SciELO - Scientific Electronic Library Online

 
vol.41 número2Complicaciones postquirúrgicas en tiroidectomizados por carcinoma tiroideoOrbitopatía asociada a hipotiroidismo: reporte de un caso y revisión de la literatura índice de autoresíndice de materiabúsqueda de artículos
Home Pagelista alfabética de revistas  

Servicios Personalizados

Revista

Articulo

Links relacionados

Compartir


Revista Médica del Uruguay

versión impresa ISSN 0303-3295versión On-line ISSN 1688-0390

Rev. Méd. Urug. vol.41 no.2 Montevideo  2025  Epub 01-Abr-2025

https://doi.org/10.29193/rmu.41.2.10 

Artículo original

Melanoma en Uruguay: caracterización de los pacientes asistidos en la Unidad Académica de Dermatología del Hospital de Clínicas

Melanoma in Uruguay: characterization of patients treated at the Academic Dermatology Unit of the Hospital de Clínicas

Melanoma no Uruguay: caracterização dos pacientes atendidos na Unidade Acadêmica de Dermatologia do Hospital de Clínicas

Unidad Académica de Dermatología, Hospital de Clínicas, Universidad de la República, Uruguay


Resumen

Introducción y objetivos:

el presente estudio describe las características demográficas, clínicas e histopatológicas de los pacientes diagnosticados con melanoma en la Unidad Académica de Dermatología del Hospital de Clínicas en el periodo conformado entre el 2016 y 2021. También describe cómo la pandemia por el COVID-19 influyó en los diagnósticos y en el estadio de la enfermedad.

Materiales y métodos:

se realizó un estudio descriptivo, observacional y retrospectivo basado en las historias clínicas de pacientes con diagnóstico confirmado histopatológicamente de melanoma cutáneo. Se incluyeron casos prevalentes asistidos en la unidad que cumplían con los criterios de inclusión.

Resultados:

se incluyeron 41 pacientes, de los cuales el 61 % eran hombres. La media de edad fue de 64 años. El melanoma extensivo superficial fue el subtipo más frecuente y el tronco su localización predominante. Respecto a los estadios tumorales, el 41,5 % presentó enfermedad localizada, el 29,3 % melanoma in situ, el 9,8 % metástasis regionales y 19,5 % metástasis a distancia. Asimismo, el 87,5 % de los pacientes que presentaron metástasis a distancia eran hombres. La media del espesor de Breslow fue de 3,4 mm, siendo mayor en los hombres. Durante la pandemia, se observó un aumento de los casos avanzados y un retraso en los diagnósticos tempranos.

Conclusiones:

los hombres fueron diagnosticados con mayor frecuencia en estadios avanzados, situación que empeoró durante la pandemia. Estos resultados subrayan la necesidad de implementar campañas de prevención y programas de educación más efectivos para fomentar la detección temprana, lo que podría mejorar significativamente el pronóstico y la sobrevida de los pacientes.

Palabras clave: Melanoma; Demografía; Características clínicas; Espesor de Breslow; Pandemia COVID-19

Abstract

Introduction and objectives:

this study describes the demographic, clinical, and histopathological characteristics of patients diagnosed with melanoma at the Academic Dermatology Unit of the Hospital de Clínicas between 2016 and 2021. It also examines how the COVID-19 pandemic influenced diagnoses and disease staging.

Materials and methods:

a descriptive, observational, and retrospective study was conducted based on the medical records of patients with a histopathologically confirmed diagnosis of cutaneous melanoma. Prevalent cases treated at the unit that met the inclusion criteria were included.

Results:

A total of 41 patients were included, 61% of whom were men. The mean age was 64 years. Superficial spreading melanoma was the most common subtype, and the trunk was the predominant location. Regarding tumor staging, 41.5% had localized disease, 29.3% had melanoma in situ, 9.8% had regional metastases, and 19.5% had distant metastases. Additionally, 87.5% of patients with distant metastases were men. The mean Breslow thickness was 3.4 mm, being higher in men. During the pandemic, an increase in advanced cases and a delay in early diagnoses were observed.

Conclusions:

men were more frequently diagnosed at advanced stages, a situation that worsened during the pandemic. These findings highlight the need to implement more effective prevention campaigns and educational programs to promote early detection, which could significantly improve patient prognosis and survival.

Keywords: Melanoma; Demographics; Clinical characteristics; Breslow thickness; COVID-19 pandemic

Resumo

Introdução e objetivos:

este estudo descreve as características demográficas, clínicas e histopatológicas dos pacientes diagnosticados com melanoma na Unidade Acadêmica de Dermatologia do Hospital de Clínicas no período de 2016 a 2021. Também examina como a pandemia de COVID-19 influenciou os diagnósticos e o estágio da doença.

Materiais e métodos:

foi realizado um estudo descritivo, observacional e retrospectivo com base nos prontuários médicos de pacientes com diagnóstico de melanoma cutâneo confirmado histopatologicamente. Foram incluídos casos prevalentes atendidos na unidade que atenderam aos critérios de inclusão.

Resultados:

um total de 41 pacientes foi incluído, dos quais 61% eram homens. A média de idade foi de 64 anos. O melanoma extensivo superficial foi o subtipo mais comum, e o tronco foi a localização predominante. Em relação à classificação tumoral, 41,5% apresentavam doença localizada, 29,3% melanoma in situ, 9,8% metástases regionais e 19,5% metástases à distância. Além disso, 87,5% dos pacientes com metástases à distância eram homens. A média da espessura de Breslow foi de 3,4 mm, sendo maior nos homens. Durante a pandemia, observou-se um aumento nos casos avançados e um atraso nos diagnósticos precoces.

Conclusões:

os homens foram diagnosticados com mais frequência em estágios avançados, uma situação que piorou durante a pandemia. Esses resultados ressaltam a necessidade de implementar campanhas de prevenção e programas educativos mais eficazes para promover a detecção precoce, o que pode melhorar significativamente o prognóstico e a sobrevida dos pacientes.

Palavras-chave: Melanoma; Demografia; Características clínicas; Espessura de Breslow; Pandemia de COVID-19

Introducción

El melanoma es un tumor maligno que se origina en los melanocitos. Afecta principalmente la piel, aunque también puede localizarse a nivel mucoso u ocular. Es la forma más letal de cáncer de piel debido a su alta agresividad biológica y su capacidad metastásica. Su incidencia global ha aumentado en las últimas décadas, variando considerablemente según etnia, ubicación geográfica, edad y sexo. Es más frecuente en personas de fototipo bajo y suele diagnosticarse entre la séptima y octava década de la vida. En cuanto al sexo, los pacientes de sexo femenino presentan mayor incidencia en edades jóvenes. De todas formas, se iguala entre ambos grupos a partir de los 40 años.

A nivel global, ha habido una estabilización de las tasas de mortalidad en las últimas décadas, atribuida al diagnóstico precoz gracias a los avances en la dermatoscopia y al acceso a nuevas terapias oncológicas1. En Uruguay, el melanoma representa un problema de salud significativo, con tasas de incidencia y mortalidad que destacan como las más altas de América Latina. Según el Registro Nacional de Cáncer de la Comisión Honoraria de Lucha Contra el Cáncer, entre 2015 y 2019, las tasas de incidencia fueron de 5,92 casos por cada 100.000 hombres y 4,81 por cada 100.000 mujeres, con tasas de mortalidad de 1,94 y 1,01, respectivamente. En promedio, 269 uruguayos son diagnosticados y 89 fallecen anualmente por melanoma. Además, las tasas de incidencia han evidenciado un aumento preocupante del 1,42 % en hombres y del 1,56 % en mujeres2.

Este panorama contrasta con el de países vecinos como Argentina y Brasil. En Argentina, de acuerdo con estimaciones de Global Cancer Observatory 2022, se registraron 1.603 casos nuevos de melanoma y 563 muertes en ese mismo año, con una prevalencia a 5 años de 5.896 casos en una población de 46 millones3. Por su parte, Brasil reportó 9.676 casos nuevos y 2.273 muertes en 2022, con una prevalencia a 5 años de 32.185 pacientes en una población de 215 millones4. Estas cifras reflejan que, proporcionalmente, Uruguay presenta una carga mucho más alta de melanoma en comparación con sus países vecinos, a pesar de su menor población.

Dado este escenario, consideramos que, si bien ha habido avances en la detección temprana mediante el uso de tecnologías como la dermatoscopia y campañas de prevención, promovidas a través de diversos medios de comunicación y respaldadas por instituciones como el Instituto Uruguayo de Meteorología (INUMET), muchas de estas se concentran en un sector del país, como lo es Montevideo5. Por esto mismo, creemos que es fundamental ampliar las estrategias de enseñanza y prevención en todo el territorio nacional, tanto en centros educativos como en medios de comunicación y con mayor difusión.

A nivel clínico, la detección temprana depende del reconocimiento de las manifestaciones clínicas, que son variables y multifactoriales. La Organización Mundial de la Salud (OMS) ha propuesto una clasificación multidimensional que incluye nueve subtipos, entre los que se destacan con mayor frecuencia el melanoma extensivo superficial (MES), el melanoma lentigo maligno (MLM), el melanoma acral y el melanoma nodular (MN)6. El diagnóstico se confirma mediante biopsia escisional, siendo el espesor de Breslow (EB) clave para el pronóstico. La sobrevida a los 5 años supera el 90 % en estadios iniciales, pero disminuye entre un 50 % y 90 % si el EB es mayor a 1 mm y es menor al 10 % en estadios avanzados7.

Este estudio describe las características demográficas, clínicas e histopatológicas de los pacientes diagnosticados con melanoma en la Unidad Académica de Dermatología del Hospital de Clínicas (HC) entre el 2016 y 2021, contextualizando la situación de Uruguay frente al panorama regional e internacional.

Metodología

a)Tipo de estudio y población

Se realizó un estudio descriptivo, observacional y retrospectivo en la Unidad Académica de Dermatología del HC entre enero de 2016 y diciembre de 2021. Los criterios de inclusión consideraron pacientes mayores de 18 años con diagnóstico confirmado de melanoma cutáneo que tuvieran datos completos de edad, sexo, fecha del diagnóstico y estadio de la enfermedad, a fin de obtener datos y resultados coherentes. Los casos con información incompleta o pérdida de seguimiento fueron excluidos, lo que contribuyó a que el tamaño de la muestra fuera reducido. El estudio fue aprobado por el Comité de Ética institucional.

b)Variables

Se incluyeron variables demográficas (edad, sexo y fecha del diagnóstico) e histopatológicas (grosor tumoral, ulceración, tasa mitótica, invasión linfovascular, regresión y neurotropismo), siguiendo las directrices de la NCCN® 2.20217. También se incluyó el estadio tumoral y el impacto de la pandemia por el COVID-19.

c)Análisis estadístico y mitigación de sesgos

Para minimizar los sesgos se aplicó un protocolo de revisión sistemática de historias clínicas, verificando los datos con los informes histopatológicos. Las variables cualitativas fueron analizadas con frecuencias y porcentajes y las cuantitativas, con medidas de tendencia central. Dado el tamaño reducido de la muestra (n = 41) y la distribución no normal de la población, se emplearon pruebas U de Mann-Whitney y Chi-cuadrado. Se utilizó Microsoft Excel para la organización y cálculo de los datos y calculadoras en línea para la ejecución de las pruebas estadísticas con un nivel de significancia de 0,05.

Resultados

a)Características demográficas

Durante el período de estudio se diagnosticaron 41 pacientes con melanoma que cumplían con los criterios de inclusión. La media de diagnósticos fue de 6,8 por año. La mayoría se trataba de hombres (61 %), con una edad media de 64,2 y una mediana de 65 años. El 41,5 % de los pacientes eran mayores de 70 años, mientras que solo el 17,1 % tenían menos de 49 años. No se encontraron diferencias significativas en la edad media entre hombres (66 años) y mujeres (61 años) (Gráfico 1). En la Tabla 1 se muestran las principales características descriptivas de la población estudiada.

Gráfico 1. Edad de los pacientes en función del sexo. 

Tabla 1. Características de los pacientes diagnosticados con melanoma al momento del diagnóstico. 

b)Características clínicas y estadio tumoral

Se obtuvieron datos clínicos y dermatoscópicos completos de 39 pacientes. Respecto a la clínica de cada uno de los melanomas, si bien actualmente para realizar una clasificación completa según la OMS, se requieren características clínicas, dermatoscópicas, histopatológicas y moleculares, la naturaleza retrospectiva del estudio limitó la disponibilidad de ciertos datos. Por lo tanto, se realizó una clasificación utilizando únicamente las características clínicas, dermatoscópicas e histopatológicas disponibles.

Por un lado, el 59,1 % de los pacientes presentó MES. Estos se caracterizaban por máculas asimétricas de gran tamaño, con bordes irregulares y policromía. Los patrones dermatoscópicos observados fueron red de pigmento atípica, patrón globular atípico, regresión y líneas blanco brillantes. Algunos presentaban características mixtas, con sectores nodulares y con velo blanco azulado, pseudópodos y erosiones (Figuras 1 y 2). Por el otro, el 15,4 % de ellos presentó MN, dados por tumoraciones sobreelevadas, redondeadas u ovaladas, con coloración variable y una dermatoscopia que mostraba erosiones, costras o pigmentación homogénea con áreas de velo blanco azulado (Figura 3).

Figura 1. MES en algunos de los pacientes. Se observan lesiones asimétricas, con bordes irregulares, diferentes tonalidades y de gran tamaño. A. Lesión de 60 mm de diámetro mayor, con un sector central de aspecto cicatrizal. B. Lesión de 20 mm de diámetro mayor, donde se distingue una red de pigmento atípica y áreas de regresión blanquecina en la zona central. C. Lesión de 4 mm de diámetro mayor, con un patrón en estallido de estrellas atípico. D. Lesión de 12 mm de diámetro mayor, caracterizada por un patrón vascular atípico, estructuras blanco-brillantes y una gran erosión con costra hemática en el centro. Los EB fueron, respectivamente: 0,5 mm (biopsia incisional), 0,7 mm, 0,9 mm y 1 mm. 

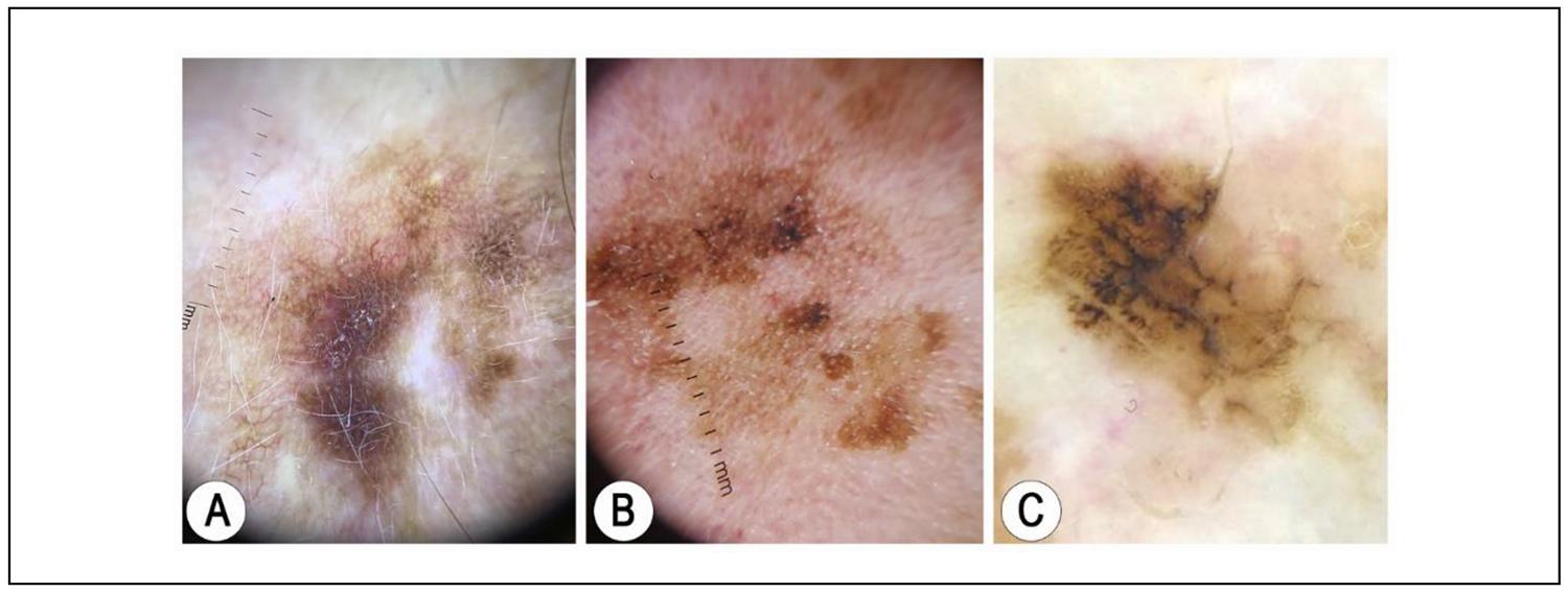
Figura 2. MES en dos pacientes diferentes. Se observan las lesiones A y C, y B y D (de arriba hacia abajo con su respectivo aumento), ambas con características mixtas. A y C. Lesión pigmentada atípica de 20 mm de diámetro mayor, con un sector nodular y otro macular, predominando el componente nodular. En el sector nodular se destacan diferentes tonalidades y velo blanco azulado, mientras que en el macular se observa una red de pigmento y glóbulos atípicos. B y D. Lesión pigmentada atípica de 50 mm de diámetro mayor, con un sector nodular y otro macular, predominando el componente macular. En el sector macular se distingue una red de pigmento atípica y policromía, mientras que en el nodular se observa un aspecto vegetante, erosionado y sangrante. Los EB fueron de 2,5 mm y 13 mm, respectivamente. 

Figura 3. MN. Lesiones tumorales redondeadas u ovaladas y de diferentes tonalidades. A. Lesión de 10 mm de diámetro mayor, con superficie friable, erosiones y costras. B. Lesión de 10 mm de diámetro mayor, localizada sobre un tatuaje, con erosión central y costra serosa. C. Lesión de 18 mm de diámetro mayor, con erosión central, costra y velo blanco azulado. D. Lesión de 20 mm de diámetro mayor, con un sector de pigmento paracentral y superficie friable. Los EB fueron de 5 mm (biopsia incisional), 2,2 mm, 4,5 mm y 3,5 mm, respectivamente. 

Los MLM y los melanomas acrales representaron el 10,3 % cada uno. Los primeros presentaban características dermatoscópicas como pseudored de pigmento atípica, oclusión de aperturas foliculares, patrón vascular atípico y patrón de líneas anguladas; mientras que los segundos, patrón en paralelo de la cresta, globular atípico, melanoniquia longitudinal atípica y/o signo de Hutchinson (Figuras 4 y 5). El 5,1 % (n = 2) presentó características atípicas: uno se manifestó como un cuerno cutáneo y otro como nódulos azul-violáceos sugestivos de melanoma metastásico. (Figura 6). En cuanto a la localización, la más frecuente fue en el tronco (41,5 %), seguido de los miembros inferiores (31,7 %), sin diferencias estadísticamente significativas entre ambos sexos. Respecto al estadio tumoral, el 29,3 % fueron melanomas in situ (MIS), el 41,5 % tuvo una enfermedad localizada, el 9,8 % metástasis regionales y el 19,5 % metástasis a distancia. Hubo una mayor frecuencia de metástasis a distancia (estadio IV) en hombres, pero las diferencias entre ambos sexos no fueron significativas (Gráfico 2).

Figura 4. 1 caso de MLM y 2 de léntigo maligno en tres pacientes diferentes. Máculas asimétricas, de bordes difusos y diferentes tonalidades, localizadas en áreas de piel con fotodaño. A. Lesión de 20 mm de diámetro mayor, con un sector central de aspecto cicatrizal, presudored de pigmento atípica y oclusión de aperturas foliculares por pigmento. B. Lesión de 16 mm de diámetro mayor, con oclusión de aperturas foliculares por pigmento en el sector central. C. Lesión de 8 mm de diámetro mayor, localizada en una zona extrafacial, con presencia de líneas anguladas a la dermatoscopía. El EB de la lesión A fue de 0,7 mm, mientras que B y C correspondieron a MIS. 

Figura 5. Melanoma acral en una paciente. A-C. Mácula asimétrica, de bordes difusos y diferentes tonalidades de castaño, que compromete el sector ungueal en forma de melanoniquia longitudinal atípica y la región periungueal, manifestándose como signo de Hutchinson. La histopatología fue compatible con MIS. 

Figura 6. Presentación inusual de un paciente. A (foto clínica), B-D (dermatoscopía). A. Tres lesiones pigmentadas atípicas en el arco plantar derecho, descritas como nódulos azul violáceos con erosiones y costas en el centro. B. Lesión de 20 mm de diámetro mayor. C y D. Lesiones de 10 mm de diámetro mayor cada una. La histopatología evidenció melanoma metastásico. 

Gráfico 2. Proporción de pacientes en cada estudio en función del sexo. 

c)Características histopatológicas

Se determinó una submuestra de 24 pacientes a los que se les había realizado una biopsia escisional y presentaban un melanoma invasor. El EB medio fue de 3,4 mm y la mediana de 1,9 mm, siendo mayor la media en hombres (4,5 mm) que en mujeres (2,1 mm). No se observaron diferencias significativas entre ambos sexos.

Según los niveles de Clark, el 38,7 % alcanzó el nivel III y el 32,3 % el nivel I; tampoco hubo diferencias significativas entre ambos sexos. De acuerdo con la clasificación ampliamente aceptada por varios autores que divide a los melanomas en finos, intermedios y gruesos (American Society of Clinical Oncology [ASCO])8, los resultados fueron de un 26,5 %, un 23,5 % y un 20,6 % respectivamente, siendo el 29,4 % MIS.

El 36,6 % de los casos presentó ulceración, asociada principalmente a enfermedad metastásica (66,7 %). La regresión estuvo presente en un 12,2 %, asociada, principalmente, a enfermedad localizada. Un 9,8 % presentó invasión linfovascular, otro 9,8 % un índice mitótico elevado (≥2/mm2), un 4,9 % metástasis en tránsito/satelitosis y no se registraron casos de neurotropismo. Por último, del total de 39 biopsias con estado de márgenes reportado, el 68,3 % present márgenes libres en la primera biopsia y el 31,7 % mostró márgenes parciales.

d)Impacto de la pandemia en el diagnóstico del melanoma

El impacto de la pandemia por el COVID-19 fue notable durante el 2020 y el 2021, con una reducción a la mitad de los diagnósticos anuales en comparación con años previos. El EB medio aumentó de 3,0 mm (mediana de 1,4 mm) a 4,3 mm (mediana de 3,3 mm) respecto a los años anteriores y los melanomas in situ disminuyeron del 33 % al 13 %. Por otro lado, los casos de melanomas invasores locales aumentaron al 50 %, los regionales al 13 % y aquellos a distancia al 25 %. Estos resultados reflejan un retraso en los diagnósticos atribuible a las restricciones sanitarias, que limitaron el acceso a las consultas presenciales y la continuidad de los seguimientos clínicos (Gráfico 3).

Gráfico 3. Proporción de pacientes en cada estudio en función de la pandemia. 

El conjunto de datos que apoya los resultados de este estudio no se encuentra disponible públicamente.

Discusión

a)Hallazgos demográficos y epidemiológicos

Este estudio mostró que la mayoría de los pacientes tenían más de 70 años (41,5 %), con una mediana de edad de 65. Los resultados coinciden con estudios nacionales, como los de Amarillo et al9., realizados por el equipo de oncología del HC y del Instituto Nacional del Cáncer. A pesar de esto último, contrastan con los datos internacionales de la American Cancer Society10, que reportan diagnósticos más tempranos, especialmente en mujeres menores de 49 años y hombres mayores de 50.

b)Prevención y educación en salud

En Uruguay, la avanzada edad al diagnóstico puede atribuirse al menor impacto de las campañas de prevención en décadas anteriores, probablemente debido al limitado uso de herramientas como internet y redes sociales. Esto se refleja en la creciente cantidad de estudios sobre prevención de cáncer de piel publicados en bases de datos científicas en los últimos años. Por ejemplo, una búsqueda en PubMed con las palabras clave skin cancer prevention and melanoma muestra un aumento exponencial en la producción de artículos sobre el tema, lo que indica un mayor interés en las estrategias de prevención digital. Además, en los últimos años, organizaciones como la OMS han promovido activamente la fotoprotección, con iniciativas como el Día Mundial del Cáncer de Piel, celebrada desde 2011. En paralelo, la Skin Cancer Foundation destaca cómo la industria cosmética y farmacéutica han contribuido a esta sensibilización mediante campañas que promueven el uso de protector solar, respaldadas por figuras públicas.

En nuestro país, aunque probablemente existieron varios esfuerzos previos, una de las primeras publicaciones documentadas sobre campañas de prevención es la de Otero et al. en 2017, realizada por la Unidad Académica del HC en conjunto con la Sociedad de Dermatología del Uruguay y el Ministerio de Salud Pública5. Desde entonces, se han desarrollado importantes iniciativas, como la difusión de afiches informativos, tanto en redes sociales como a través de la publicación de videos educativos y el Proyecto de Ley UC-341 para la regulación del uso de camas solares11. Más recientemente, entre 2023 y 2024, se lanzaron materiales educativos sobre la radiación UV en colaboración con el Ministerio de Ambiente, LES-Udelar e INUMET. Por último, cabe destacar que desde el 2021, la Unidad Académica del HC se encuentra organizando jornadas gratuitas de control de piel. Sin embargo, el impacto de todas estas iniciativas continúa siendo evaluado.

La educación en salud de la piel sigue siendo un desafío en Uruguay. Si bien la instrucción a nivel primario y secundario es obligatoria en el país (Ley General de Educación N° 18437)12, los programas educativos actuales de la Administración Nacional de Educación Pública (ANEP) no incluyen contenidos específicos sobre fotoprotección. Este vacío subraya la necesidad de desarrollar programas educativos desde la infancia.

Para superar estas debilidades, se podría tomar en cuenta un ejemplo exitoso de un estudio que se realizó en Brasil en 2014, llamado “El sol, amigo de la infancia”, que mejoró el conocimiento y las prácticas de fotoprotección en niños y padres mediante herramientas lúdicas y educativas13. Este enfoque integral, adaptado a la realidad local, podría replicarse en Uruguay para modificar hábitos y reducir la incidencia del cáncer de piel en futuras generaciones. Incorporar estas estrategias en el sistema educativo, junto con políticas ambientales y el apoyo de profesionales de la salud, podría marcar una diferencia significativa en la prevención del melanoma.

c)Subtipos de melanoma y fotoprotección

El MES fue el subtipo más prevalente, lo que coincide con estudios internacionales como los realizados por Kibbi et al14., en población estadounidense. Esto podría explicarse por el alto porcentaje de población con fototipo bajo en ambos países. En Uruguay, según datos del Censo Nacional de Población y Vivienda de 2011, el 90,1 % de la población presentaba un fototipo bajo, mientras que en Estados Unidos según el U.S. Census Bureau de 2020, el porcentaje era del 61,1 %. Además, este fenómeno podría atribuirse al clima templado de Uruguay que favorece la exposición solar intermitente.

A estos factores se le suma el limitado uso de medidas de fotoprotección en nuestra población, incrementando el riesgo de aversiones. Esto lo podemos observar en el estudio de Otero et al., en 2017, el cual mostró que la mayoría de los funcionarios del HC solo usaban protector solar en ocasiones especiales, mientras que las medidas como ropa protectora o sombreros eran utilizados con poca frecuencia5. De manera similar, un estudio realizado por Magliano et al15., en el Centro Hospitalario Pereira Rossell (2013-2014), reveló un bajo uso de medidas complementarias y un desconocimiento generalizado sobre el FPS y la reaplicación del protector solar, favoreciendo la aparición de eritemas solares.

Estos datos respaldan la conclusión de que el mero uso de protector solar puede generar una falsa sensación de seguridad, aumentando la fotoexposición, como también señalan los autores mencionados. Coincidimos con ellos en que es necesaria una estrategia integral de fotoprotección, especialmente en los meses de alta radiación UV y en la necesidad de más estudios sobre estos hábitos en la población5,15.

d)Distribución anatómica y estadio tumoral

El tronco fue la localización más frecuente en los hombres, lo que es consistente con investigaciones previas nacionales, como las de Amarillo et al9. y con estudios internacionales1. Sin embargo, en las mujeres también predominó el tronco, lo que difiere de lo reportado con mayor frecuencia en la literatura, donde los melanomas tienden a localizarse más comúnmente en los miembros inferiores1. Esto probablemente sea debido al reducido tamaño de la submuestra femenina, lo que limitó la representatividad de los datos.

Respecto a los estadios tumorales, el 29,3 % de los pacientes fueron diagnosticados en estadio in situ, el 41,5 % en estadio localizado, el 9,8 % con metástasis regionales y el 19,5 % con metástasis a distancia. Estos resultados difieren de los reportados en otros estudios nacionales, como el de Amarillo et al9., donde se registraron menos MIS y más melanomas localizados. Esta diferencia podría explicarse por el hecho de que los pacientes en estadios precoces suelen ser diagnosticados inicialmente por dermatólogos, mientras que los casos avanzados habitualmente son referidos a oncología.

Se observó una mayor frecuencia de metástasis a distancia y una mayor edad al diagnóstico en hombres. Esto podría ser producto de que, según la Encuesta Nacional de Salud del Ministerio de Salud Pública16, publicada en 2016, los hombres asisten con menos frecuencia a la consulta médica. Adicionalmente, datos de la Encuesta Continua de Hogares del Instituto Nacional de Estadística indican que los hombres trabajan más a menudo en ocupaciones al aire libre, lo que aumenta la fotoexposición y, por ende, el riesgo de desarrollar tumores avanzados al momento del diagnóstico.

En comparación con otros estudios, como el de Ríos et al17. en España, nuestra población presentó un mayor número de melanomas avanzados. Esto posiblemente se deba a los retrasos en las consultas durante la pandemia por el COVID-19 y a la limitada difusión de campañas preventivas en décadas anteriores, cuando el acceso a internet y redes sociales era menor. Esto resalta la necesidad de fortalecer estrategias preventivas en Uruguay.

e)Características histopatológicas

En este estudio, el EB tuvo una media de 3,3 mm y una mediana de 1,5 mm, valores inferiores a los reportados por Amarillo et al9., quienes estudiaron mayoritariamente pacientes en estadios avanzados. Sin embargo, al compararlos con estudios internacionales similares, como los de Ríos et al17. y el de Lipsker et al18., realizado en Francia, que presentaron medianas de 0,7 mm y 1 mm respectivamente, nuestra población mostró mayor grosor tumoral. Esta diferencia podría atribuirse a los retrasos diagnósticos durante la pandemia de COVID-19 y a la limitada difusión de campañas educativas en las décadas previas. Además, la falta de programas de educación sobre el cuidado de la piel en centros escolares pudo haber contribuido a una menor detección temprana.

Según la clasificación del grosor tumoral de los melanomas en finos, intermedios y gruesos (ASCO)8, la mayoría de estos tumores eran MIS y finos. Estos hallazgos, podrían estar relacionados con el uso de tecnología como la dermatoscopia, que fue ampliamente adoptada desde los años 2000 y que ha mejorado la detección temprana19. Esto resalta la importancia de integrar la tecnología a la educación para optimizar los diagnósticos en Uruguay.

Respecto a los melanomas con ulceración, el 66,7 % de estos presentaban además enfermedad metastásica asociada. Esto refuerza la relación entre ulceración, mayor grosor tumoral y peor pronóstico, lo que también ha sido documentado en estudios como los de Amarillo et al9. y Callender et al20.

El 80 % de los melanomas con fenómeno de regresión estaban en estadio localizado, hallazgo similar al reportado por Fernández et al21. en Argentina, quienes lo asociaron principalmente a melanomas finos. De manera similar, un metaanálisis realizado por Gualano et al22. descubrieron que la regresión era un factor protector asociado a una menor mortalidad (RR 0,77). Sin embargo, estudios como los de Slingluff et al23. vinculan la regresión a una menor supervivencia en melanomas metastásicos, mientras que otros la consideran una respuesta inmunitaria favorable.

El uso de biopsia de ganglio centinela en melanomas finos con regresión sigue siendo un tema de debate. Algunos estudios, como el de Oláh et al24., sugieren un mayor riesgo de metástasis, mientras que otros indican menor diseminación ganglionar22. La falta de unificación en los criterios dificulta la obtención de resultados consistentes, subrayando la necesidad de evaluaciones estandarizadas.

f)Efectos de la pandemia en el diagnóstico

Durante la pandemia, el promedio anual de diagnósticos de melanoma en la Unidad Académica disminuyó, acompañado de un aumento en el EB y una reducción de los casos en estadio in situ. Esto coincide con el estudio de Martínez-López et al25. en España, quienes reportaron un incremento del EB y una caída en los MIS. Asimismo, Asai et al26. en Canadá observaron una disminución del 27 % en las biopsias asociadas a melanoma, causando retrasos acumulados en los diagnósticos.

En nuestro estudio, el incremento de melanomas avanzados refleja el impacto de las restricciones sanitarias, como las consultas virtuales y las limitaciones para visitas presenciales27. También influyó el temor de los pacientes a exponerse al virus, afectando especialmente a los pacientes más añosos. En Canadá, se observó que estos últimos presentaron una menor probabilidad de realización de biopsias (RR: 0,81)26. En España, los diagnósticos tardíos redujeron la supervivencia a los 5 años de 94 % a 89 %25.

Nuestros hallazgos subrayan cómo las medidas sanitarias adoptadas durante la pandemia por el COVID-19 afectaron negativamente la detección temprana, destacando la necesidad de estrategias resilientes en caso de emergencias sanitarias. Entre ellas, el fortalecimiento de la teledermatología y el uso de tecnologías de salud móvil, que permiten la monitorización remota de lesiones y consultas virtuales, minimizando los riesgos en estas situaciones. Aplicaciones móviles con imágenes de alta calidad han demostrado ser eficaces para el diagnóstico temprano, especialmente en áreas rurales, mientras que la integración de la inteligencia artificial mejora la precisión diagnóstica y empodera al paciente.

Proyectos como TELESPOT en Bélgica han evidenciado tasas de éxito superiores al 90 % en el diagnostic remoto28. Creemos que es crucial garantizar el acceso presencial a las consultas esenciales, como las sospechas de melanoma, incluso en contextos restrictivos y capacitar a médicos generales para identificar los signos iniciales y derivar oportunamente.

g)Limitaciones del estudio

Este estudio presenta algunas limitaciones a considerar, como el diseño retrospectivo, que es susceptible a sesgos inherentes y el reducido tamaño de la submuestra del sexo femenino, lo que probablemente afectó la representatividad de la muestra al mostrar una localización del melanoma diferente a la reportada en otros estudios. Las restricciones impuestas durante la pandemia impactaron en el tamaño muestral y en las variables estudiadas.

Por otra parte, valores atípicos en el EB obligaron al uso de métodos no paramétricos debido a la distribución no normal de los datos. Además, la presencia de numerosos registros incompletos, atribuibles al uso de historias clínicas en papel, llevó a la exclusión de pacientes que no cumplían con los criterios de inclusión. La reciente implementación de historias clínicas electrónicas representa un avance significativo para mejorar la calidad de los registros y prevenir estos problemas en futuras investigaciones29.

Finalmente, creemos que sería interesante realizar un estudio prospectivo para poder superar estas limitaciones y contribuir con investigaciones más robustas y útiles para nuestra sociedad.

Conclusiones

Este estudio describe las características demográficas, clínicas e histopatológicas de los pacientes diagnosticados con melanoma en la Unidad Académica de Dermatología del HC, destacando aspectos particulares de la población uruguaya y diferencias con estudios internacionales y locales.

En principio, se observó una edad promedio al diagnóstico mayor que la reportada internacionalmente y un EB más alto, con predominio de estadios avanzados, especialmente en los hombres mayores. Esto podría atribuirse a diversos factores, como la menor frecuencia de consultas médicas, mayor exposición solar ocupacional, los retrasos diagnósticos durante la pandemia y la limitada difusión de campañas preventivas en décadas anteriores. A su vez, la ausencia de contenidos sobre fotoprotección en los programas educativos de la ANEP refuerza la importancia de incluir estas temáticas para fomentar diagnósticos más tempranos.

A pesar de ello, se encontró una mayor proporción de melanomas finos, lo que posiblemente refleja el impacto positivo de la dermatoscopia en la detección precoz. El MES fue el subtipo más frecuente, en línea con la literatura internacional de países con perfiles socioclimáticos similares. Sin embargo, esto difiere de los estudios oncológicos locales previos, donde predominaron los melanomas nodulares, posiblemente por las diferencias en los perfiles de atención.

En conclusión, este análisis es uno de los pocos estudios detallados sobre melanoma en Uruguay. Proporciona una base valiosa para futuras investigaciones y destaca la necesidad de fortalecer estrategias preventivas y de diagnóstico temprano en el país.

Agradecimientos

Los autores agradecen al Dr. Santiago Mansilla, Profesor Adjunto de la Unidad Académica de Métodos Cuantitativos de la Facultad de Medicina, UDELAR, por su valiosa orientación en el análisis estadístico de los datos. Asimismo, expresan su gratitud a los Dres. Rodrigo Della Santa, Soledad Machado, Sofía Martínez y Diego López por su guía y aportes en las etapas iniciales de esta investigación. Finalmente, la primera autora agradece también a su familia y amigos por el apoyo brindado a lo largo de este proceso.

Referencias

1. Matthews NH, Li WQ, Qureshi AA, Weinstock MA, Cho E. Epidemiology of melanoma. Exon Publ 2017; 3:22. Disponible en: https://dx.doi.org/10.15586/codon.cutaneousmelanoma.2017.ch1. [ Links ]

2. Registro Nacional de Cáncer. Melanoma en Uruguay. Comisión Honoraria de Lucha contra el Cáncer. 2023. [ Links ]

3. International Agency for Research on Cancer. Argentina fact sheet. GLOBOCAN. 2022. [ Links ]

4. International Agency for Research on Cancer. Brazil fact sheet. GLOBOCAN. 2022. [ Links ]

5. Otero C, Sellanes S, Dufrechou L, Nicoletti S, Larre Borges A. Prevención de Cáncer de Piel en el Hospital de Clínicas: ¿Qué sabe el personal de salud? An Fac Med 2022; 9(1). Disponible en: https://dx.doi.org/10.25184/anfamed2022v9n1a7. [ Links ]

6. Figueras, María Teresa Fernández. Clasificación WHO de lesiones melanocíticas. Piel 2020; 35(3):141-5. [ Links ]

7. Swetter SM, Thompson JA, Albertini MR, Barker CA, Baumgartner J, Boland G, et al. NCCN Guidelines® Insights: Melanoma: Cutaneous, Version 2.2021. J Natl Compr Canc Netw 2021; 19(4):364-76. Disponible en: https://dx.doi.org/10.6004/jnccn.2021.0018. [ Links ]

8. Balch CM, Buzaid AC, Soong SJ, Atkins MB, Cascinelli N, Coit DG, et al. Final version of the American Joint Committee on Cancer staging system for cutaneous melanoma. J Clin Oncol 2001; 19(16):3635-48. Disponible en: https://dx.doi.org/10.1200/jco.2001.19.16.3635. [ Links ]

9. Amarillo D. Melanoma cutáneo en Uruguay: características clínico-epidemiológicas y sobrevida en cohorte de pacientes de dos centros de referencia en el período 2008-2017. Rev Med Urug 2020; 38(2):74-98. Disponible en: https://dx.doi.org/10.29193/rmu.36.2.4. [ Links ]

10. Siegel RL, Miller KD, Wagle NS, Jemal A. Cancer statistics, 2023. CA Cancer J Clin 2023; 73(1):17-48. Disponible en: https://dx.doi.org/10.3322/caac.21763. [ Links ]

11. Comisión Honoraria de Lucha contra el Cáncer. Medidas sobre prevención, protección y control para reducir efectos nocivos de la exposición solar en forma prolongada. 2022. Disponible en: https://www.comisioncancer.org.uy/Ocultas/Proyecto-de-Ley-uc341. [ Links ]

12. Instituto Nacional de Estadística (INE). Ley General de Educación N° 18437. 2023. [ Links ]

13. Criado PR, Ocampo-Garza J, Brasil ALD, Rios RS, Ferreira FCS. Skin cancer prevention campaign in childhood: Survey based on 3,676 children in Brazil. J Eur Acad Dermatol Venereol 2018; 32(8):1272-7. Disponible en: https://dx.doi.org/10.1111/jdv.14740. [ Links ]

14. Kibbi N, Kluger H, Choi JN. Melanoma: clinical presentations. Cancer Treat Res 2016; 167:107-29. Disponible en: https:// dx.doi.org/10.1007/978-3-319-22539-5_4. [ Links ]

15. Magliano J, Bálsamo A, Ruibal F, Álvarez M, Bazzano C. Hábitos de fotoprotección en los niños que concurren a Dermatología Pediátrica del Centro Hospitalario Pereira Rossell. Arch Pediatr Urug 2016; 87(3):210-20. [ Links ]

16. Ministerio de Salud Pública (MSP). Primer informe Encuesta Nacional de Salud 2016. 2016. [ Links ]

17. Ríos L, Nagore E, López JL, Redondo P, Martí RM, Fernández-de-Misa R, et al. Registro nacional de melanoma cutáneo. Características del tumor en el momento del diagnóstico: 15 años de experiencia. Actas Dermosifiliogr 2013; 104(9). Disponible en: https://doi.org/10.1016/j.ad.2013.02.003. [ Links ]

18. Lipsker D, Engel F, Cribier B, Velten M, Hedelin G. Trends in melanoma epidemiology suggest three different types of melanoma. Br J Dermatol 2007; 157(2):338-43. Disponible en: https://dx.doi.org/10.1111/j.1365-2133.2007.08029.x. [ Links ]

19. Buch J, Criton S. Dermoscopy saga – A tale of 5 centuries. Indian J Dermatol 2021; 66(2):174-8. Disponible en: https://dx.doi.org/10.4103/ijd.ijd_691_18. [ Links ]

20. Callender GG, McMasters KM. What does ulceration of a melanoma mean for prognosis? Adv Surg 2011; 45(1):225-36. Disponible en: https://dx.doi.org/10.1016/j.yasu.2011.03.002. [ Links ]

21. Fernández J, Marchese ML, de Diego MC, Anaya J, Stringa O, Valdez R. Fenómeno de regresión como factor pronóstico en melanoma. Dermatología Argentina 2014; 20(g):384-90. [ Links ]

22. Gualano MR, Osella-Abate S, Scaioli G, Marra E, Bert F, Faure E, et al. Prognostic role of histological regression in primary cutaneous melanoma: a systematic review and meta-analysis. Br J Dermatol 2018; 178(2):357-62. Disponible en: https://dx.doi.org/10.1111/bjd.15552. [ Links ]

23. Slingluff CL Jr, Vollmer RT, Reintgen DS, Seigler HF. Lethal “thin” malignant melanoma: Identifying patients at risk. Ann Surg 1988; 208(2):150-6. Disponible en: https://dx.doi.org/10.1097/00000658-198808000-00004. [ Links ]

24. Oláh J, Gyulai R, Korom I, Varga E, et al. Tumour regression predicts higher risk of sentinel node involvement in thin cutaneous melanomas. Br J Dermatol 2003; 149(3):662-3. Disponible en: https://dx.doi.org/10.1046/j.1365-2133.2003.05502.x. [ Links ]

25. Martinez-Lopez A, Diaz-Calvillo P, Cuenca-Barrales C, Montero-Vilchez T, Sanchez-Diaz M, Buendia-Eisman A, et al. Impact of the COVID-19 Pandemic on the Diagnosis and Prognosis of Melanoma. J Clin Med 2022; 11(14):4181. Disponible en: https://dx.doi.org/10.3390/jcm11144181. [ Links ]

26. Asai Y, Nguyen P, Hanna TP. Impact of the COVID-19 pandemic on skin cancer diagnosis: a population-based study. PLoS One 2021; 16(3). Disponible en: https://dx.doi.org/10.1371/journal.pone.0248492. [ Links ]

27. Ministerio de Salud Pública (MSP). Protocolo de atención ambulatoria SNIS. 2020. [ Links ]

28. Giansanti D. Advancing dermatological care: a comprehensive narrative review of tele-dermatology and mHealth for bridging gaps and expanding opportunities beyond the COVID-19 pandemic. Healthcare 2023; 11(13):1911. Disponible en: https://dx.doi.org/10.3390/healthcare11131911. [ Links ]

29. Chá Ghiglia MM. Historia clínica electrónica: herramienta para la continuidad de asistencia. Rev Med Urug 2019; 35(3):107-123. Disponible en: https://dx.doi.org/10.29193/rmu.35.3.6. [ Links ]

Financiamiento

Esta investigación no recibió ninguna subvención especifica de agencias de financiamiento de los sectores público, comercial o sin fines de lucro.

Conflicto de interés

Los autores declaran no tener conflicto de interés.

Responsabilidades éticas

El estudio fue aprobado por el Comité de Ética del Hospital de Clínicas, Universidad de la República, Uruguay, bajo el número de aprobación 36-22. Además, se cuenta con el consentimiento informado de los pacientes para su publicación.

Contribución de los autores

Elina de Vera: concepción, diseño, ejecución, análisis, interpretación de los resultados, redacción y revisión científica.

Analia Guerra: diseño y revisión crítica.

Dahiana Amarillo: concepción y diseño.

Julio Magliano: diseño y revisión crítica.

Consejo Editorial:Aprobado por el Consejo Editorial de la Revista Médica del Uruguay.

Recibido: 04 de Febrero de 2025; Aprobado: 21 de Febrero de 2025

*Correspondencia: Elina de Vera Braggio. elinadevera1@gmail.com

Creative Commons License Este es un artículo open access bajo la licencia CC BY 4.0.