Servicios Personalizados
Revista
Articulo
Links relacionados
Compartir
Revista Uruguaya de Cardiología
versión impresa ISSN 0797-0048versión On-line ISSN 1688-0420
Rev.Urug.Cardiol. vol.31 no.1 Montevideo abr. 2016
Caso clínico
Origen anómalo de arterias coronarias desde un tronco común a nivel del seno de Valsalva derecho. Reporte de un caso
Dres. Victoria Gutiérrez1, Carolina Artucio1, Natalia Lluberas2,
Julia Aramburu2, Sandro Carrea3, Ricardo Lluberas1
1. Instituto de Cardiología Intervencionista (INCI) , Centro Cardiovascular Casa de Galicia.
2. Servicio de Tomografía, Casa de Galicia.
3. Cooperativa Médica de Paysandú (COMEPA).
Correo electrónico: victoriagc1@gmail.com
Recibido Mar 12, 2016; aceptado Mar 30, 2016.
Palabras clave:
SENO AÓRTICO / anomalías
ENFERMEDAD DE LA ARTERIA CORONARIA / mortalidad
ISQUEMIA MIOCÁRDICA
MUERTE SÚBITA
PREVALENCIA
Key words:
SINUS OF VALSALVA / abnormalities
CORONARY ARTERY DISEASE / mortality
MYOCARDIAL ISCHEMIA
DEATH, SUDDEN
PREVALENCE
Introducción
Las anomalías de las arterias coronarias son raras, se observan con una frecuencia de 0,5% a 1,5% de pacientes sometidos a angiografía coronaria (CACG) (1,2). Debido a su baja incidencia, no se sabe la prevalencia real de esta anomalía. Su importancia radica en que puede ser causa de isquemia miocárdica y en ocasiones su forma de presentación es la muerte súbita (MS).
Caso clínico
Paciente de 63 años de edad, sexo femenino, con hipertensión arterial, en tratamiento con enalapril, y dislipemia. Antecedentes familiares: padre fallecido de MS a los 40 años.
Consulta en Paysandú por ángor típico de reposo, prolongado. El electrocardiograma (ECG) evidencia corriente de lesión subepicárdica anterolateral. Se inicia tratamiento antiisquémico, antiagregante y tratamiento de reperfusión con estreptoquinasa, no presentando criterios clínicos ni electrocardiográficos de reperfusión. Se traslada a Montevideo y se realiza CACG de emergencia para ATC de rescate.
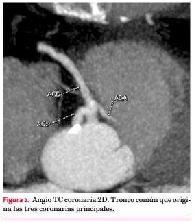
La CACG evidencia una arteria coronaria única, con origen en un ostium en el seno de Valsalva derecho y rápida división de un corto tronco común en arteria coronaria derecha (CD), descendente anterior (DA) y circunfleja (Cx) (figura 1). Tronco sin lesiones. CD dominante, con lesión severa en tercio distal. Descendente posterior con lesión severa ostial y en tercio medio. La DA, de fino calibre, tiene lesión suboclusiva en tercio medio y lesión severa distal. Cx sin lesiones. Gran ramo marginal presenta lesión severa proximal. Se realiza ATC de DA con implante de stent Minivision 2,0 mm por 2,3 mm sin incidentes.
Dada la severidad de las lesiones se solicita valoración con equipo de cirugía cardíaca en vista a cirugía de revascularización miocárdica. La paciente se niega a dicho procedimiento.
Actualmente se encuentra asintomática bajo tratamiento médico óptimo.
Discusión
El origen anómalo de las arterias coronarias comprende un grupo de malformaciones con prevalencia de alrededor del 1% en estudios angiográficos(1,2). Su principal importancia subyace en el riesgo de desarrollar isquemia y eventualmente MS, en especial en poblaciones de individuos jóvenes y deportistas. Dentro de las anomalías coronarias, las que cuentan con mayor riesgo de MS son las que tienen origen en el seno de Valsalva contralateral con una configuración ostial en forma de hendidura, en particular cuando presentan un nacimiento alto y realizan parte de su trayecto entre la aorta y la pulmonar(3). También cuando presenta un trayecto inicial tangencial en el espesor de la pared aórtica (intramural), de modo que la expansión sistólica aórtica reduce el ostium y la luz coronaria por compresión lateral de la pared común a modo de colgajo o flap(2,4).
En la actualidad, el origen anómalo de las arterias coronarias representa la segunda causa de MS en deportistas en Estados Unidos (5). Los pacientes menores de 35 años son los que tienen mayor riesgo de presentar eventos isquémicos y MS; esta última disminuye con la edad(6-8). Por lo tanto, para estratificar el riesgo de la anomalía es fundamental determinar la presencia tanto de un trayecto intramural definido como la parte del vaso que cursa dentro de la pared de la aorta, y también la presencia de un trayecto interarterial (entre aorta y arteria pulmonar) por la probable compresión que los grandes vasos podrían producir sobre la arteria coronaria durante el esfuerzo, siendo estos trayectos los que más se relacionan con isquemia y MS(8).
Una vez realizado el diagnóstico de la anomalía coronaria con criterios de riesgo, la actitud terapéutica depende de la presencia de isquemia, por lo que en presencia de síntomas o en asintomáticos con pruebas de detección de isquemia positivas, la revascularización es apoyada por la mayoría de los autores(10). Sabemos que los estudios funcionales presentan un margen no despreciable de falsos positivos y negativos, por lo que de comprobarse una distribución coronaria de riesgo en jóvenes físicamente activos (en los cuales el primer síntoma puede ser la MS) podría ser prudente proceder al tratamiento invasivo, obviando la exploración funcional(3).
En aquellos pacientes con trayecto intramural es posible documentar la compresión sistólica mediante ecografía intravascular (IVUS), una técnica cara y no disponible en todos los servicios(11). La tomografía de coherencia óptica es una técnica de mucha mayor resolución, pero más compleja y más distante aún del alcance general.
Tanto el trayecto coronario intramural aórtico como el curso interaortopulmonar son solucionables por técnicas quirúrgicas que comprenden el bypass aortocoronario, la reimplantación ostial o la técnica del unroofing o resección parietal, que libera el segmento intramural de la anomalía (cada una con sus ventajas y limitaciones). La técnica del unroofing se considera un procedimiento satisfactorio, tanto anatómica como fisiológicamente(13).
El bypass aortocoronario ha sido muy cuestionado debido a su limitada permeabilidad por la presencia inevitable de flujo competitivo entre el puente y la arteria con nacimiento anómalo, fundamentalmente en pacientes sin estenosis ateroscleróticas significativas; en tal caso la revascularización con arteria mamaria y la ligadura proximal del vaso tratado se han empleado para evitar tal inconveniente(9).
Respecto al tratamiento percutáneo los primeros casos se registraron en 2002 en pacientes seleccionados y se desconoce su resultado a largo plazo(12).
En el caso presentado, luego de solucionar el síndrome coronario agudo por vía percutánea, la indicación formal era de cirugía de bypass con empleo de arteria mamaria para la DA dado su trayecto interarterial y la presencia de estenosis ateroscleróticas severas de los dos vasos restantes, con lo cual la posibilidad de competencia de flujos no resulta un problema relevante.
La paciente se niega a dicho procedimiento, por lo que de demostrarse isquemia en la región anterolateral, y asumiendo que la estenosis de tercio medio de DA se ha solucionado eficazmente mediante ATC, no podemos descartar que el compromiso funcional sea ocasionado por el trayecto anómalo de dicho vaso.
Bibliografía
1. Lluberas R, Mallo D, Korytnicki D, Artucio C. Angiografía coronaria: técnica y evaluaciones cualitativas y cuantitativas. En: Intervenciones cardiovasculares SOLACI. 2ª ed. São Paulo: Atheneu; 2009. Cap. 18.
2. Angelini P, Velasco JA, Flamm S. Coronary anomalies: incidence, pathophysiology and clinical relevance. Circulation. 2002; 105:2449-54.
3. Lee HJ, Hong YJ, Kim HY, Lee J, Hur J, Choi BW, et al. Anomalous origin of the right coronary artery from le left coronary sinus with an interarterial course: subtypes and clinical importance. Radiology 2011; 262(1): 101-8.
4. Angelini P. Novel imaging of coronary artery anomalies to assess their prevalence, the causes of clinical symptoms and the risk of sudden cardiac death. Circ Cardiovasc Imaging 2014; 7(4): 747-54.
5. Barriales R, Moris C. Anomalías congénitas de las arterias coronarias con origen en el seno de Valsalva contralateral: ¿qué actitud se debe seguir? Rev Esp Cardiol 2006; 59(4):360-70.
6. Ugalde H, Ramírez A, Ugalde D, Farías E, Silva AM. Nacimiento anómalo de las arterias coronarias en 10000 pacientes sometidos a coronariografía. Rev Med Chile 2010; 138(1): 7-14.
7. Kragel AH, Roberts WC. Anomalous origin of either the right or left main coronary artery from the aorta with subsequent coursing between aorta and pulmonary trunk: analysis of 32 necropsy cases. Am J Cardiol 1988;62 (10 Pt1):771-7.
8. Pellicia A. Congenital coronary artery anomalies in young patients. New perspectives for timely identification. J Am Coll Cardiol 2001;37:598-600.
9. Levin R, Degrange M, Lezana F, Sobre M, Salvaggio F, Blanco N, et al. Diagnóstico y tratamiento quirúrgico del origen anómalo de las arterias coronarias. Rev Argent Cardiol 2011; 79 (2): 125-31.
10. Taylor AJ, Byers JP, Cheitlin MD, Virmani R. Anomalous right or left coronary arteryfrom the contralateral coronary sinus: "high risk" abnormalities in the initial coronary artery course and heterogeneus clinical outcomes. Am Heart J 1997;133(4): 428-435.
11. Angelini P, Uribe C, Monge J, Tobis JM, Elayda MA, Willerson JT. Origin of the right coronary artery from the opposite sinus of Valsalva in adults: Characterization by intravascular ultrasonography at baseline and after stent angioplasty. Catheterization and Cardiovascular Interventions 2015; 86(2): 199-208.
12. Doorey AJ, Pasquale MJ, Lally JF, Mintz GS, Marshall E, Ramos DA. Six-month success of intracoronary stenting for anomalous coronary arteries associated with myocardial ischemia. Am J Cardiol. 2000;86:580-2.
13. Reul RM, Cooley DA, Hallman GL, Reul GJ. Surgical treatment of coronary artery anomalies. Report of a 371/2-year experience at the Texas Heart Institute. Tex Heart Inst J. 2002;29(4):299-307.













