Introducción
Los hemangiomas hepáticos constituyen el tumor hepático más frecuente. Se presentan mayormente en mujeres en su cuarta década de vida y su incidencia varía del 4 % al 20 % de la población1–3. En general, suelen ser asintomáticos y descubiertos incidentalmente en estudios imagenológicos. Actualmente, la observación y seguimiento clínico e imagenológico constituyen los principales métodos de tratamiento, debido a su tamaño pequeño y a su crecimiento natural lento. Sin embargo, existen hemangiomas gigantes, ocasionalmente múltiples, que ameritan un tratamiento específico. La cirugía se realiza en una pequeña proporción de pacientes, con indicaciones precisas2.
Objetivo
Presentar caso clínico de un paciente portador de un hemangioma hepático gigante, sintomático y su resolución quirúrgica laparoscópica.
Caso clínico
Sexo masculino, 57 años. Hipotiroideo en tratamiento. Consulta por cuadro de dolor tipo gravativo en hipocondrio izquierdo de dos meses de evolución: vómitos aislados, náuseas, plenitud precoz. Sin elementos de repercusión general.
En el examen físico se destaca paciente longilíneo, bien hidratado y perfundido. Examen cardiovascular y pleuropulmonar normal. A su vez, en el abdomen se palpa una tumoración en hipocondrio izquierdo, bordes netos, de aproximadamente 15 cm, ovalada, lisa, firme, que asciende y desciende con la respiración, indolora.
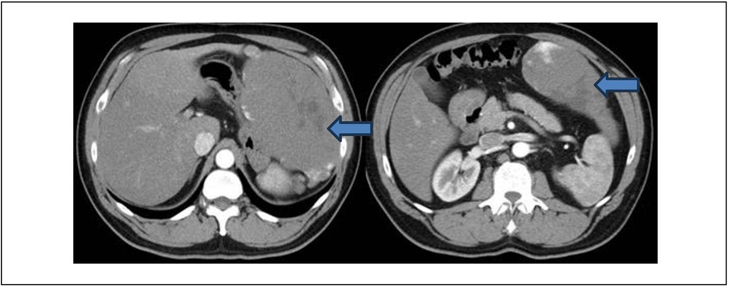
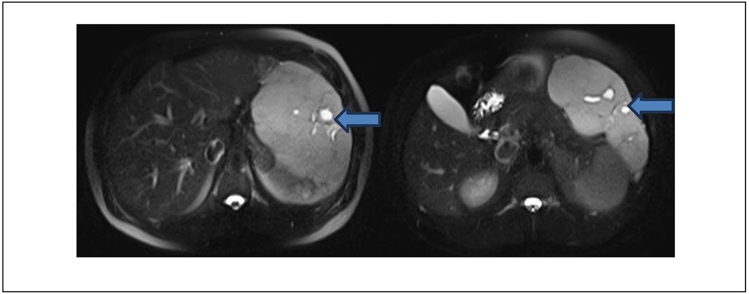
Los resultados de los análisis de sangre, incluyendo hemograma, enzimograma hepático, función renal y coagulación, fueron normales. La ecografía abdominal mostró un hígado heterogéneo con una lesión hiperecogénica en el lóbulo izquierdo. La tomografía computarizada de abdomen y pelvis con contraste endovenoso (TC) (Figura 1) reveló una imagen con características típicas de un hemangioma hepático: lesión voluminosa en el segmento II con captación de contraste discontinua y nodular periférica, con relleno centrípeto progresivo y longitudes de 179 mm x 97 mm x 174 mm. Por ello, se solicita Resonancia Magnética complementaria, (Figura 2) donde se visualiza dicha lesión hiperintensa en secuencia T2. Se identificaron dos imágenes hepáticas similares en los segmentos 6 (35 mm) y 7 (12 mm). No hubo dilatación de la vía biliar intra ni extrahepática.

Figura 1. Tomografía de abdomen y pelvis con contraste, donde se evidencia masa hepática en lóbulo izquierdo que desplaza y comprime estómago (flecha azul).La resonancia magnética abdominal confirmó la presencia de hemangiomas pequeños y un hemangioma gigante pediculado en el segmento II-III, presentando contacto con la pared abdominal, bazo y estómago, pero sin infiltración. (Figura 2).

Figura 2. Resonancia magnética que muestra cortes abdominales donde se observan la masa hepática, con realce en secuencia T2 (flechas azules).Los marcadores tumorales CEA, Ca 19-9 y alfafetoproteína fueron normales. Se decidió realizar una hepatectomía atípica laparoscópica con resección de parte de los segmentos II y III. Se retira la pieza por una incisión mediana, sin incidentes.
Una vez realizados los estudios se lleva a cabo la hepatectomía laparoscópica. Esta intervención requiere al paciente en posición francesa y la colocación de 4 trocares, como se muestra en la Figura 3. A partir de esto es posible explorar la cavidad e identificar un hemangioma hepático emergente. Se logró el control del pedículo vascular mediante la colocación de un lazo vascular, sin necesidad de clampeo hepático, dado que no se presentó un sangrado significativo. Posteriormente, fue posible una transección hepática con Sonicision®; se sellaron los pedículos segmentarios II y III y la vena suprahepática izquierda, mediante endograpadora vascular (dorada, 2 mm, tres líneas de grapas). Se deja drenaje de Blake enfrentado a tranche, sacado por contrabertura. Finalmente, la pieza fue retirada (Figura 4 y 5) a través de una incisión mediana supraumbilical, protegida con separador de Alexis.

Figura 3. Posición de equipo quirúrgico y trocares, la videocámara se coloca en hombro izquierdo del paciente.

Figura 4. Cirugía laparoscópica, hepatectomía atípica. La fleche señala pieza de resección.La pieza quirúrgica se envió para análisis anatomopatológico, el cual confirmó el diagnóstico de hemangioma cavernoso. (Figura 5).

Figura 5. Incisión mediana por donde se extrae la pieza, con separador de retracción y protección autoestático.
El procedimiento fue realizado en 130 minutos, con sangrado de 250 cc aproximadamente. Luego de 48 horas, el paciente es dado de alta. Sin embargo, durante 15 días se lo controla ambulatoriamente, plazo durante el cual no presenta complicaciones. AP: hemangioma cavernoso, tamaño de 170 x 100 x 160 mm.
Discusión
El hemangioma hepático es una lesión hepática no epitelial frecuente. En todos los casos son benignos y suelen permanecer estables por largos periodos de tiempo4. Con relación a su diagnóstico, en su mayoría son asintomáticos y su hallazgo es incidental mediante métodos de imágenes realizados por otras causas.
En términos generales, la ecografía de abdomen muestra una lesión hiperecogénica clásica, con bordes bien circunscritos y gran vascularización, mientras que el parénquima hepático circundante suele estar sin alteraciones. En una tomografía computarizada (TC), los hemangiomas hepáticos suelen aparecer como lesiones con captación de contraste nodular y periférico. En la fase arterial, muestran un refuerzo centrípeto, y en la fase venosa, permanecen hiperdensos.
La Resonancia Nuclear Magnética (RNM) es el mejor estudio disponible o gold standard para definir las lesiones hepáticas e indicar su tratamiento. Generalmente, se ve una lesión ovoidea, bien delimitada, con captación de contraste periférica en fase temprana, lavado en fases tardías y captación central. Con mayor especificidad, son lesiones hipointensas en T1 e hiperintensas en T2. Además, su sensibilidad es alta, llegando al 98 %.
En este caso, presentamos a un paciente masculino de 57 años que consultó por dolor en el hipocondrio izquierdo e intolerancia digestiva alta, de dos meses de evolución. La ecografía abdominal inicial mostró una lesión hiperecogénica en el lóbulo izquierdo del hígado que fue caracterizada con mayor precisión mediante una TC y una resonancia magnética (RM). Los estudios revelaron un hemangioma gigante en los segmentos II y III, junto con otras lesiones más pequeñas en los segmentos VI y VII. En simultáneo, se identifica el desplazamiento posterior y el laminado del estómago producto de un elemento de compresión extrínseca. En este caso, no fue necesario realizar una biopsia hepática para llegar a un diagnóstico certero, ya que los métodos de imagen fueron categóricos con el diagnóstico. Previamente se consideraba que estas lesiones no debían puncionarse por riesgo de sangrado. Sin embargo, varios estudios recientes han demostrado que, frente a dudas diagnósticas, la punción presenta una sensibilidad de 96 % y puede ser segura en caso de ser necesaria. A pesar de esto, con el paso del tiempo, su indicación ha disminuido debido a los avances en las técnicas de imagen3. En lo que al caso refiere, no se ha reportado transformación maligna del hemangioma hepático.
El síndrome de Kasabach-Merritt (SKM), que ocurre en menos del 1 % de todos los hemangiomas, se traduce en trombocitopenia severa y coagulopatía de consumo. Esto es producto de la activación plaquetaria en el interior del gran hemangioma, lo que conduce al consumo de los factores de la coagulación. Para tratar sus consecuencias, se acude a la resección de la lesión. Además, su gran tamaño puede dar lugar a otras complicaciones, como la compresión de órganos vecinos, la insuficiencia hepática, la insuficiencia respiratoria, el síndrome de vena cava inferior, la plenitud precoz, entre otros. El traumatismo hepático puede causar sangrado severo y shock, con una tasa de mortalidad que llega hasta el 78 %3.
En relación a su tratamiento, hoy en día la cirugía sigue siendo un procedimiento efectivo para hemangiomas hepáticos sintomáticos o complicados. De todas formas, la indicación de intervención quirúrgica se da a partir de una sintomatología digestiva atribuida al hemangioma (dolor, disconfort abdominal) y un tamaño de la lesión mayor a 10 cm, con aumento del riesgo de ruptura; ambos factores presentes en el paciente. Otras indicaciones de cirugía en pacientes portadores de hemangioma pueden ser una complicación como el SKM o la presencia de dudas diagnósticas.
El procedimiento elegido fue la enucleación. El mismo ayuda a preservar la mayor cantidad de parénquima hepático posible, gracias a la existencia de una cápsula que genera un plano de clivaje entre hemangioma y tejido hepático circundante2. Debido a la atrofia hepática existente y la localización de la lesión, se optó por hepatectomía atípica de segmentos involucrados. A su vez, se prefirió la cirugía laparoscópica por sus múltiples beneficios en el abordaje, incluyendo mejor visualización e incisiones con menor agresión parietal. Sin embargo, el control del sangrado sigue siendo un desafío significativo por la alta vascularización de los hemangiomas hepáticos. En este caso, se realizó dominio vascular pedicular, con un lazo de vasos, permitiendo una resección segura y efectiva. Cabe destacar que la maniobra de Pringle para la interrupción temporal del flujo sanguíneo hepático no fue necesaria.
En cuanto a la evolución postoperatoria del paciente, su desarrollo fue favorable, sin complicaciones significativas, destacando la eficacia y seguridad de la técnica laparoscópica en este contexto. Es fundamental considerar los beneficios y riesgos de la cirugía laparoscópica frente a la laparotomía. Para ello, es preciso individualizar el abordaje según las características del paciente, la localización y el tamaño del tumor, sus relaciones anatómicas, el hábito o biotipo, la disponibilidad de recursos materiales y, por último, la experiencia del equipo quirúrgico. Respaldando esta elección, cabe citar un metaanálisis publicado en 2021 que compara la técnica laparoscópica y la laparotómica. El estudio concluye que la primera es más beneficiosa porque implica un menor tiempo operatorio, menor perdida sanguínea y menor dolor postoperatorio5. Además, no se encontraron diferencias significativas en cuanto al costo hospitalario y la recurrencia del hemangioma.
Por otro lado, se utilizaron, también, los procedimientos de embolización selectiva, ligadura de arteria hepática y radioterapia, considerados menos efectivos6,7. La embolización selectiva muestra resultados prometedores, con una tasa de reducción del tumor de unos 4 cm aproximadamente en un 89,9 % de los casos en centros especializados. De todas formas, presenta una incidencia de complicaciones del 17 %5,6.
Si se comparan las técnicas de hepatectomía y de enucleación, es pertinente mencionar un estudio que incluye 1.384 pacientes y muestra buenos resultados a favor de la enucleación. Es decir, este procedimiento presenta un menor tiempo quirúrgico, menor perdida sanguínea y menor estancia hospitalaria. De todos modos, ambas técnicas son similares respecto al tiempo de clampeo del pedículo hepático, interrupción de flujo de entrada y mortalidad2. Por otro lado, existe un grupo pequeño de pacientes que van a requerir incluso trasplante hepático. De estos trasplantes, el 0,9 % corresponde a tumores benignos de hígado. Por ello, ante un hemangioma hepático, la indicación más frecuente es el SKM1,2,8.
Finalmente, en la pieza de resección se observa macroscópicamente una tumoración violácea; en cambio, microscópicamente, se evidencian espacios vasculares cavernosos recubiertos de endotelio aplanado. También, en lesiones como las del paciente analizado es posible encontrar fibrosis, sectores de trombosis intravascular –debido al gran tamaño– y áreas con calcificaciones.
Conclusiones
El manejo de hemangiomas hepáticos gigantes requiere un enfoque multidisciplinario, considerando factores individuales del paciente y características específicas de la lesión. En este caso, la hepatectomía atípica laparoscópica fue una opción efectiva que proporcionó una recuperación rápida y segura. La confirmación anatomopatológica del hemangioma cavernoso y la ausencia de complicaciones postoperatorias subrayan la importancia de una planificación quirúrgica cuidadosa y la utilización de técnicas avanzadas para minimizar riesgos. La experiencia del equipo quirúrgico y la disponibilidad de recursos juegan un papel crucial en la elección del abordaje más adecuado para cada paciente.














