Sr. Editor:
Introducción
La endocarditis infecciosa es una patología con una alta mortalidad. En la actualidad, se estima que por lo menos el 50% de los pacientes que la padecen requerirán cirugía. Para la endocarditis infecciosa en posición mitral, la reparación valvular en lugar de su sustitución ha ido ganando terreno en los últimos años por los innegables beneficios del mantenimiento del aparato subvalvular sobre la geometría y función ventricular izquierda.
Caso clínico
Se presenta el caso de un hombre de 43 años, trabajador rural, sin antecedentes personales a destacar. Sin hábitos tóxicos.
Ingresa por fiebre de hasta 40 °C de 48 horas de evolución, acompañada de chuchos de frío, diaforesis, mialgias, artralgias y astenia. Se presenta completamente asintomático desde el punto de vista cardiorrespiratorio.
En el examen físico se encontraba lúcido, sin elementos de focalidad neurológica. Presentaba una lesión cortante de 20 mm de largo a nivel de la articulación de la rodilla derecha. En planta de miembro inferior izquierdo se observaban petequias, así como lesiones maculares purpúricas indoloras de mayor tamaño (figura 1). En lo cardiovascular, se destacaba un choque de punta desplazado y descendido, un ritmo regular de 95 cpm y un soplo sistólico de intensidad 4/6 con máxima auscultación en foco mitral irradiado a base, axila y cara posterior de hemitórax izquierdo. No presentaba elementos clínicos de insuficiencia cardíaca.

Figura 1: Se observan lesiones maculares purpúricas (flechas continuas) así como una lesión petequial (flecha punteada) a nivel del primer dedo.
El electrocardiograma y la radiografía de tórax al ingreso eran normales. En cuanto a los exámenes de laboratorio, se destacaba una leucocitosis de 14.700/μL a predominio neutrofílico, una VES de 82 mm y una PCR de 69 mg/dl. Los dos hemocultivos extraídos al ingreso desarrollaron colonias de Staphylococcus aureus meticilino sensible.
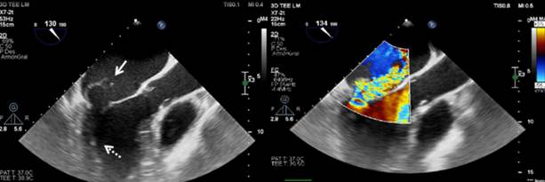
Se realiza un ecocardiograma transtorácico en el que se observan cavidades izquierdas dilatadas, función sistólica conservada con FEVI de 65% y una imagen sugestiva de vegetación a nivel de válvula mitral que presentaba insuficiencia severa. Posteriormente, se realiza un ecocardiograma transesofágico (figura 2) que evidenció una válvula mitral con anillo de 47 mm donde se observaba flail a nivel de festones P2 y P3 con rotura cordal e insuficiencia severa y una masa de 10 mm × 7 mm, algodonosa, móvil, adherida al aparato cordal del músculo posterolateral. Con estos hallazgos, se inicia tratamiento antibiótico por vía parenteral con base en cefazolina.

Figura 2: A. Ecocardiograma transesofágico a nivel de esófago medio. El eje largo del tracto de salida del ventrículo izquierdo está dilatado. La flecha continua indica flail de la valva menor de la válvula mitral. Se puede apreciar pequeña vegetación a nivel del aparato subvalvular (flecha punteada). B. Doppler color en el que se observa un jet de insuficiencia mitral severa excéntrica que ocupa gran parte de la aurícula izquierda que se encuentra dilatada.
Durante el ingreso, el paciente presentó dolor y fotofobia a nivel de ojo izquierdo. Al momento del examen físico, se destacaba hiperemia a dicho nivel, así como intenso dolor a la compresión. Valorado por equipo de oftalmología, se realiza el diagnóstico de endoftalmitis endógena con franca mejoría con el tratamiento tópico con corticoides.
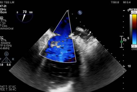
Con diagnóstico positivo de endocarditis infecciosa sobre válvula nativa mitral a S. aureus con insuficiencia mitral severa, se decide continuar con tratamiento quirúrgico. En la exploración intraoperatoria se observó una válvula mitral con degeneración mixomatosa del velo posterior y con rotura de varias cuerdas a nivel de festones P2 y P3. Se constató una pequeña vegetación a nivel de sitio de inserción de cuerda tendínea sobre músculo papilar posterior. Se llevó a cabo una plastia valvular mitral con colocación de tres neocuerdas (Chord-X) desde el músculo papilar posteromedial al sitio de rotura cordal. Como luego de realizar dicha reparación la válvula permanecía insuficiente frente a las maniobras hidráulicas, se decidió realizar resección cuadrangular del segmento valvular insuficiente y reconstrucción de este. Se implantó, además, un anillo mitral semirrígido de 34 mm. El ecocardiograma transesofágico intraoperatorio evidenció una válvula mitral estable, normofuncionante, sin fugas y con gradientes anterógrados adecuados (figura 3). El paciente evolucionó de manera favorable, sin complicaciones. Se otorgó alta precoz y continuó con tratamiento antibiótico ambulatorio. El ecocardiograma transtorácico de control evidenció una plastia mitral exitosa, con reducción de las dimensiones diastólicas del ventrículo izquierdo.
Discusión
Se presenta el caso de un paciente joven con diagnóstico de endocarditis infecciosa definitiva a S. aureus según criterios de Duke modificados por presentar los dos criterios mayores: hemocultivos positivos para germen compatible y evidencia ecocardiográfica de afección endocárdica. Asimismo, se presentó con fiebre, fenómenos vasculares como petequias y lesiones maculares compatibles con lesiones de Janeway y con una complicación poco frecuente: endoftalmitis endógena. Esta última responde a un proceso infeccioso poco frecuente que involucra las cámaras anterior y posterior del ojo, de etiología bacteriana, producido por la diseminación hematógena de un microorganismo a partir de un foco extraocular con un pronóstico visual pobre, si no se trata de forma inmediata1.
Ante una endocarditis infecciosa a un germen de alta virulencia, insuficiencia valvular severa con rotura cordal, en conjunto con los fenómenos vasculares periféricos mencionados, la indicación quirúrgica es clara. En caso de sustituir la válvula se debería optar por una prótesis mecánica con el consiguiente régimen de anticoagulación de por vida. Sin embargo, el estilo de vida poco compatible con este determinó la elección de la reparación valvular. Esta última, si bien constituye un desafío técnico en el contexto de una infección endocárdica en curso, ha ido ganando terreno en los últimos años.
La decisión entre el reemplazo o reparación mitral tiene una importancia crucial y, para la enfermedad degenerativa, se recomienda la reparación siempre que esta sea posible. Como es sabido, la pérdida de la continuidad entre anillo-cuerda-músculo papilar interfiere en la geometría, el volumen y la función del ventrículo izquierdo de los pacientes sometidos a reemplazo valvular. Esta complicación no ocurre después de la reparación. Sin embargo, para la valvulopatía mitral en el contexto de endocarditis, la preferencia por la plastia no está tan establecida. Entre las limitaciones clásicas citadas para la elección de esta estrategia, se encuentran la mayor complejidad técnica que confiere la infección, como la destrucción valvular, friabilidad de los tejidos, así como los aspectos inherentes a la durabilidad de la reparación2.
En el año 1990 Dreyfus y colaboradores publicaron uno de los primeros estudios retrospectivos acerca de este tema, que incluyó 35 pacientes con reparación valvular mitral por endocarditis infecciosa. De los 35 pacientes, 33 tuvieron una sobrevida sin necesidad de reintervención y sin endocarditis recurrente, si bien el tiempo medio de seguimiento fue corto (30 meses). Este estudio propone un cambio en el paradigma del tratamiento quirúrgico en el contexto de la endocarditis infecciosa, alegando una menor necesidad de utilizar material protésico, lo cual confiere menor riesgo de endocarditis recurrente3.
En una revisión sistemática publicada en 2007, en la que se incluyeron 24 estudios con un total de 1.194 pacientes sometidos a cirugía mitral por endocarditis infecciosa, se evidenció que la mortalidad intrahospitalaria y a largo plazo fue significativamente menor después de la reparación de la válvula mitral, en comparación con el reemplazo de esta. Además, las tasas de reintervención tanto temprana como tardía, la endocarditis recurrente y los eventos cerebrovasculares fueron menores en los pacientes del grupo de reparación. Nuevamente, los autores hacen énfasis en las ventajas del uso de menos material protésico, ya que se asocia tanto a menor tasa de recurrencia, como a menor cantidad de eventos tromboembólicos o accidentes de la anticoagulación2.
Más recientemente, en el año 2017, se compararon los resultados clínicos en 1.970 pacientes con endocarditis infecciosa activa sometidos a reparación o reemplazo valvular mitral entre 1998 y 2010. Durante el período analizado, las tasas de ejecución de plastia mitral ascendieron del 10,7% al 19,4%. Los pacientes en los que se realizó plastia eran más jóvenes, con menos falla cardíaca e infecciones estafilocócicas. La mortalidad a 12 años de seguimiento, así como la tasa de recurrencia de endocarditis fue significativamente menor en el grupo sometido a plastia mitral, y no se encontraron diferencias estadísticamente significativas en la tasa de reintervención entre los dos grupos4.
En el año 2018, se publicaron los resultados a largo plazo de la cohorte de 192 pacientes sometidos a cirugía valvular mitral en el contexto de una endocarditis infecciosa entre 1991 y 2015. Tanto la mortalidad intrahospitalaria como a largo plazo fue significativamente menor en el grupo sometido a reparación valvular, sin diferencias en cuanto a tasas de reintervención. Los pacientes sometidos a sustitución valvular eran más añosos y con más comorbilidades, lo que podría explicar, al menos en parte, la mayor mortalidad observada en este grupo5.
Resultados similares fueron publicados por Tepsuwan y colaboradores en el año 2019 en un estudio retrospectivo unicéntrico en el que se incluyeron las intervenciones quirúrgicas sobre válvula mitral en el contexto de endocarditis infecciosa activa desde 2006 a 2017. Se observó que el reemplazo valvular mitral fue más frecuente en pacientes con insuficiencia cardíaca descompensada y en procedimientos combinados. A diferencia de los estudios mencionados, las tasas de supervivencia y de reintervención no presentaron diferencias estadísticamente significativas entre los grupos6.
Como se ha expuesto hasta el momento, es evidente la ausencia de ensayos clínicos controlados randomizados acerca de este tema. Los datos disponibles en la bibliografía provienen, en su gran mayoría, de estudios observacionales retrospectivos con un sesgo de selección difícil de ajustar, lo cual representa una gran limitación a la hora de establecer recomendaciones. No obstante, de acuerdo con lo publicado hasta la actualidad, y como es presentado en este caso, la plastia valvular mitral en la endocarditis infecciosa parecería ser una alternativa prometedora.















