Servicios Personalizados
Revista
Articulo
Links relacionados
Compartir
Revista Uruguaya de Cardiología
versión On-line ISSN 1688-0420
Rev.Urug.Cardiol. vol.24 no.2 Montevideo set. 2009
ARCHIVOS DE IMÁGENES
Válvula aórtica cuadricúspide
DR. ÁLVARO BÁEZ
Servicio de Cardiología. Asociación Española Primera de Socorros Mutuos.
Recibido abril 22, 2009; aceptado junio 12, 2009.
Figura 1 nnnnnnnnnnnnnnnnnnnnnnnnnnnnnnnnnnnnFigura 2
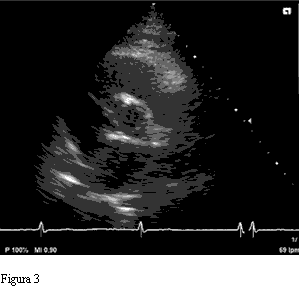
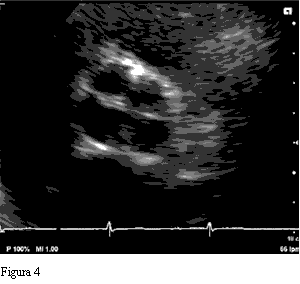
Figura 3 nnnnnnnnnnnnnnnnnnnnnnnnnnnnnnnnnnnnFigura 4
Se presentan las imágenes ecocardiográficas de un hombre de 75 años, tratado por hipertensión arterial, sin síntomas cardiovasculares. El estudio se realizó como rutina para evaluación de su hipertensión.
El ecocardiograma transtorácico mostró un ventrículo izquierdo hipertrófico, con buena función sistólica. La válvula aórtica es cuadricúspide, con cuatro valvas de igual tamaño, y una insuficiencia de grado leve.
La válvula aórtica cuadricúspide es una rara anomalía congénita. El primer caso fue reportado en el año 1862 por Balington (1) como hallazgo de autopsia, fuente de donde provienen la mayoría de las descripciones, aunque también se reportan en cirugías de cambio valvular aórtico. Actualmente, con la mejora en las técnicas de imagen, el diagnóstico es muchas veces un hallazgo inesperado en un ecocardiograma de rutina.
Dos reportes de autopsias muestran una incidencia de 0,008% (dos en 25.666 necropsias) (2) y 0,033% (dos en 6.000 necropsias) (3). Entre 225 pacientes que recibieron reemplazo valvular aórtico se reportaron ocho casos con válvula aórtica cuadricúspide (incidencia de 0,88% en este grupo) (4). Por último, en una serie de 60.446 ecocardiogramas se encontraron ocho válvulas aórticas cuadricúspides, (incidencia de 0,013%) (5).
Generalmente se presenta en forma aislada pero puede asociarse a otras malformaciones congénitas. Hay unos pocos reportes que informaron de ductus arterioso permeable, comunicación interventricular (3), estenosis pulmonar, miocardiopatia hipertrófica (6), estenosis fibromuscular subaórtica (7), alteraciones en el nacimiento u obstrucción de ostia coronarios del cual refieren una asociación cercana al 10% (8-10).
Hurwitz y Roberts introducen una clasificación que incluye siete diferentes subtipos, de acuerdo al tamaño de las cuatro cúspides, denominándolos de la A a la G (3).
Las formas más prevalentes son la tipo B con tres cúspides de igual tamaño y una menor o rudimentaria, y la tipo A, como en nuestro caso, donde las cuatro cúspides presentan el mismo tamaño (8).
La anomalía funcional que presenta con mayor frecuencia esta valvulopatía es la insuficiencia, siendo rara la aparición de una estenosis. Existe alta prevalencia de insuficiencia severa en pacientes con valvas de diferente tamaño (6,11).
REFERENCIAS BIBLIOGRáFICAS
1. Balington, quoted by Robicsdc F, Sanger PW, Daugherty HK. Congenital quadricuspid aortic valve with displacement of the left coronary orifice. Am J Cardiol 1969; 23: 288-90.
2. Simonds JP. Congenital malformations of the aortic and pulmonary valves. Am J Med Sci 1923; 166: 584-95.
3. Hurwitz LE, Roberts WC. Quadricuspid semilunar valve. Am J Cardiol 1973; 31: 623-6.
4. Olson LJ, Subramanian R, Edwards WD. Surgical pathology of pure aortic insufficiency: a study of 225 cases. Mayo Clin Proc 1984; 59: 835-41.
5. Feldman BJ, Khandheria BK, Warnes CA, Seward JB, Taylor CL, Tajik AJ. Incidence, description and functional assessment of isolated quadricuspid aortic valves. Am J Cardiol 1990; 65: 937-8.
6. Janssens U, Klues HG, Hanrath P. Congenital quadricuspid aortic valve anomaly associated with hypertrophic non-obstructive cardiomyopatha case report and review of the literature. Heart 1997; 78: 83-7.
7. Iglesias A, Oliver J, Munoz JE, Nunez L. Quadricuspid aortic valve associated with fibromuscular subaortic stenosis and aortic regurgitation treated by conservative surgery. Chest 1981; 80: 327-8.
8. Tutarel O. The quadricuspid aortic valve: a comprehensive review. J Heart Valve Dis 2004; 13: 534-72.
9. Kurosawa H, Wagenaar SS, Becker AE. Sudden death in a youth. A case of quadricuspid aortic valve with isolation of origin of left coronary artery. Br Heart J 1981; 46: 211-5.
10. Robicsek F, Sanger PW, Daugherty HK, Montgomery CC. Congenital quadricuspid aortic valve with displacementof the left coronary orifice. Am J Cardiol 1969; 23: 288-90.
11. Sievers HH, Regensburger D, Bernhard A. Quadricuspid aortic valve with significant insufficiency. J Thorac Cardiovasc Surg 1981; 30: 44-5.
Con este artículo incluimos por primera la posibilidad de visualizar on-line un video con las imágenes ecocardiográficas originales, a través de un vínculo al que se puede acceder en la página web de la revista: www.suc.org.uy/revista.htm.













