Sr. Editor:
Introducción
Los lipomas cardíacos son extremadamente raros, se encuentran con una frecuencia de 0,001% a 0,28% en necropsias y representan el 8,4% de todos los tumores cardíacos primarios, se localizan con mayor frecuencia en el ventrículo izquierdo o en la aurícula derecha1. Las neoplasias cardíacas más comunes son las metástasis de tumores primarios de mama y pulmón, seguidas de leucemias y linfomas, con una prevalencia 10 a 40 veces mayor que la de los tumores cardíacos primarios2.
Los lipomas cardíacos son encapsulados y consisten en masas de tejido adiposo de etiología desconocida, aunque se plantea el origen congénito dentro del grupo de disembriomas, o adquirido, coincidiendo con un inicio reciente de obesidad3. Generalmente son asintomáticos. Cuando aparecen signos y síntomas, se deben al efecto mecánico de compresión, dependiendo de su localización y tamaño, que puede alcanzar los dos tercios del volumen de un hemitórax3.
Caso clínico
Mujer, 80 años, granjera retirada, hipertensa, obesa y con insuficiencia cardíaca con fracción de eyección preservada. Refiere disnea de esfuerzo clase funcional (CF) III de la New York Heart Association (NYHA), comenzando hace tres meses, con empeoramiento progresivo, encontrándose actualmente en CF IV NYHA4. En tratamiento con furosemide 80 mg/día, carvedilol 25 mg/día, ácido acetilsalicílico 81 mg/día, simvastatina 20 mg/día, ranitidina 150 mg/día, clonazepam 2,5 mg/ml 5 gotas/día, diosmina + hisperidina 450/50 mg/día. Hace una semana presentó disnea de reposo y fue hospitalizada en su ciudad para tratamiento de insuficiencia cardíaca descompensada, sin éxito, por lo que fue derivada a nuestro servicio.
Se presenta con regular estado general, apirética, hipotensa (presión arterial 80/50 mmHg), frecuencia cardíaca (FC) 85 lpm y polipneica. Examen cardiovascular: ruidos hipofonéticos sin soplos; pulsos filiformes en extremidades, sin otros elementos a destacar.
Los exámenes complementarios iniciales mostraron marcadores de necrosis miocárdica normales (0,02 ng/ml de troponina I), TSH 2,36 mU/l, creatinina 1,4 mg/dl, alcalosis metabólica leve, hemoglobina 15,3 g/dl, leucocitos 12.560/mm³ y plaquetas 328.400/mm³.
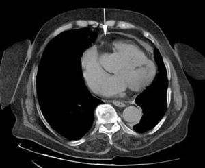
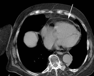
Se solicitó ecocardiografía transtorácica que mostró: fracción de eyección del ventrículo izquierdo (FEVI) 55%, ventrículo izquierdo con hipertrofia leve, hipoquinesia biventricular difusa, dilatación leve de aorta ascendente, aurícula izquierda moderadamente dilatada, engrosamiento pericárdico con probable derrame y colapso parcial de la aurícula derecha. Se solicitó tomografía de tórax (TC) sin contraste (figura 1) y (figura 2) que mostró una imagen típica de lipoma pericárdico, de 48 por 33 mm, que provocaba colapso de la aurícula derecha, considerándose la causa del taponamiento a baja presión. La angiografía coronaria no evidenció lesiones estenóticas significativas.
El caso fue evaluado por los equipos de cardiología clínica y cirugía cardíaca que optaron por continuar con tratamiento médico, considerando las comorbilidades y el alto riesgo quirúrgico. Se suspendió el furosemide y se realizó expansión de volumen con suero fisiológico al 0,9%.
Tres horas después del ingreso, la paciente se encontraba normotensa, eupneica y con mejoría significativa. Continúa en seguimiento ambulatorio con el tratamiento mencionado, sin diuréticos.
Discusión
Los lipomas cardíacos pueden presentarse en todas las edades y con igual frecuencia en ambos sexos5. Son tumores muy poco frecuentes, con características idénticas a otros lipomas, que pueden medir de 1 a 15 cm de diámetro, aunque hay informes de tumores gigantes de hasta 2 k de peso3,5. En cuanto a su histología, los lipomas se pueden dividir en dos grupos: con hipertrofia lipomatosa y lipomas verdaderos6.
Los lipomas cardíacos suelen ser silenciosos y bien tolerados, aunque pueden causar dolor, tos, disnea, arritmia, síncope, fatiga, ángor e incluso muerte súbita3,7).
La ecocardiografía, la TC y la resonancia magnética suelen tener un valor significativo para el diagnóstico de lipoma cardíaco8,9. Sin embargo, la ecocardiografía debe ser la prueba de elección debido a su bajo costo, fácil acceso y capacidad para determinar localización, forma, tamaño y presencia de flujo sanguíneo9. El ecocardiograma presenta 90% de sensibilidad y 95% de especificidad para el diagnóstico de tumores cardíacos8,9. Dado que la TC puede contribuir a identificar la presencia de grasa, también resulta útil en el diagnóstico de lipoma cardíaco9.
La presencia del tumor pericárdico puede determinar derrame pericárdico, pericarditis hemorrágica por fibrina y taponamiento cardíaco10. El taponamiento cardíaco a baja presión ocurre con una presión pericárdica relativamente baja que produce compresión cardíaca de perderse el gradiente transparietal, por ejemplo, si disminuye la precarga cardíaca11. Algunos estudios demuestran que 20,7% de los pacientes con taponamiento cardíaco a baja presión son asintomáticos y 48,3% tienen disnea al esfuerzo, no presentando una clínica específica11.
En pacientes con taponamiento cardíaco, se requiere pericardiocentesis como el tratamiento inicial de elección12. No existe consenso sobre el uso de fármacos inotrópicos porque la estimulación adrenérgica endógena ya existe13. La dobutamina reduce la resistencia sistémica, lo que aumenta la FEVI y la FC, así como la perfusión cardíaca14,15. El suero intravenoso y los vasopresores pueden ser utilizados para lograr la estabilización hemodinámica16.
La intervención quirúrgica suele ser la opción terapéutica; sin embargo, debido a la baja incidencia de la enfermedad, no existen pautas claras sobre el momento más adecuado para realizarla17. Se puede efectuar un seguimiento periódico para pacientes asintomáticos o directamente la intervención quirúrgica para aquellos con arritmias, insuficiencia cardíaca, secuelas tromboembólicas, o en los que no es posible descartar la malignidad del tumor17.
El uso de diuréticos de asa puede conducir a hipopotasemia, hipotensión y aumento de la mortalidad18.
Conclusión
El lipoma es una entidad rara entre los tumores cardíacos y presenta varias formas de presentación clínica, desde cuadros asintomáticos hasta muerte súbita. Se describió el caso de una mujer de 80 años que consultó en la sala de emergencia con cuadro de taponamiento cardíaco a baja presión causado por un lipoma pericárdico.















