Introducción
El manejo del trauma pélvico grave es uno de los aspectos más desafiantes del paciente traumatizado. Las fracturas pélvicas resultan de mecanismos de alta cinemática, frecuentemente con múltiples lesiones asociadas que conllevan a una hemorragia catastrófica1,2. Existe un alto riesgo de morbilidad y mortalidad a pesar de los avances en el cuidado del paciente traumatizado. Las opciones terapéuticas son limitadas, sin gran nivel de evidencia y no accesibles en todos los centros hospitalarios1.
Caso clínico
Presentamos el caso de un hombre de 62 años que tras un siniestro de tránsito sufrió un trauma pélvico cerrado inestable en lo mecánico y hemodinámico, grado IV según la clasificación de la World Society of Emergency Surgery (WSES) y de tipo compresión antero-posterior III según la clasificación Young and Burgess1,2(figura 1).

Figura 1: Tomografía computada con reconstrucción tridimensional de pelvis ósea, vista de frente (A) y oblicua superior (B). Se observa diastasis de la sínfisis púbica (flecha blanca), fractura intertrocantérica derecha (flecha amarilla), fractura del ala ilíaca derecha (flecha roja), disyunción sacroilíaca izquierda (flecha verde)
Al ingreso al departamento de emergencia se presenta lúcido, con inestabilidad hemodinámica que se corrigió transitoriamente con cristaloides. Ecografía FAST negativa.
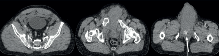
La tomografía computada evidenció diástasis de la sínfisis púbica de 5 cm, fractura lineal completa intertrocantérica derecha, fractura perpendicular del ala ilíaca derecha con desplazamiento posterior. Disrupción sacroilíaca izquierda. Líquido libre prevesical en espacio de Retzius y Bogros, continúa a bolsa escrotal, con un volumen estimado mayor de 500 ml. Con pequeña área de realce correspondiente a extravasación de contraste (figura 1) y (figura 2). Cráneo, tórax y abdomen sin lesiones. Se procedió a fijación externa de la pelvis.

Figura 2: Tomografía computada de pelvis con contraste intravenoso. Evidencia líquido libre prevesical en el espacio de Retzius y Bogros, que continúa hasta la bolsa escrotal. En la tercera imagen se observa una pequeña área de realce que corresponde a extravasación de contraste como signo de sangrado activo (flecha blanca).
Ingresó a UCI en el posoperatorio inmediato bajo ventilación mecánica, shock persistente, refractario a la reposición hemostática guiada por tromboelastograma rotacional (ROTEM). Se inició una transfusión masiva, con altos requerimientos de noradrenalina, hiperlactatemia de 10 mmol/l. Consultado el equipo de cirugía, no se consideró sanción quirúrgica, sin disponibilidad de REBOA (resucitative endovascular ballon of the aorta), sin experiencia en packing preperitoneal3.
Se comunicó con el departamento de imagenología y se decidió angioembolización de arterias hipogástricas. Aunque no se evidenció fuga de contraste a ningún nivel durante la angiografía, igualmente se procedió a embolizar ambos troncos anteriores de arterias hipogástricas con partículas de PVA (partículas de alcohol polivinílico). Luego se embolizaron ambas arterias hipogástricas con coils tipo Nester (figura 3). Franca mejoría posterior, se lograron suspender los vasopresores al día siguiente, sin complicaciones vinculadas a la angioembolización. Alta de UCI al vigésimo día, se trasladó a centro de traumatología para resolución definitiva de las fracturas pélvicas. Posteriormente alta a domicilio.
Discusión
Las fracturas pélvicas ocurren en 4% a 9% de los pacientes con trauma cerrado, principalmente accidentes de tránsito de alta cinemática o caídas de altura. Generalmente aproximadamente un 50% de los traumas pélvicos, presentan múltiples injurias asociadas y alto Injury Severity Score1,4. La mortalidad global del trauma de pelvis varía según los reportes, uno de los últimos registros se encuentra en torno de 9%5. La presentación con shock ocurre en 13% y su mortalidad se eleva sustancialmente a 32%. A su vez los sobrevivientes a un trauma pélvico presentan afectación de la calidad de vida relacionados con la movilidad, el autocuidado, el dolor, disfunción urinaria y sexual5.
Fisiopatología
El principal mecanismo de injuria en el trauma pélvico son los impactos de alta cinemática. La causa de muerte es el sangrado incontrolable, en un 80% proveniente de las venas pelvianas, principalmente el plexo presacro y prevesical. El restante 20% de los sangrados arteriales provienen principalmente de las ramas anteriores de la arteria hipogástrica (arterias pudenda y obturadora) y de las ramas posteriores (arteria glútea superior y lateral sacra). Sin embargo la frecuencia del sangrado arterial se eleva en los tipos APC II-III y LC II-III de la clasificación de Young y Burgess, alcanza un 59% en las fracturas del anillo pélvico con inestabilidad mecánica y en más del 70% de los pacientes con respuesta transitoria o sin respuesta a la reanimación con fluidos4,6. Aun cuando existe sangrado arterial, la probabilidad de la coexistencia de sangrado venoso se acerca al 100%. Otras fuente de sangrados incluyen las fracturas óseas, partes blandas y vísceras1,7. Los predictores de sangrado arterial en la tomografía computada son el hematoma mayor a 500 ml y la extravasación de contraste1,4. Las lesiones a nivel del anillo pélvico pueden crear un aumento del volumen interno pelviano, en particular en las lesiones de libro abierto, como fue el caso de nuestro paciente, facilitando el aumento de la hemorragia en el espacio retroperitoneal al reducir el efecto hemostático mecánico.
Tratamiento
En 2017 la WSES publicó las últimas pautas específicas de tratamiento y clasificación para el trauma pélvico1, evidencia generada sin ensayos clínicos aleatorizados. Las pautas previas fueron descritas por la Eastern Association for the Surgery en 20118.
En nuestro paciente se colocó un ligador pelviano casero con una sábana, hasta la fijación externa mecánica. El objetivo de estas terapéuticas sucesivas es disminuir el volumen de la cavidad pelviana para favorecer la hemostasis mecánica7.
A pesar de la estabilización mecánica mediante la colocación de fijadores externos y la corrección de los trastornos coagulopáticos, el paciente continuó agravándose. El sangrado arterial pelviano a menudo es difícil de manejar con las medidas indirectas de reducción pélvica mencionadas anteriormente. El efecto de taponamiento de estos métodos es fundamentalmente sobre la hemorragia venosa9. En las guías WSES se plantean cuatro opciones terapéuticas más: packing pelviano preperitoneal (PPP), toracotomía con clampeo aórtico, oclusión con balón endovascular en el segmento III de la aorta (REBOA) y por último la angioembolización. Un gran estudio multicéntrico observacional prospectivo encontró que la angioembolización y la fijación pélvica son los métodos más comúnmente utilizados para el control de la hemorragia5.
PPP es un procedimiento quirúrgico que consiste en una incisión suprapúbica infraumbilical, acceso al espacio pélvico que refleja una forma de U invertida alrededor de la vejiga, compuesta por los espacios preperitoneal, paravesical y presacro. Posteriormente se procede a la introducción de seis a nueve a compresas en dichos espacios10. Constituye un procedimiento rápido, seguro y eficaz que se puede realizar en la emergencia o en el block. Su finalidad es reducir el volumen disponible de la cavidad pelviana para generar un efecto hemostático mecánico de los sangrados pelvianos venosos y óseos. No hay una evidencia de que el PPP sea superior a la angioembolización y se consideran herramientas terapéuticas complementarias11,12.
La angiografía y embolización surgió en 197213 y actualmente es aceptada en varios centros de trauma como el método de elección para el control de sangrado arterial. En la guía WSES1 las indicaciones para la angiografía son la extravasación de contraste en la tomografía computada y/o volumen de hematoma mayor a 500 ml (grado 1C). En pacientes que inicialmente no presentan elementos de sangrado arterial en la tomografía, y se presentan con elementos clínicos de hemorragia sin respuesta a pesar del PPP y fijación externa se propone también la indicación de angiografía con angioembolización (grado 2A). Otros centros en pacientes hemodinámicamente inestables lo realizan en pasos sucesivos: PPP y luego angioembolización no selectiva14. Sin embargo, su indicación en pacientes hemodinámicamente estables y con una pequeña fuga de contraste es un tema de debate continuo, aunque la guía WSES sugiere la embolización (grado 2A)4,6,15.
Las indicaciones para angioembolización durante la angiografía incluyen extravasación de contraste, pseudoaneurisma, sección vascular, corte de relleno abrupto y vasoespasmo (figura 4). En el paciente no se evidenció ninguno de estos hallazgos, igualmente la bibliografía apoya la embolización empírica no selectiva de ambas arterias hipogástricas en pacientes que persisten en shock, fundamentando la probable existencia de hemostasis inestable de los vasos, bajo flujo por hipotensión y/o dirección selectiva del contraste4. El otro fundamento fisiopatológico que favorece la angioembolización empírica a pesar de la ausencia de fuga de contraste es que la disminución del input arterial lleva a la reducción de la presión hidrostática capilar y venular, con lo que se disminuye el sangrado por ruptura microvascular y venosa14,16.
Las opciones terapéuticas angiográficas son: la embolización selectiva del vaso culpable o la embolización no selectiva de ambas arterias hipogástricas, siendo esta última a considerar en pacientes hemodinámicamente inestables con angiografía negativa para sangrado. Este último se considera un procedimiento seguro, efectivo y rápido4,9,15. En presencia de elementos de sangrado en la angiografía, no hay consenso sobre si la angioembolización no selectiva o selectiva tiene la mejor relación riesgo-beneficio. La angioembolización no selectiva no mejoró el control de la hemorragia con necesidad similar de transfusiones, los tiempos de procedimiento también fueron similares, a su vez se asocia a complicaciones embólicas y tromboembólicas.16 Por lo tanto parece haber una ventaja para la angieombolización selectiva del vaso culpable en estos casos16.
Las potenciales complicaciones de la embolización no selectiva son las siguientes: necrosis glútea, dificultad en la cicatrización de las heridas y fracturas, claudicación, neuropatía, disfunción eréctil y eventos tromboembólicos venosos. La frecuencia de estas complicaciones varía según las series. En la cohorte retrospectiva más larga hasta la fecha, de los 99 participantes que recibieron embolización no selectiva hubo 2 casos de necrosis glútea/cutánea, sin embargo se reportó un 12% de complicaciones tromboembólicas, con significancia estadística cuando se comparó con el grupo de embolización selectiva que no presentó eventos tromboembólicos, este resultado persistió a pesar de ajustar por el tipo de fractura pélvica16. Otra serie retrospectiva encontró un porcentaje de 4% de complicaciones embólicas y 20% presentaron complicaciones tromboembólicas, esta última asociación persistió a pesar del ajuste por el tipo de fractura14. Finalmente, en una última serie retrospectiva de 61 pacientes que recibieron angioembolización bilateral no se reportaron complicaciones embólicas15. Sin embargo, en la literatura se hace referencia a estas complicaciones como asociadas con la embolización, pero existe controversia en cuanto a si estas complicaciones se deben a la embolización o el grado de injuria inicial8,16.
Es difícil evaluar el resultado de la angioembolización ya que la comparación entre las series se ve obstaculizada por las diferencias en la población de pacientes y porque el resultado suele estar influenciado por otros factores además de la hemorragia pélvica, como las lesiones asociadas. No se han realizado ensayos clínicos aleatorizados y es poco probable que se realicen4.
Los resultados de la angioembolización se fundamentan en un control radiológico y clínico de la hemorragia con una efectividad de 90%-100% y 84%-100% respectivamente4,15. También en un menor requerimiento de hemoderivados16. Sin beneficio en la mortalidad1,14,16. La mortalidad entre los pacientes embolizados varía ampliamente entre 4% y 56%, pero un bajo número de muertes notificadas se debe a la persistencia de la hemorragia pélvica4.
Si bien no se ha demostrado un claro beneficio en la mortalidad, esta aumenta en los pacientes en que se demora la angiografía más allá de los 60 a 90 minutos. Por lo tanto, el tiempo para la angiografía es un factor pronóstico importante a considerar cuando se trata a un paciente con sospecha de hemorragia arterial6.
Ciertos inconvenientes limitan su uso generalizado: altos costos, requiere personal, equipo, materiales y área especializada, no siempre disponibles en todos los centros hospitalarios.
Nuestro paciente, concurrió a la angiografía a las 12 horas del siniestro, debido a falta de disponibilidad del área de intervencionismo vascular. A la luz de la evidencia actual, este es el primer registro de angioembolización de arterias hipogástricas en contexto de trauma pélvico en Uruguay.
Conclusiones
La angioembolización ha surgido como herramienta terapéutica complementaria al resto de las medidas, sugerimos considerar este recurso terapéutico en los pacientes con trauma pélvico grave, especialmente con sospecha de sangrado arterial y shock persistente. Constituye un procedimiento seguro y efectivo, pero poco utilizada y probablemente no considerado aun en condiciones de accesibilidad del recurso.















