Services on Demand
Journal
Article
Related links
Share
Revista Uruguaya de Cardiología
Print version ISSN 0797-0048On-line version ISSN 1688-0420
Rev.Urug.Cardiol. vol.30 no.3 Montevideo Dec. 2015
Caso clínico
Leucoencefalopatía posterior reversible poseclampsia
Dres. Anabela Fernández, Jorge Castelli, Julio Citera
Hospital Central de las Fuerzas Armadas.
Correo electrónico: anabelafm@telefonica.net
Recibido julio 13, 2015; aceptado octubre 17, 2015.
Palabras clave:
ECLAMPSIA
ENCEFALOPATÍA HIPERTENSIVA
INFORMES DE CASOS
Key words:
ECLAMPSIA
HYPERTENSIVE ENCEPHALOPATHY
CASE REPORTS
Introducción
El síndrome de leucoencefalopatía posterior reversible (SLEPR) en el posparto es una patología poco frecuente. Su diagnóstico es clínico-radiológico y fue descrito por Hinchey y colaboradores en 1996(1). Puede presentarse bajo diferentes formas clínicas, poseclampsia y crisis hipertensiva, por tratamiento inmunosupresor con anticalcineurínicos, transfusiones masivas y falla hepática aguda(2-4). Se puede manifestar por convulsiones, cefaleas, confusión, náuseas, vómitos, trastornos visuales, y menos frecuentemente por síndrome focal neurológico(5). En la tomografía axial (TAC) de cráneo se observan áreas hipodensas en la sustancia blanca del sector cerebral posterior. En general, los síntomas, signos y las alteraciones en las imágenes revierten con el tratamiento antihipertensivo(6).
Caso clínico
Paciente de sexo femenino de 14 años, sin antecedentes patológicos, primigesta, cursando 38 semanas de embarazo bien controlado. Comienza 24 horas antes del ingreso con cefalea holocraneana intensa, vómitos y convulsiones generalizadas, autolimitadas, reiteradas. Valorada por ginecólogo a su ingreso, constata hipertensión arterial de 180/100 mmHg y decide realizar cesárea de urgencia, obteniéndose producto vivo.
Se inicia tratamiento con sulfato de magnesio (Mg), dosis carga de 4 g e infusión continua de 24 g en 24 horas. Con diagnóstico de eclampsia se mantiene en el posoperatorio en asistencia respiratoria mecánica, sedada con midazolam y bajo infusión de sulfato de Mg. De los exámenes paraclínicos se destaca: anemia leve (hemoglobina: 9 g/%), plaquetas normales, función renal normal, funcional y enzimograma hepático normales. No proteinuria. Uricemia: 5,6 mg/dl.
Buena evolución, se extuba a las 24 horas, lúcida y sin signos focales neurológicos. Hemodinamia estable, con presión arterial (PA) variable entre 110/90 mmHg y 130/90 mmHg, sin medicación antihipertensiva. El sulfato de Mg se suspende a las 24 horas de la última convulsión. Las magnesemias se mantuvieron en rango.
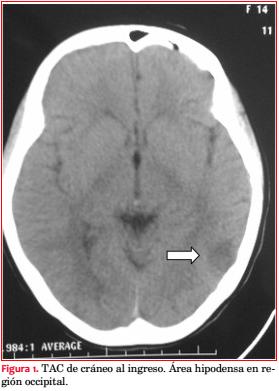
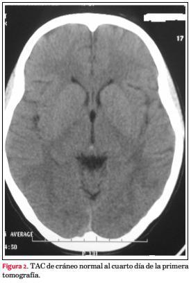
Un día después se registran cifras elevadas de PA, hasta 150/100 mmHg. Se inicia tratamiento con alfa-metildopa 500 mg cada 8 horas, y amlodipina 5 mg cada 12 horas, estabilizándose la PA en 120/90 mmHg. Al día siguiente instala cefaleas, con PA 130/90 mmHg y reitera convulsión tónico-clónica generalizada, debiendo recibir diazepam intravenoso para yugular la crisis. Se reinstala carga e infusión continua de sulfato de Mg. Evoluciona con cefaleas, amaurosis, parestesias y paresia de miembro superior izquierdo (MSI). Se realiza TAC de cráneo que evidencia área hipodensa córtico subcortical occipital, compatible con SLEPR (figura 1), y en el mismo acto angio-TAC, no observándose trombosis de senos venosos. El electroencefalograma (EEG) mostró sufrimiento encefálico difuso, con actividad paroxística focal derecha, en regiones central y temporal. Se continuó con la medicación antihipertensiva, manteniendo valores de PA sistólica de 90-100 mmHg, cediendo la cefalea, y retrocediendo toda la sintomatología neurológica.
Discusión
La eclampsia es la aparición de convulsiones o coma durante el embarazo o puerperio, con una mortalidad materna que oscila entre 1,8% y 23%. Esta paciente presentó una eclampsia, una de las cuatro categorías en que se han clasificado los estados hipertensivos del embarazo(7,8). A las 72 horas posparto, la paciente presentó una eclampsia posparto tardío. Solo 15% de las pacientes presentan eclampsia luego de 48 horas del puerperio(9-11).
Las manifestaciones neurológicas, amaurosis bilateral, parestesias y paresia de MSI permitieron hacer el diagnóstico clínico de SLEPR, que se confirmó con la TAC de cráneo por la presencia de áreas hipodensas corticales occipitales que revirtieron completamente en el control posterior. Estas imágenes evidenciaron edema cerebral vasogénico. El diagnóstico de SLEPR es clínico-radiológico (resonancia magnética/tomografía computada), obteniéndose imágenes de edema vasogénico simétrico bilateral en territorio de la circulación cerebral posterior con distribución preferente en la sustancia blanca subcortical y frecuente en lóbulo parietal y occipital en 98% de los casos(12). El edema cerebral se explica por mecanismos patogénicos no excluyentes, la encefalopatía hipertensiva y la disfunción endotelial. Se observa en diferentes situaciones clínicas, siendo el precipitante común un aumento brusco de la PA(13). Existen condiciones asociadas a SLEPR, como sepsis, enfermedades autoinmunes (lupus eritematoso sistémico), o síndrome antifosfolipídico, que fueron descartadas en esta paciente.
La hipótesis patogénica más probable de este síndrome es la pérdida de la autorregulación del flujo sanguíneo cerebral, produciéndose zonas de hipoperfusión, vasodilatación, aumento de la permeabilidad capilar, trasudado y edema cerebral reversible. La aparición de edema en el sector posterior cerebral se podría deber a la menor inervación simpática en dicho territorio; cuando se presenta aumento de la PA, en el territorio posterior no se produciría vasoconstricción, favoreciéndose el trasudado hacia el intersticio cerebral condicionando el consecuente edema localizado(14-16).
El tratamiento debe ser precoz para evitar la progresión a infarto cerebral, con posibles secuelas neurológicas y riesgo vital, y está basado en la terapia antihipertensiva(17).
Es de destacar la presencia de SLEPR en una paciente adolescente, con cifras de PA que oscilaron entre 110 y 130 mmHg, y con un solo control de la PA sistólica (PAS) de 150 mmHg.
En el puerperio inmediato, la hipertensión habitualmente demora en resolverse. Puede haber una disminución inicial de la PA, a la que sigue hipertensión entre los días 3 y 6. Se debe mantener el tratamiento antihipertensivo si la PAS ³ 155 mmHg y/o si la PA diastólica (PAD) ³ 105 mmHg, discontinuándose la medicación si la PA permanece debajo del nivel hipertensivo por 48 horas(18). En presencia de crisis hipertensiva, el fármaco de elección es labetalol endovenoso. Esta droga tiene efecto sobre los receptores vasculares alfa y beta, sin inducción de taquicardia refleja(19). No debe usarse nitroglicerina porque tiene efecto vasodilatador que agrava el SLEPR en el contexto de una autorregulación alterada(20).
Con respecto a las convulsiones eclámpticas, se tratan con sulfato de Mg. Se debe monitorizar clínicamente la aparición de signos de toxicidad (hiporreflexia, depresión respiratoria, eventualmente arritmias malignas) y los niveles de Mg en sangre(21). Los anticomiciales como difenilhidantoina, ácido valproico y levetiracetam o diazepam, son drogas de segunda línea(21). A pesar de haber recibido sulfato de Mg, con magnesemias en rango terapéutico, la paciente reitera convulsiones a las 72 horas del parto. En este caso la evolución fue favorable y el edema se resolvió con el tratamiento instituido.
Con un manejo correcto se logran rápidamente la mejoría clínica y radiológica, aunque se han descrito secuelas visuales, epilepsia y progresión del edema cerebral hasta herniación y muerte, por lo que es recomendable el seguimiento clínico adecuado(17). Las mujeres que sufren hipertensión gestacional o preeclampsia tienen mayor riesgo de hipertensión (cuatro veces más) y de accidente cerebrovascular en los años siguientes, así como de cardiopatía isquémica (dos veces más)(22).
Conclusión
Ante la aparición de alteraciones neurológicas en una paciente con diagnóstico de eclampsia, hay que tener presente el SLEPR para iniciar un tratamiento precoz, prevenir complicaciones y disminuir la morbimortalidad materna. Se debe ser menos tolerante con los ascensos de PA en pacientes puérperas jóvenes y comenzar el tratamiento antihipertensivo con cifras más bajas que en las adultas. Es necesario establecer estrategias adecuadas de seguimiento de la mujer que presentó hipertensión arterial durante el embarazo, parto o puerperio.
Bibliografía
1. Hinchey J, Chaves C, Appignani B, Breen J, Pao L, Wang a, et al. A reversible posterior leukoencephalopathy syndrome. N Engl J Med 1996; 334(8): 494-500.
2. Schwartz RB, Jones KM, Kalina P, Bajakian RL, Mantello MT, Garada B, et al. Hypertensive encephalopathy: findings on CT, MR imaging and SPECT imaging in 14 cases. AJR Am J Roentgenol 1992;159(2): 379-83.
3. Jarosz JM, Howlett DC, Cox TC, Bincham JB. Cyclosporine related reversible posterior leukoencephalopathy: MRI. Neuroradiology 1997; 39(10): 711-5.
4. Kamar N, Kany M, Bories P, Ribes D, Izopet J, Durand D, et al. Reversible posterior leukoencephalopathy syndrome in hepatitis virus C positive long term hemodialysis patients. Am J Kidney Dis 2001; 37(4): e29.1-e29.6
5. ACOG Committee on Obstetric Practice. ACOG practice bulletin Diagnosis and management of preeclampsia and eclampsia. Number 33, January 2002.
6. Garg RK. Posterior Leukoencephalopathy syndrome: Postgrad Med J 2001;77(903):24-8.
7. Sosa L, Guirado M. Estados hipertensivos del embarazo. Rev Urug Cardiol 2013; 28 (2):285-98.
8.
9. Hirshfeld-Cytron J, Lam C, Karumanchi SA, Lindheimer M. Late postpartum eclampsia: examples and review. Obstet Gynecol Surv.2006; 61(7):471-80.
10. Sibai BM, Schneider JM, Morrison JC, Lipshitz M, Anderson GD, Shier RW, et al. The late postpartum eclampsia controversy. Obst Gynecol 1980;55(1):74-8.
11. Gizburg VE, Wolff B. Headache and seizure on postpartum day 5: late postpartum eclampsia. CMAJ 2009;180(4):4258.
doi: 10.1503/cmaj.071446.
12. Stott VL, Hurrel MA, Anderson TJ. Reversible posterior leukoencephalopathy sindrome: a misnomer reviewed. Intern Med J 2005; 35(2):83-90.
13. Servillo G, Bifulco F, De Robertis E, Piazza O, Striano P, Tortora F, et al. Posterior reversible encephalopathy syndrome in intensive care medicine. Intensive Care Med 2007; 33(2):230-6.
14. Bartynsky WS, Boardman JF. Distinct imaging patterns and lesion distribution in posterior reversible encephalopathy syndrome. ANJR Am J Neuroradiol 2007;28(7):1320-7.
15. Paulson OB, Strandgaard S, Edvinsson L. Cerebral autoregulation. Cerebrovasc Brain Metab Rev 1990; 2(2):161-92.
16. Bartynsky WS. Posterior reversible encephalopathy syndrome, part 2: controversias surrounding patophysiology of vasogenic edema. AJNR Am J Neuroradiol 2008;29(6):1043-9. doi: 10.3174/ajnr.A0929.
17. Prasad N, Gulati S, Gupta RK, Kumar R, Sharma K, Sharma RK. Is reversible posterior leukoencephalopathy in patients with severe hypertension completely reversible in all patients? Pediatr Nephrol 2003;18(11):1161-8.
18. Margulies M, Voto LS, Fescina R, Lastra L, Lapidus AM, Schwarcz R. Arterial blood pressure standards during normal pregnancy and their relation with motherfetus variables. Am J Obstet Gynecol 1987;156(5):1105-9.
19. Report of the National High Blood Pressure Education Program Working Group on High Blood Pressure in Pregnancy. Am J Obstet Gynecol 2000;183:s1-22.
20. Finester J, Schlager T, Kopsa W, Wild E. Nitroglycerine-aggravated preeclamptic posterior reversible encephalopathy syndrome (PRES). Neurology 2003; 61(5):715-6. doi:10.1212/01.WNL. 0000080369.87484.06
21. Sibai BM. Diagnosis, prevention, and management of eclampsia. Obstet Gynecol 2005;105(2):402–10.
22. Ahmed R, Dunford J, Mehran R, Robson S, KunadianV. Pre-eclampsia and future cardiovascular risk among women: a review. J Am Coll Cardiol 2014;63(18):1815-22.













