SciELO - Scientific Electronic Library Online

 
vol.39 número1Encefalitis límbica asociada a secreción inadecuada de hormona antidiurética. Reporte de un caso y revisión de la literaturaDermatosis con infiltrados plasmocitarios, ¿secundaria a queratosis actínica? índice de autoresíndice de materiabúsqueda de artículos
Home Pagelista alfabética de revistas  

Servicios Personalizados

Revista

Articulo

Links relacionados

Compartir


Revista Médica del Uruguay

versión impresa ISSN 0303-3295versión On-line ISSN 1688-0390

Rev. Méd. Urug. vol.39 no.1 Montevideo  2023  Epub 01-Mar-2023

https://doi.org/10.29193/rmu.39.1.11 

CASO CLÍNICO

Angioma de células litorales esplénico. Presentación de caso clínico

Littoral cell angioma of the spleen. Report on a clinical case

Angioma de células litoraneas do baço: apresentação de um caso clínico

1Cirujana General. Universal Sociedad Médica. Montevideo. Uruguay. Correo electrónico: lauratasende33@gmail.com

2Residente de Cirugía General. Universal Sociedad Médica. Montevideo. Uruguay.

3Cirujano General. Universal Sociedad Médica. Montevideo. Uruguay.


Resumen:

El angioma de células litorales del bazo es una neoplasia vascular benigna poco frecuente, de presentación clínica, paraclínica e imagenológica inespecífica. Se realizó en nuestro paciente la esplenectomía, el tratamiento indicado y curativo, y se logró el diagnóstico a través de la histología e inmunohistoquímica de la pieza de anatomía patológica.

Palabras clave: Neoplasias del bazo; Angioma de células litorales; Esplenectomía

Abstract:

Littoral cell angioma of the spleen is rather an unusual benign vascular neoplasm with non-specific clinical, paraclinical and imaging presentation. Our patient underwent splenectomy, performed as the appropriate and remedial treatment. Diagnosis was made by means of histology and immunohistochemistry techniques of the pathologic anatomy of the surgical piece.

Key words: Splenic neoplasms; Littoral cell angioma; Splenectomy

Resumo:

O angioma de células litoraneas do baço é uma neoplasia vascular benigna rara com apresentação clínica, laboratorial e de imagem inespecíficas. A esplenectomia foi realizada em nosso paciente, sendo esse o tratamento indicado e curativo, obtendo-se o diagnóstico através da histologia e imunohistoquímica da peça anatomopatológica.

Palavras chave: Neoplasias esplênicas; Angioma de células litorais; Esplenectomia

Introducción

El objetivo de este trabajo es presentar el caso clínico de una patología muy poco frecuente que por tanto contribuye de manera importante a darle difusión a su diagnóstico y tratamiento.

El angioma de células litorales del bazo es un raro tumor vascular benigno que se origina de la pulpa roja esplénica. Fue descrito por primera vez en 1991 por Falk y colaboradores1.

En general su presentación es asintomática o con sintomatología inespecífica.

Se presenta con una incidencia similar en hombres y mujeres, y la franja etaria de presentación es muy amplia (30-80 años)2.

El diagnóstico es básicamente histológico e inmunohistoquímico de la pieza de anatomía patológica, el bazo; siendo la esplenectomía el tratamiento definitivo curativo.

Su pronóstico es bueno y la mayoría son neoplasias benignas, si bien hay algunos casos en donde se describe un comportamiento maligno con metástasis en otras vísceras.

Esta descrita además su asociación con neoplasias malignas de origen epitelial, mesenquimático y hematológicas1,3.

Caso clínico

Se trata de un hombre de 60 años, de sexo masculino, sin antecedentes personales de relevancia.

Consulta en emergencia por cuadro de dolor en hemiabdomen inferior, de características inespecíficas, acompañado de náuseas y vómitos escasos. No presenta alteraciones del tránsito digestivo bajo. Se acompaña de elementos de repercusión general como marcada anorexia, adinamia y adelgazamiento de 10 kg en los últimos meses.

Del examen se destaca que está adelgazado, con anemia clínica. El abdomen es blando, depresible e indoloro. No hay visceromegalias. No presenta lesiones cutáneas.

Se realizó analítica bioquímica, que resultó normal.

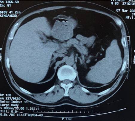
La ecografía evidencia al bazo aumentado de tamaño con múltiples nódulos. Con estos hallazgos decidimos solicitar tomografía de abdomen y pelvis con contraste intravenoso que informa: esplenomegalia leve, heterogénea, con múltiples lesiones sólidas. Hígado, páncreas y glándulas suprarrenales sanas. No presenta adenomegalias, líquido libre ni otras alteraciones (figura 1).

Figura 1: Tomografía de abdomen y pelvis. Corte axial. Esplenomegalia. Bazo con nódulos sólidos. 

Con los hallazgos mencionados planteamos la posibilidad de una neoplasia esplénica secundaria y por lo tanto decidimos solicitar estudios endoscópicos. La fibrogastroscopía y la fibrocolonoscopía no evidenciaron lesiones.

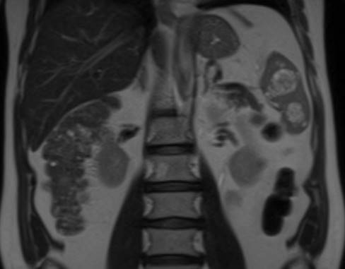
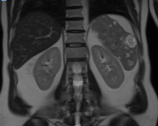
Solicitamos resonancia de abdomen que informó lesiones esplénicas múltiples, desde puntiformes hasta de 35 mm, que realzan heterogéneo con el contraste intravenoso (figura 2) (figura 3).

Figura 2: Resonancia magnética abdomen. Corte coronal. Lesiones esplénicas múltiples. 

Figura 3: Resonancia magnética abdomen. Corte coronal. Lesiones esplénicas múltiples. 

Para continuar la valoración solicitamos mielograma por punción esternal, que fue normal.

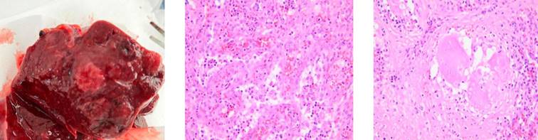
Decidimos realizar una esplenectomía para poder seguir avanzando en el diagnóstico. El abordaje fue laparoscópico. La cirugía cursó sin incidentes. Dejamos drenaje en el lecho operatorio y extrajimos la pieza en bolsa por incisión de Pfannenstiel (figura 4).

Figura 4: Pieza de anatomía patológica. Se aprecia el bazo con múltiples nódulos. 

Se realizó consulta intraoperatoria de anatomía patológica que no evidenció malignidad (figura 5).

Figura 5: Pieza de anatomía patológica que corresponde al bazo. Histología 

Se realizo técnica de inmunohistoquímica de los anticuerpos que se detallan en la (tabla 1).

Tabla 1 

El estudio diferido de la pieza evidenció angioma de células litorales de bazo, con reacción granulomatosa asociada. Este tipo de lesión es considerada benigna.

Discusión y conclusiones

Los tumores vasculares son la causa más frecuente de tumores primarios del bazo.

Los hemangiomas son los tumores primarios benignos más comunes del bazo, seguido por los angiomas de células litorales, que se encuentran también en esta categoría, pero son más raros. Otros tumores benignos del bazo son los pseudotumores inflamatorios, los nódulos de Gaucher, plasmocitomas y hamartomas4.

El angiosarcoma es el tumor esplénico maligno primario más común, siendo otros el hemangioendotelioma y linfangiosarcoma. Aunque el bazo es uno de los órganos más vascularizados del cuerpo, los tumores esplénicos secundarios o metastásicos son raros también. Los carcinomas de mama, pulmón, ovario, colorrectales, gástricos, y el melanoma, son las fuentes primarias más comunes5.

El angioma de células litorales se diagnostica en aproximadamente 50% de manera incidental, dado que la mayoría de los pacientes son asintomáticos3.

En algunos casos se presenta con dolor abdominal inespecífico en hipocondrio izquierdo, pesadez, anorexia y adelgazamiento como en nuestro paciente. Al examen físico puede presentarse con esplenomegalia. Este cuadro es por lo tanto inespecífico, por lo que debemos apoyarnos sin excepción en otros estudios imagenológicos.

En la paraclínica en sangre puede hallarse trombocitopenia o anemia (denominados síntomas de hiperesplenismo), no presentes en nuestro caso.

Dentro de los estudios de imagen, la ecografía puede evidenciar un bazo agrandado nodular. La tomografía con contraste intravenoso es el segundo estudio a solicitar y evidencia lesiones hipodensas múltiples (lo más frecuente) o un solo nódulo.

El diagnóstico diferencial se planea con otras lesiones que puede presentar el bazo, como metástasis, linfoma, linfangiomas y procesos inflamatorios o abscedados2.

Desde el punto de vista histológico, presenta zonas vasculares quísticas tapizadas por células de hábito histocitario y macrofágico, que se desprenden hacia la luz. El tejido no está encapsulado1. Desde el punto de vista inmunohistoquímico presentan positividad para vimentina. Expresan marcadores endoteliales como el CD31 y factor VIII, que demuestran la diferenciación endotelial, y marcadores histiocíticos como el CD68. A diferencia de las células litorales normales, en esa neoplasia no se expresa el CD81,2,5.

El tratamiento curativo y definitivo es la esplenectomía. La misma puede ser laparotómica o laparoscópica, conociendo todos las ventajas de la cirugía miniinvasiva, con menor dolor, menor sangrado y menos morbilidad parietal.

No obstante, se ha descrito en una pequeña cantidad de reportes el potencial de metástasis de estas neoplasias. En un trabajo publicado en 2018 por Takayoshi y colaboradores se describe un caso con metástasis hepáticas que respondieron a quimioterapia. Se utilizó el PET como prueba de imagen para evaluar la progresión de las lesiones y el efecto del tratamiento. La terapéutica para la enfermedad sistémica es actualmente una línea de investigación en continuo desarrollo6.

Hay evidencia también de asociación con neoplasias malignas de origen hematológico, epitelial y mesenquimático. Algunos ejemplos son el adenocarcinoma colorrectal y renal, melanoma, linfomas, leucemias, mielomas, GIST, tumores de endometrio y de mama entre otros.

Se ha visto la asociación con enfermedades sistémicas como enfermedad de Crohn, lupus o psoriasis. No se sabe la patogenia con claridad pero se plantea la relación con la desregulación del sistema inmune7.

En conclusión, se trata de una patología poco frecuente, de diagnóstico incidental en más de la mitad de los casos y con escasos reportes en la bibliografía internacional.

La tomografía de abdomen y pelvis junto a la anatomía patológica con pruebas inmunohistoquímicas son los pilares para el diagnóstico.

El tratamiento es la esplenectomía.

Es fundamental el estricto seguimiento dada la presencia en algunos pacientes de un comportamiento maligno, y su asociación con otras neoplasias y patologías sistémicas y autoinmunes.

Bibliografía:

1. Nájera L, Dotor A, Santonja C. Angioma esplénico de células litorales: descripción de un caso y revisión de la literatura. Rev Esp Patol 2006; 39(1):49-53. [ Links ]

2. Coico-León A, Meza-Capcha K, Laurente-Sánchez D, Verona-Rubio R, Samamé Pérez-Vargas J. Angioma esplénico de células litorales. An Fac Med 2020; 81(1):63-6. doi: 10.15381/anales.v81i1.16196. [ Links ]

3. Irarrázaval M, Riveros S, Valbuena J, Quezada N. Angioma de células litorales del bazo. Un diagnóstico de lesión focal esplénica: caso clínico. Rev Méd Chile 2021; 149(4):626-9. doi: 10.4067/s0034-98872021000400626. [ Links ]

4. Silver D, Pointer DJr, Slakey D. Solid tumors of the spleen: evaluation and management. J Am Coll Surg 2017; 224(6):1104-11. doi: 10.1016/j.jamcollsurg.2016.12.043. [ Links ]

5. Castillo Jiménez E, Antúnez H, Zelaya R, Ferrera C, Sabillón N. Tumores vasculares del bazo: reporte de dos casos y revisión de la literatura. Rev Méd Hondur 2007; 75(4):185-9. [ Links ]

6. Takayoshi K, Doi G, Tsuruta N, Yoshihiro T, Nio K, Tsuchihashi K, et al. Successful chemotherapeutic treatment for metastatic littoral cell angioma: a case report. Medicine (Baltimore) 2018; 97(15):e0378. doi: 10.1097/MD.0000000000010378. [ Links ]

7. Peckova K, Michal M, Hadravsky L, Suster S, Damjanov I, Miesbauerova M, et al. Littoral cell angioma of the spleen: a study of 25 cases with confirmation of frequent association with visceral malignancies. Histopathology 2016; 69(5):762-74. doi: 10.1111/his.13026. [ Links ]

Nota: Se obtuvo el consentimiento informado del paciente para esta publicación

Nota: Los autores participaron en igual medida en las distintas etapas de elaboración del artículo

Nota: Declaramos que no existe conflicto de interés

Nota: El Comité Editorial aprobó por unanimidad este artículo

Recibido: 30 de Mayo de 2022; Aprobado: 30 de Noviembre de 2022

Creative Commons License Este es un artículo publicado en acceso abierto bajo una licencia Creative Commons