SciELO - Scientific Electronic Library Online

 
vol.37 issue1Severe preeclampsia associated with acute fatty liver of pregnancyVentricular assist devices in post-infarction cardiogenic shock. Importance of hemodynamic support. Case report author indexsubject indexarticles search
Home Pagealphabetic serial listing  

Services on Demand

Journal

Article

Related links

Share


Revista Uruguaya de Cardiología

Print version ISSN 0797-0048On-line version ISSN 1688-0420

Rev.Urug.Cardiol. vol.37 no.1 Montevideo June 2022  Epub Oct 01, 2022

https://doi.org/10.29277/cardio.37.1.13 

Cartas científicas

Síncope por mixoma auricular: a propósito de un caso clínico

Syncope due to atrial myxoma: presentation of a clinical case

Síncope por mixoma atrial: a propósito de um caso clínico

1Residente de Cardiología. Cardiocentro, Asociación Española. Montevideo, Uruguay. Correo electrónico: gabrich08@hotmail.com


Resumen:

Las neoplasias cardíacas se dividen en tumores primarios y secundarios; estos últimos son 30 veces más frecuentes. La mayoría de las neoplasias cardíacas son benignas y dentro de este grupo destaca el mixoma auricular. La presentación clínica es muy variable en relación con su ubicación, tamaño y movilidad, y los hallazgos a nivel de las pruebas complementarias son inespecíficos. Dado que su historia natural muchas veces pasa inadvertida, el mixoma puede culminar en la obstrucción auriculoventricular, obstrucción del tracto de salida ventricular o incluso embolias sistémicas; de esta forma, es el causante de sintomatología severa como síncope, insuficiencia cardíaca y muerte súbita cardíaca. Su manifestación clínica como un síncope es bastante frecuente. Se expone el caso de un paciente de sexo masculino de 81 años que consultó en el servicio de urgencias por un síncope. Durante su valoración, se identificó el mixoma auricular como etiología de este.

Palabras clave: Mixoma auricular; Síncope; Tumores cardíacos

Abstract:

Cardiac neoplasms are divided into primary and secondary tumors, the latter are 30 times more frequent. Most are benign and within this group the atrial myxoma stands out. The clinical presentation is very variable in relation to its location, size and mobility, and the findings in the complementary tests are nonspecific. Since its natural history often goes unnoticed, the myxoma can culminate in atrial ventricular obstruction, ventricular outflow tract obstruction or even systemic embolism, causing severe symptoms such as syncope, heart failure and sudden cardiac death. Its clinical manifestation as syncope is quite common. The case of an 81-year-old male patient who consulted at the emergency department for syncope is presented, in which the atrial myxoma was subsequently identified as the etiology of the event during the further evaluation.

Key words: Atrial myxoma; Syncope; Cardiac tumors

Resumo:

As neoplasias cardíacas dividem-se em tumores primários e secundários, estes últimos são 30 vezes mais frequentes. A maioria são benignas e dentro deste grupo destaca-se o mixoma auricular. A apresentação clínica é muito variável em relação com sua localização, tamanho e mobilidade, e os achados a nível dos testes complementares são inespecíficos. Dado que a sua história natural muitas vezes passa despercebida, o mixoma pode culminar na obstrução aurículo-ventricular, obstrução do tracto de saída ventricular ou mesmo embolias sistémicas, sendo assim o causador de sintomatologia severa como síncope, insuficiência cardíaca e morte súbita cardíaca. Sua manifestação clínica como síncope é bastante comum. Apresenta-se o caso de um paciente de sexo masculino de 81 anos que consultou no serviço de urgências para um síncope. Durante a sua avaliação, se identificou mixoma auricular como etiologia deste.

Palavras chave: Mixoma auricular; Síncope; Tumores cardíacos

Introducción

Gran parte de las patologías de la esfera cardiovascular (CV) suponen un reto clínico diagnóstico y terapéutico, y bajo esa premisa, las masas cardíacas no son la excepción a la regla. Una vez detectada (muchas veces de forma incidental), resta por definir su etiología, y dentro de ese gran abanico de opciones, los tumores cardíacos son realmente un hallazgo inhabitual.

La mayoría de las neoplasias cardíacas corresponden a tumores primarios benignos, y dentro de este grupo lo más frecuente es el mixoma auricular1-3. Su presentación clínica es muy variable en relación con su ubicación, tamaño y movilidad, se puede manifestar como síncope, embolias sistémicas, insuficiencia cardíaca (IC) o incluso muerte súbita cardíaca (MSC)1,3.

Por otra parte, el síncope es una de las consultas más frecuentes en urgencias y en la mayoría de los casos su etiología es benigna. Sin embargo, se deben tener presentes aquellas causas poco frecuentes que acarrean un riesgo CV elevado, como son los tumores cardíacos.

A continuación, se detalla el caso clínico de un paciente de sexo masculino ingresado por un cuadro sincopal, en cuya valoración se logra arribar al diagnóstico de mixoma auricular izquierdo por métodos de imagen.

Reporte de caso

Paciente de sexo masculino de 81 años de edad, autoválido, con antecedentes personales de hipertensión arterial de larga data bajo tratamiento farmacológico con amlodipina, telmisartán e hidroclorotiazida, el cual cumple estrictamente, con adecuado control de cifras tensionales. Sin historia CV previa, se trata de un paciente que deambulaba y se movilizaba con excelente clase funcional.

Consulta en emergencia por un episodio de pérdida transitoria del conocimiento y del tono postural de forma brusca, al cambiar de posición de sedestación a bipedestación, de breve duración, sin pródromos, con recuperación rápida y completa sin sopor ni movimientos anormales, y sin pérdida del control de esfínteres. Previo al evento no presentó palpitaciones, dolor torácico o disnea, ni elementos del síndrome neurovegetativo. No hubo evidencia de sintomatología orientadora a focalidad neurológica. Como consecuencia del evento, presentó una caída de su altura con traumatismo encefalocraneano (TEC) causante de una lesión cortante en cuero cabelludo a nivel occipital, sin otras repercusiones.

Al ingreso el paciente se encontraba con buen estado general, lúcido, eupneico, con una saturación de oxígeno ventilando espontáneamente al aire de 97%, piel y mucosas normocoloreadas con evidencia de una lesión cortante en cuero cabelludo de 5 cm en sector parietooccipital derecho, paciente bien hidratado y perfundido. El examen CV no presentaba elementos a destacar, evidenciando a la auscultación un ritmo regular de 80 cpm, sin soplos, presión arterial 120/70 mmHg. Se objetivó la ausencia de elementos clínicos de IC. La exploración del polo psiconeuromuscular era completamente normal.

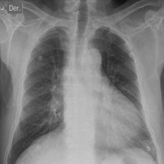
Se procedió, entonces, a realizar un electrocardiograma (ECG) (figura 1) que evidenciaba ritmo sinusal, bloqueo auriculoventricular (AV) de primer grado y bloqueo completo de rama izquierda. La radiografía de tórax (figura 2) mostraba un índice cardiotorácico aumentado, sin otras alteraciones a destacar. La analítica de laboratorio fue normal. Concomitantemente se solicitó una tomografía de cráneo que evidenciaba a nivel parietal derecho una imagen lineal hiperdensa en relación con hemorragia subaracnoidea (HSA) traumática.

Figura 1: Electrocardiograma al ingreso. Ritmo sinusal 75 cpm, sobrecarga auricular izquierda, bloqueo AV de primer grado con intervalo PR de 210 ms, eje eléctrico medio -30º, complejo QRS ancho de 140 ms con morfología de bloqueo completo de rama izquierda, trastornos de la repolarización secundarios al bloqueo de rama, intervalo QT corregido de 450 ms. 

Figura 2: Radiografía de tórax enfoque de frente. Se evidencia aumento del índice cardiotorácico sin otras alteraciones patológicas. 

Como parte de la valoración CV del episodio sincopal se decidió el ingreso del paciente para estudio, y se realizó en la internación un ecocardiograma transtorácico. Este evidenciaba un ventrículo izquierdo (VI) de dimensiones normales con función sistólica global y sectorial conservadas, una insuficiencia mitral leve y a destacar a nivel de la aurícula izquierda (AI) una gran masa de 33 x 24 mm con pedículo hacia el septum interauricular, móvil, que protruye al VI a través de la válvula mitral en sístole auricular, compatible con mixoma auricular.

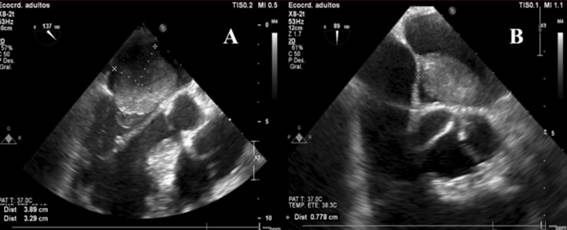
En dicho contexto es valorado por el equipo de cirugía cardíaca y se realiza resección quirúrgica urgente del mixoma con colocación de parche pericárdico a nivel auricular. El ecocardiograma transesofágico intraoperatorio (figura 3) constata la presencia del mixoma auricular y posteriormente confirma el buen resultado quirúrgico, habiéndose logrado extirpar la masa de forma satisfactoria (figura 4). En la evolución se solicitó Holter de 24 horas que informaba un registro ECG incambiado respecto al basal, sin evidencia de bloqueo AV de alto grado o completo. El paciente presentó buena evolución, se mantuvo estable hasta el momento del alta, sin reiterar episodios sincopales ni otra sintomatología de la esfera CV. Se otorgó el alta a domicilio luego de 7 días de posoperatorio.

Figura 3: Ecocardiograma transesofágico intraoperatorio. A) Proyección en eje largo esofágico medio a 137º. Se evidencia una gran masa de 39 x 33 mm, redondeada, de bordes irregulares, a nivel de la aurícula izquierda, que protruye al ventrículo izquierdo en diástole a través de la válvula mitral. B) Proyección en eje corto esofágico medio-superior a 89º. Se evidencia la masa intracardíaca ya mencionada, identificando claramente su pedículo con base de implantación de 8 mm de longitud en el septum interauricular. Las características descritas son compatibles con mixoma auricular. 

Figura 4: Macroscopía del mixoma auricular resecado. 

Discusión

Las neoplasias cardíacas se dividen en tumores primarios, cuya incidencia se estima en hasta un 0,03%, y en secundarios, los cuales son 30 veces más frecuentes con una incidencia que oscila entre 1,7 y 14%1-3. Más de un 75-80% de las neoplasias primarias son benignas, se destaca el mixoma como subtipo más frecuente (50%). Comúnmente se aloja en la AI y con menos frecuencia en cavidades derechas1.

A pesar de que puede detectarse a cualquier edad, su incidencia tiene un pico entre los 40 y 60 años, con una relación entre mujeres y hombres cercana a 3:11. La presentación clínica del mixoma es muy variable en relación con su ubicación, tamaño y movilidad, y los hallazgos a nivel de las pruebas complementarias son inespecíficos1,3. Dado que su historia natural muchas veces pasa inadvertida, el mixoma puede culminar en la obstrucción AV, obstrucción del tracto de salida ventricular o incluso en embolias sistémicas; así, es el causante de sintomatología severa como síncope, IC y MSC3. Debido al riesgo que implica todo lo anteriormente mencionado, el tratamiento de elección es la extirpación quirúrgica tan pronto como se realice el diagnóstico.

El síncope constituye el 1-3% de las consultas en urgencias y el 10% de los ingresos hospitalarios, y es sabido que las causas vasculares (hipotensión ortostática y síncope reflejo neuromediado) son la etiología más frecuente de los episodios4. Independientemente de esto y dada la importancia en términos de morbimortalidad, es crucial tener en mente el diagnóstico diferencial de las causas poco frecuentes del síncope, en especial aquellas de origen CV (arritmias y alteraciones estructurales). Dentro de las causas cardiogénicas, se han descrito diversos mecanismos para explicar el síncope en el paciente portador de mixoma auricular5, en este caso particular la obstrucción AV es la causante más probable del episodio.

La dificultad puede aparecer en aquellos pacientes que se presentan con cuadros clínicos de características poco claras de benignidad, y es allí donde entran en juego herramientas como el ECG y los distintos scores de valoración de riesgo. Dos de las escalas clásicas de riesgo utilizadas en el abordaje del síncope son el score de EGSYS y el de OESIL6. El primero valora la probabilidad de encontrarnos frente a un episodio de etiología cardiogénica, indagando la presencia de pródromos autonómicos, palpitaciones previas, factores precipitantes, ocurrencia en supino o durante el esfuerzo y presencia de enfermedad CV previa o alteraciones en el ECG. Por otro lado, el segundo score mencionado valora el riesgo de muerte CV a 12 meses según exista edad > 65 años, ausencia de pródromos, enfermedad CV previa y alteraciones en el ECG. Sin embargo, la última guía de práctica clínica de síncope de la Sociedad Europea de Cardiología4 recomienda un abordaje inicial basado en criterios y características de riesgo, adjudicando un nivel de evidencia IIb al uso de escalas y scores de valoración.

Aplicando los aspectos mencionados al caso planteado, vemos como la descripción clínica del episodio sincopal podría orientar en principio a una etiología ortostática de este. No obstante, una vez que comenzamos a analizar en mayor profundidad la situación, logramos definir con mayor precisión la situación a la cual nos enfrentábamos: un síncope sin pródromos, causante de un TEC con HSA, en un paciente de edad avanzada que presentaba alteraciones marcadas de la conducción eléctrica en el ECG. Por tanto, en dicho contexto y apoyándose en las escalas de riesgo, se decidió el ingreso del paciente para mayor estudio, lo que resultó en el diagnóstico y la rápida resolución de la etiología de base.

Conclusiones

Se ha detallado el caso clínico de un paciente que presentó un episodio sincopal con características clínicas y paraclínicas que incentivaban su ingreso hospitalario. Por tanto, se procedió a un estudio en profundidad del caso, se logró el diagnóstico y rápido tratamiento de una causa poco frecuente del síncope: el mixoma auricular.

El síncope engloba un gran abanico de formas de presentación y etiologías, desde episodios benignos sin gran relevancia, hasta aquellos que requieren intervenciones diagnósticas y terapéuticas a la brevedad por el riesgo CV que acarrean. En consecuencia, su abordaje puede resultar un verdadero reto.

Debemos tener presente que el mixoma auricular se manifiesta como síncope de forma bastante frecuente. Sin embargo, del total de episodios sincopales en el sector de urgencias, solo un porcentaje mínimo responden a una etiología cardiogénica, y dentro de estas, es aún menor el número de casos causados por tumores cardíacos. Independientemente de esto, el riesgo que implican estas entidades es elevado, por lo que siempre es importante considerarlas y tenerlas en cuenta como parte del abordaje diagnóstico.

Bibliografía:

1. Lenihan JD, Wamique Yusuf S, Shah A. Tumores que afectan al sistema cardiovascular. In: Braunwald’s Heart Disease: a textbook of cardiovascular medicine. 11th ed. 2020. p. 1866-71. [ Links ]

2. Aguirre HD, Posada-López AF, Fajardo LC, Castrillon-Velilla DM. Mixoma atrial: más que una neoplasia benigna. CES Med. 2015 Nov (consulta:12 Jul 2022); 12;(2): (aprox.6p.) Disponible en: https://revistas.ces.edu.co/index.php/medicina/article/view/3223 Links ]

3. Rottier Salguero R, Vega Ulate GA. Tumor primario del corazón más común: mixoma cardíaco. Rev Méd Cos Cen. 2012 (consulta:13 Jul 2022);(604):(aprox.6p.). Disponible en: https://www.medigraphic.com/cgi-bin/new/resumen.cgi?IDARTICULO=38295. [ Links ]

4. Brignole M, Moya A, de Lange FJ, Deharo J-C, M. Elliot PM, Fanciulli A, et al. Guía ESC 2018 sobre el diagnóstico y el tratamiento del síncope. Rev Esp Cardiol. 2018;71(10):837.e1-92. doi: 10.1016/j.recesp.2018.08.018 [ Links ]

5. Porrez Azpíroz JC, Ruiz Aranjuelo A, López Perales CR. Tres mecanismos para un síntoma: síncope por mixoma. Rev Clínica Española (Internet). 2018 Jun-Jul (consulta 15 Jul 2022);(5):(aprox.1p.). Disponible en: https://doi.org/10.1016/j.rce.2018.02.008. [ Links ]

6. Silva Diazgranados EL, Benito MD, Camacho Ramos CA, Gilón Córdoba LF, Arcos LC, Méndez Toro A, et al. Caracterización clínica de los pacientes con síncope. Rev Colomb Cardiol. (Internet). 2017 Ago (consulta: 15 Jul 2022);24(5):(aprox.12p.). Disponible en: http://dx.doi.org/10.1016/j.rccar.2017.05.017Links ]

1El autor declara no tener conflictos de interés

2Editor responsable: Dra. Sofía Noria

Recibido: 30 de Enero de 2021; Aprobado: 18 de Abril de 2021

Creative Commons License Este es un artículo publicado en acceso abierto bajo una licencia Creative Commons