SciELO - Scientific Electronic Library Online

 
vol.41 número3Síndrome de Kounis a propósito de un caso clínicNutrición parenteral en cuidados paliativos: entre la “indicación proporcional” y el riesgo de “sobretratar” índice de autoresíndice de materiabúsqueda de artículos
Home Pagelista alfabética de revistas  

Servicios Personalizados

Revista

Articulo

Links relacionados

Compartir


Revista Médica del Uruguay

versión impresa ISSN 0303-3295versión On-line ISSN 1688-0390

Rev. Méd. Urug. vol.41 no.3 Montevideo  2025  Epub 16-Jun-2025

https://doi.org/10.29193/rmu.41.3.12 

Casos clínico

Esplenosis del tejido celular subcutáneo de pared abdominal

Splenosis of the abdominal wall subcutaneous tissue

Esplenose do tecido celular subcutâneo da parede abdominal

Hospital Maciel, Montevideo, Uruguay


Resumen

Introducción:

la esplenosis en el tejido celular subcutáneo de la pared abdominal es extremadamente infrecuente. De hecho, solo existen 16 casos publicados en la literatura internacional, siendo la mayoría secundarios a esplenectomía por trauma. Solo uno se vincula con esplenectomía indicada por un púrpura trombocitopénico autoinmune (PTA).

Objetivo:

comunicar un caso clínico de esplenosis en tejido de celular subcutáneo en un paciente esplenectomizado por PTA.

Caso clínico:

hombre, 25 años. Esplenectomizado a los 6 años por púrpura trombocitopénico autoinmune. Consulta por tumoración en comisura externa de incisión transversa de hipocondrio izquierdo de un año de evolución, crecimiento lento. Del examen: tumoración bien delimitada, firme, de 2 cm de diámetro, móvil, sin vinculación con la piel y plano muscular, no dolorosa. Ecografía de partes blandas que plantea esplenosis parietal de acuerdo con el antecedente quirúrgico. Se confirma diagnóstico con tomografía axial computarizada de abdomen. Se realiza procedimiento de coordinación, se reseca de forma completa, incluyendo losange de piel y tejido celular subcutáneo, como forma de evitar su rotura. La anatomía patológica confirma esplenosis parietal.

Discusión:

la esplenosis constituye el autotrasplante heterotópico de células esplénicas secundarias a la rotura de bazo por traumatismo o durante esplenectomía por enfermedades hematológicas, entre otras. Al día de hoy, existe escasa bibliografía sobre esplenosis parietal, siendo el sitio de implantación más frecuente el orificio de salida por herida de arma de fuego, seguido por la herida quirúrgica. La funcionalidad del implante es un tema de debate, se requieren entre 25 y 30 cc de tejido esplénico, valor muy por encima de los aproximadamente 8 cc de nuestro caso. Por su parte, el implante puede ser motivo de recidiva de la enfermedad hematológica que motivó la esplenectomía, no siendo este el caso de nuestro paciente.

Palabras clave: Esplenosis en el celular subcutaneo; Esplenosis parietal; Esplenectomia; Púrpura trombocitopenico autoinmune

Abstract

Introduction:

Splenosis in the subcutaneous tissue of the abdominal wall is extremely rare, with only 16 cases reported in the international literature, most of them secondary to splenectomy due to trauma. Only one case has been linked to splenectomy indicated for immune thrombocytopenic purpura (ITP).

Objective:

to report a clinical case of splenosis in subcutaneous tissue in a patient who underwent splenectomy for ITP.

Clinical case:

25-year-old man. Underwent splenectomy at the age of six due to immune thrombocytopenic purpura. Presented with a slow-growing mass at the external commissure of a left hypochondrium transverse incision, evolving over one year. On examination: well-defined, firm mass, 2 cm in diameter, mobile, not attached to the skin or muscle plane, and non-tender. Soft tissue ultrasound suggested parietal splenosis based on the surgical history. Diagnosis was confirmed by abdominal computed tomography. A scheduled surgical procedure was performed, with complete resection of the lesion, including a lozenge of skin and subcutaneous tissue to prevent rupture. Histopathology confirmed parietal splenosis.

Discussion:

splenosis is the heterotopic autotransplantation of splenic cells following splenic rupture due to trauma or splenectomy performed for hematological diseases, among others. There is limited literature on parietal splenosis, with the most frequent implantation site being the exit wound of a gunshot injury, followed by surgical wounds. The functionality of the implant remains a matter of debate, with between 25 and 30 cc of splenic tissue required for functional activity, far greater than the approximately 8 cc observed in our case. Furthermore, the implant can potentially lead to recurrence of the hematologic disease that initially prompted splenectomy, although this was not the case for our patient.

Keywords: Splenosis in subcutaneous tissue; Parietal splenosis; Splenectomy; Immune thrombocytopenic purpura

Resumo

Introdução:

a esplenose no tecido celular subcutâneo da parede abdominal é extremamente rara, com apenas 16 casos publicados na literatura internacional, sendo a maioria secundária à esplenectomia por trauma. Apenas um caso foi associado à esplenectomia indicada por púrpura trombocitopênica imune (PTI).

Objetivo:

relatar um caso clínico de esplenose em tecido subcutâneo em paciente submetido a esplenectomia por PTI.

Caso clínico:

homem de 25 anos. Submetido à esplenectomia aos seis anos de idade por púrpura trombocitopênica imune. Consultou por uma tumoração de crescimento lento na comissura externa da incisão transversa do hipocôndrio esquerdo, com evolução de um ano. Ao exame físico: tumoração bem delimitada, firme, com 2 cm de diâmetro, móvel, sem aderência à pele ou ao plano muscular, e indolor. Ultrassonografia de partes moles sugeriu esplenose parietal com base no antecedente cirúrgico. O diagnóstico foi confirmado por tomografia computadorizada abdominal. Foi realizado procedimento cirúrgico programado, com ressecção completa da lesão, incluindo um losango de pele e tecido subcutâneo para evitar ruptura. O exame anatomopatológico confirmou esplenose parietal.

Discussão:

A esplenose é o autotransplante heterotópico de células esplênicas, secundário à ruptura esplênica por trauma ou durante esplenectomia por doenças hematológicas, entre outras causas. Há escassa literatura sobre esplenose parietal, sendo o local de implantação mais frequente o orifício de saída de ferimento por arma de fogo, seguido da ferida cirúrgica. A funcionalidade do implante ainda é debatida, sendo necessários entre 25 e 30 cc de tecido esplênico, valor muito superior aos aproximadamente 8 cc observados no nosso caso.

Além disso, o implante pode causar recidiva da doença hematológica que motivou a esplenectomia, o que não ocorreu no nosso paciente.

Palavras-chave: Esplenose em tecido subcutâneo; Esplenose parietal; Esplenectomia; Púrpura trombocitopênica imune

Introducción

La esplenosis sobre el tejido celular subcutáneo de la pared abdominal constituye una entidad clínica extremadamente infrecuente, habiendo solo 16 casos publicados en la literatura internacional1. De ellos, únicamente uno se vincula a una esplenectomía indicada por un púrpura trombocitopénico autoinmune, siendo los restantes secundarios a esplenectomía por trauma.

El objetivo del trabajo es comunicar un caso clínico de una esplenosis del tejido celular subcutáneo de pared, secundaria a una esplenectomía por un púrpura trombocitopénico autoinmune.

Caso clínico

Se presenta a un paciente de 25 años, sexo masculino, con antecedentes de esplenectomía por abordaje convencional a los 6 años por púrpura trombocitopénico autoinmune. Buena evolución posterior y en control con hematólogo.

Consultó por tumoración situada en la comisura externa de la incisión transversa de hipocondrio izquierdo de un año de evolución, de crecimiento lento, con episodios de dolor ante traumatismos en la zona.

Durante el examen se revela que se trata de una tumoración bien delimitada, firme, de 2 cm de diámetro, móvil, sin vinculación con la piel y plano muscular, no dolorosa (Figura 1).

Figura 1. Tumoración sobre comisura externa de transversa de hipocondrio izquierdo (flecha roja). 

Se solicitó ecografía de partes blandas que planteó una esplenosis parietal de acuerdo con el antecedente quirúrgico (Figura 2).

Figura 2. Ecografía de partes blandas, esplenosis parietal (flecha roja). 

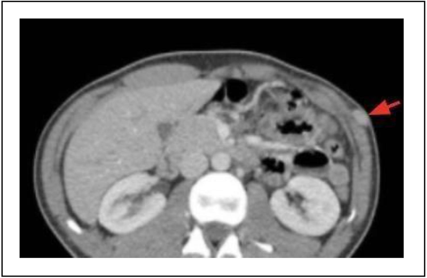
Se completó la valoración con una tomografía axial computarizada de abdomen que confirmó el diagnóstico (Figura 3).

Figura 3. Tomografía axial computada, esplenosis parietal (flecha roja). 

Se realiza su resección completa, incluyendo un losange de piel y tejido celular subcutáneo para evitar su rotura (Figuras 4 y 5).

Figura 4. Pieza de resección de 2 cm de diámetro rodeada por piel y tejido celular subcutáneo. 

Figura 5. Pieza abierta con las características macroscópicas de parénquima esplénico. 

El estudio anátomo patológico de la pieza informa:hallazgos histopatológicos en concordancia con dato clínico de esplenosis parietal.

Discusión

La esplenosis constituye el autotrasplante heterotópico de células esplénicas secundarias a la rotura de bazo en el contexto de un traumatismo cerrado o abierto tóraco abdominal, esplenectomías por enfermedades hematológicas; o en cirugías por diversas causas donde se produce la rotura accidental del bazo. La mayoría de los casos se presentan secundarios a esplenectomía por trauma (93%)2. La forma de presentación más frecuente es la intraperitoneal en el contexto de trauma. Siendo menos frecuentes localizaciones extraperitoneales como en el celular subcutáneo, presentándose como tumoración única o múltiple a nivel de cicatrices quirúrgicas.

El diagnóstico se puede presentar como un incidentaloma, constituyendo la forma más frecuente o síntomas inespecíficos, como dolor abdominal, alteración del tránsito digestivo, entre otros.

El primer caso de esplenosis subcutánea fue reportado por en 19323. Existe escasa bibliografía sobre esplenosis parietal, siendo el sitio de implantación más frecuente el orificio de salida por herida de arma de fuego, seguido por la herida quirúrgica.

Cabe destacar que el diagnóstico diferencial principal de esta patología, es el sarcoma de Kaposi, siendo necesario un muestreo lo más completo posible en vistas a la valoración anatomopatológica, pudiendo reconocer así la disposición estructural de pulpa roja y blanca típica de este órgano linfoide. En el caso de esplenosis intraperitoneal, puede ser confundido con enfermedad metastásica, carcinomatosis, así como endometriosis4.

La funcionalidad del implante es un tema de debate, ya que, como se mencionó anteriormente, se requieren entre 25 y 30 cc de tejido esplénico para ello5, lo que implica un valor muy por encima de los aproximadamente 8 cc de nuestro caso. Por su parte, el implante puede ser motivo de recidiva de la enfermedad hematológica que motivó la esplenectomía, no siendo el caso de nuestro paciente que, tanto clínica como paraclínicamente se encuentra libre de enfermedad.

Por último, cabe destacar que, si bien no existen demasiados reportes en la literatura de pacientes con infección reciente por COVID-19, se ha demostrado que la infección por SARS-CoV-2 podría aumentar las dimensiones del implante de tejido esplénico, pudiendo generar una esplenosis tardía6.

Referencias

1. Papakonstantinou E, Kalles V, Papapanagiotou I, Piperos T, Karakaxas D, Bonatsos V, et al. Subcutaneous splenosis of the abdominal wall: report of a case and review of the literature. Case Rep Surg 2013; 2013:454321. [ Links ]

2. Ardila M, Cala, De La Hoz J, Serrano A, Bayona C. Esplenosis abdominopélvica: presentación de un caso y revisión de la literatura. Rev Colomb Radiol 2017; 28:4825-4827. [ Links ]

3. Shaw A, Shafi A. Traumatic autoplastic transplantation of splenic tissue in man with observations on the late results of splenectomy in six cases. J Pathol Bacteriol 1932; 45(1): 215–235. [ Links ]

4. Sánchez I, Baleato S, García R. Esplenosis: diagnóstico no invasivo de un gran imitador. Rev Esp Enf Dig 2016; 108(1), 40-41. [ Links ]

5. Corazza GR, Tarozzi C, Vaira D, Frisoni M, Gasbarrini G. Return of splenic function after splenectomy: how much tissue is needed? Br Med J 1984; 289(6449):861-864. [ Links ]

6. San Martin P, Silabona F. Esplenosis subcutánea, un diagnóstico infrecuente. Carta científica. Rev Argent Cir 2024; 116(4):304-7. [ Links ]

Financiación

Esta investigación no recibió ninguna subvención específica de agencias de financiamiento de los sectores público, comercial o sin fines de lucro.

Conflicto de intereses

Los autores declaran no presentar conflicto de intereses.

Responsabilidades éticas

Se consignó consentimiento del paciente para la publicación y utilización de imágenes.

Contribución de los autores

Gregory Marrero: concepción, diseño, redacción, análisis.

Maite Campos: interpretación de resultados.

Daniel González: revisión crítica.

Consejo Editorial:Aprobado por el Consejo Editorial de la Revista Médica del Uruguay.

Recibido: 20 de Diciembre de 2024; Aprobado: 04 de Abril de 2025

*Correspondencia: Gregory Marrero. gregorymarrero526@gmail.com.

Creative Commons License Este es un artículo open access bajo la licencia CC BY 4.0.