Sra. Editora:
Introducción
La sarcoidosis cardíaca (SC) es una entidad infrecuente y relativamente desconocida. La granulomatosis suele afectar al septo basal, nodo auriculoventricular (AV), haz de His y áreas focales en la pared libre ventricular y músculos papilares. El paciente con sarcoidosis y compromiso cardíaco puede encontrarse asintomático desde el punto de vista cardiovascular, o bien presentar arritmias o insuficiencia cardíaca, o ambas. La muerte súbita y la insuficiencia cardíaca refractaria son las complicaciones más temidas. La sospecha clínica precoz de SC en pacientes con diagnóstico de sarcoidosis y también en los que presentan cardiopatía sin etiología definida es fundamental1. A pesar de que las series clásicas reportan 2%-5% de afectación cardíaca en la sarcoidosis sistémica, esta varía en las diferentes regiones geográficas, siendo más prevalente en algunos países, como Japón, y en general se reporta que podría encontrarse en el 70% de las autopsias de enfermos con sarcoidosis. Puede manifestarse como bloqueo cardíaco completo, arritmias ventriculares, insuficiencia cardíaca, derrame pericárdico, hipertensión arterial pulmonar y aneurismas ventriculares.
Las nuevas técnicas de imagen como la resonancia magnética cardíaca (RMC) y la tomografía por emisión de positrones/tomografía computarizada con 18F fluorodesoxiglucosa (PET/TC) suponen un gran avance para el diagnóstico y la evaluación pronóstica. Si el diagnóstico es precoz, la inmunosupresión y el tratamiento de las arritmias pueden detener la evolución de la enfermedad2.
Presentación de casos
Caso 1
Hombre de 62 años con marcapaso definitivo bicameral por bloqueo AV completo (BAV), que consulta hace siete años por repercusión general, tos escasa y adenopatías inguinales. Al examen físico se destaca: examen cardiovascular y respiratorio normales, adenopatías inguinales bilaterales que no forman conglomerados y esplenomegalia grado I. Radiografía de tórax: ensanchamiento mediastinal y nódulos pulmonares bilaterales. TC: micronódulos pulmonares, adenopatías hiliomediastinales, retroperitoneales, inguinales y esplenomegalia. Se realiza biopsia de adenopatías inguinales que diagnostica proceso granulomatoso no necrotizante constituido por granulomas de tipo sarcoide. Se plantea sarcoidosis estadio 2 radiológico con compromiso extrarrespiratorio, esplénico y adenomegalias extratorácicas. Espirometría y test de difusión de monóxido de carbono (DLCO): normales (capacidad vital forzada (CVF) 99%, DLCO 86%). Se indica prednisona durante seis meses con mejoría de síntomas y estabilidad imagenológica. Mantiene prednisona a dosis de 5 mg/día. Hace tres años agrega disnea de esfuerzo rápidamente progresiva y ángor de esfuerzo. Ecocardiograma: estenosis aórtica severa, área de 1 cm2, gradiente máximo de 50 mmHg; fracción de eyección del ventrículo izquierdo (FEVI) 30%. Ecoestrés con dobutamina: VI dilatado e hipertrófico, FEVI 20%, valvulopatía aórtica con severa estenosis con bajo gasto y reserva contráctil presente. Angiocoronariografía (CACG): estenosis severa de arteria descendente anterior (ADA) medial. Se realiza sustitución valvular aórtica con válvula biológica y revascularización de ADA.
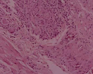
Durante la cirugía se realiza biopsia endomiocárdica y pulmonar que informa: proceso inflamatorio crónico granulomatoso sin necrosis, compatible con sarcoidosis a nivel pulmonar y cardíaco (figura 1) y (figura 2). Dado el compromiso cardíaco se indica metotrexate, con mala tolerancia digestiva, por lo cual se cambia a azatioprina 100 mg/día, tratamiento que recibe durante dos años. El paciente evoluciona asintomático, con estabilidad funcional respiratoria y cardiovascular a tres años del diagnóstico de SC.
Se indica PET/TC para control de compromiso cardíaco que informa ausencia de captación metabólica cardíaca. Se suspende azatioprina hace seis meses, con buena evolución.
Caso 2
Mujer de 35 años, consulta hace seis años por cuadro de tres meses de evolución dado por adenopatías cervicales, astenia y adelgazamiento. TC: nódulos pulmonares, engrosamiento intersticial bilateral y adenopatías cervicales, mediastinales, hiliares, abdominales, retroperitoneales e inguinales (figura 3) y (figura 4). Biopsia ganglionar cervical: proceso granulomatoso crónico no necrotizante compatible con sarcoidosis. Electrocardiograma (ECG) y ecocardiograma normales. Recibe prednisona durante 18 meses manteniendo estabilidad clínica, imagenológica y funcional respiratoria.

Figura 3: TC: micronódulos pulmonares bilaterales cisurales y subpleurales, engrosamiento intersticial.
Luego de tres años de realizado el diagnóstico, agrega disnea y palpitaciones; en ECG y Holter presenta taquicardia sinusal. Ecocardiograma normal. DLCO: 138%, CVF: 124%. Se solicita PET/TC por planteo de compromiso miocárdico. RMC no disponible.
El resultado del PET/TC informa: captación heterogénea y parcheada miocárdica compatible con sarcoidosis (figura 5).
Se inicia tratamiento inmunosupresor con metotrexate, evitando la realización de biopsia miocárdica. La evolución de la paciente ha sido favorable a tres años del diagnóstico de SC, sin evidencia de complicaciones cardíacas y con estabilidad respiratoria.
Discusión
La presentación clínica de la sarcoidosis es muy variada. El paciente puede ser asintomático y sospecharse el diagnóstico frente a una radiografía de tórax patológica, o bien presentar síntomas respiratorios, fundamentalmente tos seca y disnea, que orienten a enfermedad pulmonar y de cuyo estudio surja el diagnóstico de la enfermedad.
Las manifestaciones extrarrespiratorias de la sarcoidosis son variadas, pudiendo encontrarse eritema nodoso, síndrome poliadenomegálico, uveítis y nefrolitiasis cálcica, entre otras.
En cuanto al compromiso cardíaco, puede ser asintomático o manifestarse con palpitaciones, síncope, insuficiencia cardíaca y muerte súbita. Las manifestaciones clínicas de compromiso miocárdico están presentes en alrededor de 5% de los pacientes con sarcoidosis. La disnea puede deberse a numerosas causas, como compromiso intersticial y endobronquial, entre otras, por lo cual la SC puede resultar subdiagnosticada1-3.
El screening para SC no ha sido estandarizado, pero la presencia de síntomas y signos cardíacos, anormalidades en ECG, Holter o ecocardiograma, han demostrado alta sensibilidad para detectar SC en pacientes con diagnóstico previo de sarcoidosis pulmonar4,5.
En el primer caso, el paciente agrega disnea de origen cardíaco y diagnóstico de valvulopatía aórtica, siendo confirmada la SC por biopsia endomiocárdica. En el segundo caso, las palpitaciones y la taquicardia sinusal, sin otra etiología evidente, fueron la guía diagnóstica.
Los pacientes con sarcoidosis deben realizarse ECG como parte de su evaluación inicial, a pesar de que es un estudio de baja sensibilidad para la evaluación de SC y los hallazgos son inespecíficos5.
El BAV es la alteración más común, como presentó el primer caso, y la taquicardia ventricular y la fibrilación ventricular lo siguen en frecuencia, siendo causa de muerte súbita4.
Existen cuatro condiciones que inducen a sospechar SC3:
1. Pacientes menores de 55 años con BAV de II o III grado, sostenido o permanente, inexplicable.
2. Menores de 55 años con anormalidades en el ECG en ausencia de enfermedad coronaria o hereditaria.
3. Pacientes con taquicardia ventricular sostenida monomórfica o miocardiopatía, o ambas.
4. Pacientes con diagnóstico de sarcoidosis extracardíaca, con o sin síntomas cardíacos.
En cuanto al ecocardiograma, los hallazgos también son inespecíficos. La SC puede ser interpretada como miocardiopatía dilatada idiopática, miocardiopatía ventricular derecha arritmogénica o aneurisma ventricular idiopático4. La biopsia endomiocárdica tiene alta especificidad, pero baja sensibilidad. Por otra parte, puede existir compromiso localizado en el material de la biopsia a diferencia de otras patologías infiltrativas, lo cual disminuye su rendimiento5. La lesión característica de la sarcoidosis es el granuloma no caseoso, que consiste en cúmulos de células gigantes con inclusiones citoplasmáticas (cuerpos estrellados de Schaumann) y linfocitos.
De acuerdo con las guías del Japanese Ministry of Health and Welfare (1993), el diagnóstico de SC puede establecerse con criterios histológicos y clínicos6. Se establecen los siguientes grupos:
- Grupo de diagnóstico histológico: se confirma el diagnóstico en el análisis histológico de la biopsia endomiocárdica o en muestras posoperatorias al evidenciarse granulomas epitelioides sin caseificación.
- Grupo de diagnóstico clínico: en pacientes con diagnóstico histológico de sarcoidosis extracardíaca se sospecha SC cuando están presentes el ítem A y uno o más de los ítems B a E:
A) Bloqueo completo de rama derecha; hemibloqueo anterior izquierdo; BAV; taquicardia ventricular; extrasistolía ventricular (> Lown 2); ondas Q patológicas o alteraciones del ST-T en el ECG o Holter.
B) Motilidad parietal anormal, adelgazamiento parietal regional o dilatación del VI.
C) Defecto de perfusión miocárdica con Tl-201 o acumulación anormal con Ga-67 o Tc-99.
D) Presión intracardíaca anormal, bajo volumen minuto o FEVI deprimida.
E) Fibrosis intersticial o infiltrado celular al menos de grado moderado, incluso si son hallazgos inespecíficos.
La RMC con contraste de gadolinio y la PET/ TC suponen un gran avance para el diagnóstico y la evaluación pronóstica7. Esto ha determinado que el Japanese Ministry of Health and Welfare estableciera recientemente dos nuevos escenarios diagnósticos de la SC: biopsia, procedimiento invasivo y con sensibilidad limitada (20%-50%), o uno o más criterios diagnósticos (ecocardiograma, RMC o PET/TC).
La RMC puede mostrar un patrón sugestivo de la enfermedad, con realce parcheado de la pared lateral y basal; posee un alto valor predictivo negativo.
El PET/TC ha demostrado utilidad diagnóstica en detección de SC en la última década y fue el estudio de imagen empleado en el segundo caso; sin embargo, se sugiere la combinación de varios estudios diagnósticos para su evaluación. Las lesiones activas de la SC y su respuesta al tratamiento serían mejor detectadas por PET/TC, mientras que la RMC podría ser más útil para detectar lesiones fibróticas. Los estudios de imagen de perfusión nuclear miocárdica también son útiles para la detección de lesiones fibróticas8).
En el primer caso el diagnóstico se realizó por biopsia y el control evolutivo por PET/TC no mostró actividad, siendo de utilidad para definir la suspensión del inmunosupresor.
El tratamiento con corticoides está indicado en estos pacientes, aunque las dosis y la duración no están definidas9. El tratamiento de la SC está dirigido a controlar la inflamación y prevenir la fibrosis.
En el primer caso, el PET/TC fue de utilidad para decidir cuándo suspender el tratamiento inmunosupresor. Otros tratamientos, como antiarrítmicos, ablación por catéter, dispositivos implantables, se utilizarán dependiendo de la presentación clínica5. El trasplante cardíaco puede plantearse si el paciente presenta insuficiencia cardíaca refractaria9.
En cuanto al pronóstico, los predictores independientes de mortalidad son la clase funcional, el diámetro telediastólico del VI y la presencia de taquicardia ventricular sostenida. Se refiere una sobrevida de dos años en pacientes sin tratamiento inmunosupresor y de 40%-60% a los cinco años en los pacientes tratados10.
Conclusiones
En todo paciente con sarcoidosis debe realizarse evaluación para detectar precozmente compromiso cardíaco. No existe un método diagnóstico gold standard para la SC. En pacientes asintomáticos, la historia clínica, el examen físico y el ECG deben repetirse anualmente. En caso de síntomas o alteraciones en el ECG se sugiere realizar ecocardiograma, RMC y PET/TC, herramientas de utilidad en el diagnóstico y seguimiento de estos pacientes.


















