Introducción
El síndrome de Cushing (SC), es una enfermedad rara caracterizada por una exposición excesiva y prolongada a glucocorticoides endógenos. Tiene una incidencia mundial de 0,7 a 2,4 casos por millón por año, es más frecuente en mujeres y puede ocurrir a cualquier edad, aunque habitualmente sucede entre la cuarta y sexta década de la vida1. El SC endógeno dependiente de hormona adrenocorticotrópica (ACTH) es responsable de aproximadamente el 80% de los casos, y la causa más frecuente es un adenoma hipofisario productor de ACTH o enfermedad de Cushing (EC). Las comorbilidades asociadas contribuyen a una disminución de la calidad de vida y a una elevada morbimortalidad en comparación con la población general debida a complicaciones cardiovasculares, infecciones y alteraciones siquiátricas1,2. La primera línea de tratamiento es la cirugía transesfenoidal con una tasa de remisión de 70%-90% cuando es realizada por neurocirujanos experimentados3. Las opciones de tratamiento para EC en las que el tratamiento inicial falla incluyen una segunda cirugía transesfenoidal4, radioterapia5,6 y tratamiento médico7. La adrenalectomía bilateral (AB) es utilizada en pacientes en los que las otras modalidades de tratamiento han fracasado y en los que se necesita una normalización rápida de la secreción del cortisol3. Presentamos un caso clínico de enfermedad de Cushing recurrente y persistente en una mujer de 27 años con un desenlace fatal.
Caso clínico
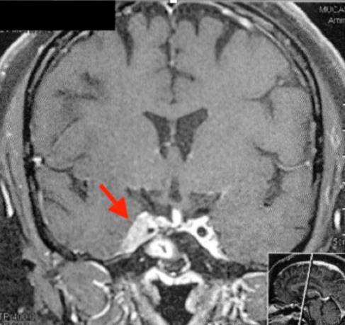
Paciente de sexo femenino, 27 años, derivada a nuestro servicio por EC recurrente y persistente. El cuadro clínico inicial es caracterizado por obesidad central, estrías rojo vinosas y debilidad muscular. Se realiza diagnóstico bioquímico de hipercortisolismo ACTH dependiente con un tumor hipofisario de 14 mm. Se realiza cirugía transesfenoidal y se confirma adenoma hipofisario secretor de ACTH (inmunohistoquímica: ACTH positivo, Ki 67 <2%). Mejoría clínica y bioquímica con normalización del cortisol libre urinario. En los 2 años siguientes, recidiva clínica, bioquímica y estructural. Se realiza segunda cirugía transesfenoidal. Al año siguiente, se documenta persistencia clínica, bioquímica (cortisol libre urinario CLU 252 µg/24 h, valor normal (VN) <50) y estructural de la enfermedad (adenoma hipofisario de 21 x 20 x 24 mm, con invasión del seno cavernoso). Se realiza radioterapia, 25 Grays en 5 fracciones en un total de 1,2 semanas. Luego de 6 meses se evidencia peoría clínica, se inicia ketoconazol 800 mg por día y cabergolina 0,5 mg por semana que se aumentan a 1.200 mg/ día y a 2 mg/semana, respectivamente. Hipertensión arterial en tratamiento con espironolactona; hipotiroidismo secundario en tratamiento con levotiroxina y amenorrea secundaria de 4 años de evolución. Tabaquista de 10 cigarrillos/día. De la evolución se destaca CLU en ascenso (figura 1) y la RMN sin cambios (figura 2). Además se evidencia aumento de enzimas hepáticas en más de 5 veces el VN, por lo cual se desciende dosis de ketoconazol hasta su suspensión. Peoría de los síntomas, con debilidad muscular proximal severa. Se realiza diagnóstico de diabetes mellitus tipo 2 y se inicia metformina. Valorada en ateneo se plantea AB dada la severidad del hipercortisolismo (CLU aproximado de 1.500 µg/24 h, cortisol sérico a la hora 8 AM mayor a 60 ug/dl más miopatía progresiva debilitante) y falla de los otros tratamientos. Se ingresa a la paciente a cuidados intensivos y se realiza una infusión de etomidato 0,05 mg/kg/h intravenoso durante las 48 h previas. Se logra buen control de la presión arterial y de la glicemia. Finalmente, con la paciente en oportunidad se realiza plan preoperatorio con la administración de hidrocortisona. Se procede a la AB. La suprarrenal derecha se extirpa por vía laparoscópica y la izquierda por laparotomía dadas las dificultades técnicas durante la cirugía, duración aproximada de 3 h. En las próximas 36 h posquirúrgicas instala disfunción orgánica múltiple, se procede a intubación orotraqueal y tratamiento con adrenalina y noradrenalina. A las 72 h presenta paro cardiorrespiratorio, se realiza reanimación avanzada de la que no sale y fallece. Se efectúa una necropsia, se descarta causa infecciosa e hipovolémica y se destaca pancreatitis aguda producto de complicaciones intraoperatorias.

Figura 1: Evolución bioquímica del cortisol libre urinario. A) Después de la primera cirugía. B) Después de la segunda cirugía. C) Radiocirugía. D) Después de terapia con ketoconazol.
Discusión
Los pacientes con SC tienen un mayor riesgo de muerte por enfermedad cardiovascular, incluido infarto de miocardio, accidente cerebrovascular y tromboembolismo. La mortalidad es hasta 5 veces más alta que en la población general4. El hipercortisolismo severo se considera una emergencia médica y se define bioquímicamente como niveles elevados de cortisol sérico aleatorio > 41 µg/dL en cualquier momento, o un CLU de 24 h más de cuatro veces que el límite superior normal, más la aparición reciente de uno o más de los siguientes: sepsis, hipopotasemia intratable, infecciones oportunistas, hemorragia gastrointestinal, hipertensión no controlada, edema, insuficiencia cardíaca, psicosis inducida por glucocorticoides, miopatía progresiva debilitante, tromboembolismo e hiperglicemia no controlada y cetosis5. Pueden existir manifestaciones metabólicas, infecciosas y neuropsiquiátricas severas que pueden amenazar la vida. La prioridad en estos casos es el manejo inmediato de cualquier complicación metabólica, seguido de un control urgente de los niveles de cortisol sérico6. En la actualidad, los medicamentos aprobados tienen una eficacia limitada porque las dosis requeridas en monoterapia provocan efectos secundarios que limitan su uso a largo plazo5. La AB es una opción de tratamiento esencial para los pacientes con EC cuando los tratamientos anteriores, como la cirugía transesfenoidal, el tratamiento médico y la radioterapia, han fallado. También se efectúa en pacientes con SC muy grave o también denominado “maligno” o “catastrófico”3. Induce una rápida resolución del hipercortisolismo no controlado. La AB es un medio eficaz para reducir la morbilidad asociada en estos pacientes. En una revisión y presentación de 58 casos fue altamente efectiva en controlar las comorbilidades asociadas con el hipercortisolismo6. El control preoperatorio de las comorbilidades es de gran importancia. Asimismo, el efecto antiesteroidogénico del etomidato y la AB posterior requieren de un tratamiento del hipoadrenalismo para mitigar la morbimortalidad por esta causa8.
El abordaje laparoscópico se considera el estándar de oro. Produce menor dolor posoperatorio, menor duración de la estadía y recuperación más rápida. Es un procedimiento seguro, con tasas de morbilidad de 17% a 19% y tasas de mortalidad de 0% a 3%. Sin embargo, realizar una AB en estos pacientes altamente frágiles puede ser un desafío9. Las complicaciones intraoperatorias incluyen hemorragia y alteraciones hemodinámicas, lo que puede llevar a la necesidad de conversión a cirugía abierta, y de la manipulación excesiva de la glándula3,10. La AB abierta se ha asociado con mayores tasas de hemorragia intra y posoperatoria, mayor morbilidad (40% vs. 13%) y mortalidad (5,6% vs. 2,4%) comparado con el abordaje laparoscópico3. Aunque la AB se considera un procedimiento de alto riesgo, estos riesgos pueden mitigarse y realizarse de manera segura mientras se mantiene un apoyo perioperatorio multidisciplinario cercano9. Las complicaciones posoperatorias consisten en la crisis suprarrenal y el síndrome de Nelson. La primera se previene mediante la sustitución de glucocorticoides y mineralocorticoides. El síndrome de Nelson consiste en que la pérdida de la inhibición por retroalimentación en la glándula pituitaria puede provocar un brote del tumor con un macroadenoma invasivo. La incidencia estimada es de 0% a 47%11. Los estudios revisados por Ritzel y colaboradores en una revisión sistemática mostraron una remisión parcial o total de los signos y síntomas post AB6. Los estigmas fenotípicos disminuyeron en el 85% de los pacientes, la hipertensión arterial disminuyó en el 82% y la diabetes mellitus disminuyó en el 70%. Los síntomas y comorbilidades como la obesidad, depresión y debilidad muscular mostraron la tasa de remisión general más baja de 32% a 43%12. Se describe en la literatura que la AB se realiza después de una duración de la enfermedad de 1,8 a 6,8 años3. Sin embargo, estudios recientes sugieren que debe considerarse antes en el paradigma de tratamiento en lugar de otras terapias adyuvantes. Por ejemplo, puede mejorar la mortalidad a largo plazo en comparación con el uso de terapia médica sola. En un estudio retrospectivo reciente de Morris y colaboradores de 65 pacientes (16 pituitarios, 49 ectópicos), el 32% fueron tratados con terapia médica seguida de AB, y el 68% con terapia médica sola. En este estudio, el 55% de los pacientes en el grupo de tratamiento médico único murieron y el exceso de corticoides contribuyó al 71% de las complicaciones. De los pacientes a quienes se les realizó AB, el 29% murió. Estos autores concluyeron que los sujetos tratados solo con terapia médica adyuvante tenían más probabilidades de morir por las secuelas relacionadas con la hipercortisolemia en comparación con los que se sometieron a AB9-11.
Respecto a nuestro caso, la AB fue el epílogo de tratamientos que fracasaron en el control definitivo del hipercortisolismo severo. Si bien la evidencia muestra una mayor mortalidad con la técnica abierta vs. la laparoscópica, en esta paciente este desenlace era posible y así se lo comunicó a ella y a sus familiares. El hipercortisolismo severo o catastrófico se asocia con diversas comorbilidades que pueden empeorar el riesgo quirúrgico. Sin embargo, en este caso el hipercortisolismo severo se compensó en el preoperatorio con la administración de etomidato, con lo cual se compensaron diversas comorbilidades asociadas a esta enfermedad (hipertensión arterial, diabetes mellitus).
Conclusiones
En el SC severo o catastrófico la AB puede ser la única opción terapéutica ya que conduce a una resolución rápida del hipercortisolismo. Sin embargo, puede tener importante morbimortalidad, mayor con el abordaje abierto que el laparoscópico. Es importante el control del hipercortisolismo severo y las comorbilidades previo a la cirugía.















