SciELO - Scientific Electronic Library Online

 
vol.28 issue3Mixoma cardíaco en topografía poco habitualPrólogo author indexsubject indexarticles search
Home Pagealphabetic serial listing  

Services on Demand

Journal

Article

Related links

Share


Revista Uruguaya de Cardiología

On-line version ISSN 1688-0420

Rev.Urug.Cardiol. vol.28 no.3 Montevideo Dec. 2013

 

Caso clínico 

Origen anómalo de la arteria coronaria izquierda desde el tronco de la arteria pulmonar. 

Primer caso reportado en Uruguay diagnosticado mediante tomografía multicorte 

Dres. Pedro Chiesa1, Ariel Durán2, Sergio Viñas3, Ruben Leone

1. Cardiólogo Pediatra. Hemodinamista. Instituto de Cardiología Infantil. MUCAM.
2. Cardiólogo Intervencionista. Servicio de Tomografía Cardíaca. MUCAM.
3. Cardiólogo. Servicio de Tomografía Cardíaca. MUCAM.
4. Cirujano Cardíaco. Jefe de Cirugía Cardíaca. Instituto de Cardiología Infantil. MUCAM.
Correspondencia: Dr. Pedro Chiesa. Correo electrónico: pedrochiesa@adinet.com.uy
Recibido agosto 7, 2013; aceptado setiembre 30, 2013. 

Resumen

Se presenta el caso clínico de una lactante que ingresó por insuficiencia cardíaca, diagnosticándose una miocardiopatía dilatada debida a la existencia de un origen anómalo de la arteria coronaria izquierda. El interés del presente caso radica en que el diagnóstico se efectuó mediante una tomografía multicorte cuyos datos se corroboraron por cateterismo cardíaco. 

Palabras clave:
    ARTERIAS CORONARIAS
    CATETERISMO CARDíACO
    CIRUGíA TORáCICA
    TOMOGRAFíA COMPUTADA
 

Summary 

We report the case of a female infant that was admitted for heart failure; a dilated cardiomyopathy due to the existence of an anomalous origin of the left coronary artery was diagnosed. The interest of this case is that the diagnosis was made by a multislice tomography whose data were confirmed by cardiac catheterization. 

Key words:
    CORONARY ARTERY
    CARDIAC CATHETERIZATION
    THORACIC SURGERY
    COMPUTED TOMOGRAPHY

 

 

Introducción 

El origen anómalo de la arteria coronaria izquierda desde la arteria pulmonar es una cardiopatía congénita muy poco frecuente (1 de cada 300.000 nacidos vivos o 0,5% de todas las cardiopatías congénitas en niños) (1), que produce isquemia miocárdica con disfunción ventricular izquierda e insuficiencia mitral de grado variable (miocardiopatía dilatada). Su diagnóstico permite realizar un tratamiento curativo con mayores posibilidades de restitución ad integrum cuanto más precozmente se realice (2)

La sospecha diagnóstica es clínica por la presencia de una miocardiopatía dilatada en el lactante, con un electrocardiograma (ECG) que muestra una imagen característica y patognomónica (3,4). El diagnóstico se confirma por la demostración del origen anatómico de la arteria coronaria izquierda desde el tronco de la arteria pulmonar  (5). Dicha demostración clásicamente se realiza por ecocardiograma Doppler color y cateterismo cardíaco con angiografía coronaria que muestra la arteria coronaria derecha (dilatada) originada en la aorta y por circulación intercoronaria visualiza la arteria coronaria izquierda abocando en el tronco de la arteria pulmonar. Actualmente se dispone de nuevas técnicas de imagen, como la tomografía multicorte, capaces de evidenciar en forma satisfactoria dicha anomalía. 

Presentamos el caso clínico de una lactante con origen anómalo de la arteria coronaria izquierda desde la arteria pulmonar, sospechado clínicamente, con demostración anatómica mediante tomografía multicorte y corroborado por angiografía coronaria. 

Caso clínico 

Lactante de 1 mes y 25 días, sexo femenino, procedente de Montevideo. Madre de 31 años, portadora de trombofilia tratada con heparina subcutánea. Producto de cuarta gestación, con antecedentes de dos abortos espontáneos, un hijo sano de 4 años. Embarazo controlado. Portadora de estreptococo b positivo tratado. Retardo del crecimiento intrauterino. Parto a las 37 semanas, eutócico, con un peso de 2.620 g, talla 48 cm. Perímetro craneano 33 cm. Apgar 9/10. Alta a las 48 horas con 2.410 g. Pecho directo exclusivo. Controlado regularmente con incremento ponderal inicialmente aceptable. 

Desde el nacimiento, la madre refiere polipnea leve que se incrementa en la evolución, llegando a dificultar la alimentación por lo que es ingresada para completar su valoración. En el examen se encontraba reactiva, con un peso de 3.300 g y una talla de 49 cm (ambos en percentil 3). Polipnea superficial de 52 rpm. Bien coloreada y perfundida. En lo pleuropulmonar el murmullo alvéolo vesicular estaba conservado, sin estertores. En lo cardiovascular se constató un ritmo regular de 120 cpm y un soplo en cuarto espacio intercostal izquierdo grado 2/6 diastólico, con pulsos femorales normales. 

Cardiomegalia en radiografía de tórax. El ecocardiograma Doppler muestra miocardiopatía dilatada con severa dilatación y marcado compromiso de la función sistólica del ventrículo izquierdo e insuficiencia mitral severa, presumiblemente secundaria a dilatación del mismo. Ventrículo derecho con contractilidad aceptable. Arterias coronarias de difícil visualización. Se inicia tratamiento médico con buena respuesta inicial. El electrocardiograma (ECG) evidencia ondas Q profundas en territorio coronario izquierdo 
(DI, aVL, V4, V5 y V6) con inversión de onda T en V5 y V6 (
figura 1).  

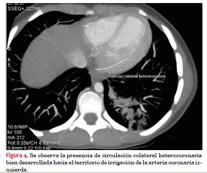
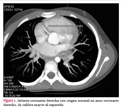
Se realiza tomografía multicorte. Adquisición en equipo General Electric de 64 receptores Lightspeed VCT con la paciente bajo anestesia general, con gating retrospectivo y con contraste intravenoso: iopromida 370 mg I/ml, utilizando un total de 20 ml bajo anestesia general inhalatoria y sin betabloqueo. Frecuencia cardíaca: 180 lpm. La buena calidad de la imagen obtenida se debe a dos aspectos: se utilizó un protocolo para frecuencias cardíacas elevadas para uso pediátrico y el pequeño tamaño corporal. No se hizo volume rendering porque a esa frecuencia cardíaca la imagen es de pésima calidad para esa técnica, no así para la imagen angiográfica. Se hace diagnóstico anatómico de origen anómalo de arteria coronaria izquierda en arteria pulmonar (figuras 2, 3, 4 y 5). 

 

 

El diagnóstico se confirmó mediante aortografía y coronariografía selectiva de arteria coronaria derecha, realizadas bajo anestesia general, mediante angiógrafo Phillips Integris BH 3000, biplano, utilizando como contraste intravenoso iopromida 300 mg I/ml, utilizando 12 ml (figuras 6, 7 y 8).  


 

 

Se realizó tratamiento quirúrgico corrigiendo la anomalía coronaria mediante técnica de Takeuchi (6), sin incidentes. Cursa posoperatorio con estabilidad hemodinámica, en ritmo sinusal, apoyada con dopamina, milrinona y diuréticos. Extubación a las 24 horas con buena dinámica respiratoria. Descenso progresivo del apoyo de fármacos inotrópicos. Valoración metabólica iónica y renal dentro de los límites de normalidad. Reinicio de vía oral con pecho ordeñado y directo. Sangrado digestivo alto resuelto con tratamiento médico. Mantiene leve polipnea. Buena evolución posoperatoria. A dos años del posoperatorio se encuentra asintomática. Con ventrículo izquierdo de dimensiones y función normales, gradiente ventrículo derecho-arteria pulmonar de 30 mmHg. Insuficiencia mitral mínima. 

 

Discusión 

Esta patología se presenta como un cuadro de insuficiencia cardíaca congestiva con alta tasa de mortalidad si no se efectúa su diagnóstico y tratamiento oportuno. En la etapa fetal no genera ninguna alteración funcional porque la hipertensión arterial pulmonar permite mantener una perfusión miocárdica adecuada. Cuando acontece el cierre natural y espontáneo del ductus, se produce un descenso de las resistencias pulmonares haciéndose el flujo desde la arteria coronaria izquierda hacia la arteria pulmonar, ocasionando isquemia y necrosis miocárdica. La escasez de flujo colateral intercoronariano contribuye a una isquemia ventricular grave que lleva a dilatación e hipocontractilidad ventricular izquierda (miocardiopatía dilatada)  (7)

El electrocardiograma basal tiene una imagen característica, la presencia de ondas Q en DI y aVL, asociado a desnivel del ST en estas y en derivaciones precordiales izquierdas. 

El ecocardiograma bidimensional y con Doppler color muestra la dilatación e hipocontractilidad ventricular izquierda así como insuficiencia mitral. Se asocian signos indirectos de esta patología como la presencia de una arteria coronaria derecha dilatada y ausencia de visualización del origen de la arteria coronaria izquierda desde la aorta, y signos directos como un flujo de entrada en la arteria pulmonar y la presencia de un flujo centrípeto (desde la periferia al centro) por la arteria coronaria izquierda (figura 9). En determinadas situaciones puede ser difícil la interpretación del ecocardiograma, como en casos de hipertensión arterial pulmonar, existente en los neonatos o en niños con severa falla del ventrículo izquierdo, lo que genera un flujo anterógrado en la coronaria anómala, con escasa dilatación de la coronaria derecha.  



Hasta hace poco tiempo la confirmación anatómica se realizaba mediante cateterismo cardíaco que permite observar: salto oximérico a nivel del tronco de la arteria pulmonar, dilatación e hipoquinesia del ventrículo izquierdo, insuficiencia mitral de grado variable, mostrar que desde la aorta solo emerge la arteria coronaria derecha, evaluar la circulación intercoronaria y a través de esta observar la arteria coronaria izquierda que se conecta con el tronco de la arteria pulmonar. 

En el momento actual se dispone de un nuevo método no invasivo como lo es la tomografía computada con multidetectores que puede realizar el diagnóstico anatómico tal como lo comprobamos en el presente caso. Un aspecto a considerar es la dosis de radiación que imparte el procedimiento a la cual hay que sumarle la del cateterismo subsiguiente. De todas maneras pensamos que el beneficio excedería los riesgos en el presente caso (8-10). Podría plantearse, cuando haya más experiencia, la posibilidad de tratar estos casos sin cateterismo cardíaco previo. 

 

Conclusiones 

Lo importante en esta enfermedad es el diagnóstico precoz que permita también un tratamiento oportuno impidiendo la progresión de la isquemia y necrosis miocárdica. La tomografía computada con multidetectores aparece como una excelente técnica diagnóstica. El tratamiento de elección es quirúrgico, restableciendo la continuidad del flujo por la arteria coronaria izquierda desde la aorta al miocardio (11). Corregida la isquemia mejoran la función y el diámetro ventricular izquierdo en plazo variable, dependiendo de la precocidad del tratamiento. 

 

Bibliografía 

1.    Castillo García LA, Delgado Estevez G. Origen anómalo de la arteria coronaria izquierda desde la arteria pulmonar. Rev Hosp Jua Mex 2003; 70(1): 25-9.  

2.    Bland EF, White PD, Garland J. Congenital anomalies of the coronary arteries: report of an unusual case associated with cardiac hypertrophy. Am Heart J 1933;8:787-801.  

3.    Johnsrude CL, Perry JC, Cecchin F, Smith EO, Fraley K, Friedman RA. Differentiating anomalous left main coronary artery originating from the pulmonary artery in infants from myocarditis and dilated cardiomyopathy by electrocardiogram. Am J Cardiol 1995; 75:71-4.  

4.    Cuesta A, Chiesa P, Peluffo C. A veces el electrocardiograma es la clave diagnóstica. Rev Urug Cardiol 2011; 26(3):197-9.  

5.    Lee ML, Chiu IS, Chen SJ, Chaou WT. Imaging characteristics of anomalous left coronary artery from the pulmonary artery. J Thorac Imaging 2002; 17(1):96-100.  

6.    Takeuchi S, Imamura H, Katsumoto K, Hayashi L, Katohgi T, Yozu R, et al. New surgical method for repair of anomalous left coronary artery from pulmonary artery. J Thorac Cardiovasc Surg 1979; 78(1): 7-11.  

7.    Wesselhoeft H, Fawcett JS, Johnson AL. Anomalous origin of the left coronary artery from the pulmonary trunk. Its clinical spectrum, pathology, and pathophysiology, based on a review of 140 cases with seven further cases. Circulation 1968; 38(2): 403-25.  

8.    Hoffmann M, Shi H, Schmid FT, Gelman H, Brambs HJ, Aschoff AJ. Noninvasive coronary imaging with MDCT in comparison to invasive conventional coronary angiography: a fast developing technology. AJR Am J Roentgenol 2004; 182(3): 601-8.  

9.    Nieman K, Cademartiri F, Lemos P, Raaijmakers R, Pattynama PM, de Feyter PJ. Reliable noninvasive coronary angiography with fast submilimeter multislice spiral computed tomography. Circulation 2002; 106(16):2051-4.  

10.    Kopp AF, Schroeder S, Kuettner A, Baumbach A, Georg C, Kuzo R, et al. Non-invasive coronary angiography with high resolution multidetector-row computed tomography. Results in 102 patients. Eur Heart J 2002; 23(21):1714-25.  

11.    Lugones I, Kreutzer C, Román MI, Schlichter AJ. Origen anómalo de la coronaria izquierda en la arteria pulmonar: resultados de la cirugía correctora.  Rev Argent Cardiol 2010;78(5):411-6.  

Creative Commons License All the contents of this journal, except where otherwise noted, is licensed under a Creative Commons Attribution License