Serviços Personalizados
Journal
Artigo
Links relacionados
Compartilhar
Revista Uruguaya de Cardiología
versão On-line ISSN 1688-0420
Rev.Urug.Cardiol. vol.24 no.3 Montevideo dez. 2009
ARTÍCULO DE REVISIÓN
Comunicación interauricular en el adulto
Dres. Pedro Chiesa, Carmen Gutiérrez, Jorge Tambasco y colaboradores
Comunicación interauricular en el adulto
Dres. Pedro Chiesa, Carmen Gutiérrez, Jorge Tambasco, Pablo Carlevaro, Alejandro Cuesta
INTRODUCCIÓN
La comunicación interauricular (CIA) es la cardiopatía congénita acianótica más frecuente en la edad adulta, presente en 40% de los adultos con cardiopatía congénita, con predominio en el sexo femenino (relación 2:1). En estudios realizados de metaanálisis y revisiones en cuanto a los diferentes aspectos de las CIA en adultos, se encontró que representan 7% de todas las anomalías cardíacas y pueden manifestarse a cualquier edad, a veces asociadas a otros trastornos genéticos, debiendo investigarse la existencia de antecedentes familiares de CIA y asociación con síndrome de Holt Oram, Marfan, Noonan, Turner, etcétera (1).
Los pacientes con una patología cardíaca congénita simple, como ser el defecto septal interauricular aislado (CIA), constituyen una población relativamente grande con una variedad de problemas clínicos que se pueden presentar en la consulta de cardiólogos generales o internistas. Muchas veces cursa asintomática dificultando su diagnóstico, el cual se basa en el hallazgo de alguno de los siguientes signos o síntomas: soplo, arritmia auricular, cardiomegalia radiológica, bloqueo de la rama derecha del haz de His, embolia paradojal o enfermedad vascular pulmonar (2).
El diagnóstico es a menudo mediante la sospecha clínica y la valoración ecocardiográfica respectiva. Últimamente está cobrando jerarquía en el diagnóstico la resonancia nuclear magnética.
El cierre quirúrgico o percutáneo puede ser indicado a cualquier edad a excepción de que esté asociado con enfermedad vascular pulmonar. El cierre percutáneo es el método de elección en defectos del ostium secundum aislado con bordes adecuados mediante valoración con ecocardiograma transesofágico, mientras que la cirugía queda relegada para defectos de ostium secundum con bordes no aptos u otro tipo de defecto del septum interauricular (3).
En el presente artículo se analizará la CIA como patología aislada realizando las consideraciones clínicas, fisiopatológicas, diagnósticas, terapéuticas, evolutivas y pronósticas correspondientes.
ANATOMÍA PATOLÓGICA
No todas las comunicaciones interauriculares corresponden a un defecto septal. Las únicas que son verdaderos defectos septales son las comunicaciones tipo foramen oval, también conocidas como comunicaciones tipo ostium secundum.
El verdadero septo auricular está constituido por la valva del foramen oval y la parte inferior del borde muscular. En el sector póstero superior el borde corresponde a una invaginación de la pared de la aurícula, que también se conoce como septum secundum. El sector ántero superior se relaciona con la raíz aórtica que tiene una posición central en el corazón, profundamente acuñada entre las válvulas auriculoventriculares.
El septo membranoso, también central en el corazón, constituye, junto al trígono fibroso derecho y el tendón de Todaro, el cuerpo fibroso central. Este septo está dividido por la implantación de la válvula septal de la tricúspide. La parte posterior con su borde muscular inmediato constituye el septo atrioventricular y separa la aurícula derecha del ventrículo izquierdo. El sector anterior pertenece al septo interventricular.
Se reconocen cuatro tipos de CIA. El más frecuente es el defecto a nivel del septo interauricular, es decir la CIA tipo foramen oval (también llamada ostium secundum). Las otras CIA son los defectos de tipo seno venoso (superior e inferior), los defectos tipo seno coronario y los defectos tipo ostium primum que tienen una unión auriculoventricular común como los demás defectos del septo atrio ventricular.
COMUNICACIÓN INTERAURICULAR DE TIPO FORAMEN OVAL
Estos defectos pueden producirse porque la valva sea deficiente y no cubra la superficie del foramen; porque tenga fenestraciones y la comunicación se produce a través de las mismas, o porque esté ausente y el orificio sea totalmente permeable. No se debe designar como CIA tipo foramen oval a la permeabilidad del mismo por falta de adherencia al borde. Esta eventualidad es frecuente y mientras la presión en la aurícula izquierda sea mayor y no haya dilatación de la aurícula derecha, no se produce shunt (figuras 1 a y b).
COMUNICACIÓN INTERAURICULAR DE TIPO SENO VENOSO
Estas comunicaciones pueden ser de tipo seno venoso superior (lo más frecuente) o inferior. La variación depende si el defecto se vincula con la vena cava superior o inferior. Este tipo de comunicaciones están localizadas fuera del septo interauricular verdadero, a nivel de la unión de la vena cava (generalmente la superior) con la aurícula. La vena cava en estos casos tiene una conexión con las dos aurículas y alguna de las venas pulmonares derechas (generalmente la superior o media, o ambas) se une en forma anormal a la vena cava cabalgante (figura 2 a y b).
COMUNICACIÓN INTERAURICULAR TIPO SENO CORONARIO
Estos defectos son los más raros. La comunicación entre las aurículas se produce a nivel del orificio del seno coronario. El defecto básico consiste en una falta de techo del seno coronario, que puede ser focal o total. La forma más extrema es cuando la vena cava superior izquierda persistente se conecta directamente a la aurícula izquierda en el espacio comprendido entre el orificio del apéndice auricular y la implantación de las venas pulmonares; en estos casos falta todo el techo del seno. Lesiones menos severas responden a fenestraciones del techo del seno a través de las cuales la luz de la aurícula izquierda se pone en contacto con el seno y de esa manera se comunica con la aurícula derecha (figura 3 a y b).
COMUNICACIÓN INTERAURICULAR DE TIPO OSTIUM PRIMUM
Este tipo de comunicación es un defecto del septo atrioventricular (DSAV) con shunt limitado a las aurículas. Comparte con el conjunto de los DSAV diferentes aspectos: todos tienen una aorta no acuñada entre los orificios auriculoventriculares, una unión auriculoventricular común, una desproporción entre las dimensiones del tracto de entrada y el de salida del ventrículo izquierdo y, además, un componente izquierdo de la válvula aurículoventricular que tiene tres valvas. Las valvas izquierdas están sostenidas por músculos papilares que están desplazados lateralmente. Los DSAV se diferencian entre sí porque pueden tener uno o dos orificios auríiculoventriculares (lo que depende de que las valvas en puente se unan o no entre sí) y porque pueden tener niveles de shunt variables, dependiendo de que la lengüeta valvular que las une, a su vez, adhiera a la cresta del ventrículo o de la aurícula (figura 4).
El llamado “cleft de la valva anterior de la mitral” que se observa en casos de ostium primum en realidad no es una hendidura de la valva sino una comisura entre las valvas en puente superior e inferior (4-12).
FISIOPATOLOGíA
La presencia de una comunicación anómala entre las aurículas genera un cortocircuito izquierda a derecha, con sobrecarga de volumen de las cavidades derechas e hiperflujo pulmonar, cuya magnitud depende de los siguientes factores:
1) tamaño del defecto septal;
2) gradiente de presión entre las dos aurículas;
3) compliance de ventrículos derecho e izquierdo;
4) relación entre las resistencias vasculares pulmonar y sistémica;
5) valvulopatía mitral adquirida o enfermedad coronaria (13).
El shunt izquierda-derecha a través de una CIA determina una reducción en el alargamiento longitudinal de las fibras miocárdicas de la aurícula derecha que ocurre durante la eyección ventricular. Estos cambios muestran que la función de reservorio del atrio derecho es perjudicado, aumentando la rigidez de la pared auricular derecha en estos pacientes (14).
El pasaje desde la aurícula izquierda a la derecha se efectúa principalmente durante la telesístole y protodiástole ventricular con un refuerzo final por la sístole auricular determinando una sobrecarga de volumen auricular y ventricular derechos con hiperflujo pulmonar. Así se genera un incremento progresivo en los diámetros auricular y ventricular derechos con la posibilidad de generar arritmias, fundamentalmente atriales. También por el hecho de existir una comunicación entre el retorno venoso sistémico y la aurícula izquierda puede favorecer la aparición de una embolia paradojal (burbujas gaseosas en incorrecto manejo de vías venosas, émbolos sépticos provenientes de procesos supurados de miembros, etcétera) con afectación principalmente neurológica. Por último, puede determinar la generación de hipertensión arterial pulmonar (HTAP), cuyo origen radica en la agresión que sufre el endotelio por el hiperflujo pulmonar, generando una fragmentación de la barrera subendotelial, liberando un factor seroso que activa una enzima existente en las células musculares lisas, que a su vez estimula factores de crecimiento con la aparición de hipertrofia, proliferación y migración de dichas células, y por último, proliferación de la íntima, que en general es de lenta evolución (15).
Las CIA de evolución crónica (no diagnosticadas o diagnosticadas y no tratadas) están asociadas con remodelación de la aurícula izquierda caracterizada por el incremento de sus diámetros, pérdida de miocardio, y anomalías de la conducción generalizada, lo que favorece la instalación de una fibrilación auricular sostenida (16).
El comportamiento fisiopatológico va a ser diferente cuando se asocie:
- una cardiopatía isquémica o hipertensiva con incremento del cortocircuito izquierda-derecha debido al aumento de la presión telediastólica del ventrículo izquierdo;
- HTAP que favorece la aparición de insuficiencia cardíaca derecha y al comprometer la función diastólica del ventrículo izquierdo se incrementa el flujo pulmonar siendo el paciente más proclive a procesos infecciosos de las vías respiratorias manifestando además una limitación a la actividad física.
La cianosis es de aparición progresiva, acompañándose de poliglobulia, hipoxemia y disfunción plaquetaria, con la posibilidad de producir infartos cerebrales o pulmonares.
En el postoperatorio alejado del cierre de una CIA puede instalarse una arritmia auricular tipo taquicardia o fibrilación auricular, vinculada a la existencia de un foco ectópico relacionado con la cicatriz quirúrgica (en cierre simple por puntos o de inserción del parche así como en la zona de la canulación venosa), también se han descrito luego del cierre percutáneo.
CLÍNICA
Los pacientes portadores de CIA mayores de 15 años de edad pueden cursar asintomáticos o comenzar (50% a partir de los 20 años) a manifestar diferentes signos y síntomas: infecciones respiratorias reiteradas, fatigabilidad, disnea de esfuerzo, arritmias auriculares, HTAP, enfermedad vascular pulmonar, hemoptisis, insuficiencia cardíaca derecha, cianosis. A partir de los 50 años de edad 100% presentan sintomatología significativa.
Los dos síntomas más comunes de presentación son disnea y palpitaciones.
En el examen físico se describe:
- latido apexiano palpable: latido de Dressler (por dilatación del ventrículo derecho);
- latido palpable de la arteria pulmonar (en el segundo espacio intercostal izquierdo);
- el primer ruido cardíaco suele ser normal o desdoblado con acentuación del cierre tricuspídeo;
- soplo mesosistólico eyectivo en foco pulmonar (por el hiperflujo, que disminuye en caso de HTAP);
- desdoblamiento amplio y fijo del segundo ruido (cuando la presión arterial pulmonar y las resistencias arteriolares pulmonares son normales). Con el incremento de la presión arterial pulmonar se acorta el intervalo entre los componentes aórtico y pulmonar del segundo ruido, con acentuación del componente pulmonar hasta configurar un solo ruido (17);
- retumbo mesodiastólico tricuspídeo (en borde esternal inferior izquierdo, en ocasión de severo cortocircuito izquierda-derecha);
- soplo de insuficiencia pulmonar (en caso de aparición de HTAP, que suele ser tardía, a partir de la cuarta década de la vida);
- cianosis e hipocratismo digital (en caso de inversión del cortocircuito interauricular por el desarrollo de enfermedad vascular pulmonar: síndrome de Eisenmenger).
EXÁMENES COMPLEMENTARIOS
1. ELECTROCARDIOGRAMA
- La presencia de una CIA tipo ostium secundum se sospecha por (figura 5):
- desviación del eje del QRS a la derecha;
- hipertrofia ventricular derecha (imagen rSR`, rsR` en V1 y V2) con duración normal del complejo QRS;
- bloqueo (incompleto o completo) de la rama derecha del haz de His.
- La presencia de una CIA tipo seno venoso se sospecha por la desviación del eje de la onda P hacia la izquierda en el plano frontal (onda P negativa en derivación D III).
- La presencia de una CIA del tipo ostium primum se sospecha por la presencia de un hemibloqueo anterior izquierdo asociado (figura 6).
- En todos los tipos puede verse un intervalo PR prolongado (debido al mayor tamaño auricular como a la mayor distancia internodal por la existencia del propio defecto) (18).
- En caso de HTAP ondas P prominentes en D II, hipertrofia ventricular derecha.
- Puede identificarse una variedad de arritmias, sobre todo auriculares, en paciente previamente tratado o incluso sin tratamiento previo.
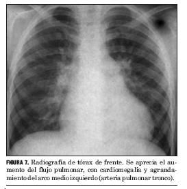
2. RADIOGRAFÍA DE TÓRAX (FIGURAS 7 Y 8)
- Cardiomegalia.
- Dilatación de aurícula y ventrículo derechos (aumento del contacto esternal en el perfil).
- Dilatación del tronco de la arteria pulmonar y sus ramas con aumento de la circulación pulmonar.
- En caso de enfermedad vascular pulmonar (síndrome de Eisenmenger) se observará dilatación del árbol arterial pulmonar central con hipovascularización periférica (imagen del “árbol de invierno”) y disminución del tamaño cardíaco.
3. ECOCARDIOGRAMA
Permite:
- Demostrar la solución de continuidad a nivel del septum interauricular e identificar su variedad anatómica.
- Valorar la repercusión hemodinámica del defecto (grado de dilatación de las cavidades derechas, movimiento septal paradojal, observables en modo M).
- Descartar lesiones asociadas.
- Documentar el retorno venoso pulmonar a la aurícula izquierda o comprobar si este es anómalo y eventualmente el o los sitios de conexión anómala.
- En caso de CIA tipo ostium secundum y fundamentalmente mediante el ecocardiograma transesofágico (algunos autores utilizan el intravascular) valorar los bordes de separación del defecto con las estructuras vecinas (venas pulmonares, seno coronario, venas cavas, aorta, válvulas atrioventriculares para definir orientación terapéutica, ya que si éstos son mayores a 5 mm el cierre percutáneo es posible), así como también en los casos con indicación de cierre percutáneo colaborará en la selección del tipo y tamaño del dispositivo, control de su posicionamiento y liberación ulterior.
- Realizar la medición de la presión arterial pulmonar mediante el Doppler, cuantificando la insuficiencia tricuspídea, con importancia tanto en la decisión terapéutica actual como en su valoración pronóstica.
- Mediante el Doppler color se identifica el cortocircuito interauricular determinando si es predominante de izquierda-derecha, bidireccional o invertido en caso de enfermedad vascular pulmonar.
- Cuando se detecta sobrecarga de volumen de cavidades derechas y no se puede identificar el defecto septal, se debe realizar la administración a través de una vena periférica de suero batido (con microburbujas en suspensión) constatando su rápida aparición en aurícula izquierda.
4. RESONANCIA NUCLEAR MAGNÉTICA
Puede ser de utilidad cuando los hallazgos del ecocardiograma son dudosos. Se logra visualización directa del defecto septal y de la llegada de las venas pulmonares. Además permite cuantificar el volumen del ventrículo derecho y su función.
5. CATETERISMO CARDÍACO
Desde el punto de vista diagnóstico permite:
- Cuantificar el valor exacto de la presión arterial pulmonar (cifras mayores a los 35 mmHg indican mayor deterioro funcional), en caso de comprobar la presencia de HTAP se deberá evaluar la reactividad vascular pulmonar mediante la administración de oxígeno al 100% y vasodilatadores arteriolares pulmonares (óxido nítrico, Iloprost).
- Realizar la medida exacta de las resistencias arteriolares pulmonares (en caso de HTAP).
- Calcular la magnitud del cortocircuito izquierda-derecha.
- Valorar los sitios de salto oximétrico (una saturación elevada en vena cava superior indica la presencia de un abocamiento anómalo de venas pulmonares en dicha topografía, etcétera).
- Medir la saturación arterial de oxígeno (a menor saturación arterial de oxígeno mayor morbimortalidad).
- Evaluar, en caso de CIA tipo seno venoso, el retorno venoso pulmonar.
- En mayores de 40 años valorar la eventualidad de lesiones asociadas (coronarias).
TRATAMIENTO
El tratamiento de la CIA en pacientes mayores de 40 años es muchas veces causa de discusión. En un interesante artículo se muestra la experiencia de un grupo de trabajo analizando pacientes portadores de CIA que son evaluados en subgrupos diferentes, observando: a) la historia natural de adultos sin cierre del defecto; b) la comparación entre cierre quirúrgico y pacientes no tratados, y c) la comparación entre cierre quirúrgico y oclusión percutánea. Se concluye que el tratamiento quirúrgico ofrece mejores resultados que el tratamiento médico solo. Además el tratamiento debe ser iniciado lo antes posible, incluso cuando los síntomas funcionales sean mínimos. La seguridad y la eficacia del implante percutáneo de un oclusor evidenció resultados superiores a la cirugía respeto a algunas complicaciones, aunque esta diferencia no fuera significativa en adultos menores de de 40 años (19-21).
1. En primer lugar debemos definir los criterios de indicación y contraindicación de cierre:
a) El cierre está indicado ante la existencia de uno o más de los siguientes factores:
- dilatación de cavidades derechas;
- relación QP/QS mayor de 1,5:1;
- embolia paradojal;
- HTAP leve a moderada y progresiva;
- resistencia vascular pulmonar menor de 2/3 de la sistémica o con respuesta positiva al test con vasodilatadores;
- CIA de tamaño pequeño pero asociada a aneurisma septal, arritmias auriculares y/o fenómenos embólicos.
b) El cierre está contraindicado cuando exista:
- negativa por parte del paciente a autorizar el procedimiento de cierre;
- procesos infecciosos locales, locorregionales o sistémicos;
- síndrome de Eisenmenger;
- diagnóstico de la CIA en el transcurso de un embarazo;
- severa disfunción ventricular izquierda.
2. En segundo lugar debemos elegir la vía de cierre: percutánea o quirúrgica.
Frente a un defecto interauricular tipo ostium secundum se plantea el cierre percutáneo si los bordes son aptos para la colocación de un dispositivo. Los diferentes patrones morfológicos de los defectos septales orientan la elección del tipo de tratamiento así como los criterios para su inclusión. El procedimiento percutáneo es eficaz en tratar defectos con una morfología más simple, en cambio el cierre quirúrgico se realizará en defectos de mayor tamaño y más complejos (con dos o más bordes deficientes) o multifenestrados (22,23).
Existe evidencia que indica que cuando son hemodinámicamente significativos los defectos del septo auricular en adultos deben ser ocluidos independientemente de la sintomatología. Aunque el cierre quirúrgico es seguro y eficaz, el cierre con dispositivo implica menor morbilidad.
Varios dispositivos se han investigado en las últimas décadas, pero en la actualidad, sólo dos, el Amplatzer® y el Helex® han recibido la aprobación de la FDA. El primero es útil en la mayoría de los defectos, mientras que el segundo es muy útil en los pequeños y medianos defectos. El único dispositivo autorizado actualmente en nuestro medio para el cierre percutáneo de la CIA es el Amplatzer ® ASD AGA Minneapolis, EE.UU. (24).
La mayor edad al momento del cierre de la CIA no es un factor de riesgo para muerte tardía por arritmia o insuficiencia cardíaca en adultos. Sin embargo, los pacientes de mayor edad se presentan más a menudo con HTAP. Dado que la presión arterial pulmonar elevada es predictiva de muerte tardía por arritmia o insuficiencia cardiaca, se justifica el cierre lo más precoz posible del defecto septal interatrial (25).
El procedimiento percutáneo se llevará a cabo en una sala de hemodinamia, bajo anestesia general, con estrictas normas de asepsia, equipada con todo el material necesario (equipo de rayos y de registro de ECG, presión sistémica no invasiva, saturometría de pulso así como catéteres, balones, dispositivos, etcétera) para realizar el tratamiento de las cardiopatías congénitas y sus eventuales complicaciones, con personal capacitado y entrenado a tales efectos. En esta patología se requiere del trabajo en conjunto con el ecocardiografista cardíaco, preferentemente utilizando la vía transesofágica, aunque se pueden utilizar las vías transtorácica o intracardíaca.
El procedimiento se subdivide en varias etapas:
1) Confirmar los datos existentes sobre el defecto septal y los bordes de separación con las estructuras vecinas.
2) Heparinización sistémica con heparina sódica a una dosis de 100 u/kg.
3) Medición del diámetro real del defecto mediante la colocación de un balón medidor introducido por vía venosa femoral y controlando su insuflación hasta la desaparición del flujo Doppler color desde aurícula izquierda a aurícula derecha. Ese diámetro servirá de guía para la elección del tamaño del dispositivo, que será 2 mm mayor.
4) Introducir el dispositivo, unido mediante un sistema de rosca a un cable guía, a través de una vaina tipo Mullins posicionada en aurícula izquierda (extremando los cuidados para evitar la introducción de aire) y realizar su despliegue a nivel del defecto septal.
5) Manteniéndolo unido al cable guía se controlará mediante fluoroscopia y ecocardiograma su correcta posición y ausencia de compromiso de estructuras vecinas.
6) Liberación del dispositivo y control ulterior.
El paciente queda internado un promedio de 18-24 horas. Se realiza cobertura antibiótica con cefalosporinas y se indica ácido acetilsalicílico 250 mg diarios por el término de seis meses. No realizar actividad física durante el primer mes postimplante. Se realizará profilaxis de endocarditis infecciosa por el término de seis meses.
El cierre quirúrgico de los defectos cardíacos congénitos en adultos (incluida la CIA) ha demostrado ser muy seguro, beneficioso, y de bajo riesgo (26).
Si no tiene indicación de oclusión percutánea se efectuará el cierre quirúrgico.
El abordaje quirúrgico habitual es por esternotomía mediana. Por razones estéticas se puede plantear el abordaje submamario derecho. Este procedimiento es de muy baja mortalidad y morbilidad. Requiere circulación extracorpórea, hipotermia moderada, clampeo de aorta y se accede al defecto mediante apertura de la aurícula derecha.
Se ocluye la comunicación utilizando un parche de pericardio autólogo o heterólogo (bovino), no se realiza cierre directo para evitar distorsión de las estructuras adyacentes.
Frente a una CIA tipo ostium primum se debe valorar la posición anatómica del nodo auriculoventricular y del haz de His, y colocar los puntos de sutura del parche muy superficiales en la zona correspondiente a la topografía del seno coronario.
Frente a la imposibilidad de realizar esta maniobra quirúrgica se puede optar por posicionar el parche dejando el drenaje del seno coronario en el atrio izquierdo. Frecuentemente el ostium primum se acompaña de insuficiencia de la válvula mitral (cleft de la valva mayor) sobre el cual se realiza plastia durante el procedimiento de cierre de la comunicación. La ecocardiografía transesofágica en el intraoperatorio es fundamental para determinar la correcta plastia valvular. Es poco frecuente la necesidad de sustitución valvular.
En caso de tratarse de una CIA tipo seno venoso con anomalía parcial del retorno venoso pulmonar se cierra el defecto con un parche que derive el flujo pulmonar hacia la aurícula izquierda.
Frente a la presencia de HTAP moderada, con test vasodilatador positivo, se podrá realizar el cierre del defecto mediante colocación de un parche valvulado (válvula de seguridad que en caso de incremento de la presión arterial pulmonar evita de esa manera una crisis de HTAP).
En presencia de una arritmia auricular intermitente o crónica se puede plantear la realización del procedimiento de Maze.
Habitualmente el paciente queda internado un promedio de 7-10 días con cobertura antibiótica con cefalosporinas.
En las primeras dos semanas se debe descartar la aparición precoz del síndrome postpericardiotomía (fiebre, malestar, decaimiento, sintomatología digestiva, etcétera); su tratamiento oportuno (antiinflamatorios no esteroideos, corticoides, drenaje) evita el taponamiento cardíaco.
No se autoriza realizar actividad física durante los tres primeros meses y se realiza profilaxis de endocarditis infecciosa por el término de seis meses.
Un capítulo aparte lo constituye la oclusión de la CIA en pacientes adultos con factores de riesgo asociados: edad avanzada, falla cardíaca sistólica o diastólica sea del corazón derecho o izquierdo, HTAP con o sin shunt derecha-izquierda, constituyendo un riesgo considerable de falla cardíaca (27).
Incluso en pacientes complicados con fibrilación auricular permanente el cierre percutáneo de la CIA puede contribuir a la mejoría de los síntomas, así como la remodelación de la geometría cardíaca (28).
En caso de recibir tratamiento anticoagulante previo a efectuar el cierre del defecto, deberá coordinarse su reemplazo por heparina cálcica administrada vía subcutánea con diez días de antelación, controlando con tiempo de protrombina e INR inmediatamente antes del mismo. Posteriormente se mantendrá de persistir la causa por la cual se indicó el mismo.
EVOLUCIÓN, PRONÓSTICO Y SEGUIMIENTO
Dejados a su evolución natural y según el tamaño de la CIA, los pacientes pueden estar asintomáticos hasta transcurridos varios años de vida. Una CIA pequeña puede ser incluso un hallazgo en pacientes que se les realiza un ecocardiograma por cualquier otra indicación. Cuando el tamaño de la CIA y el cortocircuito son significativos aparecen síntomas de adulto. Puede ocurrir en cualquier momento, pero predomina en la segunda década de la vida. Comienzan a referir fatiga, intolerancia al ejercicio y a veces debutan con arritmias.
Luego de la tercera década hasta 50% de los pacientes no tratados presentan algún tipo de arritmia supraventricular. Esto afecta la calidad de vida y además habla de una peor situación hemodinámica y peor pronóstico aun luego de reparada.
Después de los 60 años los efectos de la CIA se comienzan a intrincar con otras cardiopatías agregadas, fundamentalmente la isquémica y la hipertensiva. La disminución de la complacencia del ventrículo izquierdo determina un aumento del cortocircuito izquierda derecha y aparecen signos de falla cardíaca derecha.
La evolución a la HTAP puede estar presente ya en la tercera década de la vida. Se puede observar en 20% de los casos de CIA, pero menos de 10% desarrollarán un síndrome de Eisenmenger propiamente dicho. Debe siempre descartarse que no haya otra malformación acompañando la CIA, como el drenaje venoso anómalo, la enfermedad valvular y malformación arterial pulmonar.
En mujeres con CIA sin hipertensión pulmonar el embarazo y parto suelen ser bien tolerados, aunque pueden ocurrir arritmias supraventriculares. Si existe hipertensión pulmonar el riesgo materno-fetal es mayor. En caso de síndrome de Eisenmenger el embarazo está formalmente contraindicado dado que la mortalidad materna es cercana a 50%.
El riesgo de endocarditis en la CIA es menor de lo que antes se pensaba.
CIERRE QUIRÚRGICO
Existe información a largo plazo sobre la evolución de pacientes adultos operados por CIA. La mortalidad a ocho años por arritmias, accidentes vasculares o insuficiencia cardíaca es de 4%. Los pacientes que son operados luego de los 40 años tienen mayor grado de hipertensión pulmonar. Este sería el predictor independiente más fuerte de mala evolución y no propiamente la edad. Igualmente, por la relación directa entre la edad y la hipertensión pulmonar se sugiere intervenir (25).
Como veremos más adelante, los pacientes operados pueden presentar arritmias supraventriculares aunque la cirugía haya sido exitosa. También pueden verse trastornos de la conducción auriculoventricular progresivos y requerir el implante de un marcapaso definitivo.
En caso de CIA tipo ostium primum puede ocurrir insuficiencia mitral progresiva. La lesión puede adquirir un grado mayor al observado antes de la primera intervención y requerir finalmente la sustitución valvular.
Salvando lo mencionado, la evolución de los pacientes operados a tiempo suele ser muy buena.
CIERRE PERCUTÁNEO
Se han descrito complicaciones a corto plazo del cierre percutáneo, pero la mayoría vinculadas a tipos de prótesis o técnicas que ya no se emplean. Se ha visto la migración del dispositivo en casos incorrectamente seleccionados. La perforación de la pared auricular y taponamiento con el uso de dispositivos de gran tamaño. Se ha informado también el bloqueo auriculoventricular transitorio durante el implante pero es muy raro en el seguimiento.
Tampoco hay progresión de la insuficiencia mitral (29,30).
En 95% de los pacientes que se plantea el cierre percutáneo se logra realizar y a los seis meses prácticamente todos las CIA tratadas están efectivamente cerradas. Existe 5% de complicaciones menores y las mayores son menos de 1%. La incidencia de complicaciones y el tiempo de internación son menores que con la cirugía (31,32).
ARRITMIAS
Luego del cierre quirúrgico ocurren arritmias auriculares entre 12% y 14% de los pacientes. El 70% de los casos son fibrilación auricular y el resto otro tipo de taquicardias auriculares (33,34). A pesar de que no se observe el patrón electrocardiográfico característico del flúter típico, más de 90% de estas taquicardias auriculares son macrorreentradas que involucran el istmo cavo-tricuspídeo (35). Las cicatrices contribuyen parcialmente a establecer el circuito y la ablación del istmo sigue siendo altamente efectiva. Cuando se presenta más de un tipo de arritmia las técnicas combinadas de ablación y antiarrítmicos suelen brindar mejoría sintomática.
El 20% de los pacientes enviados a cirugía tienen arritmias auriculares previas. Para Gatzoulius y colaboradores las únicas variables asociadas de forma independiente con la ocurrencia de arritmias, luego de la intervención, son tener arritmias previamente y la reparación tardía. Ponen como punto de corte significativo los 40 años de edad. En el análisis univariado, la clase funcional, la hipertensión arterial, la hipertensión pulmonar y otras cirugías asociadas, principalmente la valvular, tuvieron también una asociación significativa (34).
A pesar de las cicatrices auriculares que quedan luego de la cirugía, con ella se prevendría mejor la recurrencia de flúter que de fibrilación auricular (36).
Dado que los pacientes con fibrilación o flúter auricular previos a la cirugía son los que luego tienen mayor incidencia de las mismas arritmias, se ha planteado que junto al cierre de la CIA se realice de rutina la ablación con radiofrecuencia irrigada a cielo abierto. Con ello se logra una recurrencia muy baja de arritmias sin agregar complicaciones (37). Recientes estudios informan de la utilidad de los mapeos electroanatómicos en la localización de los sitios de reentrada pericicatricial, tanto de la atriotomía como en la zona de inserción del parche, lo que facilitaría la ablación disminuyendo tiempo y dosis de radiación para paciente y operador (38).
La evolución del ritmo luego del cierre percutáneo está menos establecida. Dado que es una técnica más nueva que la quirúrgica, los tiempos de seguimiento informados son menores. En la población total de pacientes tratados la ocurrencia de arritmias está entre 5% y 12% (39,40). En la subpoblación de pacientes sin arritmias previas la aparición de una arritmia supraventricular nueva es menor a 2% (41). Estos porcentajes son menores que para el cierre quirúrgico pero no hay estudios comparativos prospectivos. Dadas las ventajas del cierre percutáneo y que ambas técnicas ya están indicadas en distintas poblaciones, probablemente nunca se realizarán.
Giardini y colaboradores en el seguimiento de 134 pacientes a cinco años encontraron una muy baja incidencia de arritmias. Entre los que no habían tenido arritmias antes del cierre o solo fibrilación auricular paroxística no hubo ningún caso, y entre los que tenían alguna arritmia previa se logró mantener el ritmo sinusal en la mitad (39). Silversides y colaboradores analizaron una población de pacientes algo más evolucionados, en los que no tenían arritmias antes del cierre, ninguno presentó arritmias persistentes a los 17 meses pero sí paroxísticas en los que tenían arritmia paroxística previa dos tercios no volvieron a presentar ninguna y en los que tenían arritmia permanente todos la mantuvieron a pesar del tratamiento (42). El mismo grupo informó resultados similares a dos años de seguimiento. Como en la reparación quirúrgica, la mayor edad al momento del cierre y las arritmias previas están asociadas a la ocurrencia de arritmias en la evolución (43).
Esto tiene un fundamento fisiopatológico conocido. Hay alteraciones de las propiedades eléctricas del miocardio auricular que persisten a pesar del cierre (44,45).
Las arritmias rápidas auriculares aparecen siempre en los primeros meses de intervenidos. Por el contrario, la evolución al bloqueo auriculoventricular de alto grado, aunque muy poco frecuente, puede ocurrir años después de reparada la CIA (40). Se recomienda tener un encare agresivo para conservar el ritmo sinusal en los pacientes que instalan arritmias en las primeras semanas de cerrada la CIA y más si no han tenido arritmia permanente previa. En la mayoría de los casos se logrará mantener el ritmo sinusal (28).
Mediante estudio Doppler tisular se puede calcular el índice de performance miocárdica (MPI), lo que nos permitirá evaluar la función ventricular derecha en pacientes con defecto septal interatrial. En comparación con los sujetos control, el MPI fue significativamente mayor en pacientes con CIA, sugiriendo disminución de la función ventricular derecha. Después de realizar el cierre del defecto, el MPI se redujo notablemente demostrando mejoría de la función ventricular derecha (46-49).
BIBLIOGRAFÍA
1. Attie F. Cardiopatías congénitas en el adulto. Madrid: Elsevier Science, 2003: 334p.
2. Campbell M. Natural history of atrial septal defect. Br. Heart J 1970; 32: 820-5.
3. Rigatelli G, Cardaioli P, Hijazi ZM. Contemporary clinical management of atrial septal defects in the adult. Expert Rev Cardiovasc Ther 2007; 5: 1135-46.
4. Ho SY, Rigby ML, Anderson RH. Echocardiography in congenital heart disease made simple. London: Imperial college press, 2005.
5. Ho SY, Baker EJ, Rigby ML, Anderson RH. Color atlas of congenital heart disease. Morphologic and clinical correlations. London: Mosby-Wolfe, 1995.
6. Ho SY. Hands-on course in cardiac morphology, 2005: cap.5-7.
7. Anderson RH, Ho SY. The anatomy of septal defects revisited. Recent Advances in Cardiology 1987; 10: 1-26.
8. Becker EB, Anderson RH. Cardiac pathology. An integrated text and colour atlas. London: Churchill Livingstone, 1983.
9. Devine WA, Anderson RH. Superior caval to pulmonary venous fistula. The progenitor of the sinus venosus defect? Pediatr Pathol 1989; 9: 345-349.
10. Ho SY, McCarthy KP, Josen M, Rigby ML. Anatomic-echocardiographic correlates: an introduction to normal and congenitally malformed hearts. Heart 2001; 86(supplII): ii3-ii11.
11. Bharati S, Lev M. The spectrum of common atrioventricular orifice (canal). Am Heart J 1973; 86: 553-561.
12. Bharati S, Lev M. The pathology of congenital heart disease. A personal experience with more than 6300 congenitally malformed hearts. New York: Futura, 1996.
13. Levin AR, Spach MS, Boineau JP, Canent RV, Capp MP, Jewett PH. Pressure-Flow Dynamics in Atrial Septal Defects (Secundum Type). Circulation 1968; 37: 476-88.
14. Arat N, Sökmen Y, Altay H, Ozcan F, Ilkay E. Left and right atrial myocardial deformation properties in patients with an atrial septal defect. Echocardiography 2008; 25: 401-7.
15. Rabinovith M. New concepts in pulmonary vascular disease. In: Freedom RM. Congenital Heart Disease. Philadelphia: Current Medicine, 1997: 1-10.
16. Roberts-Thomson KC, John B, Worthley SG, Brooks AG, Stiles MK, Lau DH, et al. Left atrial remodeling in patients with atrial septal defects. Heart Rhythm. 2009; 6: 1000-6.
17. O’Toole JD, Reddy PS, Curtiss EI, Shaver JA. The mechanism of splitting of the second heart sound in atrial septal defect . Circulation 1977; 56: 1047-53.
18. Thilén U, Carlson J, Platonov PG, Havmöller R, Olsson SB. Prolonged P wave duration in adults with secundum atrial septal defect: a marker of delayed conduction rather than increased atrial size? Europace 2007; Suppl 6: vi105-8.
19. Rosas M, Attie F. Atrial septal defect in adults. Timely Top Med Cardiovasc Dis 2007; 11: E34.
20. Kharouf R, Luxenberg DM, Khalid O, Abdulla R. Atrial septal defect: spectrum of care. Pediatr Cardiol 2008; 29: 271-80.
21. Murphy JG, Gersh BJ, McGoon MD, Mair DD, Porter CJ, Ilstrup DM, et al. Long-term outcome alter surgical repair of isolated atrial septal defect. Follow-up at 27 to 32 years. N Engl J Med 1990; 13: 1645-1650.
22 Rosas M, Zabal C, Garcia-Montes J, Buendia A, Webb G, Attie F. Transcatheter versus surgical closure of secundum atrial septal defect in adults: impact of age at intervention. A concurrent matched comparative study. Congenit Heart Dis 2007; 2: 148-55.
23. Providência R, Quintal N, Costa M, Botelho A, Silva J, Seca L, et al. Echocardiographic assessment of secundum-type atrial septal defects in the adult: role in treatment decisions. Rev Port Cardiol 2008; 27: 1263-73.
24. Rao PS. When and How should atrial septal defects be closed in adults?. J Invasive Cardiol 2009; 21: 76-82.
25 Hörer J, Müller S, Schreiber C, Kostolny M, Cleuziou J, Prodan Z, et al. Surgical closure of atrial septal defect in patients older than 30 years: risk factors for late death from arrhythmia or heart failure. Thorac Cardiovasc Surg 2007; 55: 79-83.
26. Vida VL, Berggren H, Brawn WJ, Daenen W, Di Carlo D, Di Donato R, et al. Risk of surgery for congenital heart disease in the adult: a multicentered European study. Ann Thorac Surg 2007; 83: 161-8.
27. Bruch L, Winkelmann A, Sonntag S, Scherf F, Rux S, Grad MO, et al. Fenestrated occluders for treatment of ASD in elderly patients with pulmonary hypertension and/or right heart failure. J Interv Cardiol 2008; 21: 44-9.
28. Taniguchi M, Akagi T, Ohtsuki S, Okamoto Y, Tanabe Y, Watanabe N, et al. Transcatheter closure of atrial septal defect in elderly patients with permanent atrial fibrillation. Catheter Cardiovasc Interv 2009; 73: 682-6.
29. Hill SL, Berul CI, Patel HT, Rhodes J, Supran SE, Cao QL, et al. Early ECG abnormalities associated with transcatheter closure of atrial septal defects using the Amplatzer septal occlude. J Interv Card Electrophysiol 2000; 4: 469-74.
30. Wilson NJ, Smith J, Prommete B, O’Donnell C, Gentles TL, Ruygrok PN. Transcatheter closure of secundum atrial septal defects with the Amplatzer septal occluder in adults and children-follow-up closure rates, degree of mitral regurgitation and evolution of arrhythmias. Heart Lung Circ 2008; 17: 318-24.
31. Majunke N, Bialkowski J, Wilson N, Szkutnik M, Kusa J, Baranowski A, et al. Closure of atrial septal defect with the Amplatzer septal occluder in adults. Am J Cardiol 2009; 103: 550-4.
32. Du ZD, Hijazi ZM, Kleinman CS, Silverman NH, Larntz K; Amplatzer Investigators. Comparison between transcatheter and surgical closure of secundum atrial septal defect in children and adults: results of a multicenter nonrandomized trial. J Am Coll Cardiol 2002; 39: 1836-44.
33. Mantovan R, Gatzoulis MA, Pedrocco A, Ius P, Cavallini C, De Leo A, et al. Supraventricular arrhythmia before and after surgical closure of atrial septal defects: spectrum, prognosis and management. Europace 2003; 5: 133-8.
34. Gatzoulis MA, Freeman MA, Siu SC, Webb GD, Harris L. Atrial arrhythmia after surgical closure of atrial septal defects in adults. N Engl J Med 1999; 340: 839-46.
35. Magnin-Poull I, De Chillou C, Miljoen H, Andronache M, Aliot E. Mechanisms of right atrial tachycardia occurring late after surgical closure of atrial septal defects. J Cardiovasc Electrophysiol 2005; 16: 681-7.
36. Berger F, Vogel M, Kramer A, Alexi-Meskishvili V, Weng Y, Lange PE, et al. Incidence of atrial flutter/fibrillation in adults with atrial septal defect before and after surgery. Ann Thorac Surg 1999; 68: 75-8.
37. Giamberti A, Chessa M, Foresti S, Abella R, Butera G, de Vincentiis C, et al. Combined atrial septal defect surgical closure and irrigated radiofrequency ablation in adult patients. Ann Thorac Surg 2006; 82: 1327-31.
38. Halimi F, Marquez M, Lacotte J, Hidden-Lucet F, Tonet J, Frank R. Three-dimensional electroanatomical mapping of right periatriotomy tachycardias after interatrial defect correction. Arch Cardiovasc Dis 2008; 101: 533-8.
39. Giardini A, Donti A, Sciarra F, Bronzetti G, Mariucci E, Picchio FM. Long-term incidence of atrial fibrillation and flutter after transcatheter atrial septal defect closure in adults. Int J Cardiol 2009; 134: 47-51.
40. Spies C, Khandelwal A, Timmermanns I, Schräder R. Incidence of atrial fibrillation following transcatheter closure of atrial septal defects in adults. Am J Cardiol 2008; 102: 902-6.
41. Szkutnik M, Lenarczyk A, Kusa J, Bia³kowski J. Symptomatic tachy- and bradyarrhythmias after transcatheter closure of interatrial communications with Amplatzer devices. Cardiol J 2008; 15: 510-6.
42. Silversides CK, Siu SC, McLaughlin PR, Haberer KL, Webb GD, Benson L, et al. Symptomatic atrial arrhythmias and transcatheter closure of atrial septal defects in adult patients. Heart 2004; 90: 1194-8.
43. Silversides CK, Haberer K, Siu SC, Webb GD, Benson LN, McLaughlin PR, et al. Predictors of atrial arrhythmias after device closure of secundum type atrial septal defects in adults. Am J Cardiol 2008; 101: 683-7.
44. Spies C, Khandelwal A, Timmermanns I, Schräder R. Incidence of atrial fibrillation following transcatheter closure of atrial septal defects in adults. Am J Cardiol. 2008; 102: 902-6.
45. Giardini A, Donti A, Sciarra F, Bronzetti G, Mariucci E, Picchio FM. Long-term incidence of atrial fibrillation and flutter after transcatheter atrial septal defect closure in adults. Int J Cardiol 2009; 134: 47-51.
46. Ding J, Ma G, Wang C, Huang Y, Zhang X, Zhu J, et al. Acute effect of transcatheter closure on right ventricular function in patients with atrial septal defect assessed by tissue Doppler imaging. Acta Cardiol 2009; 64: 303-9.
47. Teo KS, Dundon BK, Molaee P, Williams KF, Carbone A, Brown MA, et al. Percutaneous closure of atrial septal defects leads to normalisation of atrial and ventricular volumes. J Cardiovasc Magn Reson 2008; 10: 55.
48. Ma XJ, Huang GY, Liu F, Wu L, Sheng F, Tao ZY. The impacts of transcatheter occlusion for congenital atrial septal defect on atrial volume, function, and synchronicity in children: a three-dimensional echocardiography study. Echocardiography 2008; 25: 1101-11.
49. Di Salvo G, Drago M, Pacileo G, Rea A, Carrozza M, Santoro G, et al. Atrial function after surgical and percutaneous closure of atrial septal defect: a strain rate imaging study. J Am Soc Echocardiogr 2005; 18: 930-3. .













