Introducción
La oclusión intestinal maligna (OIM) es un cuadro complejo que se asocia especialmente con tumores ginecológicos, con mayor frecuencia el cáncer de ovario, entre el 5 y el 42%, seguido de los tumores digestivos, con una frecuencia entre el 4,4 y el 24%1.
Este tipo de obstrucción afecta con mayor frecuencia al intestino delgado y, en segundo lugar, al colon, y en aproximadamente el 2 % de los casos puede constituir la forma de presentación inicial de una enfermedad oncológica subyacente2.
Dada la complejidad del cuadro clínico y su mal pronóstico, resulta difícil encontrar evidencia bibliográfica que respalde un abordaje terapéutico adecuado en estos pacientes. Aunque existen publicaciones que orientan sobre el uso de determinados fármacos, la subjetividad del manejo, el enfoque empírico y las escasas consultas a las unidades de cuidados paliativos contribuyen con frecuencia a un tratamiento inadecuado tanto del paciente como de su entorno3.
La fisiopatología de la OIM es multifactorial. Las causas incluyen obstrucciones mecánicas (luminales o extrínsecas) y alteraciones funcionales por infiltración tumoral o carcinomatosis peritoneal. Esta última puede producir disautonomías por afectación de plexos nerviosos, lo que altera la motilidad intestinal4. Esto favorece la acumulación de secreciones gastrointestinales y la distensión, con aumento de secreciones activas de agua y sodio, provocando síntomas como náuseas, vómitos y disconfort abdominal5.
La interconsulta con el equipo quirúrgico permite valorar la posibilidad de cirugía o la colocación de un stent, pero no debe retrasar el tratamiento médico sintomático, basado en la descompresión con sonda nasogástrica (SNG), glucocorticoides, opioides, antieméticos y antisecretores, que han demostrado eficacia en la mejora de la calidad de vida del paciente.
Entre los agentes farmacológicos más relevantes en este contexto se encuentra el acetato de octreotide, un análogo sintético de la somatostatina que actúa con gran afinidad sobre los receptores SSTR2 y SSTR5, localizados en el tracto gastrointestinal, el páncreas y el sistema nervioso entérico, inhibiendo así la liberación de péptidos y hormonas reguladoras de la motilidad y la secreción gastrointestinal6. En su formulación de liberación inmediata, inhibe la secreción de múltiples péptidos digestivos, reduce el flujo sanguíneo esplácnico y disminuye la secreción intestinal activa, lo que contribuye a reducir el volumen intraluminal, mejorar los síntomas y disminuir la necesidad de aspiración por SNG7.
Diversos ensayos clínicos aleatorizados han demostrado que el octreotide de liberación inmediata disminuye significativamente el volumen de las secreciones gástricas y el número de vómitos, y permite retirar la SNG en menos tiempo, en comparación con fármacos como el butilbromuro de hioscina o la escopolamina8,9,10. Además, se ha observado que puede favorecer la recuperación de la motilidad intestinal en pacientes con íleo funcional secundario a la OIM, restaurando el tránsito en casos seleccionados11,12.
El uso de octreotide debe iniciarse precozmente, habitualmente a dosis de 100 μg por vía subcutánea cada 8 horas, aunque algunos protocolos permiten escalarlas hasta 300 μg cada 8 horas, según la respuesta clínica y la tolerancia. Su efecto se observa generalmente dentro de las primeras 24-48 horas. También puede administrarse en infusión continua a una dosis de 300-600 μg/día, lo cual permite un control más sostenido de los síntomas3,13.
El perfil farmacocinético del octreotide de liberación prolongada (LAR) refleja la liberación lenta del principio activo de su matriz polimérica y su biodegradación posterior. Después de la inyección intramuscular, se observa un pico inicial dentro de la primera hora posterior a la inyección, y luego una disminución progresiva hasta alcanzar niveles indetectables durante las 24 horas siguientes. El nivel permanece subterapéutico durante los 7 días antes de aumentar gradualmente hasta alcanzar concentraciones de meseta alrededor del día 14, en las que los niveles permanecen relativamente constantes entre 3 y 4 semanas. Después de una sola inyección, la concentración de octreotide disminuirá lentamente a partir de aproximadamente el día 4214. A pesar de su amplio uso en la práctica clínica en tumores neuroendocrinos, la evidencia que respalda el uso de octreotide LAR en la OIM continúa siendo limitada. En consecuencia, cada intervención debe basarse en una evaluación individualizada, valorando el impacto sintomático, el contexto clínico y los objetivos de cuidado15.
A continuación, se presenta el caso clínico de un paciente joven con una OIM compleja, en el que se optó por el uso de octreotide LAR con el objetivo de mejorar el control sintomático y favorecer el confort. Este tipo de situaciones representa un desafío clínico significativo para el equipo de cuidados paliativos, dada la escasez de evidencia sólida, la complejidad del cuadro y la necesidad de tomar decisiones terapéuticas individualizadas en contextos de gran vulnerabilidad.
Presentación del caso clínico
Paciente de sexo masculino de 41 años, que convive con su pareja y dos hijos de ella, y tiene tres hijos de un matrimonio previo, a quienes ve de forma irregular. Trabaja como empleado de supermercado, no profesa religión, no presenta antecedentes patológicos y niega antecedentes familiares relevantes.
En diciembre de 2022 consulta por dolor en fosa ilíaca derecha, acompañado de síndrome digestivo alto, motivo por el cual, con sospecha de apendicitis, se decide su ingreso a block quirúrgico. Durante el procedimiento se constata extensa carcinomatosis peritoneal irresecable, por lo que se toman biopsias. La anatomía patológica informa adenocarcinoma de colon moderadamente diferenciado, y en la estadificación imagenológica no se evidencia compromiso de otros órganos.
A partir de este diagnóstico, inicia tratamiento con capecitabina, oxaliplatino y bevacizumab, lográndose estabilidad lesional, aunque sin alcanzarse la resecabilidad. Debido a la toxicidad asociada al oxaliplatino, se decide continuar el tratamiento con capecitabina y bevacizumab.
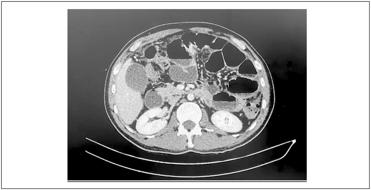
Durante el año 2024, el paciente consulta en dos oportunidades por síndrome suboclusivo, que revierte con tratamiento médico. Sin embargo, posteriormente concurre a emergencia por vómitos persistentes, asociados a detención del tránsito, con eliminación de gases. En este contexto, se realiza tomografía que evidencia oclusión parcial del intestino delgado secundaria a implantes peritoneales (Figura 1).

Figura 1. Tomografía de abdomen y pelvis que muestra asas delgadas distendidas, con niveles hidroaéreos, pared edematizada y carcinomatosis peritoneal extensa.
Se coloca SNG, con mejora sintomática, y el paciente ingresa a block quirúrgico. De la descripción operatoria se destaca un extenso “omental cake”, que imposibilita la realización de procedimientos quirúrgicos.
Se inicia tratamiento médico de la oclusión intestinal utilizando metoclopramida, dexametasona y fentanilo. Se adiciona al esquema terapéutico octreotide de liberación inmediata, 100 μg por vía subcutánea cada 8 horas, con excelente respuesta clínica. A las 48 horas se logra retirar la SNG, iniciándose la tolerancia por vía oral. El paciente comienza a presentar tránsito intestinal luego de 72 horas de comenzado el octreotide.
Tras la evaluación por el Servicio de Oncología y en conjunto con el paciente, se decide suspender los tratamientos oncológicos. Se otorga alta hospitalaria a los 7 días del ingreso.
En domicilio, el paciente permanece clínicamente estable, con infusor elastomérico recibiendo fentanilo, metoclopramida y dexametasona, y continúa con la misma posología de octreotide. Se decide realizar switch a octreotide LAR, administrándose una primera dosis de 20 mg por vía intramuscular en domicilio, manteniéndose con octreotide de liberación inmediata durante los 14 días siguientes. El paciente se mantiene con buen control sintomático durante los 25 días posteriores a la administración. Se constata mejoría de la Palliative Performance Scale (PPS), alcanzando un 80%, con ausencia de náuseas y vómitos. Presenta dolor nociceptivo visceral abdominal ocasional (EVA 3/10), que cede con la expulsión de gases y materia fecal.
En la evolución posterior, presenta detención del tránsito de gases y materias, acompañado de vómitos fecaloideos. Se ajusta la medicación por vía subcutánea, lográndose el control sintomático. El paciente fallece a las 48 horas.
Discusión
Nos encontramos ante el caso de un paciente joven con cáncer de colon avanzado, que presenta como complicación una OIM alta e inoperable. Este cuadro clínico se asocia con elevada morbimortalidad y un marcado deterioro de la calidad de vida, lo que plantea un desafío terapéutico desde las dimensiones física, emocional y espiritual. En este contexto, la intervención del equipo de cuidados paliativos es clave para abordar la complejidad del sufrimiento global del paciente y su entorno.
Desde el inicio, se abordó al paciente y su familia desde el punto de vista emocional y espiritual, con un acompañamiento psicológico que permitió realizar una adecuada planificación de cuidados, teniendo en cuenta los deseos del paciente, quien se mantuvo acompañado por sus seres queridos más cercanos, tanto en su domicilio como en el sanatorio.
Aunque se trata de un único caso clínico, reconocemos que la dificultad para incluir pacientes con OIM en estudios controlados hace que este tipo de reportes pueda aportar evidencia valiosa a la bibliografía existente. En este escenario, el octreotide ha emergido como una opción terapéutica relevante en pacientes con OIM, siendo recomendado por la Multinational Association of Supportive Care in Cancer (MASCC)16.
En el caso descrito, la administración de octreotide de liberación inmediata permitió, a las 48 horas, la retirada de la SNG, seguida de la tolerancia progresiva a líquidos y semisólidos y de la recuperación del tránsito intestinal. Esta mejoría clínica se tradujo en un cambio significativo en la calidad de vida del paciente, quien recuperó funcionalidad, pudiendo regresar a su hogar. Dada la evolución favorable, se realizó la transición a octreotide LAR, administrado por vía intramuscular a través del equipo de enfermería domiciliaria de cuidados paliativos, sin observarse efectos adversos locales ni sistémicos. En la bibliografía se describen algunos efectos adversos frecuentes asociados a la administración del fármaco, como dolor abdominal, estreñimiento, cefalea, prurito, exantema, bradicardia y alteraciones humorales en la función hepática, la glicemia y alteraciones hormonales tiroideas. Dado el estado de fragilidad y gravedad del paciente, se decidió no solicitar estudios humorales complementarios, priorizando el confort y bienestar. El adecuado perfil de seguridad del fármaco y su fácil administración lo convierten en un fármaco ideal para el uso domiciliario17.
El uso de la presentación LAR permitió mejor adherencia y mayor comodidad para el paciente, ya que se administra una vez al mes, lo que reduce significativamente la carga de tratamiento en comparación con las inyecciones múltiples diarias de liberación inmediata, facilitando el manejo ambulatorio de mayor calidad y comodidad. Desde el punto de vista farmacológico, se alcanzan niveles plasmáticos estables y sostenidos, lo que disminuye el riesgo de fluctuaciones en el control sintomático.
Gracias a los buenos resultados obtenidos, algunas guías como la National Comprehensive Cancer Network (NCCN), ya lo incluyen como una opción terapéutica18.
Otro de los motivos por los que se decidió utilizar la formulación de liberación prolongada fue el costo del fármaco. Se realizó una búsqueda de información en conjunto con la unidad de farmacia de la institución, estimándose que el costo mensual del octreotide de liberación inmediata, utilizando tres ampollas diarias, es del orden de los 150.000 pesos uruguayos, mientras que el uso de la presentación de liberación prolongada supone un costo mensual aproximado de 76.000 pesos uruguayos. Estos datos suponen otra razón a considerar al momento de seleccionar los diferentes análogos de la somatostatina.
Este abordaje permitió mantener el control sintomático sin necesidad de reintroducir la SNG y favoreció un acompañamiento centrado en el paciente. Cabe destacar que el tratamiento con octreotide fue complementado en todo momento con la analgesia continua vía infusor elastomérico, lo que probablemente contribuyó al efecto sinérgico en el control de los síntomas.
Si bien el inicio de acción es más lento, consideramos que el octreotide LAR debe ser tenido en cuenta dentro del algoritmo terapéutico de estos cuadros clínicos complejos, ya que la reducción del número de intervenciones y la simplificación del manejo puede contribuir a mejorar la calidad de vida, disminuir la estancia hospitalaria o evitar ingresos prolongados. Aunque muchos pacientes con OIM presentan un pronóstico ominoso, algunos de ellos se benefician del manejo médico exclusivo, y muchos de ellos desean permanecer en sus domicilios rodeados de su entorno, por lo que la formulación de liberación prolongada ofrece mayor comodidad y practicidad para el manejo de estas situaciones.
Otra opción a tener en cuenta es el uso de octreotide de liberación inmediata en infusión continua, mediante el uso de infusor elastomérico, con el objetivo de evitar la administración cada 8 horas. Si bien se trata de una alternativa posible, algunas guías recomiendan no combinarlo con otros fármacos dentro del mismo infusor, ya que se estima que la estabilidad del fármaco puede variar en horas o días19,20.
Conclusión
El manejo de la OIM inoperable en pacientes con cáncer avanzado representa un gran desafío clínico, con un impacto significativo en la calidad de vida. Este caso demuestra que el uso de octreotide, tanto en su formulación de liberación inmediata como LAR, es una opción terapéutica eficaz y segura para el control sintomático de la OIM, permitiendo la retirada de la sonda nasogástrica, la reanudación de la vía oral y la recuperación del hábito intestinal. El tratamiento con octreotide contribuyó a mejorar la funcionalidad y calidad de vida del paciente, permitiéndole tomar decisiones importantes en el contexto de los cuidados al final de la vida. La ausencia de efectos adversos relevantes refuerza su perfil de seguridad en este escenario.
Si bien se trata de un reporte individual, los resultados respaldan la consideración de octreotide LAR como parte del manejo integral de la OIM en pacientes con cáncer avanzado. Se destaca la necesidad de ensayos clínicos con mayor número de pacientes y en etapas avanzadas de la enfermedad, con el fin de confirmar estos hallazgos y optimizar su uso en la práctica clínica.














