Sr. Editor:
Introducción
La hernia hiatal es una entidad relativamente frecuente, caracterizada por el desplazamiento de la unión gastroesofágica, el estómago y/u otras vísceras abdominales hacia el mediastino. Aunque puede producir síntomas sugestivos de etiología cardiovascular, solo se han detectado pocos casos por su manifestación ecocardiográfica. Frente a la sospecha de una masa que comprime la AI debemos considerar la hernia hiatal como un diagnóstico válido y mediante técnicas sencillas complementarias del ecocardiograma o técnicas avanzadas, como la resonancia, se puede llegar a su diagnóstico y sus diferenciales(1). Presentamos el caso de una paciente con diagnóstico de masa en la AI durante largo tiempo que se la envía a RMC para esclarecer su etiología, evidenciándose un gran saco herniario con desplazamiento de esta, la cual corroboramos en el ecocardiograma de forma rápida y sencilla como describiremos.
Caso clínico
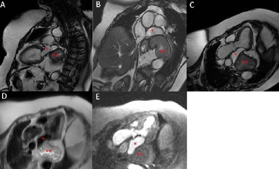
Paciente de sexo femenino de 67 años, con hábito pícnico (peso 90 kg, talla 150 cm) y antecedentes de hipertensión arterial en tratamiento con losartán 50 mg/día. Historia de meses de evolución de disnea de esfuerzo CF II sin causa clara. Historia de dispepsia y episodios de reflujo gastroesofágico. ECG en ritmo sinusal 78 cpm, QRS fino, sin alteraciones de la repolarización. Presentaba ecocardiogramas que eran similares desde hace tres años donde se informa una masa que comprime y/o desplaza la AI sin poder dilucidar con claridad su etiología, asociado a una mala ventana ultrasónica. Por esta razón es enviada por su médico tratante para realización de una RMC con el fin de esclarecer el diagnóstico. La resonancia informa ventrículo izquierdo con volúmenes de fin de diástole y fin de sístole normales, FEVI conservada y destaca la presencia de una masa extracardíaca en el sector posterior de la AI, que desplaza y comprime parcialmente a esta y la vena pulmonar inferior izquierda; por características morfológicas y caracterización tisular corresponde a estómago. En suma, gran hernia hiatal con desplazamiento y compresión parcial de AI y vena pulmonar inferior izquierda (figura 1).

Figura 1: Resonancia magnética cardíaca. A-B-C) Secuencias de cine donde se puede observar una masa extracardíaca en el sector posterior de la aurícula izquierda (*) que corresponde a la cavidad gástrica (**), compatible con hernia hiatal. D) Secuencia ponderada en T2. E) Secuencia de perfusión.
Luego, con este planteo se realiza un nuevo ecocardiograma Doppler con el fin de contar con una técnica de mayor accesibilidad para un eventual seguimiento cardiovascular. En este se constata una regular ventana ultrasónica y se evidencia una masa retroauricular en íntimo contacto con la aurícula izquierda y sobre pared inferolateral del ventrículo izquierdo de difícil caracterización (figura 2A). Contando con la información de la resonancia se completa el estudio ecocardiográfico y se le pide a la paciente que ingiera una bebida carbonatada en decúbito supino (en este caso, agua con gas, a modo de “contraste”). Se visualiza el pasaje de las microburbujas al interior de la masa (en este caso, el estómago), lo que permite confirmar el diagnóstico ecocardiográfico de hernia hiatal (figura 2B). Dados estos hallazgos en los estudios de multimodalidad de imagen cardiovascular, es enviada por su médico tratante a valoración por equipo de gastroenterología y cirugía para definir directivas del tratamiento a seguir.

Figura 2: Ecocardiograma doppler en vista apical eje largo. A) Se observa una masa anecoica en su interior que corresponde a una hernia hiatal (HH) en el sector posterior de la aurícula izquierda y pared inferolateral del ventrículo izquierdo. B) Luego de que la paciente ingiere una bebida carbonatada (agua con gas) se observa como las burbujas pasan al interior del estómago (**) lo que confirma la presencia de hernia hiatal mediante ecocardiografía.
Discusión
La hernia hiatal es una entidad relativamente frecuente, caracterizada por el desplazamiento de la unión gastroesofágica, el estómago y/u otras vísceras abdominales hacia el mediastino. La manifestación clínica más característica es el reflujo gastroesofágico, que se manifiesta a través de regurgitación y pirosis. Sin embargo, aunque menos frecuente, cuando es de gran tamaño puede manifestarse con síntomas de la esfera cardiovascular como disnea o dolor torácico, síncope, sobre todo posprandial y luego de una comida copiosa, así como arritmias y alteraciones electrocardiográficas secundarias a la compresión cardíaca, como se ha reportado en la literatura(2).
El diagnóstico de hernia hiatal puede ser a veces un gran desafío debido al cambio en la anatomía de la unión gastroesofágica durante la deglución, la respiración y el movimiento. Es obligatorio realizar una historia clínica y examen físico completos, ya que pueden revelar síntomas que antes no eran evidentes. Cuando una hernia hiatal es demasiado grande, el desplazamiento del contenido abdominal en la cavidad torácica puede causar compresión de la AI, que puede ser un hallazgo incidental durante un estudio ecocardiográfico. Si no se tiene alta sospecha, su diagnóstico por ecocardiografía puede pasar desapercibido.
El diagnóstico diferencial de una masa que invade la AI incluye la hernia de hiato, aneurismas de la aorta torácica descendente, carcinoma esofágico, diseminación de carcinoma broncogénico y otras masas mediastínicas posteriores. Se ha descrito que la hernia hiatal puede simular una masa intraauricular o una estructura mediastínica posterior en la ecocardiografía transtorácica. Nishimura y col.(3) en 1985 fueron los primeros en informarlo en imágenes ecocardiográficas bidimensionales(4).
La ingestión de bebidas gaseosas para el diagnóstico ecocardiográfico de hernia hiatal se ha informado ocasionalmente en la literatura(1). Algunos autores han reportado la utilidad de cócteles basados en la combinación de una bebida carbonatada mezclada con medio de contraste ecocardiográfico lo que permite la visualización de las burbujas en la víscera abdominal y una mejor delimitación de la hernia, confirmando el diagnóstico ecocardiográfico(5 ,6). En nuestra experiencia, la simple ingestión de una bebida carbonatada, como agua con gas, puede ser suficiente para dilucidar el diagnóstico ante la sospecha de hernia hiatal por ecocardiografía y técnicas de imagen más avanzadas, como la resonancia, pueden marcar el diagnóstico diferencial.
En cuanto al tratamiento de una hernia hiatal sintomática, el objetivo primario es reducir los síntomas de reflujo gastroesofágico comenzando por cambios en el estilo de vida como perder peso, elevar la cabecera de la cama, evitar acostarse inmediatamente después de una comida, eliminar alimentos desencadenantes como el alcohol, el café, el chocolate, las comidas picantes, etc. El tratamiento médico se basa, sobre todo, en inhibidores de la bomba de protones, antagonistas del receptor de histamina y antiácidos. El tratamiento quirúrgico, si bien depende del tipo de hernia, en general queda reservado para pacientes que persisten sintomáticos a pesar del tratamiento médico.
Conclusiones
La hernia hiatal se puede presentar tanto clínica como ecocardiográficamente, simulando una patología cardiovascular. Aunque el diagnóstico definitivo suele confirmarse mediante otras técnicas de imagen, existen hallazgos ecocardiográficos que orientan fuertemente al diagnóstico. Dada su facilidad técnica y disponibilidad, la ecocardiografía de contraste oral con una bebida carbonatada puede ser una herramienta de gran ayuda para aclarar el diagnóstico ante una masa en la AI de origen desconocido y sospecha de hernia hiatal.














