Services on Demand
Journal
Article
Related links
Share
Revista Uruguaya de Cardiología
On-line version ISSN 1688-0420
Rev.Urug.Cardiol. vol.20 no.2 Montevideo 2005
Endocarditis infecciosa complicada.
Insuficiencia mitral, oclusión arterial de miembro inferior, absceso esplénico
Dres. Alejandro Heuer 1, Leonardo González 1, Favio Gutiérrez 2, Daniel Bigalli 3, Raúl Blanco 4
1. Cirujano Servicio CICU.
2. Profesor Adjunto de Cirugía Cardíaca. CICU.
3. Cirujano. Jefe de trasplante CICU.
4. Cirujano vascular.
Resumen
Se presenta un caso clínico de endocarditis infecciosa en el que se desarrollan concomitantemente tres complicaciones mayores: una cardíaca (insuficiencia mitral severa) y dos extracardíacas, actualmente muy poco frecuentes: oclusión arterial aguda embólica de miembro inferior y absceso esplénico.
Realizamos asimismo una somera discusión referente a la actualización de la terapéutica de dichas complicaciones.
Palabras clave: Endocarditis bacteriana
Insuficiencia de la válvula mitral
Summary
We present a clinical case of infective endocarditis in which three major complications are developed at the same time, a cardiac one (severe mitral regurgitation), and two extracardiac ones: low limb embolic acute arterial occlusion and splenic abscess.
We also make a brief discussion updating the therapeutic of the complications.
Key words: Endocarditis bacterial
Mitral valve insufficiency
CASO CLÍNICO
Antecedentes de la Enfermedad Actual
Mujer de 55 años con AP de HTA, dislipemia, hiperuricemia, diabetes tipo II, IRC con diuresis conservada, ex tabaquista y alcoholista. Sepsis ginecoobstétrica en 1998 complicada con coagulación intravascular diseminada, requiriendo histerectomía y anexectomía.
Arteriopatía obstructiva crónica de MMII, con claudicación intermitente.
Motivo de Ingreso
Síncopes, inestabilidad en la marcha y cuadro confusional. TAC de cráneo y Holter normales. ETT: cardiopatía hipertensiva con FEVI conservada e insuficiencia valvular mitral de grado leve.
Urocultivo: Bacilo Gram negativo sólo sensible a imipenem.
Anemia hipocrómica microcítica severa que requiere reposición hematológica.
A los 20 días presenta síndrome febril con hemocultivo positivo a enterococo, instalando insuficiencia cardíaca con edema pulmonar, ingresando a CTI.
Al examen físico: fascies tóxica, hemorragias en astilla en dedos de mano, hemodinamia estable y aumento de la intensidad del soplo sistólico (grado 5/6), con irradiación a axila y dorso. Isquemia aguda de miembro inferior izquierdo.
Con diagnóstico presuntivo de endocarditis infecciosa se realiza ETE que objetiva vegetaciones en ambas valvas mitrales, con eversión de la valva anterior y parte del aparato subvalvular, e insuficiencia valvular mitral severa.(1)
Concomitantemente se realiza eco doppler arterial a izquierda que confirma oclusión arterial aguda de arterias femorales común y profunda, y oclusión crónica de femoral superficial del mismo miembro.
En valoración en conjunto por los equipos de cirugía cardiaca y vascular se propone realizar exploración vascular.
Se realiza abordaje del trípode femoral izquierdo con anestesia local, se objetiva la presencia a dicho nivel de un severo complejo inflamatorio, constatándose un aneurisma micótico en arteria femoral común y un absceso en el plano yuxtavascular. Se drena el absceso, logrando el control del foco séptico inguinal izquierdo.
Se difiere el tratamiento definitivo, es decir el reemplazo de la arteria femoral infectada por homoinjerto arterial cadavérico criopreservado, a realizar en conjunto con la cirugía cardiaca y una vez coordinado con el Banco Nacional de Órganos y Tejidos.
Evoluciona en el postoperatorio inmediato con inestabilidad hemodinámica y edema pulmonar que requiere ARM, compensándose parcialmente con tratamiento médico intensivo.
El riesgo de mortalidad operatoria estimado por el EuroSCORE era de 47%.(2)
Cirugía Cardiovascular
Se constata válvula mitral con grandes vegetaciones en ambas valvas, ruptura de cuerdas tendinosas de primer orden en valva anterior. Figura 1
Resección de valvas y aparato subvalvular comprometido, efectuándose reemplazo valvular mitral por bioprótesis porcina Hancock II Nº25.
Luego del cierre esternal se realiza el abordaje amplio del eje iliaco femoral izquierdo (incisión inguinocrural y de fosa iliaca interna por vía extraperitoneal), y se resecan las arterias comprometidas, sustituyendo el trípode femoral por un segmento de arteria criopreservada. FIGURA 2
El trombo séptico de arteria femoral cultiva enterococo sensible a ampicilina sulbactam.
Evoluciona en el postoperatorio con shock mixto séptico y cardiogénico, requiriendo 4 drogas inotrópicas y BIAC, ultrafiltración y hemodiálisis, antibioticoterapia en base a imipenem y ampicilina sulbactam.
Mejoría paulatina de los parámetros vitales, permitiendo discontinuar los inotrópicos y retomando diuresis al 8º día postoperatorio, sin actividad infecciosa bajo ATB, comenzándose la desvinculación de la ARM.
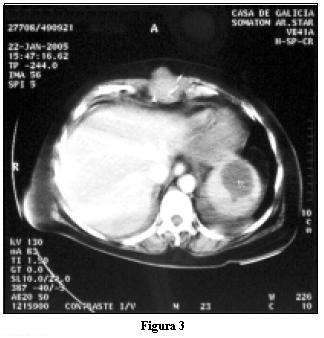
Al 11º día síndrome febril con episodio de bacteriemia que provoca caída de la diuresis y reinstalación de inotrópicos. Ronda bacteriológica negativa, ETE s/p, TAC de cráneo s/p y TAC abdominopélvica que objetiva imagen esplénica polar superior compatible con absceso de 45 mm de diámetro. FIGURA 3
Se realiza esplenectomía de urgencia por vía convencional. FIGURA 4
Evolución postoperatoria favorable, es dada de alta completándose la rehabilitación en domicilio.
Discusión
Se trata de una paciente joven, con factores de riesgo cardiovasculares que presenta endocarditis infecciosa con 3 complicaciones mayores de la patología (una cardiaca y dos extracardíacas).
La complicación cardiaca fue el desarrollo de insuficiencia cardíaca aguda secundaria a la insuficiencia valvular mitral de grado severo por destrucción valvular, con edema
pulmonar severo refractario al tratamiento médico, lo que motivó la cirugía de reemplazo valvular mitral de urgencia.(3)(4)(5)
Clásicamente se realiza reemplazo valvular en estos pacientes, aunque en algunos casos con anatomía favorable, es factible la reparación valvular.(6)
Recientemente Carpentier publicó una serie de pacientes con endocarditis mitral activa a los que se les realizó plastia con seguimiento a 10 años, logrando excelentes resultados en cuanto a clase funcional y necesidad de reoperación, por lo que esta puede ser una opción real en casos seleccionados.(7)
En esta paciente, proveniente de medio socioeconómico deficitario, de medio rural y sin fácil acceso a control de anticoagulación, se optó por emplear una válvula biológica a pesar de su edad.(8)
Una de las complicaciones extracardíacas mayores, como la embolia séptica a nivel del trípode femoral izquierdo se manifestó como una complicación mecánica por oclusión aguda del flujo sanguíneo arterial, ocurrió concomitantemente al desarrollo de la insuficiencia cardiaca, y requirió por su complejidad de una resolución en dos tiempos.
En primera instancia se actuó sobre el miembro inferior isquémico, drenando el absceso al tiempo que se optimizaba el tratamiento médico de compensación hemodinámica. Luego se realizó el tratamiento de revascularización definitivo, en el mismo acto que el reemplazo valvular mitral.
El trombo séptico impactó en la arteria femoral ateromatosa, diseminando la infección por los vasa vasorum, desarrollando periarteritis y absceso periarterial.
Los aneurismas micóticos son cada vez menos frecuentes gracias al diagnóstico precoz y a la antibioticoterapia adecuada, y su resolución óptima es técnicamente muy demandante, requiriendo el acceso a injertos cadavéricos criopreservados para evitar la confección de puentes extraanatómicos, que conllevan una alta tasa de fracasos.(9)(10)
La embolia séptica a nivel esplénico se manifestó como un absceso, diagnosticándose 15 días tras la cirugía del reemplazo valvular.
Las embolias esplénicas en el contexto de endocarditis izquierda ocurren en el 5- 10% de los casos.
Cuando ocurren se asocian generalmente a embolias en otras localizaciones, fundamentalmente en el SNC (en esta paciente atribuímos las manifestaciones neurológicas que presentó al ingreso a microembolias encefálicas).(11)(12)
La mayoría producen infartos esplénicos subclínicos, y en un pequeño porcentaje de casos se complican con absceso, siendo frecuentemente único.(13)(14)
Clínicamente el diagnóstico es dificultoso, sobre todo en pacientes inmunodeprimidos, siendo las manifestaciones fiebre e hiperleucocitosis, asociando en ocasiones dolor abdominal y menos frecuentemente derrame pleural izquierdo.
Desde el punto de vista imagenológico es de elección ante su sospecha la realización de TAC, que distingue entre infarto y absceso con una especificidad y sensibilidad de 95 y 92% respectivamente.(13)
El absceso esplénico no tratado, es mortal en prácticamente el 100% de los casos.(15)
El tratamiento médico es generalmente insuficiente, con una mortalidad de 80%.
El tratamiento adecuado es la esplenectomía, con una mortalidad de 6-14%, y una morbilidad de 11-28%.(14)(15)
En algunos casos seleccionados puede realizarse por vía laparoscópica.(15)
Otra opción es el drenaje por punción percutánea guiada imagenológicamente (ecografía, TAC, RMN), siendo escasa la experiencia con que se cuenta en nuestro medio, presentando alta tasa de recurrencia de aproximadamente un 30%.
Es importante intentar descartar y tratar todos los eventuales focos infecciosos activos previo al implante de una prótesis valvular, para minimizar los riesgos de desarrollar una endocarditis sobre válvula protésica.
Por lo tanto, la valoración imagenológica del eje hepatoesplenorenal en las endocarditis que requieren resolución quirúrgica podría estar indicada de rutina en pacientes estables hemodinámicamente.(11)
BIBLIOGRAFÍA
2. Roques F, Michel P, Goldstone AR, Nashef SA. The logistic EuroSCORE. Eur Heart J 2003; 24(9): 882-3.
3. Delahaye F, Célard M, Roth O, de Gevigney G. Indications and optimal timing for surgery in infective endocarditis. Heart 2004; 90(6): 618-20.
4. Horstkotte D, Follath F, Gutschik E, Lengyel M, Oto A, Pavie A, et al. Infective Endocarditis (Guidelines on Prevention, Diagnosis and Treatment of). Task Force of the ESC. European Heart Journal 2004; 25(2): 267-276.
5. Bayer et al. Diagnosis and management of infective endocarditis and its complications. Circulation 1998; 98: 2936.
6. Bigalli D, Filgueira JL. Análisis de pacientes con endocarditis infecciosa sometidos a cirugía. Rev Urug Cardiol 1994; 9: 12-9.
7. Zegdi R, Debièche M, Latrémouille Ch, Lebied D, Chardigny C, Grinda J-M, et al. Long-Term Results of Mitral Valve Repair in Active Endocarditis. Circulation 2005 ; 111(19): 2532-36.
8. Florio L, Pouso J, Larrañaga E, Filgueira JL. Endocarditis infecciosa sobre válvula protésica. Rev Urug Cardiol 2001; 16: 158-165.
9. Pasic M. Mycotic Aneurysm of the Aorta: Evolving Surgical Concept. Ann Thorac Surg 1996; 61: 1053-4.
10. Vogt P, von Segesser L, Goffin Y, Niederhäuser U, Genoni M, Künzli A, et al. Eradication of Aortic Infections With the Use of Cryopreserved Arterial Homografts. Ann Thorac Surg 1996; 62: 640-5.
11. Méndez ML, Vilacosta I, Sarriá C, Fernández C, San Román JA, Sanmartín JV, et al. Endocarditis infecciosa y embolias del eje hepatoesplenorrenal. Rev Esp Cardiol 2004; 57(12): 1188-96.
12. Phillips GS, Radosevich MD, Lippset PA. Splenic abscess: another look at an old disease. Arch Surg 1997; 132: 1331-36.
13. Farres H, Felsher J, Banbury M, Brody F. Management of Splenic Abscess in a Critically Ill Patient. Surg Laparosc Endosc Percut Tech 2004; 14(2): 49-52.
14. Simsir S, Cheeseman S, Lancey RA, Vander Salm TJ, Gammie J. Staged Laparoscopic Splenectomy and Valve Replacement in Splenic Abscess and Infective Endocarditis. Ann Thorac Surg 2003; 75: 1635-7.
15. Carbonell A, Kercher K, Matthews B, Joels Ch, Sing RF, Heniford BT. Laparoscopic Splenectomy for Splenic Abscess. Surg Laparosc Endosc Percut Tech 2004; 14(5): 289-91.













