10.1056/nejmra1710575 [ Links ]

6. Marian AJ, Braunwald E. Hypertrophic cardiomyopathy: Genetics, pathogenesis, clinical manifestations, diagnosis, and therapy. Circ Res. 2017 Set. (consulta 4 Mar 2024);121(7):749-70. Disponible en: http://dx.doi.org/10.1161/circresaha.117.311059 [ Links ]

Nota: Editores responsables: Dres. Ignacio Farro y Gerardo Soca.

Recibido: 21 de Noviembre de 2023; Aprobado: 06 de Febrero de 2024

Creative Commons License Este es un artículo publicado en acceso abierto bajo una licencia Creative Commons