Introducción
La enfermedad de Hansen o lepra es una enfermedad infecciosa crónica que afecta principalmente la piel y los nervios periféricos1. Es causada por la micobacteria Mycobacterium leprae, que se transmite principalmente por contacto directo y prolongado a través de secreciones de las vías respiratorias superiores de pacientes no tratados. Es una enfermedad aún estigmatizante y potencialmente discapacitante, pero curable si se diagnostica y se trata. Dependiendo del tipo de respuesta inmunológica que desarrolle el paciente ante la infección, la enfermedad se presentará de distintas formas clínicas2.
M. leprae es un bacilo intracelular obligado, ácido-alcohol resistente, de multiplicación lenta (12-14 días). El periodo de incubación promedio de la enfermedad es de 5 años, reconociéndose casos que tardan hasta 20 años en dar manifestaciones clínicas3.
En 2019 se registraron 202.185 casos nuevos de lepra en el mundo4, de los que 29.936 casos corresponden a las Américas, y Brasil concentra la mayoría de los casos (27.863)4. La eliminación de la lepra como problema de salud pública fue definida como una prevalencia registrada de menos de 1 caso por 10.000 habitantes. Se alcanzó en casi todo el mundo en 2000, mientras que en Uruguay se logró la meta en 1988 a nivel nacional y a nivel subnacional en 19985.
Hasta diciembre de 2020 la prevalencia de la enfermedad de Hansen a nivel del país correspondió a 10 casos. En ese mismo año fueron notificados al Programa de la Enfermedad de Hansen cuatro casos nuevos. Uruguay es considerado un país de baja endemia, con hasta 10 casos nuevos de reporte anual en la última década. Como históricamente ha ocurrido, la mayoría de los casos se presentan al norte del Río Negro, principalmente en los departamentos del litoral noroeste (Artigas, Salto, Paysandú y Río Negro). En el último quinquenio de 29 casos nuevos reportados, 22 (76%) procedían del norte del país. De estos 29 casos, 28 (97%) correspondieron a formas multibacilares (MB). Mientras que en el último año, siguiendo esta tendencia, los cuatro (100%) casos nuevos reportados fueron MB. En cuanto a la edad promedio de detección en el último año es de 66 años. No se han detectado casos en menores de 15 años6.
La enfermedad se presenta en un espectro clínico con dos polos y un estadio intermedio (clasificación de Ridley y Jopling). En un polo, tendremos la lepra tuberculoide (LT) y en el otro la lepra lepromatosa (LL). Entre ambos, se presentan las formas intermedias o borderline: borderline tuberculoide (BT), borderline borderline (BB) o borderline lepromatoso (BL), de acuerdo a la respuesta inmune que desarrolle el paciente. El estadio indeterminado se considera el estadio inicial de la enfermedad7.
La Organización Mundial de la Salud (OMS) propone una clasificación operativa, que divide a los pacientes en paucibacilares (PB) cuando presentan hasta cinco lesiones cutáneas, baciloscopía de frotis cutáneos negativas, y hasta un nervio periférico afectado, o multibacilares (MB) si presentan más de cinco lesiones cutáneas y/o baciloscopía positiva de frotis cutáneos y/o dos o más nervios afectados.
El curso crónico de la enfermedad puede ser interrumpido por eventos agudos conocidos como reacciones leprosas o estados reaccionales, los que pueden generar un aumento de la morbimortalidad8. Dentro de los estados reaccionales se distinguen las reacciones de tipo 1 o reacciones reversas, las de tipo 2 o eritema nodoso leproso y el fenómeno de Lucio.
Se presenta el caso de un paciente que consultó en nuestro servicio, con una forma clínica inusual de la enfermedad de Hansen, como es el fenómeno de Lucio.
Caso clínico
Se trata de un paciente de sexo masculino, 57 años, oriundo de Artigas, quien residía desde hace 20 años en Montevideo. Tabaquista sin otros antecedentes personales a destacar. Se presentó con una dermatosis de piel, diseminada, bilateral con tendencia a la simetría. Topografiada en cabeza, tronco y miembros con máximo lesional en miembros inferiores, caracterizada por máculas y placas eritemato-violáceas con un patrón reticular conformando una livedo racemosa, en cuyo centro muchas de ellas presentaban lesiones ampollares, y lesiones secundarias dadas por erosiones y úlceras. Necrosis de segundo y tercer dedo de pie izquierdo. Presentaba amputación de falange distal de primer dedo de pie izquierdo de años de evolución (figura 1). Se destacaba en la cara una facies “lepromatosa” con nariz en silla de montar e infiltración de lóbulos de oreja. A la palpación las lesiones eran indoloras.

Figura 1: Presentación clínica al momento del diagnóstico. Se observan máculas y placas eritemato-violáceas con un patrón reticular conformando una livedo racemosa. Ampollas, erosiones y úlceras. Necrosis de segundo y tercer dedo de pie izquierdo
Al examen neurológico se evidenciaron nervios cubitales derecho e izquierdo palpables, mediano doloroso a izquierda, ciático poplíteo externo palpable a derecha y una alteración de la sensibilidad en manos y pies, dada por una hipoestesia térmica y dolorosa. Reflejos oculopalpebrales presentes.
El cuadro cutáneo había comenzado 24 horas previas a la consulta, con inicio súbito y de manera ascendente, en apirexia, asintomático y con buen estado general.
De la analítica al ingreso: hemograma con una leucocitosis 12.800 103/Ul, PCR 18 mg/l, crasis con un APTT 68,7 seg y fibrinógeno 597 mg/dl, VDRL reactivo 1 U con TPHA no reactivo, Inhibidor lúpico positivo, FR 71 UI/ml, proteinograma con una albúmina de 49,9%, hipergammaglobulinemia de aspecto policlonal, complemento con fracción C3: 72. Destacamos ANA, ANCA, crioglobulinas, VIH, VHC, VHB negativos.
En base a las características clínicas de la dermatosis, asociada a facies distintiva con nariz en silla de montar e infiltración de lóbulo de orejas, compromiso neurológico y zona de procedencia, se realiza planteo diagnóstico de enfermedad de Hansen, presentándose bajo forma de un estado reaccional como es el fenómeno de Lucio.
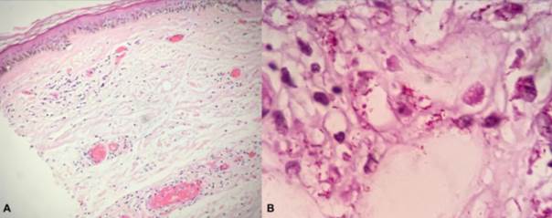
Se procede a la realización de una biopsia de piel para estudio con tinción de hematoxilina y eosina. En donde se observó una epidermis fina y aplanada. Edema de dermis papilar, presencia de necrosis fibrinoide de paredes vasculares en vasos de pequeño calibre y trombosis intravascular. Un infiltrado inflamatorio perivascular compuesto por histiocitos, algunos linfocitos y neutrófilos. Se realizó además tinción con Fite-Faraco, que reveló la presencia de numerosos bacilos ácido alcohol resistente (BAAR) (figura 2). Todo confirma el diagnóstico clínico planteado.

Figura 2: A) Histopatología. Tinción hematoxilina-eosina 10X. Se observa un infiltrado inflamatorio perivascular con histiocitos, linfocitos y neutrófilos, necrosis fibrinoide de paredes vasculares y trombos intravasculares. B) Histopatología. Tinción Fite-Faraco. Se observan bacilos ácido alcohol resistentes aislados y en globi.
Se realizaron baciloscopías de piel de lóbulo de oreja, cola de ceja y de lesión, siendo positivas para BAAR, observándose un índice bacteriológico (IB) de 2,5 y un índice morfológico (IM) de 90.
Se realizó la denuncia de caso a la Comisión Honoraria de la Lucha Antituberculosa y de Enfermedades Prevalentes y se inició terapia multimedicamentosa de enfermedad de Hansen para pacientes multibacilares con rifampicina, clofazimina y dapsona. Concomitantemente se inició prednisona a dosis de 1 mg/kg/día, con descenso gradual.
El paciente evolucionó favorablemente desde el punto de vista cutáneo, dejando cicatrices estrelladas deprimidas (figura 3). A nivel neurológico el examen se mantuvo incambiado.
Discusión
Los estados reaccionales de la lepra provocan manifestaciones clínicas de aparición súbita, y son producidos por variaciones en el estado inmunitario. Estos en general responden a un desencadenante como el propio tratamiento, infecciones entre otros. Aumentan en gran medida la morbilidad de la enfermedad.
El fenómeno de Lucio, es considerado por algunos autores dentro de las reacciones leprosas de tipo 2. Fue descrito por Latapi9 en una forma característica de lepra, como lo es la lepra lepromatosa difusa o de Lucio-Alvarado (caracterizada por infiltración difusa de la piel, alopecia de pestañas y cejas) así como también en formas de LL10, como fue visto en nuestro paciente. Es un cuadro grave con elevada morbimortalidad. Es más prevalente en Centroamérica y México, siendo excepcional en nuestro país.
Se presenta clínicamente como una dermatosis de inicio brusco, caracterizada por máculas eritematosas dolorosas que se tornan rápidamente purpúricas, con forma poligonal y que adquieren un aspecto livedoide. En la evolución pueden ulcerarse y necrosarse. Curan dejando una cicatriz atrófica estrellada11. Las lesiones suelen iniciar en miembros inferiores y seguir una distribución ascendente11,12, lo cual coincide con la forma de presentación en nuestro paciente. Suelen asociar síntomas sistémicos como fiebre, hepatoesplenomegalia, linfadenopatía y alteraciones de la analítica sanguínea como anemia, reactantes de fase aguda elevados, leucocitosis con neutrofilia, hipoalbuminemia, hipocomplementemia, factor reumatoideo positivo, anticuerpos antifosfolipídicos positivos, falsos positivos de VDRL y FTA12,13. Nuestro paciente presentó estas alteraciones analíticas sin mostrar afectación del estado general.
El diagnóstico clínico debe ser confirmado por biopsia de piel12. Con hematoxilina y eosina se evidencia una necrosis epidérmica, y en la dermis una necrosis fibrinoide de las paredes vasculares, trombos intravasculares y un infiltrado inflamatorio compuesto por macrófagos espumosos. Los bacilos se visualizan como bastones de color rojo fucsia con tinciones especiales como Fite-Faraco. Pueden presentarse aislados o agrupados (en globi) a nivel endotelial y en macrófagos11,12.
Los diagnósticos diferenciales que se plantean ante este tipo de cuadros clínicos son, entre otros, crioglobulinemia, síndrome de anticuerpos antifosfolipídicos y vasculitis de otras etiologías8,11.
La fisiopatología no está del todo aclarada. Se piensa que se trataría de una reacción mediada por inmunocomplejos que se depositarían en las paredes vasculares. Asimismo se ha visto la invasión directa vascular por micobacterias. Esto llevaría a la proliferación del endotelio vascular y reducción de su luz 1,12.
Como probables factores desencadenantes se plantean infecciones, embarazo, estrés y procedimientos quirúrgicos11.
En cuanto al tratamiento, los pacientes deben recibir terapia multimedicamentosa para enfermos multibacilares. La OMS distribuye la medicación en el mundo, siendo las pautas de tratamiento: rifampicina 600 mg mensuales, clofazimina 300 mg mensuales, ambos supervisados, dapsona 100 mg día y clofazimina 50 mg día, por un período de 12 meses.
No se recomienda actualmente el aislamiento de los pacientes3.
En el caso de fenómeno de Lucio se debe asociar prednisona a dosis entre 0,5 y 1 mg/kg/día con descenso gradual en meses8, además de curaciones apropiadas de las heridas.
Las principales complicaciones del fenómeno de Lucio son sobreinfección, sepsis y coagulopatías. De no realizarse un tratamiento inmediato el desenlace puede ser fatal12.
Conclusiones
Este caso clínico destaca la importancia de tener presente esta inusual forma de presentación de la enfermedad de Hansen, infección aún no erradicada en nuestro país y con una mayor prevalencia, aunque no exclusiva, de los departamentos al norte del Río Negro. La presentación a través del fenómeno de Lucio implicó un reto diagnóstico. La detección precoz de estos pacientes es posible sólo con un alto grado de sospecha, fundamentalmente frente a pacientes con lesiones cutáneas y compromiso de nervios periféricos.















